Submit manuscript...
eISSN: 2378-3176

Urology & Nephrology Open Access Journal

Case Report Volume 8 Issue 1

Isolated torsion of appendix epididymis–a difficult diagnosis

Márcio Luís Duarte,1 Daniel Pires Penteado Ribeiro,2 Luiz Carlos Donoso Scoppetta2

1IWEBIMAGEM Telerradiologia, São Paulo, Brazil
2Hospital São Camilo, São Paulo, Brazil

Correspondence: Márcio Luís Duarte, WEBIMAGEM Telerradiologia, Avenida Marquês de São Vicente 446, São Paulo, São Paulo, Brazil, Tel 55xx13981112799

Received: January 29, 2020 | Published: February 27, 2020

Citation: Duarte ML, Ribeiro DPP, Scoppetta LCD. Isolated torsion of appendix epididymis–a difficult diagnosis. Urol Nephrol Open Access J. 2020;8(1):30-31. DOI: 10.15406/unoaj.2020.08.00270

Download PDF

Abstract

Appendix epididymis has an estimated prevalence of about 20 % of the pediatric population, being a remnant of the mesonephric duct. It has an echogenicity equal to the epididymis in ultrasound. We report an 8-year-old male patient complaining of pain in the left scrotum for four hours. The objective of this report to emphasize the need for the sonographer to investigate the torsion of the epididymal appendix and not to confuse it with testicular torsion and epididymitis since their treatments are different.

Keywords: child, epididymis/diagnostic imaging, ultrasonography

Introduction

Torsion of the intrascrotal appendages is the most common cause of an acute scrotum in children, comprising 40–60% of the underlying causes of this entity.1 Appendix epididymis is a remnant of the mesonephric (Wolffian) duct, being commonly pedunculated, with an estimated prevalence of about 20 % of the pediatric population, presenting the ultrasound echogenicity equal to the epididymis.2 The appendix epididymis is visualized at sonography as a long-stalked structure projecting from the head of the epididymis and isoechoic to it, measuring 3 to 8 mm in adults.1,2 The diseases related to the acute scrotum in children correspond to epididymitis or orchitis (31%), testicular torsion (38%), appendix testis torsion (24%) and torsion of the spermatic cord,3,4 being a medical emergency due to the possibility of testicular torsion.5 It occurs during the pre-pubertal years (ages 7–14), often precipitated by trauma or exercise, presenting clinically a blue dot, which is pathognomonic for the diagnosis of this condition, but this is found only in 21% of cases, besides edema and pain.3,4

Case report

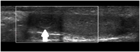
An 8-year-old male patient complaining of pain in the left scrotum for four hours. Relatives deny comorbidities. The patient denies trauma or recent sports. On clinical examination, there is a small blue dot in the painful scrotum. Ultrasound shows preserved testicles, discarding testicular torsion, and a hypoechoic, oval, well-defined image, adjacent to the head of the left epididymis, measuring 6.5 mm, compatible with appendix epididymis torsion (Figure 1). The patient was conducted to conservative treatment – rest and analgesics, with resolution in one week.

Figure 1 Ultrasound shows a preserved left testicle and a hypoechogenic, oval, well-defined image, adjacent to the head of the left epididymis, without vascularization on Doppler study, compatible with torsion of the epididymal appendix (white arrow).

Discussion

The identification of a testicular appendage larger than 5.6 mm is suggestive of torsion.3 Ultrasound is the initial study method in pathologies related to the scrotum, leaving the magnetic resonance imaging only for cases in which ultrasonography is inconclusive.3 The torsion of the appendix epididymis in patients with acute scrotum is a rare event, being rounded or oval nodulation, avascular, heterogeneous, located in the posterolateral aspect of the head of the epididymis, viewed more easily when there is hydrocele in the study ultrasonographic.2 The scintigraphy shows increased uptake in the affected scrotum.3 The main differential diagnosis is epididymitis which needs antibiotic treatment, different from appendix epididymis torsion.1,6 The color Doppler sonography is the imaging technique most commonly used to differentiate between surgical (testicular torsion – without vascular flow) and non-surgical (epididymitis, testicular appendix torsion, epididymis appendix torsion, and orchiepididymitis) treatment.4,5 Depending on the patient´s situation, conservative treatment can be performed, although surgery reduces the symptoms duration.3

Conclusion

The sonographer must be careful during the sonographic study to don´t be confused between the torsion of the appendix epididymis isolated torsion and the appendix epididymis torsion with testicular torsion because the association between the torsions indicates immediate surgery. Also, ultrasound avoids the misdiagnosis of epididymitis, preventing unnecessary antibiotics.

Acknowledgments

None.

Conflicts of interest

The author declares there is no conflict of interest.

Funding

None.

References

Creative Commons Attribution License

©2020 Duarte, et al. This is an open access article distributed under the terms of the, which permits unrestricted use, distribution, and build upon your work non-commercially.