Submit manuscript...
eISSN: 2378-3176

Urology & Nephrology Open Access Journal

Conceptual Paper Volume 2 Issue 1

Acucise ® endoureterotomy: a forgotten treatment option in ureteral strictures of benign origin between the ureteropelvic and ureterovesical junctions; long-term results?

Campschroer T,1 Lock MTWT,1,2 Bosch JLHR1

1Department of Urology, University Medical Center Utrecht, Netherlands
2Department of Urology, Central Military Hospital Dr. A. Mathijsen, Netherlands

Correspondence: Campschroer T, Resident in Urology, Department of Urology, University Medical Center Utrecht, Heidelberglaan 100, 3584 CX Utrecht, Netherlands, Tel 31887558079, Fax 31302540532

Received: December 29, 2014 | Published: February 11, 2015

Citation: Campschroer T, MTWT Lock, JLHR Bosch. Acucise ® endoureterotomy: a forgotten treatment option in ureteral strictures of benign origin between the ureteropelvic and ureterovesical junctions; long-term results? Urol Nephrol Open Access J. 2015;2(1):16-20. DOI: 10.15406/unoaj.2015.02.00025

Download PDF

Abstract

Objective: To describe our results and experience with the Acucise® cutting balloon device in ureteral strictures of benign origin and to compare success rates with other available minimal invasive endourologic procedures to clarify its value.

Methods: We performed a retrospective analysis of a prospectively kept database of all patients treated with Acucise® for non-malignant ureteral strictures between ureteropelvic and vesicoureteral junctions from 2004 until 2012. We retrieved data on perioperative diagnostic imaging, the Acucise® treatment performed, complications and outcome.

Results: Fourteen patients underwent Acucise® ureterotomy for ureteral strictures (mean age 59years). A total of 21 strictures were treated. In all procedures, the ureterotomy was successful. In all patients, a double-J catheter was placed for 6weeks. One intra operative bleeding complication was observed, treated conservatively. Overall success rate was 71% (mean follow-up 44.1months).

Conclusion: Study results with Acucise® showed a comparable or even higher success rate than with other forms of endoureterotomy. Acucise® is a safe, effective and fast method with low associated morbidity and short hospital stays. In selected patients this is a suitable treatment option, which should always be considered for treating relatively short ureteral strictures of benign origin.

Keywords: acucise, endoureterotomy,ureteral stricture, benign

Abbreviations

UPJ, uretero pelvic junction; UVJ, uretero vesical junction; MAG3, radioisotope renography; X-RPG, retrograde pyelography

Introduction

The etiology of ureteral strictures is diverse and can be divided into congenital and acquired strictures. Congenital ureteral strictures are mostly located at the ureteropelvic junction (UPJ) and the ureterovesical junction (UVJ).1 Acquired strictures may occur after open and endoscopic stone surgery, but also following open and laparoscopic surgery of urological, vascular or gynecologic origin.2,3 The increased use of ureterorenoscopy has led to an increase in the incidence of iatrogenic ureteral strictures. Acquired strictures may also be caused by stone passage, radiotherapy and after chronic inflammation, such as tuberculosis.2,3

The use of balloon dilatation was first introduced by Gruntzig for the treatment of coronary artery stenosis in 1978; later, this treatment modality was also used in the urinary tract.4 Different treatment modalities for ureteral strictures are described in literature, such as the placement of a stent, cold-knife and hot-knife incision, laser treatment, Acucise® cutting balloon endoureterotomy or acombination of these methods.5–8

The Acucise® device was first used by Clayman and coworkers in a 36year old male with UPJ obstruction in December 1990. The publication of these data came together with the introduction of Acucise® endoureterotomy in 1993.9 Parallel with this study the first case series of laparoscopic pyeloplasty for UPJ obstruction were introduced in literature in 1993.10 The success stories of laparoscopic pyeloplasty in the treatment of UPJ obstruction, with success percentages of 96 to 100%, pushed the use of Acucise® endopyelotomy and endoureterotomy to the background.11 Although open pyeloplasty remained the gold standard to which all other modalities were compared, laparoscopic pyeloplasty gained more and more popularity, certainly above endourologic procedures such as Acucise®.

However, even though there is no gold standard for the treatment of ureteral strictures between UPJ and UVJ, Acucise® is an accepted method in selected cases? The aim of the present analysis is to show the long term value of Acucise® in non-malignant ureteral strictures in between UPJ and UVJ compared to other minimal invasive endourologic techniques. UPJ obstruction and UVJ strictures will not be included in this analysis.

Material and methods

Patients

Fourteen patients were treated with Acucise® for benign ureteral strictures between June 2004 and April 2012 (Table 1). Preoperatively, all patients underwent ultrasound and CT Urogram was performed, with special attention for the surrounding vasculature near the ureteral stricture and to exclude a malignant cause of the ureteral stricture. Supplementary CT-angiography was performed in selected cases if vasculature was not clearly visible on CT Urogram. Split kidney function was determined by radioisotope renography (MAG3). Peri operatively, a retrograde pyelography (X-RPG) was made and patients received a standard single dose of cefazolin 2000 mg intravenously, or specific antibiotic treatment was given based on last urine culture.

Pt

Sex

Age

Side

No of Stric

Loc

Cause of Stric

Pre

op func renogr

Post op

func renogr

Pre op creat (umol/L)

Post op creat (umol/L)

Complications

Primary

outcome

Secondary outcome

Follow-up (months)

1

M

36

R

1

Prox

RT/Surg

37%

33%

90

78

None

Success

-

38

2

F

58

L

1

Dist

Surg

38%

36%

72

73

None

Success

-

57

3

F

78

R

2

Mid

Stones

55%

44%

86

127

None

Success

-

41

4

F

70

R

1

Prox

Stones

44%

38%

97

102

None

Success

-

61

5

M

56

L

1

Mid

Stones

45%

38%

102

92

None

Success

-

35

6

M

52

R

3

Prox/Mid

Stones

34%

33%

Unknown

Unknown

None

Success

-

27

7

M

45

L

1

Dist

RT /Surg

43%

46%

82

93

Bleeding/Gr 1

Success

-

76

8

F

51

L

2

Prox

Surg

36%

36%

106

95

None

Failure

Ureterolysis

16

9

M

51

L

1

Prox

Surg

48%

53%

85

Unknown

None

Success

-

66

10

F

74

L

1

Mid

Stones

31%

33%

83

74

None

Failure

Double-J

37

11

F

58

R

3

Mid/Dist

Surg

43%

Unknown

68

46

None

Unknown

-

Unknown

12

M

63

L

1

1

Stones

30%

29%

87

100

None

Success

-

10

13

M

71

R

1

Dist

RT/Surg

35%

32%

155

194

None

Failure

Double-J

26

14

M

58

L

2

Prox/Mid

Stones

46%

47%

108

118

None

Success

-

17

Table 1 Baseline characteristics and results of Acucise® endoureterotomy

Complications were rated according to the Clavien-Dindo Classification
Stric, strictures; loc, localization; pre op, preoperative; func, function; reno gr, renography; post op, postoperative; prox, proximal; dist, distal; mid, midurethral; RT, radiotherapy; surg, surgery; stones, stone treatment

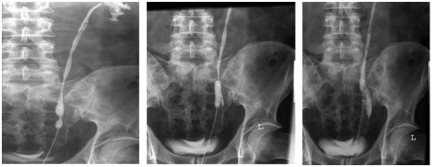
The patient population consisted of 8 men and 6 women; mean age was 59.2years (range 36-78years) at time of procedure. The causes of ureteral strictures were diverse (Table 1). In 12 patients, Acucise® was the primary treatment. The other two patients had already been treated with balloon dilatation and/or stent placement (double-J catheter) elsewhere. Five patients had more than one stricture ipsilaterally. A total of 21 strictures were treated, of which 6 were located in the proximal ureter, 7 in the mid-ureter and 8 in the distal ureter. Only strictures ≤2cm were treated with Acucise endoureterotomy. The stricture was treated until the hourglass-shaped figure of the balloon catheter disappeared and extravasation of contrast was visible (Figure 1). After visualization of extravasation, a 7-8 French double-J catheter was placed for 6weeks.

Figure 1 The Acucise® procedure
a) Retrograde pyeloureterography
b) Balloon placement and inflation
c) Acucise® ureterotomy with contrast extravasation, followed by placement of a double-J catheter.

Analysis and literature search

For data collection we used our prospectively kept database including patients treated with Acucise® and retrospectively collected additional data from medical records. We analyzed these data using SPSS Statistics, version 20.

Technique: The Acucise® was developed by Clayman and colleagues.9 It consists of a 2.8cm long monopolar cutting wire with a 0.15 mm width. The wire is positioned outside the filled 24 French (8 mm) low-pressure balloon catheter with radiologic marking points. The Acucise® was first used in December 1990 for the incision of strictures at the UPJ. Chandhoke et al. described first clinical results in 1993.9

With the patient under general anesthesia, a retrograde pyelogram was performed using fluoroscopic control to define the pyelum, the pyelocalyceal system and ureter. A working wire was then placed using a cystoscope and Albarran deflector. The Acucise® balloon catheter was passed over the working wire using C-arm fluoroscopic control with the cutting wire positioned laterally or posterolaterally. The working wire was removed and the remaining contrast was drained from the renal pelvis via the hot-wire balloon catheter. Glycine (Baxter Healthcare Corporation) was used as fluid for every procedure; iodinated contrast (Ultravist®, Bayer Healthcare) was mixed in a 1:1 ratio with glycine.

The orientation of the incision depended on the location of the stricture and thus on the vascular supply of the ureter segments. When a stricture was observed in the proximal ureter, the incision was made in a posterolateral direction. In the distal ureter, the incision was placed in the anteromedial direction, unless preoperative CT-angiography showed aberrant ureteral vasculature. The balloon was partially inflated with a maximum of 2mL of 100% contrast medium. Again, using fluoroscopic control, the balloon and the active portion of the wire were positioned across the ureteral stenosis, as determined by the radiopaque markers on the wire. Cutting current was applied at 75W pure cut for 3-5 seconds, with simultaneous inflation of the balloon with a maximum of 2mL of 100% contrast medium. The balloon was left inflated for 1 to 2minutes and then deflated. Contrast medium was again instilled in retrograde fashion; if no extravasation was observed, or if the waist failed to disappear, the procedure was repeated, although not more than twice at the same location. Once the incision was complete, the balloon catheter was withdrawn, and a double-J stent was placed over the remaining wire for six weeks.

Follow-up: Follow-up consisted of a standardized follow-up schedule with renal scintigraphy 3months after the Acucise® procedure and subsequently on a yearly basis. CT-urogram was performed 6months after the procedure and every year together with renal scintigraphy. If there was any indication of a possible recurrent ureteral stricture (e.g. new complaints, or loss of kidney function) diagnostic imaging was performed earlier. Time to last follow-up was defined as the time between the endoscopic procedure and last imaging study.

Outcome: Success of the Acucise® procedure was defined by disappearance of functional obstruction with at least stabilization of kidney function on renal scintigraphy and improvement of the diameter of the treated ureter on CT-urogram.

Results

Table 1 summarizes the baseline characteristics and treatment results of the patients in this study. The causes of ureteral strictures were diverse: abdominopelvic radical surgery (N=4) or combined surgery with radiotherapy (N=3) and prior endoscopic procedures, mostly for stone treatment (N=7). Mean follow-up of the study group (N=14) was 41months. After the first Acucise® procedure, 10 patients (71.4%) showed no signs of functional obstruction on renography (mean follow-up 44.1months). Due to restenosis after the initial Acucise® treatment, 3 patients received a second intervention: permanent double-J stenting, a single balloon dilatation and an open ureterolysis with omental wrapping, respectively. For one patient, postoperative diagnostic data were lacking due to inter current disease. During the Acucise® procedure, cystoscopy revealed an invasive bladder carcinoma, completely independent of the ureteral stricture. Despite cystectomy and pelvic lymph node dissection within a few weeks, this patient died of metastatic disease within three months. Therefore, diagnostic follow-up after the Acucise® procedure could not take place.

The postoperative complication rate was 7.1% (N=1) with only one grade 1 bleeding complication according to the Clavien-Dindo classification.12 This patient had a postoperative hemoglobin drop from 9.6 to 6.0mmol/L. The bleeding was treated conservatively and the patient did not need blood transfusion. Despite this complication, Acucise® treatment was successful in this patient.

Discussion

Treatment of ureteral strictures with open procedures, like ureteroureterostomy, ileal interposition, psoas hitch and Boari flap is often successful.3,13,14 However, these procedures came with relatively high perioperative morbidity, long hospitalization times and thus high treatment costs. Advances in endourological techniques and instrumentation opened up new prospects for the management of benign ureteral strictures. Several endourological techniques were introduced, such as balloon dilatation, stent placement and several types of endoureterotomy (cold and hot knife incision and laser treatment).5–7 All techniques were used in small case-series (Table 2). Studies with cold knife ureterotomy describe success rates of 42-86% with relatively short follow-up of less than 2years.5,6,15,16 Hot knife incision was performed with overall success rate of 62-86% but complications and follow-up were not clearly described in all studies.17–19 Laser endoureterotomy shows a 61-89% success rate and complications are rare.20–23

Type of procedure

Patients, N

Overall success (%)

Complications (%)

<>Mean follow-up (mo)

Cold Knife

Yamada6

19

42

5.3

18

Erdogru5

12

50

25

10

Lojanapiwat15

12

75

8,5

15

Lopatkin16

7

86

NA

22

Hot Knife Knife

Thomas17

36

64

NA

NA

Richter18

14

86

0

22

Meretyk19

13

62

7.7

20

Laser

Gnessin20

35

79

5.7

27 (median)

Lane7

19

68

0

36

Bach21

18

61

0

12

Singal22

12

67

0

11

Hibi23

9

89

NA

20

Acucise

Preminger8

49

55

4.1

9

Chandhoke9

8

71

6.3

4

Seseke25

5

20

40

16

Present series

14

71

7.1

41

NA: not available

Table 2 Results of case-series of endoureterotomy, subdivided by type of procedure (only benign ureteral strictures between ureteropelvic and ureterovesical junction)

Harmon et al.,14 studied the complications of ureterorenoscopy in the period 1982 to 1985 and compared results with complication rates from 1992.14 They found a decrease in complication rates from 20% to 12%. This could in part be explained by the use of smaller diameter ureterorenoscopes and the introduction of more modern accessories and techniques, for example the use of laser. Although these numbers seem promising, the development of benign ureteral strictures has increased.24 Therefore, it is important to clarify what technique is most effective for treating these strictures.

Since Acucise® was introduced by Clayman in 1990 several case-series have been published with diverse success and complication rates. Of these studies, we evaluated success rates and sorted out all complications according to the Clavien-Dindo Classification. Our literature search revealed that most case series of Acucise® were published between 1995 and 2006. Of the Acucise® cases, we excluded case-series of endopyelotomy in UPJ obstruction, treatment of ureteral strictures in renal transplants, strictures with malignant origin and strictures of the ureteroenteric anastomosis after supravesical urinary diversion. In this selected group of patients with benign ureteral strictures, patient numbers appeared to be low (8 to 49 patients) and success rates and complication rates ranged from 55% to 71% and from 6.3% to 40%, respectively, with a mean follow-up of 4-22months (Table 2).8,9,25

As stated earlier, there are no randomized controlled trials comparing Acucise® with any other technique for the treatment of benign ureteral strictures in between UPJ and UVJ. Studies only comprise mainly case-series with a relatively small number of patients and short follow-up. Even though our study does not contain the largest group of patients found in literature, our follow-up period is very long and involves accurate and regular diagnostic imaging after the procedure with renal scintigraphy and CT-urogram. The success rate of this study is comparable with the success rates in larger case series found in literature, thus proving the value of Acucise® endoscopic ureterotomy in relatively short ureteral strictures (Table 2). In our study, patency was measured by postoperative renal scintigraphy, which is an objective measurement. In other studies, standard IVPs, ultrasound or subjective pain relief was used as measurement, although these parameters do not prove patency adequately.8

Some studies conclude that most ureteral strictures recur within 2-10months after the Acucise® procedure.9,26 Furthermore, Nadler et al. noticed that 13% of failures occurred in the second year of follow-up.26 Mean follow-up time in our study was over 37months, proving the long-term beneficial effect of Acucise® endoureterotomy.

All reported case-series are hard to compare due to differences in etiology, localization, length of the stricture and kidney function. These factors all have an effect on the success of endoscopic treatment of ureteral strictures. Ureteral strictures longer than 2cm or of ischemic origin (i.e. after radiotherapy) have high recurrence rates. Therefore, they can rarely be treated with incisional endourological techniques.27 Furthermore, in patients with poor renal function, the incised ureter has the tendency to heal poorly and therefore a renal scintigraphy is recommended preoperatively. If kidney function is less than 20%, nephrectomy may be a more advisable treatment option, because the renal function will deteriorate, even after a trial of percutaneous or internal drainage.28 In our study, patients were only treated with Acucise® if they had a ureteral stricture less than 2cm in length and if kidney function on the site of the treated ureter was over 20-25%. Furthermore, high grade hydronephrosis was a contraindication for Acucise® treatment.

Chandhoke et al.,9 stated that the incidence and type of complications in Acucise® are similar to those reported for other forms of endoscopic treatment.9 Bleeding is the most significant complication in the Acucise® endoureterotomy. Therefore, some studies discourage the use of Acucise® both in patients with mid-ureteral strictures overlying the iliac vessels and in patients with a urinary conduit diversion who have a ureteral stricture where the ureter crosses under the sigmoid mesocolon.8 To minimize the risk of bleeding, a CT-scan should be performed in every patient prior to Acucise® treatment, to evaluate the vascular supply near the ureteral stricture. In our study we performed a CT-angiography in the last treated patients. We believe that this imaging has helped us in performing the procedure without bleeding complications. In literature, specific preoperative radiologic imaging has also been suggested by others.27

The attraction of Acucise® is its simplicity and its flexibility: in curved ureteral positions it is inserted over a guide wire, while cold-knife endoureterotomy would not be able to reach these curved strictures due to its rigidity.6 The other advantage includes the possibility of using this device in retrograde and antegrade direction. Because Acucise® treatment is performed without ureteroscopy operation time is shorter than in other types of endoureterotomy and that makes Acucise® a financially attractive technique.

Conclusion

Acucise® endoureterotomy is a safe, effective and fast method with low associated morbidity and short hospital stays; therefore, its use should not be restricted to UPJ obstruction exclusively. In selected patients Acucise® is a suitable treatment option and if available, should always be considered for treating relatively short benign ureteral strictures between UPJ and UVJ.

Acknowledgements

None.

Conflict of interest

The author declares no conflict of interest.

References

  1. Allen TD. Congenital ureteral strictures. J Urol. 1970;104(1):196–204.
  2. Selzman AA, Spirnak JP. Iatrogenic ureteral injuries: a 20–year experience in treating 165 injuries. J Urol. 1996;155(3):878–881.
  3. Campbell–Walsh Urology. 10th ed. London: W.B Saunders Company; p. 31, 1128–1135, 1149–1162, 1181–1182, 1406–1408.
  4. Gruntzig A. Transluminal dilatation of coronary–artery stenosis. Lancet. 1978;1(8058):263.
  5. Erdogru T, Kutlu O, Koksal T, et al. Endoscopic treatment of ureteric strictures: Acucise, cold–knife endoureterotomy and wall stents as a salvage approach. Urol Int. 2005;74(2):140–146.
  6. Yamada S, Ono Y, Ohshima S, et al. Transurethral ureteroscopic ureterotomy assisted by a prior balloon dilatation for relieving ureteral strictures. J Urol. 1995;153(5):1418–1421.
  7. Lane BR, Desai MM, Hegarty NJ, et al. Long–term efficacy of Holmium laser endoureterotomy for benign ureteral strictures. Urology. 2006;67(5):894–897.
  8. Preminger GM, Clayman RV, Nakada SY, et al. A multicenter clinical trial investigating the use of a fluoroscopically controlled cutting balloon catheter for the management of ureteral and ureteropelvic junction obstruction. J Urol. 1997;157(5):1625–1629.
  9. Chandhoke PS, Clayman RV, Stone AM, et al. Endopyelotomy and endoureterotomy with the Acucise ureteral cutting balloon device:Preliminary experience. J Endourol. 1993;7(1):45–51.
  10. Schuessler WW, Grune MT, Tecuanhuey LV, et al. Laparoscopic dismembered pyeloplasty.J Urol. 1993;150(6):1795–1799.
  11. Brooks JD, Kavoussi LR, Preminger GM, et al. Comparison of open and endourologic approaches to the obstructed ureteropelvic junction. Urology. 1995;46(6):791–795.
  12. Dindo D, Demartines N, Clavien PA. Classification of surgical complications. Ann Surg. 2004;240(2):205–213.
  13. Silverstein JI, Libby C, Smith AD. Management of ureteroscopic ureteral injuries. Urol Clin North Am. 1988;15(3):515–524.
  14. Harmon WJ, Sershon PD, Blute ML, et al. Ureteroscopy: Current practice and long–term complications. J Urol. 1997;157(1):28–32.
  15. Lojanapiwat B, Soonthonpun S, Wudhikarn S. Endoscopic treatment of benign ureteral strictures. Asian J Surg. 2002;25(2):130–133.
  16. Lopatkin NA, Martov AG, Gushchin BL. An endourologic approach to complete ureteropelvic junction and ureteral strictures. J Endourol. 2000;14(9):721–726.
  17. Thomas R. Choosing the ideal candidate for ureteroscopic endoureterotomy. J Urol. 1992;149:471–1036.
  18. Richter F, Irwin RJ, Watson RA, et al. Endourologic management of benign ureteral strictures with and without compromised vascular supply. Urology. 2000;55(5):652–657.
  19. Meretyk S, Albala DM, Clayman RV, et al. Endoureterotomy for treatment of ureteral strictures. J Urol. 1992;147(6):1502–1506.
  20. Gnessin E, Yossepowitch O, Holland R, et al. Holmium laser endoureterotomy for benign ureteral stricture: a single center experience. J Urol. 2009;182(6):2775–2779.
  21. Bach T, Geavlete B, Herrmann TW, et al. Retrograde blind endoureterotomy for subtotal ureteral strictures: a new technique. J Endourol. 2008;22(11):2565–2570.
  22. Singal RK, Denstedt JD, Razvi HA, et al. Holmium: YAG laser endoureterotomy for treatment of ureteral stricture. Urology. 1997;50(6):875–880.
  23. Hibi H, Kato K, Mitsui K, et al. Endoscopic ureteral incision using the holmium: YAG laser. Int J of Urol. 2001;8(12):657–661.
  24. Lang EK. Factors influencing long–term results of trans luminal dilatation or electrocautery incision with stenting of ureteral or ureteropelvic junction strictures. Minim Invasive Ther. 1995;4(3):137–145.
  25. Seseke F, Heuser M, Zoller G, et al. Treatment of iatrogenic postoperative ureteral strictures with Acucise endoureterotomy. Eur Urol. 2002;42(4):370–375.
  26. Nadler RB, Rao GS, Pearle MS, et al. Acucise endopyelotomy: assessment of long–term durability. J Urol. 1996;156(3):1094–1097.
  27. Wolf JS, Elashry OM, Clayman RV. Long–term results of endoureterotomy for benign ureteral and ureteroenteric strictures. J Urol. 1997;158(3 pt 1):759–764.
  28. Lin DW, Bush WH, Mayo ME. Endourological treatment of ureteroenteric strictures: efficacy of Acucise endoureterotomy. J Urol. 1999;162(3 pt 1):696–698.
Creative Commons Attribution License

©2015 Campschroer, et al. This is an open access article distributed under the terms of the, which permits unrestricted use, distribution, and build upon your work non-commercially.