Submit manuscript...
eISSN: 2378-3176

Urology & Nephrology Open Access Journal

Review Article Volume 5 Issue 3

Bladder Trauma: A 7 Year Review

Khadjibaev AM, Maksudkhon Rashidov, Khalilov ML

Republican Research Centre for Emergency Medicine, Uzbekistan

Correspondence: Maksudkhon Rashidov, Republican Research Centre for Emergency Medicine, str. Farkhad 2,100107,Tashkent, Uzbekistan, Tel 998909582053

Received: September 24, 2016 | Published: September 21, 2017

Citation: Khadjibaev AM, Rashidov M, Khalilov ML (2017) Bladder Trauma: A 7 Year Review. Urol Nephrol Open Access J 5(3): 00175. DOI: 10.15406/unoaj.2017.05.00175

Download PDF

Abstract

This article reports our experience regarding the management of bladder trauma. The injuries were intraperitoneal in 79 patients (66.9%), extraperitoneal in 34 (28.8%) and in 5 (4.2%) patients combined. Bladder injury repairs surgically at 105 (88.9%) patients, 5 (4.2%) of them with isolated injury managed laparoscopically. 13 (11%) patients with extraperitoneal bladder injuries successfully managed without operation just with urethral catheterization. The mean duration of treatment was 13.8 (7-42) days; mortality is 11 (9.3%) patients.

Keywords: bladder trauma rupture, urinary bladder, Ct cystogram, laparoscopically

Introduction & objectives

Trauma has become a significant health problem, in part due to high velocity transportation and the use of penetrating weapons. Not only the young, but also the elderly and pregnant women are affected. Associated trauma of pelvis and urinary tract considered as severe trauma, due to prolonged treatment, disability and rehabilitation and also high mortality. Bladder injuries are one of the most frequent urological injuries in trauma patients. Bladder injuries occur in 1.6% of blunt abdominal trauma cases.1,2 A mean of 80% are associated with pelvic fracture and the rest occur from a blow to the lower abdomen with distended bladder. Therefore, several investigations have been carried out to find out whether a certain location of the pelvic fractures is associated with an increased incidence of bladder injury.3 Bladder contusion with lesion of the bladder mucosa without bladder wall perforation is very rare and its incidence is very difficult to assess.4 Extraperitoneal ruptures are the most common (about 55%), followed by intraperitoneal (38%) and combined intra- and extraperitoneal (5-8%) ruptures.5

Material & methods

We prospectively reviewed the medical records and details of urinary bladder injuries between January 2008 and September 2015 at the Republican Research Center for Emergency Medicine of Uzbekistan and at the 3 regional branches of the center. The CT scans were done on a Multi Detector CT Brilliance - 40, (Philips, Holland). To assess the severity of bladder injury we used classification of the American Association for Surgery of Trauma (AAST) Organ Injury Severity Scale 2010. During diagnostic laparoscopy all patients were positioned in supine position and a three port-technique (5mm, 10mm, and 12mm) was performed and Storz equipments were used for all cases.

Results

During the 7-year period there were 118 patients with urinary bladder trauma, 94 (79.6%) men and 24 (20.3%) women. In 9 (7.6%) patients there was simultaneous injury of the urinary bladder and posterior urethra. The injuries were intraperitoneal in 79 patients (66.9%), extraperitoneal in 34 (28.8%) and in 5 (4.2%) patients combined. In outpatient unit, 17 (14.4%) patients revealed early signs of peritonitis, on who was subsequently performed diagnostic laparoscopy. The mean operation time was 68 minutes (45-175minutes), mean length of bladder tear was 3.7cm (1.5-9.5cm). Diagnosis was by abdominal ultrasonography in 102 (86.4%), IVU in 40 (33.8%), cystography in 46 (38.9%) and CT in 23 (19.4%). The interval between trauma and diagnosis was 0.5–108h. During surgery a monolayer suture of the bladder wall was used in 12 patients (10.2%), a two-layered suture in 93 (78.8%), perivesical drainage in 89 (75.4%) and the peritoneal cavity inspected in 82 (69.5%). Treatment of 13 (11%) patients with extraperitoneal bladder injuries successfully managed without operation just with catheterization. Blood transfusion has been executed at 10 (8.4%) patients with combined trauma. The mean duration of treatment was 13.8 (7-42) days; mortality is 11 (9.3%) patients.

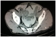
Diagnostic and treatment processes of patients was carried out according to the diagnostic algorithm developed in the Republican research center for emergency medicine at injury of a bladder taking into account the dominating pathology. On this diagnostic algorithm taken patent from Agency on intellectual property of the Republic of Uzbekistan. No. DGU 2010 0177. The valuable diagnostic method of bladder injury is retrograde cystography. At doubtful cases CT more precisely allows to determine the volume and nature of bladder injury and to estimate condition of other associated lesions. At 5 (4.2%) patients the isolated injury of a bladder managed by laparoscopic repair of a bladder rupture on an urethral catheter (Figures 1 & 2).

Figure 1 Retrograde CT cystogram. Bladder filled with contrast. Extravasation of contrast.

Figure 2 3cm defect visualized at the dome of the bladder during laparoscopic repair.

Discussion

A standard diagnostic approach to bladder injuries has been established. Basically, injury is indicated by micro- or gross haematuria. Retrograde cystogram, which is almost 100% sensitive, is a standard diagnostic tool for bladder rupture.5 Gross haematuria with pelvic fracture is an absolute indication for cystogram.6 The cystogram can be done by conventional radiology or by CT scan, based on clinician preference.7 Many studies enhance their evidence saying that CT cystography is an accurate and safe method to identify bladder injury in blunt abdominal trauma without compromising patient care or overuse of resources. CT cystography is now part of the standard imaging protocol for trauma at many institutions 8 The key in either case is to ensure that the bladder is well filled with at least 300 ml of contrast medium. Urinary ascites with abnormal serum electrolytes, blood urea nitrogen and creatinine indicate an intraperitoneal rupture.9

Bladder trauma is seldom an isolated injury and is usually part of multiple injuries.3 Generally, intraperitoneal rupture results in a large tear in the bladder dome. Open surgical repair is the standard treatment for intraperitoneal bladder rupture, but nowadays some authors prefer to manage intraperitoneal bladder rupture with laparoscopy.10 Formal surgical repair with absorbable suture is the standard of care.1 Most extraperitoneal ruptures may be managed by catheter drainage alone and the bladder will heal without intervention. In 90% of extraperitoneal injuries, healing occurs within 10days.7,11,12 Some authors prefer surgical repair of extraperitoneal ruptures if the patient requires exploratory laparotomy for other injuries.8 Other important reasons to proceed with surgical repair are failure of the catheter to provide adequate drainage; concomitant vaginal or rectal injury; bladder neck injury/avulsion injury. The patients, who are operated for internal fixation of a pelvic fracture, require bladder repair to prevent urinary extravasation. This will prevent infection through foreign materials of internal fixation.13,14

Acknowledgments

None.

Conflicts of interest

All authors declared there are no conflicts of interest.

Funding

None.

References

  1. Bhanot A, Bhanot A. Laparoscopic repair in intraperitoneal rupture of urinary bladder in blunt trauma abdomen. Surg Laparosc Endosc Percutan Tech. 2007;17(1):58–59.
  2. McAninch JW, Richardson JR. Diagnostic bladder ruptures. Acad. Radiol. 2001;8(5):215–217.
  3. Vaccaro JP, Brody JM (2000) CT cystography in the evaluation of major bladder trauma. Radiographics. 2000;20(5):1373–1381.
  4. Morgan DE, Nallamala LK, Kenney PJ, et al. CT cystography:radiographic and clinical predictors of bladder rupture. II AJR Am J Roentgeno. 2000;174(1):89–95.
  5. Sandler СМ, Goldman SM, Kawashima A. Lower urinary tract trauma. World J Urol. 1998;16(1):69–75.
  6. Iverson AJ, Morey AF. Radiographic evaluation of suspected bladder rupture following blunt trauma: critical review. World J Surg. 2001;25(12):1588–1591.
  7. Pao DM, Ellis JH, Cohan RH, et al. Utility of routine trauma CT in the detection of bladder rupture. II Acad Radiol. 2000;7(5):317–324.
  8. Brandes S, Borrelli J. Pelvic fracture and associated urologic injuries. World J Surg. 2001;25(12):1578–1587.
  9. Werkman HA, Jansen C, Klein JP, et al. Urinary tract injuries in multiply–injured patients: a rational guideline for the initial assessment. Injury. 1991;22(6):471–474.
  10. Appeltans BM, Schapmans S, Willemsen PJ, et al. Urinary bladder rupture: laparoscopic repair. Br J Urol. 1998;81(5):764–765.
  11. Wirth GJ, Peter R, Poletti PA, et al. Advances in the management of blunt traumatic bladder rupture: Experience with 36 Cases. BJU Int. 2010;106(9):1344–1349.
  12. Corriere JN, Sandler CM. Diagnosis and management of bladder injuries. Urol Clin North Am. 2006;33(1):61–71.
  13. Lynch ТН, Martínez–Piñeiro L, Plas E, et al. EAU Guidelines on Urological Trauma. Eur Urol. 2005;47(1):1–15.
  14. Morey AF, Iverson AJ, Swan A, et al. Bladder rupture after blunt trauma:guidelines for diagnos­tic imaging. Trauma. 2001;51(4):683–686.
Creative Commons Attribution License

©2017 Khadjibaev, et al. This is an open access article distributed under the terms of the, which permits unrestricted use, distribution, and build upon your work non-commercially.