Submit manuscript...
eISSN: 2378-3176

Urology & Nephrology Open Access Journal

Case Report Volume 7 Issue 5

Retroperitoneal mucocele of the appendix: diagnosis and management

Mohammed Alae Touzani,1 Souhail Regragui,1 Amine Slaoui,1 Youssef Yaikoubi,2 Tariq Karmouni,1 Khalid El Khader,1 Abdellatif Koutani,1 Ahmed Ibn Attya Andaloussi1

1Urology Department, Ibn Sina Teaching Hospital, Rabat, Morocco
2General Surgery Department, Ibn Sina Teaching Hospital, Rabat, Morocco

Correspondence: Mohammed Alae Touzani, Urology Department, Ibn Sina Teaching Hospital, Rabat, Morocco

Received: July 17, 2019 | Published: September 20, 2019

Citation: Touzani MA, Regragui S, Slaoui A, et al. Retroperitoneal mucocele of the appendix: diagnosis and management. Urol Nephrol Open Access J. 2019;7(5):96-99. DOI: 10.15406/unoaj.2019.07.00253

Download PDF

Abstract

Introduction: Appendiceal mucocele is an interesting pathology, given its rarity and its tricky management. The retroperitoneal localization is even more interesting because of its difficulties to diagnosis and treat. Indeed, in case of mucocele is incorrectly treated, pseudomyxoma peritonei may develop, secondary to an intraperitoneal rupture of the mass.

Case report: We present here the case of a 50-year-old woman who consulted for a mild right low back pain with palpable abdominal mass. A CT-scan performed showed a large right retroperitoneal mass evoking a retroperitoneal cystic lymphangioma. The patient underwent an exploratory laparotomy, which showed a large whitish retroperitoneal cyst, extending from the right iliac fossa to the right hypochondrium. We suspected during surgery an appendiceal mucocele. During dissection, we assisted to a tumoral rupture. The peritoneal cavity was already protected by surgical drape. We went an en-bloc and complete resection of the tumor. The histological study concluded to a mucinous cystadenoma. After a one-year follow-up, control CT-scans showed no signs of recurrence.

Conclusion: Retroperitoneal appendiceal mucocele is a rare disease. A correct radiological pre-operative diagnosis, based on CT-scan, is important to avoid severe intraoperative complications.

Keywords: mucocele, retroperitoneal, appendix, mucinous cystadenoma

Abbreviations

WHO, the world health organization; MRI, magnetic resonance imaging; HIPEC, hyperthermic intraperitoneal chemotherapy

Introduction

Appendiceal mucocele is an interesting pathology, given its rarity and its tricky management. Among all performed appendicectomy, its incidence is between 0.2 % and 0.7 %.1–4 We define it as a dilatation of the appendix caused by an inflammatory or tumoral obstruction, with intraluminal accumulation of mucoid material. The pre-operative diagnosis on imaging is essential. Indeed, the mass is fragile, and in the absence of a careful surgery, pseudomyxoma peritonei may develop, secondary to an intraperitoneal rupture of the mass. The retroperitoneal localization is even more interesting because of its difficulties to diagnosis and treat.

Case report

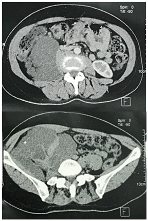
We present here the case of a 50-year-old woman who consulted for a mild right low back pain with palpable abdominal mass since several months. The clinical examination revealed a painless tumefaction of the right iliac fossa (Figure 1). A CT-scan performed showed a large right retroperitoneal cystic polylobed mass, well limited, measuring 15 cm x 10 cm x 9 cm, pushing forward the digestive loops and pushing up the right kidney, containing calcifications, without enhancement after contrast injection, and without evidence of adjacent structures infiltration, evoking a retroperitoneal cystic lymphangioma (Figure 2) and (Figure 3). The patient underwent an exploratory laparotomy, which showed a large whitish retroperitoneal cyst, extending from the right iliac fossa to the right hypochondrium (Figure 4). Given the appendix was not individualized, we suspected then, during surgery, an appendiceal mucocele. During dissection, we assisted to a tumoral rupture, and approximately 500 milliliters of a thick, gelatinous mucoid substance was sucked. The peritoneal cavity was already protected by surgical drape. We went an en-bloc and complete resection of the tumor (Figure 5). The post-operative course were normal. The histological study concluded to a mucinous cystadenoma (Figure 6). After a one-year follow-up, control CT-scans showed no signs of recurrence.

Figure 1 Visible right iliac fossa mass.

Figures 2 & 3 CT-scan showing the mass pushing forward the digestive loop, without infiltration and contrast enhancement.

Figures 4 Protrusion of the tumor in the peritoneal cavity.

Figures 5 Resected specimen.

Figures 6 Histological findings (x40).

Discussion

First described by Rokitansky in 1842, the mucocele owes its name to Fete.1,2 Etiopathogenesis remains misunderstood. Several hypotheses were made, trying to explain the hypersecretion and accumulation of mucus in the appendiceal lumen. The first one, presented by WOODRUFF and MAC DONALD in 1940, argue that the obstruction of the appendiceal base would explain the mucus accumulation produced by healthy glands in a closed pocket.3,4 This obstruction can be secondary to inflammatory or post-infectious stenosis (tuberculosis), a benign tumor (cystadenoma) or a malignant tumor (cystadenocarcinoma).5,6,7 The second one is a neuro-endocrine theory: hypersecretion and extreme distension of the muscular tunic would be the consequence of increased excitation of secretary nerve cells.3 The World Health Organization (WHO) classifies appendiceal mucoceles among retentive cyst (18 %), diffuse or localized mucosal hyperplasia (20 %), mucinous cystadenoma (52 %) and mucinous cystadenocarcinoma (10 %).3 Most of patients are aged between 50 and 70 years old, with an average age of 55 years.5,8 The female predominance is inconstantly found.9 Concerning clinical diagnosis, there is no specific signs. As our patient, almost half of the cases described in the literature report abdominal pain.10–12 Associated signs commonly found are nausea, vomiting, intestinal bleeding and occlusive syndrome.10,12,13 Clinical examination can find a visible and/or palpable abdominal mass.10–14 A rare but severe clinical presentation is the peritonitis, suggesting that the mass broken into the peritoneal cavity: the pseudomyxoma peritonei.12

In 11 to 47 %, the appendiceal mucocele is completely asymptomatic.7 It is more frequent when the aetiology is not neoplastic.12 Biology is rarely useful. Indeed, the elevation of tumor markers (CEA and CA 19-9) was reported only once by Igor Mishin.15 The key of diagnosis is imaging, and the most adequate imaging modality is computed tomography, preferably interpreted by an experienced radiologist. Indeed, it is difficult to establish the anatomic relations between the mass and other organs, and the appendicular origin, especially when the mass is large and retroperitoneal.16 In most cases, it would be a cystic, poly-lobed, paracaecal mass, with or without parietal calcification.16 The presence of calcifications helps making difference between appendiceal mucocele and acute appendicitis.16 Typical ultrasonography’s aspect is a right iliac fossa oval hypoechoic mass, with posterior acoustic enhancement.9,17 Magnetic resonance imaging (MRI) can help define the mucocele’s limit and differentiate the mass (whose content is gelatinous) from ascites. Indeed, in T2-weighted sequences, it reveals a different and less intense signal than the ascites.18,19 However, calcifications are less visible on MR.18,19 Colonoscopy is usefull when a colonic tumor is suspected, or to verify the integrity of the mucosa.3 Metabolic imaging (18F-fluorodeoxyglucose positron emission tomography) has been studied for patients with metastatic appendiceal tumors, but the results showed a low sensitivity, and, thereby, is not indicated.18,20

The World Health Organization (WHO) classifies appendiceal mucoceles among retentive cyst (18 %), diffuse or localized mucosal hyperplasia (20 %), mucinous cystadenoma (52 %) and mucinous cystadenocarcinoma (10 %).3 The therapeutic strategy is based on the total resection of the tumor, and avoiding any rupture that would lead to iterative surgical procedures.11,13,21–24 Hyperthermic Intraperitoneal Chemotherapy (HIPEC) followed by postoperative chemotherapy may also be necessary, especially in cases of recurrences and pseudomyxoma peritonei.25 A open-surgery approach is often preferred to laparoscopical approach, given the high risk of dissemination, even if a retrieval bag is used.26,27,28 The outcome of retentives cysts and mucinous cystadenoma is far way better than mucinous cystadenocarcinoma, with a 100 % versus 30 % overall survival.6,9,24,29 There is no surveillance recommendations, but it is rightful to request a CT-scan every 6 months.

Conclusion

Retroperitoneal appendiceal mucocele is a rare disease. A correct radiological pre-operative diagnosis, based on CT-scan, is important to avoid severe intraoperative complications, which can change the patient prognosis. An en-bloc resection of the mass, which is very tricky, is the key of the treatment.

Acknowledgements

None.

Funding details

None.

Conflicts of interest

We declare that we have no conflict of interest.

References

  1. Fere CS. Mucocele de l’appendice ileocaecal. Progres med. 1877;5:73.
  2. Rokitansky CF. A Manual of Pathological Anatomy. English translation of the Vienna edition (1842). Philadelphia, Blanchard & Lea, 1855;2:89.
  3. Moujahid M, Ali A, Achour A, et al. Mucocèle appendiculaire: à propos de dix cas. JAC. 2010;2(2):107–111.
  4. Leger L, Premont M, Delaitre B, et al. Mucocèles appendiculaires: a propos de 09 cas. J Chir. 1973;106(5):413–424.
  5. Aho AJ, Heinonen R, Lauren P. Benign and malignant mucocele of the appendix. Acta Chir Scand. 1973;139(4):392–400.
  6. Higa E, Rosai J, Pizzimbono CA, et al. Mucosal hyperplasia, mucinous cystadenoma, and mucinous cystadenocarcinoma of the appendix. A re-evaluation of appendiceal ‘mucocele’. Cancer. 1973;32(6):1525-41.
  7. Scotte M, Laquerriere A, Riff Y, et al. Les mucocèles appendiculaires: physiopathologie et implication thérapeutiques. J Chir. 1994;131(6–7):303–312.
  8. Landen S, Bertrand C, Maddern GJ, et al. Appendiceal mucoceles and pseudomyxoma peritonei. Surg Gynecol Obstet. 1992;175(5):401–404.
  9. Kim SH, Lim HK, Lee WJ, et al. Mucocele of the appendix: ultrasonographic and CT findings. Abdom Imaging. 1998;23(3):292–296.
  10. Ruiz-Tovar J, Teruel DG, Castineiras VM, et al. Mucocele of the appendix. World J Surg. 2007;31(3):542–548.
  11. Sugarbaker PH. Appendiceal Epithelial Neoplasms and Pseudomyxoma Peritonei, a Distinct Clinical Entity with Distinct Treatments. In: Bland KJ, et al., editors. General Surgery. Principles and International Practice. London-Limited: Springer; 2009. p. 885–893.
  12. Garcia Lozano A, Vazques Tarrago A, Castro Garcia C, et al. Mucocele of the appendix: presentation of 31 cases. Cir Esp. 2010;87(2):108–112.
  13. Dhage-Ivatury S, Sugarbaker PH. Update on the surgical approach to mucocele of the appendix. J Am Coll Surg. 2006;202(4):680–684.
  14. Ashrafi M, Joshi V, Zammit M, Telford K. Intussusception of the appendix secondary to mucinous cystadenoma: a rare cause of abdominal pain. Int J Surg Case Rep. 2011;2(2):26–27.
  15. Wenhan PW, Sloan JP. An unusual mucocele of the appendix. JR Coll Surg Edinb. 1985;30(3):205–206.
  16. Francica G, Lapiccirella G, Giardiello C, et al. Giant mucocele of the appendix: clinical and imaging findings in 3 cases. J Ultrasound Med. 2006;25(5):643–648.
  17. Dachman AH, Lichtenstein JE, Friedman AC. Mucocele of the appendix and pseudomyxoma peritonei. Am J Roentgenol. 1985;144(5):923–929.
  18. Purandare NC, Gandhi A, Puranik AD, et al. Use of FDG/PET CT to diagnose malignancy as the cause of mucocele of the appendix. Indian J Gastroenterol. 2014;33(1):79–81.
  19. Weber G, Teriitehau C, Goudard Y, et al. Mucocele of Appendix. Feuillets de Radiologie. 2009;49:40–44.
  20. Rohani P, Scotti SD, Shen P, et al. Use of FDG-PET imaging for patients with disseminated cancer of the appendix. Am Surg. 2010;76(12):1338–1344.
  21. Kim-Fuchs C, Kuruvilla YC, Angst E, et al. Appendiceal mucocele in an elderly patient: how much surgery? Case report. Gastroenterology. 2011;5(3):516–522.
  22. Sasaki K, Ishida H, Komatsuda T, et al. Appendiceal mucocele: sonographic findings. Abdom Imaging. 2003;28:15–18.
  23. Tynan JR, Marshall GB, Gray RR. Answer to Case of the month #107 Appendiceal Mucocele as a Presentation of Mucinous Adenocarcinoma. Can Assoc Radiol J. 2006;57(2):117–119.
  24. Isaacs KL, Warshauer DM. Mucocele of the appendix: computed tomographic, endoscopic, and pathologic correlation. Am J Gastroenterol. 1992;87(6):787–789.
  25. Sugarbaker PH, Jablonski KA. Prognostic features of 51 colorectal and 130 appendiceal cancer patients with peritoneal carcinomatosis treated by cytoreductive surgery and intraperitoneal chemotherapy. Ann Surg. 1995;221(2):1241–1232.
  26. Rangarajan M, Palanivelu C, Kavalakat AJ, et al. Laparoscopic appendectomy for mucocele of the appendix: Report 8 cases. Indian J Gastroenterol. 2006;25(5):256–257.
  27. Chiu CC, Wei PL, Huang MT, et al. Laparoscopic resection of appendiceal mucinous cystadenoma. J Laparoendosc Adv Surg Tech A. 2005;15(3):325–328.
  28. Liberale G, Lemaitre P, Noterman D, et al. How should we treat mucinous appendiceal neoplasm? By laparoscopy or laparotomy? A case report. Acta Chir Belg. 2010;110(2):203–207.
  29. Hedfi M, Jomni MT, Ben Ghachem D, et al. Les mucocèles appendiculaires, problèmes diagnostiques et thérapeutiques: à propos de 26 cas. Pan Afr Med J. 2015;22:362.
Creative Commons Attribution License

©2019 Touzani, et al. This is an open access article distributed under the terms of the, which permits unrestricted use, distribution, and build upon your work non-commercially.