Submit manuscript...
eISSN: 2378-3176

Urology & Nephrology Open Access Journal

Short Communication Volume 11 Issue 1

Intravesical migration of an intrauterine contraceptive device secondarily calcified: a case report

Othman Chama,1 Nabil Alaoui Mhammedi,1 Oussama Benabdelhak,1 Mustapha Ahsaini,1 Soufiane Mellas,1 Jalal Eddine EL Ammari,1 Mohammed Fadl Tazi,1 Mohammed Jamal Fassi,1 Moulay Hassan Farih,1 Yassine Belhaj,2 Yassine Outifa,2 Fatima Zahra Fdili,2 Moulay Abdelilah Melhouf2

1Department of Urology, Hassan Ii University Hospital Fez, Sidi Mohamed Ben Abdellah University, Morocco
2Department of Gynecology, Hassan Ii University Hospital Fez, Sidi Mohamed Ben Abdellah University, Morocco

Correspondence: Othman Chama, Urology department HASSAN II UNIVERSITY HOSPITAL Fez, Sidi Mohamed Ben Abdellah University, Morocco, Tel +0009-0004-3248-4983

Received: March 21, 2023 | Published: April 17, 2023

Citation: Chama O, Mhammedi NA, Benabdelhak O, et al. Intravesical migration of an intrauterine contraceptive device secondarily calcified: a case report. Urol Nephrol Open Access J. 2023;11(1):27-28. DOI: 10.15406/unoaj.2023.11.00325

Download PDF

Abstract

The intrauterine contraceptive device is the most commonly used, safe, and reversible method of contraception. However, this contraceptive method is not without complications. Migration of a device into adjacent organs is the most morbid of all the documented complications. A history that suggests the loss or disappearance of an intrauterine device in a patient with urinary symptoms must suspect intravesical migration. We present a case report describing the migration of an intrauterine contraceptive device into the bladder secondarily calcified.

Keywords: urinary bladder, intrauterine devices, intrauterine device migration, uterine perforation

Background

Intrauterine contraceptive devices (IUCDs) are one of the cheapest and most reliable contraception methods used worldwide.1 Although IUCDs are effective, various complications including infection, bleeding, ectopic, perforation, and pregnancy uterine, have been identified.2 Uterine perforation is a rare complication of IUCDs.3 The exact reason is unknown. However, tissue damage, infection, adhesion, ischemia, and uterine perforation during or after the procedure were accused as a way of migration to the bladder. The rate of transuterine perforation and migration of IUCDs into the abdominal cavity has been estimated at less than 0.1%.4 We report a 42-year-old female who presented with IUCD migration into the urinary bladder with secondary calcification.

Case report

A 42-year-old female presented with recurrent dysuria, pollacuria, urgency, and a few episodes of macroscopic and terminal hematuria for 7 years ago. The was no history of pyuria, lithuria, or fever. She had no history of previous surgery or any comorbid illnesses. She was married and had two children. Intrauterine device insertion had been performed 14 years ago. She has been treated empirically with antibiotics many times elsewhere. She had a pregnancy 8 months after implantation after the insertion of IUCD without any obstetrical complication, but our patient did not know whether IUCD was removed after implantation.

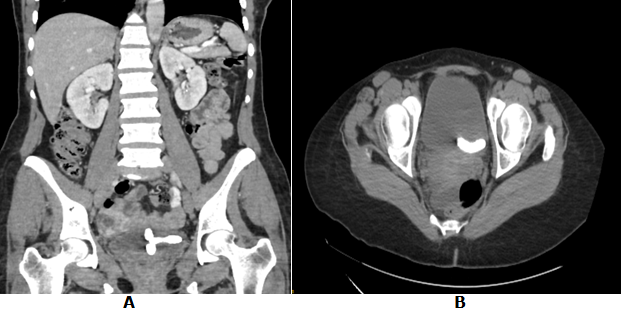
She was stable at admission, and apyretic. Physical examination found a soft abdomen with suprapubic tenderness without defense or contracture. The external urethral meatus was normal. A routine vaginal examination was normal. Cytobacteriological examination of urine (CBEU) found a positive leukocyturia (150 000/ml), microscopic hematuria (42 000/ml), and negative culture. The kidney, ureters, and bladder (KUB) x-ray revealed a T-shaped IUCD on the suprapubic region (Figure 1). Pelvic ultrasonography showed a T-shaped echogenic focus within the bladder. Computed tomography (CT) showed a hyperdense T-shaped material related to calcified IUCD (Figures 2 & 3).

Figure 1 Kidney, ureter, and bladder radiography showing a T-shaped IUCD on the suprapubic region.

Figure 2 Computed tomographic scan showing a calcified IUCD in the urinary bladder.

Cystoscopy was performed and revealed an encrusted Copper T which is mobile without adhesion to the bladder wall. There was no sign of inflammation or fistula Fformation. The IUCD was surgically removed by making a sub-umbilical midline incision of 3cm (Figure 3). There was no complication on the 1st postoperative day with Redon removal on day 2 and ablation of the vesical probe on day 5. The patient has been given an annual consultation appointment. She will be seen before in case of a recurrence of urinary signs.

Figure 3 Post removed image of the IUCD.

Discussion

The intrauterine device is the most efficient and reversible contraceptive method worldwide because of its high effectiveness in regulating fertility, its low risk, and the fact that they do not require surgical intervention.5 However, it can lead to complications, such as uterine perforation, vésico-uterine fistula, pelvic inflammatory disease, bowel perforation, abortion, and infection.6 Uterine perforation incidence ranges from 1 to 3 per 1000 insertions in the literature.7 It becomes more sensitive due to the reduction in uterine size, thinning of the uterine wall, and hypoestrogenism during the breastfeeding and postpartum periods.8 Migration of IUCDs to the rectum, sigmoid, small bowel, and peritoneum has been reported in the literature. The majority of migrated and misplaced IUCDs completely perforate the uterus and remain in the pelvic cavity, while others embed in the omentum.5. There are many reports in the literature that describe the migration of an IUCD into the urinary bladder.9 Normally, the uterus is in an anteverted and anteflexed position and is in close proximity to the bladder; this explains the high propensity of migration into the bladder.10 The exact pathophysiology of perforation remains unknown. However, most authors believe that the placement of the IUCD by a specialist is very important for the prevention of perforations.9. Another hypothesis supports the   migration of the IUCD into the bladder due to infection, adhesion, and tissue damage caused by the vaginal speculum during IUCD placement.10 Uterine perforation due to IUCD is often a silent clinical situation. Associated symptoms including chronic pelvic pain, dyspareunia, dysuria, pollakiuria, microscopic hematuria, pyuria, recurrent and persistent urinary tract infections, vaginal discomfort, stones, incontinence, fistulas, and actinomyces infections, may occur before diagnosis, between 3 months and 5 years. 

Patients are usually treated for urinary tract infections because of irritation caused by the IUD; these signs are not specific, and diagnosis is usually delayed.11 The period between insertion and retrieval of the device ranges from 6 months to 16 years.12 The most accurate methods for diagnosing migrating IUCD are radiography, ultrasound, CT scan, and cystoscopy. CT scans provide the exact position of the migrating IUCD in the pelvic/abdominal cavity and allow for specific management planning.13 Cystoscopy is the ideal therapeutic approach to manage IUCD migration to the bladder.14

Surgery is the gold standard of treatment for migrated IUCDs secondarily calcified.11 An initial cystoscopy is preferable to establish the exact indication for further management.15 For mobile stones, the endoscopic methods will suffice.13 However, if the stone is large or fixed, the open suprapubic cystolithotomy is indicated for safe and complete removal.13

Acknowledgments

None.

Conflicts of interest

The authors declare no conflicts of interest.

References

  1. Kandıralı E, Topcuoglu MA, Semercioz A, et al. Double intrauterine device: presented with protruding urethral stone. Medicine. 2008.
  2. Sinha M, Gupta R, Tiwari A. Minimally invasive surgical approach to retrieve migrated intrauterine contraceptive device. Int J Reprod Contracept Obstet Gynecol. 2013;2(2):147–151
  3. Güvel S, Tekin MI, Kilinç F, et al. Bladder stones around a migrated and missed intrauterine contraceptive device. Int J Urol. 2001;8(2):78–79.
  4.  Brar R, Doddi S, Ramasamy A, et al. A forgotten migrated intrauterine contraceptive device is not always innocent: a case report. Case Rep Med. 2010;2010:740642.
  5. Aggarwal S, Jindal RP, Deep A. Intravesical migration of intrauterine contraceptive devices with stone formation. J Family Med Prim Care. 2014;3(4):449–451.
  6. Ozçelik B, Serin IS, Basbug M, et al. Differential diagnosis of intra-uterine device migrating to bladder using radiographic image of calculus formation and review of literature. Eur J Obstet Gynecol Reprod Biol. 2003;108(1):94–96.
  7. Sepúlveda WH, Ciuffardi I, Olivari A, et al. Sonographic diagnosis of bladder perforation by an intrauterine device. A case report. J Reprod Med. 1993;38(11):911–913.
  8. Atakan rH, Kaplan M, Ertrk E. Intravesical migration of intrauterine device resulting in stone formation. Urology. 2002;60(5):911.
  9. Hoşcan MB, Koşar A, Gümüştaş U, et al. Intravesical migration of intrauterine device resulting in pregnancy. Int J Urol. 2006;13(3):301–302.
  10. Markovitch O, Klein Z, Gidoni Y, et al. Extrauterine mislocated IUD: is surgical removal mandatory? Contraception. Contraception. 2002;66(2):105–108.
  11. Vagholkar S, Vagholkar K. Secondary vesical calculus resulting from migration of an intrauterine contraceptive device. Case Rep Obstet Gynecol. 2012;2012:603193.
  12. Dietrick DD, Issa MM, Kabalin JN, et al. Intravesical migration of intrauterine device. J Urol. 1992;147(1):132–134.
  13. Mbamara S, Omojuwa I. An unusual presentation of perforated intrauterine contraceptive device. Ann Med Health Sci Res. 2013;3(2):274–276.
  14. Phupong V, Sueblinvong T, Pruksananonda K, et al. Uterine perforation with Lippes loop intrauterine device-associated actinomycosis: a case report and review of the literature. Contraception. 2000;61(5):347–350.
  15. van Ophoven A, deKernion JB. Clinical management of foreign bodies of the genitourinary tract. J Urol. 2000;164(2):274–287.
Creative Commons Attribution License

©2023 Chama, et al. This is an open access article distributed under the terms of the, which permits unrestricted use, distribution, and build upon your work non-commercially.