Submit manuscript...
eISSN: 2378-3176

Urology & Nephrology Open Access Journal

Case Report Volume 11 Issue 2

Primary clear-cell adenocarcinoma in women

Maria Desamparados Cuenca-Ramirez,1 Sarai Margarita Botto Lugo,2 Luz María Moratalla Charcos,2 Isabel Ruiz Carbonell,3 Lorena Bermell Marco,2 Ana Utiel atienzar,1 Juan Francisco Vidal Moreno1

1Hospital Doctor Peset, Universitat Valencia, Spain
2Hospital Dr Peset Aleixandre (Urología), Universitat de Valencia, Spain
3Hospital Dr Peset Aleixandre (Anatomía Patológica), Universitat de Valencia, Spain

Correspondence: Maria Desamparados Cuenca-Ramirez, Hospital Doctor Peset, Universitat Valencia, Spain

Received: April 17, 2023 | Published: June 8, 2023

Citation: Cuenca-Ramirez MD, Lugo SMB, Charcos LMM, et al. Primary clear-cell adenocarcinoma in women. Urol Nephrol Open Access J. 2023;11(2):43-45. DOI: 10.15406/unoaj.2023.11.00329

Download PDF

Abstract

Objectives: A literature review of clear cell adenocarcinoma (CCA) of the female urethra, which is a urinary tract neoplasm of low prevalence that can affect the urethra in rare occasions.

Material and methods: A case report of CCA in a 59-year-old female with low urinary tract symptoms associated with two episodes of acute urinary retention and recurrent urinary tract infection (UTI) with the finding of a periurethral tumor in magnetic resonance image (MRI).

Results: After cystectomy, double adnexectomy, urethrectomy, bilateral iliac-obturator lymphadenectomy, and ureteroileal deviation, the diagnosis of urethral CCA spread to lymph nodes was made. The case was discussed in the Urologic Oncology committee, indicating external radiotherapy and cisplatin as adjuvant treatment.

Conclusions: Because of its aggressiveness, CCA is a rare tumor that requires radical surgery.

Keywords: Clear cell adenocarcinoma / Urethra / Urinary tract neoplasm.

Case report

A 59-year-old female with no previous disease presented with two acute urinary retention episodes, lower urinary tract symptoms for months, and recurrent urinary tract infections with urine culture positive for Streptococcus. A physical exam revealed an asymptomatic abdomen with no palpable mass in the hypogastric region. Ultrasound did not show any interesting findings and the urine flow test revealed a maximum flow of 2.7ml/s and a post-void residue of 100ml.

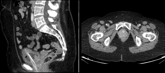
Given this finding, an urodynamic study (UDS) was performed and showed an increased sensibility associated with involuntary detrusor contractions and lower urinary tract obstruction (Figure. 1). Pelvic MRI revealed a solid mass depending on the urethra causing stricture (Figure. 2) and the CT scan identified a heterogeneous 7x6cm mass around the urethra that infiltrated the posterior bladder wall (Figure. 3). Cystoscopy allowed the visualization of membranous tissue with fibrotic aspect on the urethra and a normal bladder without tumors. Biopsies were taken in the same procedure and urine cytology. Results were inconclusive but suggested urethral clear cell carcinoma, therefore it was discussed in a multidisciplinary committee formed by urologists, oncologists, radiologists, nuclear radiologists, and radiotherapists in which radical surgery with curative means was decided.

Figure 1 UDS Filling phase showing involuntary detrusor contractions.

Figure 2 Pelvic MRI A) STIR (Short-TI Inversion Recovery). Thickened bladder wall with paraurethral solid mass marked with two asterisks. B) Same image in T2.

Figure 3 CT scan. A) Sagittal section shows a 7x6cm paraurethral mass with heterogeneous contrast caption that infiltrates the posterior wall of the bladder. Thickened bladder walls and urinary catheter. B) Transverse section of paraurethral mass with urethral catheterization.

Cystectomy with urethrectomy, hysterectomy, double adnexectomy, bilateral iliac-obturator lymphadenectomy, and urinary deviation with ureteroileostomy were performed. The patient was hospitalized for 12 days, and presented as the only complication was a seroma in the lower third of the surgical incision that was treated in a conservative way.

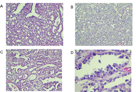
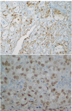
The anatomic pathology report concluded on a clear cell adenocarcinoma of high histology grade extended to the bladder and vagina (pT4) with clear resection margins and four out of sixteen lymph nodes affected (N2). Microscopically there were mixed patterns showing cuboidal tumor cells with clear eosinophilic cytoplasm and the typical disposition in hobnail (Figure.4). Immunohistochemistry was positive for cytoplasmatic Napsin-A and nuclear PAX-8 (Figure.5)

Figure 4 Hematoxylin-eosin staining. Architecture: tubular pattern (A), solid (B), alveolar, and papillary (A and C) (10X). The mixed pattern is frequent. Clear cell adenocarcinoma has glandular tissue with nuclear atypia, clear cytoplasm, and hyaline fibrovascular septa. D) Hobnail cells. (400X).

Figure 5 Immunohistochemistry. A) Napsin A positive (cytoplasm). B) PAX 8 positive (nuclei).

A post-operative CT scan 2 months after intervention showed 2 lymph nodes of increasing size, leading to radiotherapy and cisplatin chemotherapy initiation as adjuvant treatment.

The patient is going through multidisciplinary follow-up due to case complexity.

Discussion

Primary urethra carcinoma is a rare tumor with a prevalence of 1% being more common in males than females.(3:1)

Risk factors are different for each gender; in males, it can be secondary to urethral stricture, inflammatory process, or post-radiation therapy, while in females it can be related to recurrent urinary tract infections and urethral diverticulum. Anatomy pathology findings are also predominantly different between genders, being more frequent the urothelial lineage in men and adenocarcinoma in women.1

In women, urethral carcinoma is usually presented in the post-menopausal period, age around 55-60 years old, as in the case report, with a history of urinary retention, increased urinary frequency, and dysuria; such unspecific symptoms lead to late diagnosis and worse prognosis.2,3

Within the diagnostic methods arsenal, it is recommended to practice urethrocystoscopy, urinary cytology, and imaging tests such as CT scan and MRI, being the latest the best choice to assess pelvic soft tissue.2,4

Urethral tumors are characterized by their local aggressiveness with low frequency of dissemination, described in 15% of cases.5 Treatment options depend on tumor extension and the urethral portion affected; local surgery and radiotherapy are accepted but radical surgery is preferred.1,5,6

The European Association of Urology (EAU) considers age, race, stage and tumor grade, positive lymph nodes, metastases, histology, tumor size and location, concomitant bladder tumor, and treatment as prognostic factors,1 Grisby et al.7 published experience on this kind of tumor in their center: 44 females with urethral tumors, 13 were adenocarcinoma and no case had a survival over 5 years.

In women, proximal urethra tumors are more aggressive and are more likely to infiltrate while distal urethra tumors use to be of low grade. Adenocarcinomas are more frequent in the proximal urethra, probably for the urothelial histology lineage, while in the distal two-thirds of the urethra, being covered by squamous epithelium; tumors are predominantly of said lineage.8

Adenocarcinomas can be classified into clear cells and no clear cells. The first one, as in the case report, is rare and characteristically presents a microscopic mixed pattern: tubular, papillary, tubulocystic, or diffuse architecture.8

There is controversy about the origin of this neoplasm, given the lack of conclusive studies, it cannot be confirmed or denied its derivation from Wolff remains 2 as it has been historically believed. Other authors suggest this neoplasm might come from the malignization of Skene glands because of immunohistochemistry positive for PSA.8 Histology and immunohistochemistry diversity found in the literature suggest a heterogenous entity with different origins.8

Primary urethra tumors have a low prevalence, therefore there is no algorithm described for follow-up after surgery, recommendation is to individualize each case in the function of elected treatment and prognostic factors.1,2,8

Conclusion

The urethral tumor is a rare entity with no standard diagnostic or treatment algorithm. When occurred in women, it is usually a late diagnosis and found in advanced stage making radical surgery a must. It is important to have a diagnostic suspicion in post-menopausal women with urinary retention, recurrent UTI, or urinary tract symptoms of recent development. Follow-up should be individualized considering prognostic factors; given the lack of information to make it protocoled.

Acknowledgments

None.

Conflicts of interest

Authors declare that there is no conflict of interest exists.

Funding

None.

References

Creative Commons Attribution License

©2023 Cuenca-Ramirez, et al. This is an open access article distributed under the terms of the, which permits unrestricted use, distribution, and build upon your work non-commercially.