Submit manuscript...
eISSN: 2378-3176

Urology & Nephrology Open Access Journal

Case Report Volume 5 Issue 5

Idiopathic Air Under the Diaphragm, Laparotomy or Laparoscopy?

Khan MH,1 Ahmed T,2 Hussain A2

1Department of Surgery, Airdale General Hospital, UK
2Consultant upper GI Surgeon, Airdale General Hospital, UK

Correspondence: Mohammad Hassan Khan, Department of surgery, Airdale General Hospital, Skipton road, Keighley, BD20 6TD, UK, Tel 441535652511

Received: March 08, 2017 | Published: November 8, 2017

Citation: Khan MH, Ahmed T, Hussain A (2017) Idiopathic Air Under the Diaphragm, Laparotomy or Laparoscopy?. Urol Nephrol Open Access J 5(5): 00184. DOI: 10.15406/unoaj.2017.05.00184

Download PDF

Abstract

Back ground: Acute abdominal pain with air under the diaphragm is a sign of gastrointestinal perforation and an urgent laparotomy is usually recommended.

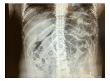
Case Presentation: 42-year-old female presented to Accident and Emergency (A&E) department with severe abdominal pain and chest X-ray showed (Figure 1) free gas under the diaphragm. She was known to have irritable bowel disease (constipation predominantly). She had an urgent laparotomy. Thorough examination of all internal organs was conducted but no abnormality was found.

Figure 1 Chest X-ray showed air under the diaphragm.

Discussion: Acute abdominal pain and presence of pneumoperitoneum is a common acute surgical emergency. Commonest cause is visceral perforation. Other causes are knee-chest exercises, pelvic inflammatory disease, coitus, gynecological examination, vaginal douching and vaginal insufflation. In this particular case we didn’t find any causative factor.

Conclusion: The lesson from this case indicates that diagnostic laparoscopy should be the first line intervention especially for patients that have vague or inconclusive history and pre-operative cross sectional imaging. Pneumoperitoneum secondary to non-surgical causes is rare and laparotomy should be avoided in these patients.

Background

Acute abdominal pain with pneumoperitoneum is a surgical emergency, the commonest cause of which is gastrointestinal (GI) tract perforation.1 There may be occasions when advanced radiological investigations are not easily available or conclusive. An urgent laparotomy rather than laparoscopy is usually conducted to immediately manage intra abdominal contamination and sepsis and also because of lack of laparoscopic experience. There are emerging cases of acute abdomen and pneumoperitoneum that is not related to GI perforation and could settle down with conservative management. Laparoscopy would be a better option as first line management in these cases to avoid unnecessary surgical morbidity due to traditional laparotomy.2

Case presentation

A 42 year old patient presented to the A&E department with sudden onset of epigastric and central abdominal pain. She was feeling generally unwell for couple of days and was treated for sinusitis one day before this presentation. Her general practitioner (GP) treated her for irritable bowel disease in the past. She took regular laxative and only opens her bowel once or twice a week. She was on regular citalopram for depression. On presentation, her pain was worse on movements and she felt nauseous. She had mild tachycardia but otherwise haemodynamically stable. On examination of abdomen she had severe epigastric tenderness and guarding.

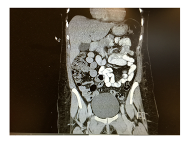
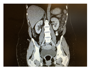
Her inflammatory markers were raised with C reactive protein (CRP) reading at 150 mg/L and White cell count of 10.2X 109. Erect chest X-ray showed large amount of air under the diaphragm and abdominal X-ray showed dilated small bowel loops (Figure 2) in the left upper quadrant and free air between the loops. The patient underwent emergency laparotomy with hissing of air escape at peritoneal opening. All organs were examined and no abnormality was seen. All four quadrants examined thoroughly but no evidence of any bowel leak found. There were no signs of any inflammation in pelvis and a negative laparotomy was concluded. The patient had uneventful recovery and was discharged home on 4th post-operative day. The patient underwent further abdominal and pelvic CT scan Figure 3-5 with contrast few days after the operation for completion of investigation and no abnormality was seen. The patient was reviewed in the clinic one and three months after the operation with no complaint and no post-operative complications.

Figure 2 Dilated Small bowel loops in Left upper quadrant.

Figure 3 Dilated bowel loops and free air.

Figure 4&5 Normal follow up CT scan.

Discussion

In this particular case the patient showed signs and symptoms of acute abdomen and radiological evidence of gas under the diaphragm, a suggestive diagnosis of GI perforation and had laparotomy. From literature search we know that bowel perforation and recent surgical procedures are the commonest causes of pneumoperitoneum. In 10% of cases there are other causes of pneumoperitoneum.1-4 Possible other causes are gynaecological instrumentation or examination, pelvic inflammatory disease, vaginal douching and vaginal insufflation. Other simple causes are Knee-chest exercise, vigorous coitus and high board swimming pool jumping in female.5 Laparotomy is usually performed but there is known associated complications. Postoperative morbidity is a cause for delayed recovery and long hospitalization with increased cost and patient’s unsatisfaction. Minimal access technique is increasingly used nowadays especially where the diagnosis is more certain and offers all the benefits of modern surgery.6,7

Both procedures have their benefits. Laparotomy will be more helpful in patients with multiple previous abdominal scars, extensive peritonitis, suspected complex pathology. Laparoscopy on other hand is suitable for cases with vague presentations, perforated duodenal and gastric ulcer, and localised peritonitis. Laparoscopy as first line surgical management is therefore a better option in selected cases. Presentation, co-morbidities, degree of the leak and faecal peritonitis and previous abdominal procedure play important role in patient selection. In experienced hands previous laparotomies are not contra indication to laparoscopy.8 It is important to take complete history and ask about the possibility of other causes of pneumoperitoneum speciality when clinical findings are not in proportion with symptoms. It may be difficult to obtain proper gynaecological and sexual history but with no clue of pervious gastrointestinal problems and pharmacological agents, it is important that we ask and clinically assess for specific circumstances.

Conclusion

Pneumoperitoneum without gastrointestinal perforation is a rare cause for acute abdomen. Laparoscopy rather than laparotomy should be the treatment of choice in cases when there is vague history or inconclusive cross sectional imaging. Traditional laparotomy is still a valid option when lack of minimal access technique or anticipated severe faecal peritonitis or complex postoperative abdominal pathology is expected.

Acknowledgments

None.

Conflicts of interest

None.

Funding

None.

References

Creative Commons Attribution License

©2017 Khan, et al. This is an open access article distributed under the terms of the, which permits unrestricted use, distribution, and build upon your work non-commercially.