Submit manuscript...
eISSN: 2378-3176

Urology & Nephrology Open Access Journal

Case Report Volume 2 Issue 4

Ectopic thoracic kidney: case presentation and literature review

Bolio Laviada F,1 Torres Alvarado B,2 Rumbo Gutierrez C3

1Urology Resident RH ?Dr. Valentin Gomez Farias? ISSSTE Zapopan Jalisco, USA
2Affiliated of the Urology Service from the General Hospital ?Dr. Miguel Silva? Morelia Michoac
3General Surgery Resident from the General Hospital ?Dr. Miguel Silva? Morelia Michoac

Correspondence: Bolio-Laviada Fernando, Urology Resident RH, Dr. Valentin Gomez Farias, ISSSTE Zapopan Jalisco, Mexico, USA

Received: May 23, 2015 | Published: June 11, 2015

Citation: Bolio-Laviada F, Torres-Alvarado B, Rumbo-Gutiérrez C. Ectopic thoracic kidney: case presentation and literature review. Urol Nephrol Open Access J. 2015;2(4):100-102. DOI: 10.15406/unoaj.2015.02.00044

Download PDF

Abstract

Objective: A clinical case of a 67-year-old male incidentally diagnosed with left intrathoracic kidney during the study of abdominal pain.

Methods: A literature review about de incidence, origins, clinics and diagnosis of this kind of ectopic kidney was made.

Results: A thoracoabdominal CAT scan with contrast revealed an ectopic intrathoracic kidney with a left diaphragmatic hernia.

Conclusion: Ectopic intrathoracic kidney is a quite infrequent finding; it is usually asymptomatic, diagnosed incidentally and it generally does not require any treatment.

Introduction

The anomalous location of the kidney is called ectopic kidney. An ectopic kidney may be pelvic, ileac, abdominal or thoracic. The most common variety of ectopic kidney is pelvic which shows one case in every 3000 autopsies.1 There isn’t any statistical significance between the two genders, every age has been described and there is a mild trend for the ectopic kidney to be present on the left side.2 It more often affects the left kidney because the liver protects the right diaphragm against pressure changes.3

The ectopic thoracic kidney constitutes only 5% of all ectopias only finding one case in every 15,000 autopsies. It may be a partial or complete renal protrusion above the diaphragm in the posterior mediastinum.4 There are only 140 cases in the world literature from which only four are bilateral.3

The diagnosis is generally incidental with no pathological implication. A case of an ectopic thoracic kidney is presented along with a review of the literature.

Clinical case

Male of 67years-old without any important family inherited history, positive to smoking for 20years 15 cigarettes a day and who quit 10years ago; occasional alcohol ingestion; no allergies; O+ hemotype; suffering from Type 2 Diabetes Mellitus treated with NPH insulin 35UI in the morning and 20 UI at night besides Metformin 1 tab orally every 24hours; systemic arterial hypertension treated with Losartan 1 tablet orally every 12hours and Hydrochlorothiazide 1 tablet orally every 24hours; without any other comorbid; no previous surgeries or fractures.

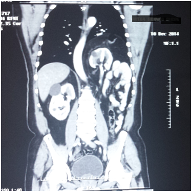
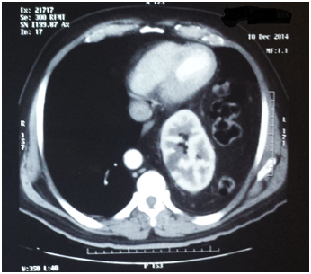
The patient attends the urology outpatient clinic because the previous week he had presented lumbar pain radiating to the right flank as well as the right iliac fossa, intermittent, without fever but with occasional constipation and flatulence. The patient attends to a private’s hospital ER and is prescribed with analgesics, however, 24hours later he presents a new pain condition and attends the same center and undergoes further complete laboratory tests that did not present any alterations. After a throaco abdominal Computerized Axial Tomography with contrast, the presence of intra thoracic ectopic kidney and left diaphragmatic hernia is observed and with a progress caused by the medical treatment administered in the hospital, the patient attends the Urology service due to the presence of left ectopic kidney. Upon arrival to the clinic, the asymptomatic patient does not show any urological pathology and turns out with normal laboratory results (Figure 1-4).

Figure 1 CT sacan show a left kidney near to the heart.
Figure 2 CT sacan show a left kidney near to the heart.
Figure 3 CT sacan show a left kidney near to the heart.
Figure 4 CT sacan show a left kidney near to the heart.

Discussion

It is known that kidney and urinary malformations share pathogenic mechanisms and genetic causes. There are several theories on how these malformations are produced in the urinary system:

  1. kidney and ureteric damage due to the obstruction of the urine flow
  2. Damage due to dysfunction of the vesical and the uretero vesical junction
  3. Ectopic initial ureteral bud which originates from the Wolffian ducts
  4. Primary defect in the cell-level interaction between the ureteral bud and the metanephric mesenchyme.

From the observation of several embryos, Mackie and Stephens explained how the congenital anomalies derive from a common mechanism, which occurs at the moment when the ureteral bud is born from the Wolffian conduct. During the normal embryonic development, the final segment of the Wollfian duct is inserted into the cloaca to form the bladder’s hemitrigone, therefore when the migration of the ureteral bud starts at an ectopic site, its end will end the same way and will produce multiple anomalies in the urinary tract such as obstruction, reflux, kidney dysplasia and ectopia.

The pleuroperitoneal membrane which will form the diaphragm merges towards the end of the eight week of gestation; at this moment, the kidney is reaching the position where it would be in adult life. It is unclear if a delay in the diaphragmatic closure will lead to a thoracic ectopia or, if on the contrary, a rushed ascent before the closure may be the cause of a diaphragmatic hernia with thoracic kidneys. It has been proposed that intrinsic disorders of the kidney development lead to a delay in the involution of the mesonephric duct.

The intrathoracic ectopic kidney is a quite infrequent event which represents less than 5% of all ectopias and it is more frequent in men than in women.4–6 In the few cases described, there is no clear association with another congenital anomaly. The thoracic kidney takes the aspect of the postero lateral mediastinum, separated by a thin layer of the pleura without being inside the pleural cavity; therefore, there is no pneumothorax and the kidney’s outline and the configuration of the collection system is normal. The renal vessels originate at their usual position or one level above and enter the thorax through the Bochdalek foramen, the ureter comes out of the chest cavity through this opening as well. There has been hypoplasia of the lung’s adjacent lower lobe and the adrenal gland takes its usual position.7 The incidence of intrathoracic kidney with Bochdalek hernia does not reach 0.25%, this normal anatomic configuration of thoracic kidney differentiates from ectopias at other places where the kidneys are usually smaller, lose their reniform characteristic and in many cases suffer hydronephrosis due to obstruction or associated reflux.8

Although most patients remain asymptomatic and the diagnosis is made incidentally, there are informed literature cases where patients have shown symptoms due to the obstruction of the pyeloureteral junction, ectopic spleen, late diagnosed diaphragmatic hernia, pneumothorax, pneumomediastium.9–11 Unlike ectopic kidneys located elsewhere where there are constant associated anomalies: hydronephrosis due to obstruction or non-ectopic contralateral kidney reflux in 25%17 or genitalia anomalies up to 45%18: thoracic kidney does not seem to be like this.

Conclusion

The thoracic ectopic kidney is an infrequent pathology that has a genetic alteration as a base. Nowadays we can count on image resources that allow clearing the state of the kidney’s anatomy and function to give diagnosis without the need of more invasive studies. The treatment is usually conservative, except when they are associated to urinary or pulmonary pathologies. If surgery were required, the movement of the kidney and the closure of the diaphragmatic hernia would be made. It is worth and important to mention this is a pathology that should be treated in an interdisciplinary way.

Acknowledgements

None.

Conflict of interest

The author declares no conflict of interest.

References

  1. Sözübir S, Demir H, Ekingen G, et al. Ectopic thoracic kidney in a child with congenital diaphragmatic hernia. Eur J Pediatr Surg. 2005;15(3):206–209.
  2. Pascual MS, Fernández LD, Calleja JE, et al. Herniación in­tratorácica traumática del riñón izquierdo. Actas urol Esp. 2003;27(3):229.
  3. Estuart b. Anomalies of the upper urinary tract. Walsh– retik–vaughan–wein: campbell’s urology. 2012;3:117
  4. Sevgi keles, aladin dilzis, Hasibe Artac, et al. Late presenting congenital diaphragmatic hernia associated with ectopic thoracic kidney. European journal of pediatrics. 2006;165(8):571–572.
  5. Beltrán armada, Serrano Durbá A, Coronel Sánchez B, et al. Duplicidad pie­loureteral y riñón intratorá Actas urol Esp. 2004;28(3):249.
  6. Sfaxi M, Miladi M, Loussaief H, et al. Intrathoracic kidney due to dia­phragmatic hernia:a case report. Prog Urol. 2002;12(3):477.
  7. Karaoglanoglu N, Turkyilmaz A, Eroglu A, et al. Right–sided bochdalek hernia with intrathoracic kidney. Pediatr Surg Int. 2006;22(12):1029–1031.
  8. Sevgi keles, aladin dilzis, Hasibe Artac, et al. Late presenting congenital diaphragmatic hernia associated with ectopic thoracic kidney. European journal of pediatrics. 2006;165(8):571–572.
  9. Kubricht WS, Henderson RJ, Bundrick WS, et al. Renal cell carcinoma in an intrathoracic kidney: radiographic findings and surgical considera­tions. South med J. 1999;92(6):628–629.
  10. Lenz DL, Clair DL, Fetzer AE, et al. Percutaneous nephrolithotomy of an intrathoracic ki­dney. Urology. 2003;61(2):462.
  11. Louzir B, Beji M, Chtourou S, et al. Diagnosis of an opacity at the lung base: intrathoracic kidney. Rev Mal Respir. 1999;16(2):207–209.
Creative Commons Attribution License

©2015 Bolio-Laviada, et al. This is an open access article distributed under the terms of the, which permits unrestricted use, distribution, and build upon your work non-commercially.