Submit manuscript...
eISSN: 2378-3176

Urology & Nephrology Open Access Journal

Case Report Volume 11 Issue 2

Ureteral compression syndrome due to right external iliac artery aneurysm

Idael Moisés Alfonso Rodríguez, Eurika Chacon Ramos, Marcia de los Angeles Leyva Calafell

Clinical University Hospital Surgical “Commander Faustino Pérez Hernández”, Matanzas, Cuba

Correspondence: Eurika Chacon Ramos, Clinical University Hospital Surgical “Commander Faustino Pérez Hernández”, Matanzas, Cuba

Received: April 29, 2023 | Published: June 20, 2023

Citation: Rodríguez IMA, Ramos EC, Calafell MAL. Ureteral compression syndrome due to right external iliac artery aneurysm. Urol Nephrol Open Access J. 2023;11(2):51-52. DOI: 10.15406/unoaj.2023.11.00331

Download PDF

Case statement

81-year-old female, mixed-race patient, history of type II diabetes mellitus, arterial hypertension (AHT), smoker. She begins with intense, throbbing abdominal pain, which is accompanied by fatigue and low back pain on occasions, she is brought to the emergency room by relatives. Physical examination revealed pallor of the skin and mucous membranes, cardiac auscultation: tachycardic heart sounds, blood pressure 100/70, soft abdomen, diffusely painful on palpation, pain on compression of the right iliac fossa where a pulsatile mass is palpable. In the blood analysis, an increase in serum creatinine of 200mmol/l stands out.

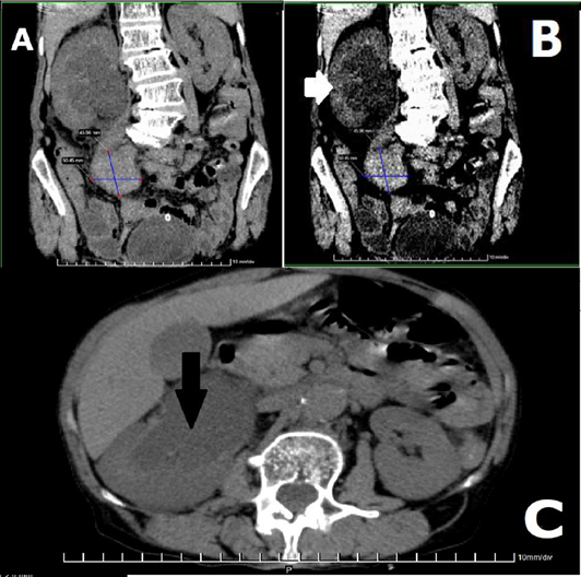
An abdominal ultrasound was performed, observing moderate right ureterohydronephrosis and aneurysmal dilatation of the right external iliac artery that compresses the right ureter and the presence of fluid around the aneurysm. A simple emergency tomography was performed due to the azotemia figures that prevented a contrast study, where ureterohydronephrosis of the right kidney due to compression of the ureter by a possibly right aneurysmal tumor (T?) was observed, coinciding with the ultrasound (Figures 1A, 1B).

A cross-sectional tomographic view shows moderate dilation of the renal cavities with preserved parenchyma (Figure 1C). An angiography was not performed due to the severity of the clinical picture that warranted referral to a higher level care center, interconsultation with the Angiology Service who performed repair of the fissured aneurysm using the conventional technique.

Figure 1 Simple Computed Axial Tomography. TO:Reconstruction with a window for the abdomen shows an aneurysm (50.45X 45.96mm) of the right iliac artery that compresses the ipsilateral ureter with secondary ureterohydronephrosis. B: Dilatation of the right upper urinary tract (white arrow) can be seen. C: Cross section showing the right renal pyelocaliectasis (black arrow).

Boari either bladder psoic that required a elderly time surgical, He makes right ureterocutaneostomy. He evolved satisfactorily during the first 48hours, the ureterocutaneostomy remained functional throughout the postoperative period, unfortunately the patient died days later due to multiple organ dysfunction secondary to rebleeding from the previously repaired right external iliac artery.

Comment

Ureteral compression syndrome responds to the causes of extrinsic obstruction of the ureter due to vascular lesions, which includes aortic artery aneurysms, iliac artery aneurysms, arterial anomalies (more frequent in the lower third of the ureter), obstructions due to vascular repairs and grafts and venous lesions (ovarian vein syndrome, postpartum thrombophlebitis of the ovarian vein and retrocaval ureter) Iliac Artery Aneurysms 70% correspond to the common iliac artery, 25% to the common iliac artery. internal iliac artery and less than 5% to the external iliac artery, infrequent isolated cases, the most characteristic being its association with an abdominal aortic aneurysm. It has a male:female ratio of 7:1. Because of its size and the associated inflammation, a voluminous aneurysm, it can cause mechanical ureteral obstruction, either unilateral or bilateral.

The scarring and inflammation associated with the aneurysm can also involve the ureter and cause its obstruction. This ureteral obstruction is due to the production of perianeurysmal fibrosis with retroperitoneal scarring. Cases of ureteral obstruction have been reported even with a normal iliac artery, but with elevated intra-arterial pressure. The most serious complication is rupture, which is associated with a high mortality ranging from 50% to 100%. This ureteral obstruction is due to the production of perianeurysmal fibrosis with retroperitoneal scarring. Cases of ureteral obstruction have been reported even with a normal iliac artery, but with elevated intra-arterial pressure. The most serious complication is rupture, which is associated with a high mortality ranging from 50% to 100%. This ureteral obstruction is due to the production of perianeurysmal fibrosis with retroperitoneal scarring. Cases of ureteral obstruction have been reported even with a normal iliac artery, but with elevated intra-arterial pressure. The most serious complication is rupture, which is associated with a high mortality ranging from 50% to 100%.

They are smokers, over 60 years of age with a history of hypertension, diabetes, more frequent in Caucasians, who present clinical symptoms of back pain and abdominal pain as the most frequent symptoms, with flank pain, dyspepsia and weight loss being minor symptoms. Since an aneurysm can affect the ureter in 10% of cases, this type of patient can present urological symptoms such as lower back pain, urinary tract infections and fever. Compression, erosion, and rupture in adjacent structures can cause urinary and digestive symptoms.

They can cause a unilateral or bilateral cancellation of renal function. Abdominal ultrasound has a sensitivity of 95% and a specificity of 99%, however, computed tomography angiography provides better details to monitor and plan surgical conduct. Contrast-enhanced CT is very useful for assessing both the vascular and renoureteral structures and the retroperitoneum in general, being able to observe an increase in the diameter of the aorta, calcifications of the wall of these vessels and surrounding the dilated contour of the same a dense mass.

Similar to soft tissues, in the renoureteral structures we can observe ureteral dilations and compressions, as well as a delay in the elimination and even cancellation of the compromised renal unit. From a therapeutic point of view, treatment of vascular hydronephrosis should be individualized on the basis of the severity of the ureteral obstruction, degree of renal function impairment, and underlying cause of the obstruction, as well as the conditions of the aneurysm (fissured or unscathed). The latter was previously repaired by open laparotomy, currently observing better results with endovascular techniques, which will depend on the equipment available in each care center.1,2

Acknowledgments

None.

Conflicts of interest

Authors declare that there is no conflict of interest exists.

Funding

None.

References

Creative Commons Attribution License

©2023 Rodríguez, et al. This is an open access article distributed under the terms of the, which permits unrestricted use, distribution, and build upon your work non-commercially.