Submit manuscript...
eISSN: 2378-3176

Urology & Nephrology Open Access Journal

Case Report Volume 6 Issue 1

A Rare Presentation of Prostate Adenocarcinoma

Altawil S,1 Ibrahim Z,1 Sani N,1 Aung P,1 Bhatti S,1 Telesinghe 2

1Urology Unit, RIPAS Hospital, Brunei
2Pathology Department, RIPAS Hospital, Brunei

Correspondence: Samer Altawil, Urology Unit, RIPAS Hospital, Bandar Seri Begawan, Brune

Received: November 23, 2017 | Published: January 10, 2018

Citation: Altawil S, Ibrahim Z, Sani N, Aung P, Bhatti S, et al. (2018) A Rare Presentation of Prostate Adenocarcinoma. Urol Nephrol Open Access J 6(1): 00194. DOI: 10.15406/unoaj.2018.06.00194

Download PDF

Keywords

prostate adenocarcinoma, mandibular body, luteinizing hormone releasing hormone, lymphadenopathy, gnathic bones

Introduction

Prostate Adenocarcinoma represents the most frequent neoplasm in males corresponding to 40% of the cases and being the second cause of death due to malignant tumors in men. The most frequent site for bone metastasis generally vertebral column, shoulder joints and sacro-iliac bones. Bone metastases to mandible are extremely rare and represent only 1% of all malignant mouth neoplasms. Due to the existence despite the rare occurrence, we would like to present this case and discuss the diagnosis, management and prognosis for such patient.

Case report

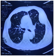
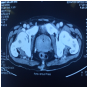
A 60 years old gentleman was referred to us in February 2015 with acute retention of urine. He was admitted to another hospital 5 days ago with the same problem he was treated with catheterization and failed trial without catheter after 3 days with alpha- blockers. Clinically he was cachectic and had a large, hard and non-tender swelling over his left lower jaw as shown in Figure 1 & Figure 2. There were no palpable cervical lymph nodes. Abdominal and Neurological examinations were unremarkable. Digital rectal examination revealed an enlarged T4 prostate cancer. Prostate Specific Antigen (PSA) was 100ng/ml. CT of Mandible showed a large destructive lytic lesion mass over the body of mandible reaching both buccal and lingual cortices and less pronounced lucency within the mandibular body with breech of buccal surface (Figure 3). CT chest showed sclerotic metastases throughout bony cavity with multiple pulmonary metastases (Figure 4). CT abdomen showed a markedly enlarged prostate gland (Figure 5) with secondary hypertrophy of the bladder wall, bilateral iliac lymphadenopathy measuring up to 3 cm and diffuses sclerotic metastases throughout the bony skeleton. Other solid organs are unremarkable.

Figure 1 Swelling left mandible.

Figure 2 Left mandibular swelling inner view.

Figure 3 CT of Mandible showing Buccal surface.

Figure 4 CT chest showing sclerotic metastases.

Figure 5 Enlarged prostate gland.

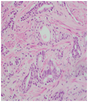
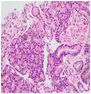
Trans-rectal ultrasound guided biopsy of the prostate confirmed the adenocarcinoma Gleason score 9 (4+5), while the mandibular lesion biopsy revealed metastatic prostate adenocarcinoma (Figures 6–8).

Figure 6 Mandibular biopsy.

Figure 7 & 8 Prostate biopsy.

As a primary 1st line treatment of metastatic prostate cancer he received Luteinizing Hormone Releasing Hormone (LHRH) analogue injection (3.6 mg once a month through subcutaneous route) with anti androgens (Bicalutamide) in addition to alpha blocker (alfuzocine) for the prostate enlargement and calcium supplements for bones in metastatic disease. His urinary catheter was removed after 4 weeks; his PSA reduced to 16 and his mandibular swelling was reduced. After 6 months of the same treatment the patient have no urinary complains, his PSA is 1 and with resolved swelling over the left lower jaw. Figure 9 & Figure 10 shows the patient during his recent clinic review, 18 months after the initial presentation.

Figure 9 Patient after 18 months from the initial presentation.

Figure 10 Patient after 18 months from the initial presentation

Discussion

Involvement of the jaw in prostate adenocarcinoma is rare. Rutsatz et al.1 in a period of 35 years, reported 1008 patients with craniofacial malignancies, found only five patients (0.5%) with metastatic tumors to the jaw, from different primary sites. Piattelli et al.2 conducted a survey of 390 oral cancer cases, of which 22 cases (5.6%) were metastatic tumors on gnathic bones from other regions, being prostate gland the primary site of these tumors, as occurred in our case.2 Although rare, prostate carcinoma can metastasize to mandible. The study of Clausen & Poulsen3 indicates that prostatic carcinoma is the primary source of more than 6% of metastatic lesions of the mandible, and a review of the literature by Vrebos et al.4 revealed that 5% of the malignant lesions metastatic to the jaws were from the prostate gland. In a study of Daley et al.5 which evaluated 38 cases of metastatic disease, prostate carcinoma was found to be the most common primary site (21%) for oral metastases. Van der Waal and colleagues reported similar rates of 12% prostatic cancers in 24 cases.

The most common site of primary tumor that lead to metastases to the jaw are breast 42%, lungs 22%, bone 9%, adrenal 8.5%, female genital organs 7% and thyroid 6%. Differential diagnoses include pyogenic granuloma, giant cell granuloma, ossifying fibroma, osteomyelitis and temporo-mandibular joint diseases. Mandibular metastases frequently occur in the premolar and molar areas. The main clinical manifestations include pain, swelling, tooth loss, bleeding, trismus and paresthesia. Symptoms associated with metastases are pain, facial swelling, intraoral mass, teeth mobility, gingival irritation, halitosis, trismus and numb chin syndrome (NCS).6,7 Diagnosis is made on histopathology grounds; in few cases it’s difficult to identify the primary site. Two most common Cytokeratine (CK) stains CK7 and CK 20 and their combination are used.8 In adenocarcinoma CK7 and 20 are negative. Recently Alpha Methyl Acyl Coenzyme A Racemase (AMACR) is used to identify poorly differentiated prostate cancers primary with more accuracy,9 but it’s not available in our laboratory. We used PSA test for the tissue from metastatic site to diagnosed metastasis from prostate.

Conclusion

In our case prostate adenocarcinoma was the cause. Identification could only be made by histo-pathological analysis. Despite the rare occurrence, the clinicians especially who deals with oncology patients should have high index of suspicious prostate adenocarcinoma in elderly male with mandibular swelling, facial pain and numbness. The Mainstay of treatment is Hormonal therapy and palliative radiotherapy.

Funding

None.

Acknowledgments

None.

Conflicts of interest

None.

References

Creative Commons Attribution License

©2018 Altawil, et al. This is an open access article distributed under the terms of the, which permits unrestricted use, distribution, and build upon your work non-commercially.