Submit manuscript...
eISSN: 2378-3176

Urology & Nephrology Open Access Journal

Case Report Volume 5 Issue 5

Adrenal Ganglioneuroma: A Rare Case Report and Literature Review

Yang Yu, Wu Zeshen, Zhang Jiahao, Wu Hongwei, Shi Bentao

Department of Urology, Peking University Shenzhen Hospital, China

Correspondence:

Received: June 05, 2017 | Published: November 8, 2017

Citation: Yu Y, Zeshen W, Jiahao Z, Hongwei W, Bentao S (2017) Adrenal Ganglioneuroma: A Rare Case Report and Literature Review. Urol Nephrol Open Access J 5(5): 00185. DOI: 10.15406/unoaj.2017.05.00185

Download PDF

Abstract

Background: Adrenal ganglioneuroma is a rare sympathetic tumor which originated from adrenal medulla.1 Multi slice spiral CT and 3d reconstruction have gradually been considered as one of the most important technical for discovery and identification of the incidentalomas. However, the accurate diagnosis of this tumor remains a challenge due to its nonspecific clinic and radiological performance. This report presents the clinic and radiological data for the infrequent tumor which should share some experience to facilitate the criteria for the diagnosis of adrenal ganglioneuroma.

Case presentation

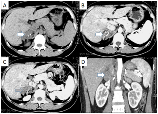
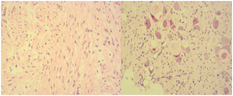
A 32 age women underwent a regular routine test 1 month ago that ultrasound showed a mass in the right adrenal gland. She denied any known medical conditions, such as hyperaldosteronism, hypertension and hypercortisolism. Further examination was taken in our hospital. The contrast-enhanced CT identified a quasi-circular nodular lesion in the right adrenal gland, measuring 6x6.5cm and displaying heterogeneous with mottling and spotty dense calcification on the edge of the mass. The margin of lesion was clear and presented 46 HU in plain scan and 68-113 HU in the enhancement. The tumor surrounded the right renal vein and part of postcava, but didn’t narrow the vessels (Figure 1). All of functional laboratory evolution showed negative including blood testing for catecholamines (epinephrine and norepinephrine) and their metabolites (metanephrine in serum and VMA in a 24-hour urine sample), free cortisol and ACTH (adrenocorticotropic hormone) in serum and plasma testing for renin-angiotensin-aldosterone under recumbent and upright state. A laparoscopic right adrenalectomy was performed (Figure 2) and postoperative pathology revealed a right ganglioneuroma. Immunohistochemistry showed S-100, CD56, Syn and CgA staining are positive Figure 3 & 4). After one year follow-up, the patient has not had any local recurrence and distant metastasis.

Figure 1 Angio Computed Tomography (CT): The arrows show a nodular lesion of the right adrenal gland with 6.5X6 cm surrounded right renal vein and part of postcava. (A) Plain scan (B) Arterial phase (C) Delay scan (D) Three-Dimension reconstruction.

Figure 2 A mass with intact capsule and partial adrenal tissue was removed by laproscopic surgery.

Figure 3 The mass was four lobulated with ivory material and sporadic calcification.

Figure 4 Multifocal ganglion cells are positive for CgA, Syn and CD56. Schwann cells are positive for s-100.

Discussion

Preoperative accurate diagnosis is a challenge for adrenal ganglioneuromas due to the lack of significative clinical symptoms and signs. Most of adrenal ganglioneuroma do not have endocrine function, it was reported there are 20%-30% of the tumors can secrete testosterone, catecholamines and its metabolites by some research.2-4 The adrenal imaging is the helpful measures for its diagnosis and differential diagnosis. CT is an effective radiological examination to support the diagnosis by some typical characteristics: (a) the mass can present different shape like circular, oval, crescent and lobulated. The majority of the tumor edge is smooth and the boundary is clearly defined5,6,1 (b). The embedded growth pattern: some tumor can grow along the gap of adjacent tissues or vessels and encompass them (including aortaventralis, postcava and renal vessels)7 (c). Plain CT scan often display low-density lesions and delayed enhancement or mild enhancement, the periphery of ganglioneuromas show more obvious enhancement8 (d). There are about 25% of the tumors with calcification which present mottling and spotty,9 this rate is 2.4% to 60% by other studies.10,11

The proportion of the tumor cells, collage fibers and the mucus matrix determines the imaging features of MR. Generally it assumes homogeneous isointense signal on T1W1 and heterogeneous hyperintense signal on T2W1. Whirlpool sigh is the characteristics feature on T2W1 that means a few curved or linear hypointense signal region exists in surrounding extensive hyperintense signal region.12,13 Pathologic morphology of ganglioneuroma is constitued by strip Schwann cell and tufted gangliocyte. The diagnosis mainly depends on whether there is the existence of ganglion cells in the tumor. Immunohistochemical examination can be found positive for neuron specific enolase (NSE), CgA, S-100 and Syn. In addition, there are still a small number of tumors in the presence of neuroblast which can lead to recurrence and metastasis.14-15 Adrenal ganglioneuromas generally is considered as be nigh tumor, there are several reports of malignancy certainly which often present the aggressive on the adjoining organs, lymph nodes and even liver. Laproscopical surgical resection is still the primary treatment for that carcinoma.1,16 A rare case revealed adrenal ganglioneuromas maybe bloom into neuroblastoma in child, that reminds it is very meaningful to undergo postoperative regular examination and long-term follow-up.17

Acknowledgments

None.

Conflicts of interest

None.

Funding

None.

References

  1. Oderda M, Cattaneo E, Soria F, et al. Adrenal ganglioneuroma with multifocal retroperitoneal extension: a challenging diagnosis. Scientific World Journal. 2011;11:1548–1553.
  2. Brouwers FM, Eisenhofer G, Lenders JW, et al. Emergencies caused by pheochromocytoma, neuroblastoma, or ganglioneuroma. Endocrinology and Metabolism Clinics of North America. 2006;35(4):699–724.
  3. Rondeau G, Nolet S, Latour M, et al.  Clinical and biochemical features of seven adult adrenal ganglioneuromas.J Clin Endocrinol Metab. 2010;95(7):3118–3125.
  4. Polat AV, Polat AK, Asian K. Dopamine-secreting giant adrenal ganglioneuroma: clinical and diffusion-weighted magnetic resonance imaging findings.JBR-BTR. 2014;97(2):109–112.
  5. Yang WZ, Wei HJ, Gu DQ. Diagnosis and treatment of adrenal ganglioneuroma in the shape of Wax Drip.Chinese General Practice. 2012;15(12): 1378–1379.
  6. Fan MH, Wang YJ, Xiong AP. CT and MRI features of adrenal ganglioneuroma: correlated with pathologic fidings. Radiologic Practice. 2014;29(1):85–87.
  7. Zhang HM. Radiological appearances of ganglioneuromas.Journal of Clinical Radiology. 2002;21(7):527–530.
  8. Park BK, Kim CK, Kim B, et al. Adrenal tumors with late enhancement on CT and MRI.Abdom Imaging. 2007;32(4):515–518.
  9. Chen XJ, Gao JB. CT findings in ganglioneuromas.Journal of Clinical Radiology. 2000;19(3):159–161.
  10. Allende DS, Hansel DE, Maclennan GT. Ganglioneuroma of the adrenal gland. J Uro. 2009;182:714–715.
  11. Maweja S, Materne R, Detrembleur N, et al. Adrenal Ganglioneuroma. Am J Surg. 2009;194(5):683–684.
  12. Ichikawa T, Ohtomo K, Araki T, et al. Ganglioneuroma: computed tomography and magnetic resonance features.Br J Radiol. 1996;69(818):114–121.
  13. Zhang Y, Nishimura H, Kato S, et al. MRI of ganglioneuroma: histologic correlation study. Journal of Computer Assisted Tomography. 2001;25(4):617–623.
  14. Jung HR, Kang KJ, Kwon JH, et al. Adrenal ganglioneuroma with hepatic metastasis. J Korean Surg Soc. 2011;80(4):297–300.
  15. Yamaguchi K , Hara I, Takeda M, et al. Two cases of ganglioneuroma. Urology. 2006;67(3):622.e1–622.e4.
  16. Sgourakis G, Lanitis S, Karaliotas C. A young woman with refractory GI symptoms. Adrenal ganglioneuroma. Gastroenterology. 2010;139(4):e5–e7.
  17. de Chadarévian JP, Pascasio JM, Halligan GE, et al. Malignant peripheral nerve sheath tumor arising from an adrenal ganglioneuroma in a 6-year-old boy. Pediatr Dev Pathol. 2004;7(3):277–284.
Creative Commons Attribution License

©2017 Yu, et al. This is an open access article distributed under the terms of the, which permits unrestricted use, distribution, and build upon your work non-commercially.