Submit manuscript...
eISSN: 2377-4304

Obstetrics & Gynecology International Journal

Case Report Volume 16 Issue 3

Diffuse large B-cell lymphoma of the cervix: A case report and review of the literature

McGough Christine, Kouri Ana, Berry Laurel

Department of Obstetrics and Gynecology, Section on Gynecologic Oncology, Wake Forest University School of Medicine, USA

Correspondence: Christine McGough, Department of Obstetrics and Gynecology, Section on Gynecologic Oncology, Wake Forest University School of Medicine, Winston-Salem, NC, 27157, USA

Received: May 26, 2025 | Published: June 6, 2025

Citation: Christine M, Ana K, Laurel B. Diffuse large B-cell lymphoma of the cervix: A case report and review of the literature. Obstet Gynecol Int J. 2025;16(3):99-102. DOI: 10.15406/ogij.2025.16.00794

Download PDF

Abstract

Primary lymphoma of the uterine cervix (LUCX) is a rare disease and can be challenging to diagnose. Cytology is not a sensitive screening tool and instead deep or excisional biopsy is recommended for diagnosis. Treatment typically includes chemotherapy with combination cyclophosphamide, doxorubicin, vincristine, prednisone, and rituximab (R-CHOP) and can be followed by radiation or surgery if deemed necessary. We present the case of a patient diagnosed with LUCX who underwent R-CHOP chemotherapy followed by surgery with complete response noted on final pathology.

Keywords: lymphoma of the uterine cervix, cytology, biopsy, non-Hodgkin's lymphoma

Abbrevation

LUCX, lymphoma of the uterine cervix; DLBCL, diffuse large B-cell lymphoma; NHL, non-Hodgkin's lymphoma; CHOP, cyclophosphamide, doxorubicin, vincristine, and prednisone, R-CHOP, rituximab to the CHOP; DIV, desquamative inflammatory vaginitis; CT, computed tomography; MRI, magnetic resonance imaging; PET-CT, positron emission tomography; RT, radiation therapy; OS, overall survival; FFS, failure free survival

Introduction

Primary lymphoma of the uterine cervix (LUCX) is a rare disease, accounting for 0.6% of extra-nodal lymphomas, with an average age at time of diagnosis of 40-59 years.1,2 In a large case series of almost 1500 patients with extranodal lymphomas, only three were cases of LUCX.3 In the literature to date, there are less than 200 cases of LUCX reported.4 The most common presenting symptoms include vaginal bleeding and circumferential enlargement with a “barrel shaped” cervix on exam and imaging.5 However, because cervical lymphomas usually arise from the cervical stroma rather than mucosa, cytology is not a sensitive screening too and can be negative in these patients.1 Cytology or superficial biopsies may show atypical epithelial cells coexisting with lymphoid infiltrates but may not be diagnostic.5 For this reason, if initial biopsy is nondiagnostic, it is recommended to proceed with deep incisional or excisional biopsy for definitive diagnosis.6

Nasioudis et al published the largest case series of primary lymphoma of the female genital tract with 697 women identified with a median age of 54 years.2 Diffuse large B-cell lymphoma (DLBCL) was the most common histologic subtype accounting for 59.8% of these cases.2 Tumors were most commonly located in the ovary (37%), cervix (21.4%) and uterus (16.5%).2 42.6% of cases were stage I; 17.9% of cases were stage II.2 Cancer-directed surgery was performed in most cases (62.8%), with a five-year overall survival of 70.2% for all cases.2

On the basis of previous studies of patients with extranodal non-Hodgkin's lymphoma (NHL), combination chemotherapy has been used in treating patients with disease that is more advanced than stage I (Table 1), with combination cyclophosphamide, doxorubicin, vincristine, and prednisone (CHOP) as the regimen of choice.7,8 The GELA trial showed that the addition of rituximab to the CHOP (R-CHOP) regimen improved complete response rates and prolongs overall survival, thus R-CHOP is now considered standard of care.9

Case

We present the case of a 53-year-old gravida 5 para 2 who was referred to gynecologic oncology for a cervical mass. She had presented several times to her primary OBGYN for persistent vaginal discharge and was treated for vaginitis without resolution. She was also treated empirically for a yeast infection with miconazole without improvement in symptoms. She denied any abnormal vaginal bleeding and was notably up to date with screening pap smears having had a normal pap, negative high-risk HPV <5 years prior. She was ultimately seen by her gynecologist for her regularly scheduled annual exam; at that time her cervix was noted to be bulbous without any visible lesion. A pap smear was collected and was again normal with negative high-risk HPV. A pelvic ultrasound was obtained revealing multiple fibroids and hypoechoic cervical lesions with internal vascularity that may reflect cervical fibroids. STI testing and wet prep were negative. She was prescribed clindamycin cream and subsequently hydrocortisone cream for presumed desquamative inflammatory vaginitis (DIV) with no improvement in symptoms.

She presented to another gynecologist with worsening discharge six months later and at that time her exam was notable for an abnormal cervical lesion from 3-6 o’clock and 9-12 o’clock and biopsy and endocervical curettings were collected. Biopsy resulted with florid lymphoid infiltrate, and she was referred to gynecologic oncology for further evaluation and workup.

On exam, she had yellow mucoid discharge, cervix not well visualized with bright red blood in vault, smooth 5-6 cm palpable mass extending into left vaginal wall, with no parametrial involvement or lesions on rectovaginal exam.

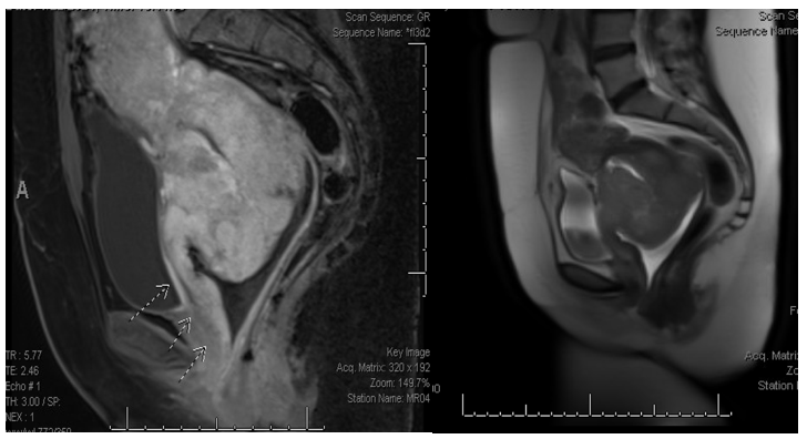
She had a computed tomography (CT) scan of the chest, abdomen and pelvis notable for large heterogeneously enhancing cervical mass, enlarged aortocaval lymph node, loss of fat plane between anterior wall of cervix and urinary bladder and 3.6 cm left adnexal cyst. Pelvic magnetic resonance imaging (MRI) demonstrated a large 9 cm multilobulated cervical mass with parametrial invasion and extension to the lower third of anterior vaginal wall, intimate association of posterior bladder wall with bullous edema, and enlarged left common iliac chain and bilateral external chain lymph nodes (Figure 1).

Figure 1 MRI pelvis with and without intravenous contrast at diagnosis.

She then had an exam under anesthesia, cystoscopy, proctoscopy and cervical biopsies with intraoperative findings notable for cystoscopy with mass effect on bladder with no evidence of invasion and proctoscopy with no evidence of invasion. There was a large, firm immobile cervical mass displacing the bladder anteriorly and rectum posteriorly. The anterior cervical lip was firm and enlarged, with the posterior cervical lip being thinner with friable tissue and a dilated external os to 1cm. The bladder mucosa and anterior and posterior cervix were biopsied using Tischler forceps.

Pathology was notable for B-cell non-Hodgkin lymphoma, consistent with diffuse large B-cell lymphoma (DLBCL) from both anterior and posterior cervical biopsies with normal bladder mucosal biopsy. Cervical biopsies demonstrated dense and destructive lymphoid infiltrate involving cervical stroma with areas of epithelial ulceration. IHC staining was CD20, PAX5, BCL6 positive. Overall findings consistent with DLBCL, likely germinal center derived. Ki-67 ~40%. She was therefore diagnosed with DLBCL involving cervix, stage IIE (Table 1), IPI 0-1, FISH negative for double hit mutation.

Stage

Description

I

Involvement of a single lymph node region (I) or a single extralymphatic organ or site (IE).

II

Involvement of two or more lymph node regions on the same side of the diaphragm (II), or localized involvement of an extralymphatic organ/site with lymph nodes (IIE).

III

Involvement of lymph node regions on both sides of the diaphragm (III), which may also be accompanied by localized involvement of an extralymphatic organ/site (IIIE), spleen (IIIS), and both (IIIES).

IV

Diffuse or disseminated involvement of one or more extralymphatic organs (e.g., liver, bone marrow, lung) with or without associated lymph node involvement.

Table 1 Ann Arbor staging system for Non-Hodgkin’s lymphoma

A: Absence of systemic symptoms (fever, night sweats, weight loss).

B: Presence of systemic symptoms (unexplained fever >38°C, drenching night sweats, weight loss >10% over 6 months).

E: Involvement of a single extranodal site contiguous or proximal to known nodal disease.

S: Involvement of the spleen.

She had positron emission tomography (PET)-CT showing large FDG avid biopsy-proven cervical mass with additional uptake within an iliac chain and right para-aortic aortocaval lymph node, mild abnormal uptake in left cystic adnexal structure.

She was discussed at multidisciplinary tumor board and was ultimately treated with 6 cycles of R-CHOP. PET-CT after six cycles of treatment showed no evidence of recurrence or metastatic disease, grossly similar size of cervical/uterine lesion now measuring 7.4 x 4.6 cm with similar low-level FDG uptake (Figure 2).

Figure 2 MRI pelvis with and without intravenous contrast after 6 cycles R-C.

She met with Radiation Oncology and again with Gyn Oncology to discuss hysterectomy versus consolidation radiation. She desired hysterectomy after discussion with both teams. MRI pelvis was obtained for surgical planning and notable for decrease in size of multilobulated cervical mass, now measuring 6.1 x 4.9 x 4.5cm, as well as 1.5cm area of disease in lower third of the anterior vaginal wall.

Ultimately, she underwent an exploratory laparotomy, modified radical hysterectomy with bilateral salpingo-oophorectomy with intraoperative findings notable for palpable tumor within the endocervix, no evidence of parametrial involvement or extra-pelvic disease. She was noted to have thickened proximal vagina however no distinct lesion, and intraoperative biopsy sent for frozen section was negative for carcinoma. Final pathology was notable for lymphocytic infiltrate containing predominantly CD3 positive T-cells intermixed with rare CD20 positive B-cells, consistent with a reactive process but no evidence of residual lymphoma. She is undergoing active surveillance with no evidence of disease nine months post-operatively at the time of writing this report.

Discussion

Given the rarity of primary lymphoma of the uterine cervix (LUCX), both clinical presentation and pathologic diagnosis can be challenging and lead to potential delays in diagnosis as seen in our discussed case. Patients will often present with non-specific symptoms such as abnormal vaginal discharge, bleeding, or pelvic pain.10 Importantly, unlike common “B” symptoms seen in nodal lymphomas such as night sweats and weight loss, these are usually absent in LUCX.10 Workup of these symptoms should include a detailed pelvic exam, cervical cancer screening, and cervical biopsies of any abnormal lesions, particularly when refractory to attempted conservative therapies (i.e. antibiotics for presumed infection). Findings of a uniformly enlarged cervix should prompt further evaluation with imaging such as ultrasound, CT or MRI to better characterize the tumor and assess for local invasion.10 These imaging modalities should also be considered in the setting of persistent symptoms with a negative workup and can be helpful to rule out other benign pathologies that may present with similar signs. Caution should be taken as to not rely on cervical cytology alone for reassurance as it will usually result negative.1,10,11 Typical of lymphomas, these malignancies will spread through the cervical stroma and only infiltrate the epithelium in more advanced stages, hence why unremarkable cervical exams may be common.10,11

There are no current guidelines that exist for the treatment of primary cervical lymphomas with the majority of data reported through case studies. However, a multimodal treatment approach consisting of chemotherapy, surgery, and/or radiation therapy (RT) is reasonable. Extrapolated from NHL data, management should primarily consist of at least 6 cycles of R-CHOP chemotherapy regimen which is the most cited regimen of choice for LUCX.9 There are various case reports and retrospective analyses that demonstrate complete remission with completion of chemotherapy treatment alone.10,11,12 Additionally, PET scans may be especially useful in assessing treatment response.12

While chemotherapy with R-CHOP alone can be curative in some cases, definitive surgery historically played an integral role in management and continues to be described in several case studies, most often in combination with chemotherapy or radiation.10,11,13 Surgery consists of a total abdominal hysterectomy with or without salpingo-oophorectomy and lymphadenectomy depending on the patient's disease burden. More invasive surgery may also be necessary upfront if a definitive diagnosis is challenging to obtain.10,13

Dabaja et al.14 specifically evaluated the role of consolidation radiation therapy for patients with DLBCL, not cervix specific.14 The majority of patients first received 6-8 cycles of R-CHOP (84%), with 35% completing consolidation RT.14 Results demonstrated that RT was associated with improved overall survival (OS) and failure free survival (FFS) particularly in patients with stage III/IV disease, though statistical significance was not reached.14 Older randomized trials also showed improved disease-free survival, but not OS, with the addition of RT following CHOP treatment in early-stage NHL.15

However, no prospective data with cervix specific disease exists and thus it is unclear as to whether these results can be generalizable.

It may be reasonable to offer fertility sparing management to some patients with early-stage disease. While there is little data that exists in this population, chemotherapy alone with a CHOP based regimen is associated with lower rates of infertility, as demonstrated by cases of adolescents undergoing treatment for NHL.10,13 Treatment with alkylating agents, such as cyclophosphamide, can lead to infertility however this can be mitigated somewhat using GnRH agonists during chemotherapy treatment.10 There are no published studies discussing the role of fertility sparing surgery, however chemotherapy alone can be curative. Collaboration with a fertility specialist in these specific patients is recommended and should be expedited at diagnosis and prior to starting chemotherapy.

Primary LUCX is a very rare malignant neoplasm with limited research available to establish clear treatment guidelines. Patients are often diagnosed with early-stage disease with a favorable prognosis. Current literature demonstrates high efficacy with R-CHOP chemotherapy treatment alone. This was seen in our patient who demonstrated complete pathological response to R-CHOP therapy on the final surgical specimen. The use of additional therapies such as RT or definitive surgery should be individualized to the patient based on disease burden, treatment response, comorbidities, and fertility desires. Prospective research is necessary to better understand optimal management strategies.

Acknowledgments

None.

Informed consent: Patient consent was obtained for publication of this case report.

Funding

We have no funding to disclose.

Conflicts of interest

The authors have no conflicts of interest.

References

  1. Chan JK, Loizzi V, Magistris A, et al. Clinicopathologic features of six cases of primary cervical lymphoma. Am J Obstet Gynecol. 2005;193(3 Pt 1):866–872. 
  2. Nasioudis D, Kampaktsis PN, Frey M, et al. Primary lymphoma of the female genital tract: An analysis of 697 cases. Gynecol Oncol. 2017;145(2):305–309.
  3. Freeman C, Berg JW, Cutler SJ. Occurrence and prognosis of extranodal lymphomas. Cancer. 1972;29(1):252–260.
  4. Hilal Z, Hartmann F, Dogan A, et al. Lymphoma of the cervix: case report and review of the literature. Anticancer Res. 2016;36(9):4931–4940.
  5. Murata H, Nakamura H, Ohta Y, et al. Two cases of spindle cell variant diffuse large B-cell lymphoma of the uterine cervix. Gynecol Oncol Rep. 2020;33:100611.
  6. Harris NL, Scully RE. Malignant lymphoma and granulocytic sarcoma of the uterus and vagina. A clinicopathologic analysis of 27 cases. Cancer. 1984;53(11):2530–2545.
  7. Lee KM, Seah ES, Sethi VK. Primary non-Hodgkin's lymphoma of the uterine cervix: case report of long-term survival of two patients treated with surgery and radiotherapy. Australas Radiol. 1998;42(2):126–127.
  8. Goda JS, Gaikwad U, Narayan A, et al. Primary diffuse large B cell lymphoma of Uterine Cervix: Treatment outcomes of a rare entity with literature review. Cancer Rep (Hoboken). 2020;3(5):e1264.
  9. Coiffier B, Lepage E, Briere J, et al. CHOP chemotherapy plus rituximab compared with CHOP alone in elderly patients with diffuse large-B-cell lymphoma. N Engl J Med. 2002;346(4):235–242.
  10. Stabile G, Ripepi C, Sancin L, et al. Management of primary uterine cervix B-cell lymphoma stage IE and fertility sparing outcome: a systematic review of the literature. Cancers (Basel). 2023;15(14):3679.
  11. Cubo AM, Soto ZM, Cruz MÁ, et al. Primary diffuse large B cell lymphoma of the uterine cervix successfully treated by combined chemotherapy alone: A case report. Medicine (Baltimore). 2017;96(19):e6846.
  12. Gui W, Li J, Zhang Z, et al. Primary hematological malignancy of the uterine cervix: A case report. Oncol Lett. 2019;18(3):3337–3341.
  13. Signorelli M, Maneo A, Cammarota S, et al. Conservative management in primary genital lymphomas: the role of chemotherapy. Gynecol Oncol. 2007;104(2):416–421.
  14. Dabaja BS, Vanderplas AM, Crosby-Thompson AL, et al. Radiation for diffuse large B-cell lymphoma in the rituximab era: analysis of the National Comprehensive Cancer Network lymphoma outcomes project. Cancer. 2015;121(7):1032–1039.
  15. Horning SJ, Weller E, Kim K, et al. Chemotherapy with or without radiotherapy in limited-stage diffuse aggressive non-Hodgkin's lymphoma: Eastern Cooperative Oncology Group study 1484. J Clin Oncol. 2004;22(15):3032–3038.
Creative Commons Attribution License

©2025 Christine, et al. This is an open access article distributed under the terms of the, which permits unrestricted use, distribution, and build upon your work non-commercially.