Submit manuscript...
eISSN: 2378-3176

Urology & Nephrology Open Access Journal

Research Article Volume 11 Issue 3

Robot-assisted radical nephrectomy for renal-cell carcinoma during twin pregnancy

Rajeev Subu,1 Brendan Browne2

1Medical College of Georgia, USA
2Emory University School of Medicine, USA

Correspondence: Rajeev Subu, Medical College of Georgia, USA, Tel 4047359140

Received: July 18, 2023 | Published: December 20, 2023

Citation: Subu R, Browne B. Robot-assisted radical nephrectomy for renal-cell carcinoma during twin pregnancy. Urol Nephrol Open Access J. 2023;11(3):111-113. DOI: 10.15406/unoaj.2023.11.00343

Download PDF

Abstract

Large renal masses are rare findings in pregnant patients and generate complex challenges regarding when and how to treat. We report a case of a 23-year-old woman found to have a large renal mass during twin pregnancy. Here we describe the evaluation and decision making for this patient who was ultimately treated with robot-assisted radical nephrectomy during her pregnancy.

Keywords: twin pregnancy, hematuria, flank pain, metastatic disease

Abbreviations

RCC, renal cell carcinoma; MFM, maternal-fetal medicine

Introduction

Renal cell carcinoma (RCC) is a common urologic neoplasm that accounts for 2% of global cancer diagnoses and deaths.1 This malignancy predominantly presents for patients in their 60s, but cases are reported in younger patients, where it is more commonly associated with genetic syndromes.2 RCC is often asymptomatic during the early stages, and clinical symptoms are associated with the tumor reaching a large size. Symptoms include hematuria, flank pain, and a palpable mass as well as constitutional sequelae such as fever, weight loss, fatigue, and anemia. These masses are often detected incidentally on imaging ordered for other indications. Abdominal CT, MRI, or ultrasound are the first-line imaging modalities. Contemporary management of RCC is predominantly surgical, with frequent use of minimally invasive laparoscopic/robotic platforms. Rarely, RCC can present during pregnancy, during which, treatment remains challenging. This report examines a case of a 23-year-old patient presenting with a large renal mass during a twin pregnancy and discusses the diagnostic and therapeutic considerations in her treatment.

Case presentation

A 23-year-old African American female was admitted for delivery of first child at 36 weeks. Induction of labor was performed for blood pressure lability and significant hypertension, which resolved after delivery. Post-partum she developed fever of unknown origin and underwent CT scan that revealed an 11.6 x 12.0 x 12.8 cm left renal mass. She was advised to undergo further evaluation and discuss surgery but following delivery she was lost to follow up. She returned to clinic five months later seeking treatment for renal mass. At time of representation to clinic, the patient was found to be pregnant again despite placement of IUD for contraception at time of recent delivery. Prenatal ultrasound demonstrated a viable twin pregnancy at 8 weeks gestation. She was immediately referred to Maternal-Fetal Medicine (MFM) for prenatal care regarding twin pregnancy and consideration for surgical treatment of renal mass. Additionally, the patient was discussed at multidisciplinary tumor board, which advised renal mass biopsy to support malignant versus benign pathology and help guide timing of treatment. She was otherwise healthy and had no surgical history and no family history of renal malignancy.

Patient underwent renal mass biopsy at 8 weeks gestation without complication. Focal CT imaging at time of biopsy showed that mass had decreased in size to 9.5 x 8.5 x 8.4cm. Biopsy result revealed oncocytic renal neoplasm. Remainder of staging work-up was negative for metastatic disease. Discussion with urologic surgeon, anesthesia, MFM, and patient elected to proceed with surgical excision during her second trimester. After extensive patient counseling, we proceeded with robotic radical nephrectomy at 13 weeks of gestation. At the request of the patient, we did not record or photograph any portions of her surgery.

On the day of surgery fetal heart tones were recorded preoperatively. The patient was brought to the operating room and placed under general anesthesia and positioned in a 45 degree partial flank position with foley catheter and oro-gastric tube in place. Insufflation was obtained with Veres needle through the umbilicus without incident and visiport access performed at the 2nd cephalad port site (standard camera port). Three more 8mm robotic ports were placed under direct vision in a linear para-rectus orientation and one 12mm Air Seal port just inferior to the umbilicus. Insufflation was maintained at 15mmHg during port placement and then decreased to 12mmHg for the duration of the case. 

Radical nephrectomy was performed in the standard fashion, beginning with medial mobilization of the left colon across the surface of Gerota’s fascia. The retroperitoneum revealed an extremely robust gonadal vein with significant dilation and tortuosity that obscured the entire psoas muscle. With careful dissection, we elevated the gonadal vein anterior and identified the ureter, which was also lifted anterior. Dissection was carried cephalad up to the level of the hilum which revealed multiple early venous branches and a single artery.  First, the artery and one overlying branch of the renal vein were divided with a stapler with good hemostasis. Next the remainder of the renal vein was divided with a separate staple load. Despite efforts to spare the gonadal vein, the size of the lower pole tumor and the orientation of renal vein branches placed the confluence of the gonadal vein into the renal vein directly over the tumor such that the renal branch had to be ligated proximally. Since the gonadal drainage was ligated at the hilum, we divided the gonadal vein again distally with the stapler at the level of the lower pole, simultaneously dividing the ureter. 

The remaining lateral and superior attachments were divided and the kidney was placed in a specimen bag. An upper midline incision was used to extract the specimen. Estimated blood loss 10cc and total operative time under three hours. The patient was awoken and transferred to the recovery room where fetal heart tones were again measured and confirmed twin heart beats. Postoperative course was uneventful. Renal function and blood counts remained stable, she tolerated a regular diet, her pain was controlled and she was discharged on post-op day #2. Fetal heart tones were monitored throughout her stay without any concerning findings. Following surgery, her pregnancy continued without complication and she delivered fraternal twins vaginally at 35 weeks gestation without complication. Final pathology showed 9cm chromophobe renal cell carcinoma with internal necrosis, organ-confined with negative surgical margins.  Follow-up surveillance imaging was delayed until after completion of pregnancy and showed no evidence of disease. This patient has undergone genetic evaluation with no evidence of genetic syndrome predisposing toward renal malignancy.

Discussion

Cancer diagnosis during pregnancy remains uncommon worldwide, with an estimated incidence around 1:1,000 pregnancies, with cervical, breast, and melanoma being the most common. Meanwhile, genitourinary cancers are much less common, occurring in fewer than 1:100,000 pregnancies.3 Renal tumors are the most common for this organ system, but still only 109 cases are reported in the literature to date. The majority of the reported renal masses are clear cell RCC, which is the most common renal mass in young adults of childbearing age. In these age groups, RCC is more frequently associated with a genetic syndrome including Von Hippel Lindau or Burt-Hogg-Dubé4 and it was surprising that our patient did not demonstrate any genetic risk factors despite her large mass at such a young age. 

Obstetric guidelines state that nonobstetric surgery should not be delayed for pathologies where the benefits to mother and fetus outweigh the associated risks of surgical intervention.5 While this can be clear cut in clinical scenarios like acute appendicitis or cholecystitis, the urgency of intervention for this renal mass is less evident. All nonobstetric surgeries carry a risk of inducing labor or low birthweight, and specific to renal surgery there is a chance of significant blood loss. The stress of surgical intervention, particularly on a twin gestation added further complexity to this case. The timing of this surgery was driven by a combination of oncologic and obstetric consideration. By the time our patient returned to clinic after being lost to follow-up, her large renal mass had remained untreated for five months since detection, but she also had 8 months remaining in her current pregnancy. 

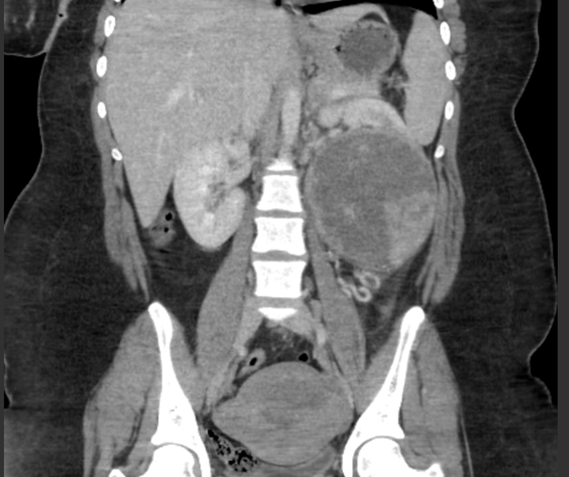
The appearance of the renal mass on CT was highly concerning for malignancy, but we did elect to obtain a biopsy of the mass to inform management. Given her young age we wanted to ensure that this was not a rare subtype, including medullary or collecting duct cancer, that may benefit from neoadjuvant therapy or immediate treatment. Additionally, there was the possibility of a benign mass that could be observed for the whole duration of pregnancy. Our patient’s biopsy findings of “oncocytic renal neoplasm” suggested chromophobe RCC or possibly oncocytoma (although pathology leaned away from benign pathology). Untreated large renal masses (>4cm) show ~1% risk of metastatic spread per year, but chromophobe RCC has lower malignant potential than other subtypes, ev heterogeneous en for larger masses.6 The biopsy results supported holding off on surgery until at least the second trimester when anesthetic risk to organogenesis decreases, and we did discuss the possibility of delaying surgical intervention until after delivery Figure 1.

Figure 1 Coronal noncontrast CT showing a heterogeneous mass in the left kidney.

Ultimately, the additional concern for rupture along with malignant potential moved us to surgical intervention during her pregnancy. The mass had demonstrated a 25% decrease in size from 12.8cm when first diagnosed at full term during her initial singleton pregnancy to its next measure 9.5cm at 8 weeks of her twin pregnancy. Plasma volume in a singleton pregnancy rises approximately 50% above non-pregnant baseline normal during the last trimester and likely accounted for this fluctuation in size. However, in twin pregnancy, plasma volume can rise to 67% above baseline.7 The intra-abdominal pressures from the large vascular renal mass and fully gravid twin uterus–particularly during labor–raised our concern for possible rupture of the mass (and consequent upstaging for malignancy). Additionally, she could develop persistent, severe hypertension, as she displayed during her first pregnancy, further increasing risk of rupture. It was due to these considerations that we elected to proceed with nephrectomy at the start of her second trimester before her uterus became significantly enlarged. 

The surgical procedure was performed largely similar to robotic radical nephrectomy in non-pregnant patients. We elected to use robotic-assistance rather than traditional laparoscopy–as is often used for radical nephrectomy at our institution–to maximize dexterity in dissection and minimize blood loss. Access and port placement was done in the standard fashion placing the caudal ports under direct vision away from the uterus. We decreased insufflation pressure to 12 mmHg to avoid impaired ventilation and reduce pressure on the uterus and inferior vena cava, which was already partially compressed from the flank positioning. The kidney was extracted through an upper midline incision to avoid having the specimen compress the uterus during extraction as well as reduce risk of hernia as the gravid uterus grew and stretched the inferior abdominal fascia. We did consider partial nephrectomy given her age and the lower pole location of her renal tumor. However, we felt that the risk of increased blood loss during partial nephrectomy compared with radical nephrectomy posed a higher risk to her fetuses.

This is the first reported case of RCC in a twin pregnancy treated with robot assisted radical nephrectomy. It proved to be a safe and effective means to address the renal cancer without compromising her pregnancy. Robotic surgery helped achieve minimal blood loss and easier postoperative recovery, and operative time was within the safe range for surgery during pregnancy. The decision of if and when to operate in on pregnancy patients is not always a clear one and must be taken with consideration of maternal health, fetal maturity, disease process, and surgical approach. Furthermore, it is prudent to engage a multidisciplinary care team to balance risks and benefits as well as provide appropriate patient counseling in these challenging cases.

Acknowledgments

None.

Conflicts of interest

The authors declares that there is no conflict of interest.

References

  1. Padala SA, Barsouk A, Thandra KC, et al. Epidemiology of renal cell carcinoma. World J Oncol. 2020;11(3):79–87.
  2. Börje Ljungberg, Steven C Campbell, Han Yong Cho, et al. The epidemiology of renal cell carcinoma. European Urology. 2011;60(4):615–621.
  3. Pentheroudakis G, Pavlidis N. Cancer and pregnancy: poena magna, not anymore. Eur J Cancer. 2006;42(2):126–140.
  4. Eggener SE, Rubenstein JN, Smith ND, et al. Renal tumors in young adults. J Urol. 2004;171(1):106–110.
  5. ACOG committee opinion No. 775: nonobstetric surgery during pregnancy. Obstet Gynecol. 2019;133(4):e285–e286.
  6. Casuscelli J, Becerra MF, Seier K, et al. Chromophobe renal cell carcinoma: results from a large single-institution series. Clin Genitourin Cancer. 2019;17(5):373–379.e4.
  7. Rovinsky JJ, Jaffin H. Cardiovascular hemodynamics in pregnancy. American Journal of Obstetrics and Gynecology. 1965;93(1):1–15.
  8. Chow WH, Dong LM, Devesa SS. Epidemiology and risk factors for kidney cancer. Nat Rev Urol. 2010;7(5):245–257.
  9. Cohen Herbert T, McGovern Francis J. Renal-cell carcinoma. New England Journal of Medicine. 2005;353(23):2477–2490.
  10. Garnick MB. Primary neoplasms of the kidney. In: Therapy in Nephrology and Hypertension: A Companion to Brenner and Rector's the Kidney, Brady HR, Wilcox CS (Eds), WB Saunders, Philadelphia. 1998.
  11. Khaled H, Lahloubi NA, Rashad N. Review on renal cell carcinoma and pregnancy: A challenging situation. J Adv Res. 2016;7(4):575–580.
  12. Thompson RH, Hill JR, Babayev Y, et al. Metastatic renal cell carcinoma risk according to tumor size. J Urol. 2009;182(1):41–45.
  13. Walker JL, Knight EL. Renal cell carcinoma in pregnancy. Cancer. 1986;58(10):2343–2347.
Creative Commons Attribution License

©2023 Subu, et al. This is an open access article distributed under the terms of the, which permits unrestricted use, distribution, and build upon your work non-commercially.