Submit manuscript...
eISSN: 2574-9927

Material Science & Engineering International Journal

Research Article Volume 7 Issue 4

Current challenges of the state-of-the-art of AI techniques for diagnosing brain tumor 

Ahmed H,1 Dada MO,2 Samaila B3

1Department of Physics, Federal University of Health Sciences Azare, Nigeria
2Department of Physics, Federal University of Technology Minna, Nigeria
3Department of physics with electronics, Federal University Birnin Kebbi, Nigeria

Correspondence: Samaila B, Department of physics with electronics, Federal University, Birnin Kebbi, Nigeria

Received: November 20, 2023 | Published: December 11, 2023

Citation: Ahmed H, Michael DO, Samaila B. Current challenges of the state-of-the-art of AI techniques for diagnosing brain tumor. Material Sci & Eng. 2023;7(4):196-208. DOI: 10.15406/mseij.2023.07.00224

Download PDF

Abstract

Background: Brain is the control center of the human body, in recent time, different variety of brain diseases are being discovered. The brain disease diagnosis tools are becoming challenging and still an open area of research, application of AI in brain disease diagnosis has made disease prediction and detection more precise and accurate. Automated technologies for non-invasive analysis of brain images have become necessary, because disease of brain is fatal and are the cause of large number of deaths in developed countries. Brain tumor surgery augmented with AI can result in safer and more effective treatment. The knowledge gap between clinical and data science experts still presents significant challenges. This paper will review literatures related to current challenges of AI technologies for brain tumor diagnosis and suggest new directions of AI technologies for diagnosing brain tumour. A systematic search of major academic databases (such as Science Direct, IEEE explore digital Library, and Google scholar) was conducted to identify relevant studies published between 2015 and 2023. The search term used in this study include “Brain tumor Diagnosis”, “AI challenges in Brain tumor Diagnosis”, ‘AI techniques” and “AI challenges in medicine and future”. Studies were included if they utilized AI techniques for brain tumor diagnosis. The identified studies were evaluated for the key challenges they encountered in their diagnostic approaches. The Present study identified several challenges related to the application of AI techniques in brain tumour diagnosis. These challenges include: Interpretability and explainability, variations in tumour location, shape, and size which make accurate segmentation and classification difficult. Overall, the challenges in explaining brain tumor detection stem from the unique requirements and complexities of the healthcare domain, necessitating specialized techniques and approaches. This study summarizes the new directions for AI as (I) Data Hungry: Large, standardized, annotated data sets and excellent ground truth data are necessary for the development of accurate AI. (II) Radiomics: makes it possible to extract a vast number of quantitative features from intricate clinical imaging arrays and convert them into high-dimensional data that can be further processed to determine their relationship to the histological features of the tumor, which represent underlying genetic mutations and malignancy as well as grade, progression, response to therapy, and even overall survival (OS). (III) Black box: AI, for instance, is capable of predicting the best course of care for a patient, but it is unable to explain its reasoning. A trend toward easing this restriction is interpretable deep learning, (IV) Demonstrating the generalizability of deep learning applications and conducting external validation are two major obstacles. (V) There are knowledge gaps in clinical oncology that need to be filled in order to successfully integrate AI and maximize its effects. (VI) Several national professional bodies have started programs to bridge these knowledge gaps and advance the adoption of AI in oncology in response to these difficulties.

Keywords: artificial intelligence, brain tumor, diagnosis

Introduction

The industrial revolution 4.0 and technological advancement are in wide spread application across all discipline, information and communication technology such as artificial intelligence (AI), internet of thing (IOT) and block chain technology are accelerating and solving complex problems in Health care system.1 stated that doctors can stay current on patient data, offer virtual help, and send emergency answers when necessary thanks to block chain and AI.2 The problems of record keeping, ongoing patient monitoring, long-distance patient care, and emergency response are all solved by IoT devices. Furthermore, the transparency of blockchain technology can strengthen clinical trial data integrity and boost confidence in research findings. In conclusion, applications of block chain and artificial intelligence (AI) in the delivery of healthcare include medical supply chain management, drug development and clinical trials, telemedicine and remote patient monitoring, precision medicine and genomic data, secure and interoperable health records, healthcare payment and insurance claims, and so on. Obstacles & Things to Think About are: Interoperability Standards, Regulatory Compliance, Data Privacy and Consent, cost, technology adoption and reliability and maintainability.

AI is the study of how to use computer to mimic human intelligent behavior, such as learning, judgement and decision making through training using large amount of data.3 The advancement of AI technologies helps clinical experts to facilitate more efficient and effective electronic healthcare systems to the patients.4,5 The formation of abnormal cells in or near the brain lead to the start of brain tumor and consequently affect patient healthcare.6,7 Automated technologies for non-invasive analysis of brain images have become necessary, because disease of brain is fatal and are the cause of large number of deaths in developed countries. Both adults and children are included in the American Cancer Society's predictions for brain and spinal cord cancers in the country for 2022. There will be a total of 25,050 malignant brain or spinal cord tumor diagnoses (14,170 for men and 10,880 for women). If benign tumors (tumors other than cancer) were included, these figures would be substantially higher.  An estimated 18,280 individuals (10,710 men and 7,570 women) will pass away due to brain and spinal cord malignancies.8 Despite the significant developments in molecular biology and brain tumor imaging, including MRI, CT, PET, DTI, and SPECT. There are currently no easily accessible automated systems for brain imaging diagnosis in clinical practice.9 The brain is the human body's control center, and a wide range of brain disorders are being identified these days. Furthermore, there is still much to learn about the diagnostic techniques for brain diseases, which is growing more difficult. The use of AI in brain disease diagnosis has improved the accuracy and precision of disease detection and prediction.10

Theoretical background of the AI

Human-machine intelligence (AI) One of the current uses of artificial intelligence (AI) is machine learning (ML), a branch of computer science that focuses on building intelligent machines that mimic human behavior. ML is based on the notion that we should give machines access to data so they can learn on their own. DL is a subfield of ML. While deep learning is more akin to animal vision, machine learning is more like human vision. Convolutional Neural Network (CNN) is a new method for image analysis using deep learning. Computer assisted diagnostic (CAD) technologies process digital pictures to highlight certain noticeable disorders to help radiologists or other medical practitioners.11 As displayed in Figure 1.

Figure 1 Computer vision techniques.

Figure 2 displays the five major subdomains of artificial intelligence. There are several possible clinical uses for each subdomain of AI in brain tumor surgery. There are many more subfields within AI, hence this diagram is not all-inclusive. In12 the dependent variable (the target) and the independent variable (a collection of predictors) make up supervised learning. These variables are used to create a function that maps inputs to intended outputs. The model is trained repeatedly until it reaches a high degree of accuracy on the training set. kNN, logistic regression, decision trees, random forests, regression, and so on are a few instances of supervised learning. There won't be any target variable to forecast in unsupervised learning. Examples of unsupervised learning include k-means, apriori algorithms, and others. The machine is placed in an environment where it continuously educates itself through trial and error in reinforcement learning. In this case, the computer attempts to get the knowledge necessary to make accurate decisions by learning from its prior experiences. Markov decision process serves as one illustration of reinforcement learning (Figure 3).13

Figure 2 The five key subdomains of Artificial intelligence.12

Figure 3 Types of ML.

Deep learning has medical research areas as shown in Figure 4.

Figure 4 Research area of deep learning.

The evolution of ML and DL in the healthcare industry for brain disease diagnosis and detection has many approaches over the time as shown in Figure 5. The distinction between ML and DL from the literature can be seen in the information recognition pattern15 as shown in Figure 6.

Figure 5 Classifications of ML and DL techniques to detect brain diseases.14

Figure 6 Comparison between ML and Dl algorithm

Background knowledge of brain tumor

Brain is the central processing and control center in human body.14 The formation of abnormal cells in the brain or near the brain lead to the start of tumor called brain cancer, the abnormal cells altered the brain normal brain processing ability and consequently affects the patient’s health.16 Brain tumor as masses of abnormal cells (tissues) growing out of control can be classified according to starting locations, adverse effect, growing level and starting cells Primary tumors start in the brain and secondary (metastatic) tumor started in somewhere in the body and reach out to brain.17 Benign (non-cancerous) tumors do not grow into nearby tissues or distant tissues, while malignant (cancerous) tumors can spread into nearby tissues or distant tissues. Both benign and malignant brain tumors can spread through brain tissue, but they rarely spread to other parts of the body. While brain tumors that grow slowly, such as Grade I and Grade II, rarely invade nearby tissues, brain tumors that grow quickly, such as Grade III and Grade IV, mostly can.18 The brain tumor types based on the starting cells are shown in Table 1.

Brain tumor

Starting cell

Prevalence

Glioma

Glial cells

The most prevalent type of glial cell-derived central nervous system (CNS) tumor is called a glioma. Gliomas are detected in six cases per 100,000 persons in the United States each year.

Meningiomas

Meninges cells

They occur more frequently in women and older persons, developing in about 8 out of every 100,000 people annually.

Medulloblastoma

Neuroectodermal cells

About 20% of all pediatric brain tumors and 63% of intracranial embryonic tumors are caused by medulloblastoma. These tumors have an overall yearly frequency of about 5 cases per million in the pediatric population. They can develop from childhood and into adulthood.

Ganglioglimas

Both neuron and glial cells

Rare combined glio-neural tumors called gangliogliomas (GGs) account for 0.4% of central nervous system neoplasms and 1.3% of all primary brain tumors.

Schwannomas (neurilemmomas)

Schwann cells

The incidence is 4.4 to 5.23 cases per 100,000 adults/year; in children and adolescents, it is 0.44 cases per 100,000/year.

Craniopharyngiomas

Pituitary gland

In the United States, an estimated 350 new cases of craniopharyngioma are diagnosed each year, resulting in an age-adjusted incidence of 0.19 per 100,000 persons

Table 1 The brain tumor types based on the starting cells

Brain tumor diagnostic imaging modalities

Magnetic resonance imaging (MRI)

Imaging with magnetic resonance (MRI) is a non-invasive method that uses magnetic field to generate radiofrequency (RF) field to produced images of soft tissue with high resolution. It was described in 1930s and 40s. the principle of MRI is based on the interactions of protons (hydrogen atoms), strong magnetic fields and radiofrequencies of different energies. (Figure 7).19

Figure 7 MRI brain scan.20

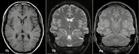
Patients is placed inside the strong magnet at still position to reduce motion artefacts in the image. MRI produced detailed anatomical structure of the brain,20 spinal cord and other body parts, it has the advantage of being able to visualized anatomical images in three planes: axial, sagittal and coronal views.21 MRI has the advantages of giving higher soft tissue contrast and being able to detect blood flows and cryptic vascular malfunctions, MRI has the advantage of being free from ionizing radiation exposure over computed tomography (CT) and conventional x-ray machines. T1-weighted, T2-weighted, diffusion weighted imaging (DWI), Proton density (PD-weighted), Fluid attenuated inversion recovery (FLAIR), Auto-calibrating reconstruction for cartesian imaging (ARC), and Generalized Auto-calibrating partial parallel acquisition (GRAPPA) are the imaging sequences used in magnetic resonance imaging (MRI). ARC is multi-coil parallel imaging (PI). Based on the time to echo (TE) and repetition time (TR), T1-weighted and T2-weighted are generated. T1-weighted has longer TE and TR. Another difference is by looking at cerebrospinal fluid (CSF), CSF is darker in T1-weighted and bright in T2-weighted images. The FLAIR sequence is mainly T2-weighted image with longer TE and TR. Diffusion weighted image is used to detect random movement of water proton. Proton density is in between T1 and T2 with pulse sequence of long TR and short TE.21 MRI is broadly classified into structural magnetic resonance imaging (sMRI) and functional magnetic resonance imaging (fMRI), sMRI is mostly applicable to clinical practices and research purposes. The distinction between sMRI and fMRI is difficult to make as function and structure are closely related, from biological view point fMRI provides dynamic physiological information which includes blood oxygen level depended (BOLD), perfusion and blood flow, while, sMRI displays static anatomical information which include studies of epilepsy, schizophrenia, dementia, trauma, tumours and multiple sclerosis.22 Structural MRI sequence has high contrast between gray matter and white matter giving room for volume quantification of the gray and white matter.  The common method used for processing sMRI is voxel-based morphometry, it can also be used to assess the degree of cortical folding or pattern and variation of cortical gyrification. sMRI has the advantages of clear interpretation, early implemented across centres and relatively low cost over fMRI, electroencephalography and proton magnetic resonance spectroscopy23 (Figure 8).

Figure 8 Example of T1 weighted, T2 weighted and PD weighted MRI Scan.

Computerized tomography (CT)

The brain's structure, including details like blood perfusion, can be seen by computerized tomography scans using X-rays. The resulting images are two-dimensional and have a very low resolution, although since 1998, the quality has significantly increased. Better technology has allowed for the creation of multisections and eight times faster speeds, resulting in well-defined three-dimensional images from a single section. Underdeveloped brain regions or locations of impact, tumor, lesion, or infection may be visible on a CT scan.24

Positron emission tomography (PET)

Using positron emission tomography scanning, one can obtain a three-dimensional picture of the brain's functional activities in addition to its structural makeup. Fluorodeoxyglucose, a radioactive sugar tracer, must be subcutaneously injected into the patient's bloodstream in order for PET imaging to be performed. Gamma-rays, a type of electromagnetic radiation with a higher energy than X-rays, are produced by radioactive material. The radioactive substance enters the brain and travels throughout the body. Pairs of gamma rays are indirectly emitted by the positron-emitting radionuclide (tracer) in each area of the brain being examined, and they are detected using a ring of detectors outside the head.4,25

Single photon emission computed tomography (SPECT)

In single photon emission computed tomography, two or more synchronized gamma cameras record the signals from gamma rays (rather than when the emissions are opposite at 1800). Multiple 2-D pictures are generated and tomographically rebuilt to 3-D. While a segment can be viewed from multiple perspectives, it is not as clear as a PET image. Using more readily available, longer-lived radioisotopes, SPECT scanners are less costly than PET scanners. The brain's blood flow may be traced to determine the areas of metabolic activity, which facilitates the evaluation of brain functions.26

Diffusion tensor imaging (DTI)

A kind of diffusion magnetic resonance imaging (MRI) called diffusion tensor imaging is used to watch brain activity as it happens. A common method for imaging white matter in the brain is to detect the limited diffusion of water through the tissue under study (Table 2).27

Reference

Year

Datasets

AI technology

29

2021

Commonly used brain tumor dataset

Deep neural network and residual network

30

2021

BRASTS 2013 Challenges

CNN

4

2018

BRASTS 2012, ISLES 2015

DNN

31

2018

BRASTS 2021

Orthogonal gamma distillation machine learning model

32

2020

MICCAI datasets and BRASTS 2015-2017

Grab cut methods

33

2020

MRI data

CNN-based and AlexNet

34

2021

MRI T1-W and T2-W

Auto ML

35

2020

MRI BRASTS

Adaptive KNN

36

2020

MRI BRASTS

RF

37

2020

MRI BRASTS

SVM

38

2020

MRI GBM

CNN+SVM

39

2020

MRI BRASTS and ISLES

LSTM+Softmax

40

2021

MRI BRATS 2018

3D-CNN

41

2020

MRI Figshare

Inception V3 softmax

DenseNet+softmax

42

2020

MRI T1 Figshare

Hybride CNN-NADE

43

2020

MRI T1

CNN-ELM

44

2020

MRI (TCGA-GBM)

SequenceNet

CNN-Elm

45

2020

MRI Kaggle Repository

CNN

46

2020

MRI Kaggle

BranMRNet CNN

47

2020

MRI BRTASTS

Stacked sparse auto encoder+softmax

48

2020

MRI BRASTA

Deep CNN

49

2021

MRI T1, T2 and Flair

DBM

50

2020

MRI BRASTS

CNN-VUG19+KNN

CNN-VUG19+Ensemble

51

2021

MRI BRASTS

3D CNN

52

2019

TCGA-GBM

NS-CNN

NS-EMFSE

53

2020

MRI BRASTS

ELM

54

2018

MRI BRASTS

Two-pathway group CNN

55

2019

MRI

KNN, ANN and SVM

56

2021

Figshare

denseNet-41-b with cornerNet

57

2019

MRI T1-W

RT

28

2019

76 MRI

SVM

58

2019

126-MRI

RF

59

2019

MRI and PET

SVM

60

2019

233-MRI

CNN

44

2020

500-MRI

CNN

61

2019

100-MRI

RF-SVM

62

2019

180-MRI

DNN

63

2019

350-PETs

Deep belief network

64

2018

32-MRI

Fuzzy C-means

65

2018

30-MRI

RF

66

2018

9-MRI

SVM

67

2019

64-MRI

CNN

68

2019

60-MRI

Supervised learning LOCATE

69

2015

10-pateints MRI

Hybrid level set

70

2015

BTASTS

Fully automated generic method

71

2015

SPES and SISS

EM

72

2017

BRASTS

Otsu algorithm

73

2017

21HGG patients

Non-negative matrix factorization

74

2019

1340-clinical MRI

Adaptive thresholding

75

2021

Local Data

SVM, CNN

Table 2 Summary of the related literature

Diffuse optical tomography (DOT)

A non-invasive imaging method called diffuse optical tomography (DOT) uses near-infrared light to scan the inside of the brain for changes in oxygenation and other physiological parameters that may have resulted from a stroke, seizure, or hemorrhage. Despite having a lower spatial resolution than MRI, DOT has the advantage of being simpler and faster at taking measurements. The devices are small and lightweight, roughly the size of a laptop and a small suitcase, making them easy to carry to the patient's bedside for ongoing brain activity monitoring.28

Material and methods

The period considered in study for the literature review is from 2015 to 2023, the databases used to obtain the literatures are Science Direct, IEEE explore digital Library, and Google scholar. The search criterions are “Brain tumor Diagnosis”, “AI challenges in Brain tumor Diagnosis”, ‘AI techniques” and “AI challenges in medicine and future”. The inclusion criteria (IC) and exclusion criteria (EC) are shown in table below (Tables 3,4).

Inclusion criteria

Eexclusion criteria

 

IC1: Paper must from 2015 to 2022 and peer reviewed

EC1: duplicate studies in different database

IC2: paper should use only MRI, CT or PET for Imaging acquisition

EC2: case study papers

IC3: paper should have automated AI technology

EC3: Study less cited by the peer reviewed papers

 

EC4: Study using imaging other than MRI, Ct or PET

Table 3 Selection criteria

Table 4 Search strategy from the different databases

Result and discussions

Challenges in explaining brain tumor detection

Brain tumor detection poses several challenges in terms of explanation. Existing explanation techniques for image classifiers, such as ImageNet, may not be adequate for explaining the detection of brain tumors in MRI brain images.76 The variations in tumor location, shape, and size make accurate segmentation and classification difficult.77 Additionally, the complexity of the brain as an organ and the critical nature of brain tumors contribute to the challenge of early detection and diagnosis.78 Further improvement is required in the efficiency of existing detection schemes, and critical research challenges need to be addressed in order to develop new methods for brain tumor detection.79 Overall, the challenges in explaining brain tumor detection stem from the unique requirements and complexities of the healthcare domain, necessitating specialized techniques and approaches. The issues surrounding the diagnosis and assessment of brain tumors have been discussed by,80 The random forest classifier approach finds the tumor in less machine time and with measured precision in their suggested treatment model. Our research revealed that the suggested system has a high accuracy rate for detecting tumors, a high rate of diagnosing diseases, and a low computing time for detecting diseases.

Kenneth Aldape 81 reported that, in an effort to promote advancements in the knowledge and capacity to effectively treat brain tumor patients, Cancer Research UK assembled a global panel of physicians and scientists working in laboratories to pinpoint obstacles that need to be surmounted in order to cure every patient with a brain tumor. The seven main issues are outlined here to provide future research and funding priorities. These include: (1) revamping the pipeline for brain tumor research and therapy; (2) utilizing the entire field of neuroscience; (3) comprehending the function of the microenvironment in the physiology and treatment of brain tumors; and (4) creating more accurate preclinical models. (5) find drugs for challenging targets in a diverse environment (6) create a precision medicine strategy for treating brain tumors (7) reduce treatment for Less-aggressive brain tumours.

Kenneth Aldape79 employed a Weiner filter with several wavelet bands to improve and de-noise the input slices, Using Potential Field (PF) clustering, subsets of tumor pixels are identified. Furthermore, in Fluid Attenuated Inversion Recovery (Flair) and T2 MRI, the tumor zone is isolated using a global threshold and several mathematical morphological techniques. Features from the Gabor Wavelet Transform (GWT) and Local Binary Pattern (LBP) are combined for reliable classification. Outcomes Peak signal to noise ratio (PSNR), mean squared error (MSE), and structural similarity index (SSIM) are used to evaluate the suggested technique. The findings are as follows: 76.38, 0.037, and 0.98 on T2 and 76.2, 0.039, and 0.98 on Flair, respectively. Pixels, individual features, and fused features have all been utilized to evaluate the segmentation outcomes. The suggested method is compared at the pixel level to ground truth slices and validated in terms of error region (ER), pixel quality (Q), background (BG), and foreground (FG) pixels. Using a local dataset, the method produced precision values of 0.93 FG, 0.98 BG, and 0.010 ER. BRATS 2013, a multimodal brain tumor segmentation challenge dataset, yields precision values of 0.93 FG, 0.99 BG, and 0.005 ER. Similarly, 0.015 ER, 0.97 FG, and 0.98 BG accuracy are obtained on BRATS 2015. The average Q value and variance in terms of quality are 0.88 and 0.017, respectively. Particularity, sensitivity, accuracy, area under the curve (AUC), and dice similarity coefficient (DSC) at the fused feature-based level are, respectively, 1.00, 0.92, 0.93, 0.96, and 0.96 on BRATS 2013, 90, 1.00, 0.97, 0.98, and 0.98 on BRATS 2015, and 90, 0.91, 0.90, 0.77, and 0.95 on local dataset. The suggested method performed better than the current methods.

New directions of AI technology for brain tumor diagnosis

Brain tumors are incurable diseases that impact nerves and human blood cells due to aberrant brain cell development. As it can help physicians plan surgeries, early and accurate brain tumor diagnosis is crucial to avoiding difficult and unpleasant treatment procedures.82 AI-enhanced brain tumor surgery can lead to safer and more efficient care.83 There are still many difficulties due to the knowledge gap that exists between data science and healthcare specialists. In contrast to data scientists, who possess advanced cognitive skills in data science to comprehend AI mechanisms, physicians have extensive experience in oncologic workup and management. To close the gap between clinical and data science professionals, more collaboration should be encouraged. The role of AI is another crucial matter. Without expertise, it is nearly impossible to run an AI. AI shouldn't be used in an entirely unsupervised setting as a stand-alone solution. Conversely, it is a useful tool that can assist in areas where human talents are still limited and a beneficial assistance to experts.83

Radiomics

Radiomics makes it possible to extract a vast number of quantitative features from intricate clinical imaging arrays and convert them into high-dimensional data that can be further processed to determine their relationship to the histological features of the tumor, which represent underlying genetic mutations and malignancy as well as grade, progression, response to therapy, and even overall survival (OS). In contrast to conventional brain imaging, radiomics offers quantifiable data associated with significant biologic features and the use of deep learning, which illuminates the complete automation of imaging diagnosis. Recent research has demonstrated the wide range of applications of radiomics, including the identification of primary tumors, differential diagnosis, grading, assessment of aggression and mutation status, and prediction of treatment response and recurrence in brain metastases, pituitary tumors, and gliomas.84

Radiomics is a rapidly expanding field and is still in extensive clinical exploration stage, with many obstacles to overcome. Current standards lack results validation, incomplete results reports, and unidentified confounding variables in the source database, especially for retrospective data.85,86 radiomics and radiogenomics can only identify the correlation, thus lacking robustness and credibility without tissue biopsy.87 The auto segmentation procedures used today are dispersed and lack standardized practices. According to the research we looked at, brain tumor radiomics rarely uses more sophisticated algorithms, like deep learning, than lung, prostate, or colorectal cancer radiomics.88 Current research in brain tumor still lack huge populations, especially from several sites.89 Furthermore, there are ethical concerns regarding the motivation of academics and governments to share personally validated data for machine learning, even when the creation of AI algorithms necessitates not just basic technology but also legislation and maybe ethics.85

Data hungry

One continuous need for AI is the collection of a sizable, publicly available, well-annotated cancer dataset. Good data is essential for the effective creation of an AI model. Even if there is a rising volume and variety of data available, the evaluation of data quality is not standardized. AI is challenging to use since patients have a wide range of cancer types and frequently lack clinical, imaging, or genetic data. AI is challenging to use since patients have a wide range of cancer types and frequently lack clinical, imaging, or genetic data. Equity and Access to Data The issues of overfitting are directly caused by restrictions on the availability and caliber of data. More than any other ML approach, DL neural networks need a lot of data. This can be problematic for the healthcare industry when trying to apply AI to less common disease processes. Moreover, data silos can exist inside certain institutions. Concerns about the transmission of protected patient health information, the absence of an infrastructure for data sharing between institutions, the variability and incompleteness of data collecting, and competition between institutions are all factors contributing to this relative data drought. With an increasing focus on expedited data collecting90 and several multi-institutional data-sharing agreements,91,92 these challenges are starting to be addressed. Research organizations can now publish their own data, which may encourage openness.94 Guidelines for FAIR (findable, accessible, interoperable, and reusable) data utilization have also been presented.93

Large, standardized, annotated data sets and excellent ground truth data are necessary for the development of accurate AI. The majority of clinical studies for gliomas are multi-institutional, which makes it more difficult to get consistent data sets,27,95 Understanding what sorts of datasets are required for a possible utility and how to get these datasets is crucial to optimizing the intended results. Commonly, radiographic imaging, cancer genome, medical records, pharmacological information, and biomedical literature are among the sensitive and helpful indications or features for AI-powered cancer research.96,97

Black box

The model's relative opacity limits the application of AI in practical situations. The machine was unable to explain how or why it had come to this conclusion. The "black box" dilemma is how people frequently refer to this.98 It is challenging to identify the input data features that contribute to the result. AI, for instance, is capable of predicting the best course of care for a patient, but it is unable to explain its reasoning. A trend toward easing this restriction is interpretable deep learning.99,100 The mystery box issue Although these models consistently achieve good performance, one of the main obstacles to the use of AI in healthcare is the worry that they are relatively opaque. For example, based on a patient's prior two years of EHR data, a DL model may correctly predict that the patient will acquire pancreatic cancer. But why did the model make that prediction? We can currently only deduce a limited amount of the exact reasoning underlying DL-based predictions. This issue is frequently called the "black box" dilemma.101 Understanding the reasoning behind each clinical choice has long been crucial in the practice of medicine. Conventional machine learning methods, such as linear regression, are not very good at modeling intricate relationships, but they are straightforward to understand since they provide us with a collection of pre-defined features and the feature weights that represent their respective impact sizes. On the other hand, unstructured input data is used in deep learning, and the majority of knowledge creation takes place in the hidden layers. As a result, identifying the precise attribute or characteristics of the input data that influenced the result becomes challenging. The use of AI-based algorithms in healthcare will be significantly impacted by this interpretability issue, from both a practitioner and a regulatory standpoint.102–105

Despite the fact that AI algorithms employ a wide range of features in their decision-making, many of the previously published AI algorithms cannot be easily replicated by other researchers due to the complexity of their analytical methods. The "blackbox" aspect of AI is being investigated further, and the results could one day make it possible to follow otherwise opaque processes step-by-step using transparent methods.106,107 Currently, addressing the black box issue is a key area of research attention.3 Many techniques have been developed for AI image analysis algorithms, such as saliency maps, class activation mapping, feature visualization, and sensitivity analyses, in which specific areas of the image are hidden to reduce prediction error.108 Even though these techniques have improved in recent years, more research is required to fully understand the reasoning behind deep neural network decision-making.

Proving generalizability and real-world applications

Even though artificial intelligence (AI) is being quickly used to oncologic research, more has to be done to convert these findings into practical, therapeutically useful applications. Demonstrating the generalizability of deep learning applications and conducting external validation are two major obstacles. Neural networks have a strong propensity to produce overfitted models that do not generalize across various populations because to their complexity and astronomically high parameter counts (sometimes in the millions). Furthermore, several external validation sets would be needed to demonstrate the effectiveness of an application due to the notable variety of medical data among institutions.109 One of the main obstacles inhibiting the AI algorithms' wider clinical application is their generalizability. The majority of AI applications used in gliomas and oncology to yet have been trained on patient populations that are still quite small. The huge and diverse population of gliomas makes the performance of an AI algorithm created on a small population suboptimal.110

Education and expertise

There are knowledge gaps in clinical oncology that need to be filled in order to successfully integrate AI and maximize its effects. Physicians are now undertrained in data science and machine learning, which hinders their capacity to comprehend deep learning mechanisms, choose suitable algorithms, and carry out research.111 Analogously, the majority of data scientists lack expertise in oncologic workup and management, which hinders their capacity to recognize significant and appropriate clinical use cases. Clinical oncologic departments and bioinformatics and data science divisions should work together more, and when necessary, strategic alliances with technological companies should be established. The connection between clinicians and engineers presents another barrier to the widespread adoption of AI in gliomas and cancer. Presently, the majority of computer scientists are unfamiliar with the complexities of clinical patient management, while physicians have relatively little training in computer/data science.112

Promoting AI in oncology: professional societies and national initiatives

Several national professional bodies have started programs to bridge these knowledge gaps and advance the adoption of AI in oncology in response to these difficulties. The American College of Radiology (ACR) established the ACR-DSI, or American College of Radiology Data Science Institute, to work with industry, government, and radiologists to advance AI in imaging.113 The ACR-DSI encompasses multiple fundamental objectives: (i) offering guidelines for gauging AI algorithm performance ("Touch-AI"), (ii) autonomous, external verification of algorithms and managing the regulatory environment ("Certify-AI"), and (Assess-AI"), a long-term, prospective assessment of implemented algorithm performance. In addition, a number of use cases for suggested AI imaging applications with unmet clinical needs have been established by the ACR-DSI. In collaboration with oncologists, industry, and academia, the American Society of Clinical Oncology (ASCO) and American Society for Radiation Oncology (ASTRO) have launched a big data initiative called Cancer Link. The initiative aims to provide oncologists with user-friendly knowledge dissemination while tracking and evaluating treatment outcomes in real-time.114 The foundation of the project is an ever-expanding database of de-identified patient data that can be searched through and examined. ASTRO and Cancer Link teamed in 2017 to offer radiation oncology knowledge and database applications. Additionally, one of the main goals of the ASTRO Research Agenda for 2018 is bioinformatics and big data analytics.115 National Institutes of Health (NIH): To encourage the development of tools for integrating big data and data science into biomedical research, the Big Data to Knowledge (BD2K) effort was started as part of the NIH Common Fund.116 Using pre-existing national datasets, such as The Cancer Genome Atlas (TCGA) and the Library of Integrated Network-based Cellular Signatures (LINCS), and machine learning (ML) techniques to find patterns in the data that could lead to previously unidentified compounds for cancer therapeutics is one of the initiative's main focuses (Tables 5,6).3

Brain tumor association

Website

National brain tumor society

https://braintumor.org/

The American Brain Tumor Association

https://www.abta.org/

The International Brain Tumour Alliance (IBTA)

https://www.cancer.gov/rare-brain-spine-tumor/living/related-organizations

Voices Against Brain Cancer's (VABC)

http://www.voicesagainstbraincancer.org/

European Organisation for Research and Treatment of Cancer EORTC

https://www.eortc.org/research_field/brain/

Table 5 Brain tumor associations around the world

Brain tumor database

Website

Figshare Brain datasets

https://figshare.com/articles/dataset/brain_tumor_dataset/1512427

BRASTS 2012-2018 Challenge datasets

https://paperswithcode.com/dataset/brats-2018-1

Kaggle datasets

https://www.kaggle.com/search

Brain tumor datasets IEEE

https://ieee-dataport.org/documents/brain-tumor-dataset

The Cancer Genom Atlas  (TCGA) 

https://portal.gdc.cancer.gov/projects/TCGA-GBM

The Cancer Imaging Archive (TCIA)

https://www.cancerimagingarchive.net/

Internet Brain Segmentation Repository (IBSR)

http://allie.dbcls.jp/pair/IBSR;Internet+Brain+Segmentation+Repository.html

 

Brain Web Simulated Datasets

http://allie.dbcls.jp/pair/IBSR;Internet+Brain+Segmentation+Repository.html

Ischemic Stroke Lesion Segmentation Challenge 2015-2017 Datasets

http://www.isles-challenge.org/ISLES2015/

Harvard Medical School Whole Brain datasets 

https://www.med.harvard.edu/aanlib/

Table 6 Brain tumor database around the world

Each of the brain tumor database have their specific ethics related to data sharing for machine learning which the researcher needs to explore for compliance.117

Obstacles in the treatment of primary brain tumors at various tumor growth phases

The ventricular–subventricular zone's non-malignant cellular makeup contains neural stem cells, which proliferate and give rise to transit-amplifying cells. Neuroblasts that migrate are derived from transit-amplifying cells90. The neural stem cell niche also contains ependymal cells. The niche may interact with other cell types, such as microglia and astrocytes, and is closely linked to blood arteries. When the non-malignant hierarchy starts to change, the premalignant proliferation of transit-amplifying cells and migratory neuroblasts is probably caused by the malignant transformation of neural stem cells. This disordered hierarchy is what causes the cancerous brain tumor. The ultimate goal of treating these lesions is to eliminate the tumor cells in order to bring about a cure. The primary research topics at each stage, from the genesis of cancer to its remission after successful therapy, are indicated by the blue panels beneath these cartoons. The relationship between these particular stages of illness development and the seven barriers to advancement is illustrated by the green panels (Figure 9).

Figure 9 Obstacles to curing of primary brain tumors at different stages by Aldape.

Conclusion

The systematic study draws attention to the current shortcomings in the most advanced AI methods for brain tumor diagnosis. This literature review has focused on the challenges associated with the identification and assessment of brain tumors. The difficulties in detecting and diagnosing brain cancers early on are further compounded by the brain's intricate structure as an organ and their crucial role.  Personalized treatment plans, the application of explainable AI in clinical decision making, and the integration of numerous data modalities are just a few of the topics that require further research and development. In general, solving these issues will speed up the creation of fully effective AI instruments for the clinical management of brain tumor patients.

Acknowledgments

None.

Conflicts of interest

There is no conflicts of interest.

References

  1. Olah C, Satyanarayan A, Johnson I, et al. The building blocks of interpretability. Distill. 2018;3(3):e10.
  2. Agbo Obinayya. Blockchain and AI in healthcare: transforming patient care and medical research. 2023
  3. Ayadi W, Elhamzi W, Charfi I, et al. Deep CNN for brain tumor classification. Neural Processing Letters. 2021;53(1):671–700.
  4. Amin J, Sharif M, Yasmin M, et al. Big data analysis for brain tumor detection: Deep convolutional neural networks. Future Generation Computer Systems. 2018;87:290–297.
  5. Arunkumar N, Mohammed MA, Abd Ghani, et al. K-means clustering and neural network for object detecting and identifying abnormality of brain tumor. Soft Computing. 2019;23(19):9083–9096.
  6. Castelvecchi, D. Can we open the black box of AI? Nature News. 2016;538(7623):20.
  7. Giedd JN. Structural magnetic resonance imaging of the adolescent brain. Annals of the new york academy of sciences. 2004;1021(1): 77–85.
  8. Davis FG, Malmer BS, Aldape K, et al. Issues of diagnostic review in brain tumor studies: from the brain tumor epidemiology consortium. Cancer Epidemiology and Prevention Biomarkers. 2008;17(3):484–489.
  9. Haeck T, Maes F, Suetens P. ISLES challenge 2015: Automated model-based segmentation of ischemic stroke in MR images. In:  BrainLes. Springer Cham; 2015;246–253.
  10. Khan P, Kader MF, Islam SR. et al. Machine learning and deep learning approaches for brain disease diagnosis: Principles and recent advances. IEEE Access. 2021;9:37622–37655.
  11. Kokkalla S, Kakarla J, Venkateswarlu IB, et al. Three-class brain tumor classification using deep dense inception residual network. SoftComputing. 2021;25(13):8721–8729.
  12. Williams S, Layard Horsfall H, Funnell JP, et al. Artificial intelligence in brain tumour surgery- an emerging paradigm. Cancers. 2021;13(19):5010.
  13. Kalaiselvi T, Padmapriya ST. Brain tumor diagnostic system—a deep learning application: machine vision inspection systems, Machine Learning Based Approaches. 2021;2:69–90.
  14. Khan P, Kader MF, Islam SR, et al. Machine learning and deep learning approaches for brain disease diagnosis: Principles and recent advances. IEEE Access. 2021;9:37622–37655.
  15. Chang P, Grinband J, Weinberg BD, et al. Deep-learning convolutional neural networks accurately classify genetic mutations in gliomas. American Journal of Neuroradiology. 2018;39(7):1201–1207.
  16. Amin J, Sharif M, Yasmin M, et al. Big data analysis for brain tumor detection: Deep convolutional neural networks. Future Generation Computer Systems. 2018;87:290–297.
  17. Dorsey JF, Salinas RD, Dang M, et al. Cancer of the central nervous system. In: Abeloff's clinical oncology. Elsevier; 2020. p. 906-967.
  18. Davis FG, Malmer BS, Aldape K, et al. Issues of diagnostic review in brain tumor studies: from the brain tumor epidemiology consortium. Cancer Epidemiology and Prevention Biomarkers. 2008;17(3):484–489.
  19. Shah J, Pham GN, Zhang J, et al. Evaluating diagnostic yield of computed tomography (CT) and magnetic resonance imaging (MRI) in pediatric unilateral sensorineural hearing loss. International journal of pediatric otorhinolaryngology. 2018;115:41–44.
  20. Hendee WR, Ritenour, ER. Medical imaging physics. John Wiley & Sons. 2023.
  21. Klioze D. MRI: Basic physics & a brief history. 2013.
  22. Giedd JN. Structural magnetic resonance imaging of the adolescent brain. Annals of the new york academy of sciences. 2004;1021(1): 77–85.
  23. Gifford G, McCutcheon R, McGuire P. Neuroimaging studies in people at clinical high risk for psychosis. In: Risk Factors for Psychosis. Academic Press; 2020.167–182.
  24. Rydberg J, Buckwalter KA, Caldemeyer KS, et al. Multisection CT: scanning techniques        and clinical applications. Radiographics, 2000;20(6):1787–1806.
  25. Young H, Baum R, Cremerius U, et al. Measurement of clinical and subclinical tumour response using [18F]-fluorodeoxyglucose and positron emission tomography: review and 1999 EORTC recommendations. European journal of cancer. 1999;35(13):1773–1782.
  26. Frankle WG, Slifstein M, Talbot PS, et al. MNeuroreceptor imaging in psychiatry: theory and applications. International Review of Neurobiology. 2005;67:385–440.                                                  
  27. Lazar M, Weinstein DM, Tsuruda JS, et al. White matter tractography using diffusion tensor deflection. Human brain mapping. 2003;18(4):306–321.
  28. Medical diagnostics. 2010.
  29. Kokkalla S, Kakarla J, Venkateswarlu IB, et al. Three-class brain tumor classification using deep dense inception residual network. Soft Computing. 2021;25(13):8721–8729.
  30. Padmapriya ST, Kalaiselvi T. Brain tumor diagnostic system—a deep learning application: machine learning based approaches. 2021;2:69–90.
  31. Manogaran G, Shakeel PM, Hassanein AS, et al. Machine learning approach-based gamma distribution for brain tumor detection and data sample imbalance analysis. IEEE Access. 2018;7:12–19.
  32. Saba T, Mohamed AS, El-Affendi M, et al. Brain tumor detection using fusion of hand crafted and deep learning features. Cognitive Systems Research. 2020;59:221–230.
  33. Tandel GS, Balestrieri A, Jujaray T, et al. Multiclass magnetic resonance imaging brain tumor classification using artificial intelligence paradigm. Computers in Biology and Medicine. 2020;122:103804.
  34. Khan P, Kader MF, Islam SR, et al. Machine learning and deep learning approaches for brain disease diagnosis: Principles and recent advances. IEEE Access. 2021;9:37622–37655.
  35. Kumar DM, Satyanarayana D, Prasad MN. MRI brain tumor detection using optimal possibilistic fuzzy C-means clustering algorithm and adaptive k-nearest neighbor classifier. Journal of Ambient Intelligence and Humanized Computing. 2021;12(2):2867–2880.
  36. Rehman ZU, Zia MS, Bojja GR, et al. Texture based localization of a brain tumor from MR-images by using a machine learning approach. Medical Hypotheses. 2020;141:109705.
  37. Sharif M, Amin J, Raza M, et al. An integrated design of particle swarm optimization (PSO) with fusion of features for detection of brain tumor. Pattern Recognition Letters. 2020;129:150–157.
  38. Kniep HC, Madesta F, Schneider T, et al. Radiomics of brain MRI: utility in prediction of metastatic tumor type. Radiology. 2019;290(2):479–487.
  39. Amin J, Sharif M, Raza M, et al. Brain tumor detection: a long short-term memory (LSTM)-based learning model. Neural Computing and Applications. 2020;32(20):15965–15973.
  40. Rehman A, Khan MA, Saba T, et al. Microscopic brain tumor detection and classification using 3D CNN and feature selection architecture. Microscopy Research and Technique. 2021;84(1):133–149.
  41. Noreen N, Palaniappan S, Qayyum A, et al. A deep learning model based on concatenation approach for the diagnosis of brain tumor. IEEE Access. 2020;8:55135–55144.
  42. Hashemzehi R, Mahdavi SJS, Kheirabadi M, et al. Detection of brain tumors from MRI images base on deep learning using hybrid model CNN and NADE. Biocybernetics and biomedical engineering. 2020;40(3):1225–123
  43. Khan MA, Ashraf I, Alhaisoni M, et al. Multimodal brain tumor classification using deep learning and robust feature selection: A machine learning application for radiologists. Diagnostics. 2020;10(8):565.
  44. Özyurt F, Sert E, Avcı, D. An expert system for brain tumor detection: Fuzzy C-means with super resolution and convolutional neural network with extreme learning machine. Medical hypotheses. 2020;134:109433.
  45. Çinar A, Yildirim M. Detection of tumors on brain MRI images using the hybrid convolutional neural network architecture. Medical hypotheses. 2020;139:109684.
  46. Toğaçar M, Ergen B, Cömert Z. BrainMRNet: Brain tumor detection using magnetic resonance images with a novel convolutional neural network model. Medical hypotheses. 2020;134:109531.
  47. Amin J, Sharif M, Gul N, et al. Brain tumor detection by using stacked autoencoders in deep learning. Journal of medical systems. 2020;44(2):1–12.
  48. Rammurthy D, Mahesh PK. Whale Harris hawks optimization based deep learning classifier for brain tumor detection using MRI images. Journal of King Saud University Computer and Information Sciences. 2020.
  49. Hu A,Razmjooy N. Brain tumor diagnosis based on metaheuristics and deep learning. International Journal of Imaging Systems and Technology. 2021;31(2):657–669.
  50. Saba T, Mohamed AS, El-Affendi, et al. Brain tumor detection using fusion of hand crafted and deep learning features. Cognitive Systems Research. 2020;59:221–230.
  51. Rehman A, Khan, MA, Saba T, et al. Microscopic brain tumor detection and classification using 3D CNN and feature selection architecture. Microscopy Research and Technique. 2021;84(1):133–149.
  52. Özyurt F, Sert E, Avci E, et al. Brain tumor detection based on convolutional neural network with neutrosophic expert maximum fuzzy sure entropy. Measurement. 2019;147:106830.
  53. Nadeem MW, Ghamdi MAA, Hussain M, et al. Brain tumor analysis empowered with deep learning: A review, taxonomy, and future challenges. Brain sciences. 2020;10(2):118.
  54. Razzak MI, Imran M, Xu G.  Efficient brain tumor segmentation with multiscale two-pathway-group conventional neural networks. IEEE journal of biomedical and health informatics. 2018;23(5):1911–1919.
  55. Arunkumar N, Mohammed MA, Abd Ghani, et al. K-means clustering and neural network for object detecting and identifying abnormality of brain tumor. Soft Computing. 2019;23(19):9083–9096.
  56. Baid U, Ghodasara S, Mohan S, et al. The rsna-asnr-miccai brats 2021 benchmark on brain tumor segmentation and radiogenomic classification.
  57. Kniep HC, Madesta F, Schneider T, et al. Radiomics of brain MRI: utility in prediction of metastatic tumor type. Radiology. 2019;290(2):479–487.
  58. Wu S, Meng J, Yu Q, et al. Radiomics-based machine learning methods for isocitrate dehydrogenase genotype prediction of diffuse gliomas. Journal of cancer research and clinical oncology. 2019;145(3):543–550.
  59. Kebir S, Weber M, Lazaridis L, et al. Hybrid 11C-MET PET/MRI combined with “machine learning” in glioma diagnosis according to the revised glioma WHO classification 2016. Clinical nuclear medicine. 2019;44(3):214–220.
  60. Swati ZNK, Zhao Q, Kabir M, et al. Brain tumor classification for MR images using transfer learning and fine-tuning. Computerized Medical Imaging and Graphics. 2019;75:34–46.
  61. Ortiz Ramón R, Hernández MDCV, González Castro V, et al. Identification of the presence of ischaemic stroke lesions by means of texture analysis on brain magnetic resonance images. Computerized Medical Imaging and Graphics. 2019;74:12–24.
  62. Lau AY, Mok V, Lee J, et al. Retinal image analytics detects white matter hyperintensities in healthy adults. Annals of clinical and translational neurology. 2019;6(1):98–105.
  63. Shen W, Tu Y, Gollub RL, et al. Visual network alterations in brain functional connectivity in chronic low back pain: A resting state functional connectivity and machine learning study. NeuroImage: Clinical. 2019;22:101775.
  64. Rundo L, Militello C, Tangherloni A, et al. Next for neuro‐radiosurgery: a fully automatic approach for necrosis extraction in brain tumor MRI using an unsupervised machine learning technique. International Journal of Imaging Systems and Technology. 2018;28(1):21–37
  65. Soltaninejad M, Yang G, Lambrou T, et al. Supervised learning based multimodal MRI brain tumour segmentation using texture features from supervoxels. Computer methods and programs in biomedicine. 2018;157:69–84.
  66. Forouzannezhad P, Abbaspour A, Li C, et al. A deep neural network approach for early diagnosis of mild cognitive impairment using multiple features. 2018; 17th IEEE international conference on machine learning and applications (ICMLA). IEEE. 2018. p. 1341–1346.
  67. Spasov S, Passamonti L, Duggento A, et al.  Alzheimer's disease neuroimaging initiative. a parameter-efficient deep learning approach to predict conversion from mild cognitive impairment to Alzheimer's disease. Neuroimage. 2019;189:276–287.
  68. Böhle M, Eitel F, Weygandt M, et al. Layer-wise relevance propagation for explaining deep neural network decisions in MRI-based Alzheimer's disease classification. Frontiers in aging neuroscience. 2019;194.
  69. Xie K, Yang J, Zhang ZG, et al. M. Semi-automated brain tumor and edema segmentation using MRI. European journal of radiology. 2005;56(1):12–19.
  70. Agn M, Puonti O, Rosenschöld PMA, et al. Brain tumor segmentation using a generative model with an RBM prior on tumor shape. In: BrainLes, Springer; 2015. p. 168–180.
  71. Haeck T, Maes F, Suetens P. ISLES challenge 2015: Automated model-based segmentation of ischemic stroke in MR images. In: BrainLes, Springer; 2015. p. 246–253.
  72. Abbasi S, Tajeripour F. Detection of brain tumor in 3D MRI images using local binary patterns and histogram orientation gradient. Neurocomputing. 2017;219:526–535.
  73. Sauwen N, Acou M, Sima DM, et al. Semi-automated brain tumor segmentation on multi-parametric MRI using regularized non-negative matrix factorization. BMC medical imaging. 2017;17(1):1–14.
  74. Gupta N, Bhatele P, Khanna P. Glioma detection on brain MRIs using texture and morphological features with ensemble learning. Biomedical Signal Processing and Control. 2019;47:115–125.
  75. Ayadi W, Elhamzi W, Charfi I, et al. Deep CNN for brain tumor classification. Neural Processing Letters. 2021;53(1):671–700.
  76. Legastelois B, Brennan P, Chockler H, et al. Challenges in explaining brain tumor detection. 2023.
  77. Amarjot Singh, Shivesh Bajpai, Srikrishna, et al. Malignant brain tumor detection. International Journal of Computer Theory and Engineering. 2012.
  78. Manikandan VM, Sai Yasheswini, Kandimalla D, et al. Recent methods and challenges in brain tumor detection using medical image processing. Recent Patents on Engineering. 2022.
  79. Amin J, Javaria, Amin Muhammad, et al.  Brain tumor detection and classification using machine learning: a comprehensive survey. Complex & Intelligent Systems. 2021.
  80. Magesh S, Niveditha VR, Ambeshwar Kumar, et al. Comparative study on challenges and detection of brain tumor using machine learning algorithm. 2021;21–30.
  81. Kenneth Aldape, Kevin M, Brindle, et al. Challenges to curing primary brain tumours. Nature Reviews Clinical Oncology. 2019;16(8):509–520.
  82. Nawaz M, Nazir T, Masood M, et al. Analysis of brain MRI images using improved cornernet approach. Diagnostics. 2021;11(10): 1856.
  83. Williams S, Layard Horsfall H, Funnell JP, et al. Artificial intelligence in brain tumour surgery—an emerging paradigm. Cancers. 2021;13(19):5010.
  84. Yi Z, Long L, Zeng Y, et al. Current advances and challenges in radiomics of brain tumors. Frontiers in Oncology. 2021;4161.
  85. Chang K, Balachandar N, Lam C, et al. Distributed deep learning networks among institutions for medical imaging. Journal of the American Medical Informatics Association. 2018;25(8):945–954.   
  86. Collins GS, Reitsma JB, Altman DG, et al. Transparent reporting of a multivariable prediction model for individual prognosis or diagnosis (TRIPOD): the TRIPOD statement. Journal of British Surgery. 2015;102(3):148–158.
  87. Navab N, Hornegger J, Wells WM, et al. Medical Image Computing and Computer-Assisted Intervention–MICCAI 2015: 18th International Conference, Munich, Germany, October 5-9, 2015, Proceedings, Part III Vol. 9351. Springer; 2015.
  88. Zwanenburg A. Radiomics in nuclear medicine: robustness, reproducibility, standardization, and how to avoid data analysis traps and replication crisis. European journal of nuclear medicine and molecular imaging. 2019;46(13):2638–2655.
  89. Park JE, Kim HS, Kim D, et al. A systematic review reporting quality of radiomics research in neuro-oncology: toward clinical utility and quality improvement using high-dimensional imaging features. BMC cancer. 2020;20(1):1–11.
  90. Ross JS, Waldstreicher J, Bamford S, et al. Overview and experience of the YODA Project with clinical trial data sharing after 5 years. Scientific data. 2018;5(1):1–14.
  91. Micheel CM, Sweeney SM, LeNoue Newton ML, et al. AACR project GENIE consortium. American association for cancer research project genomics evidence neoplasia information exchange: from inception to first data release and beyond—lessons learned and member institutions’ perspectives. JCO clinical cancer informatics. 2018;2:1–14.
  92. Wilkinson MD, Dumontier M, Aalbersberg IJ, et al. The FAIR guiding principles for scientific data management and stewardship. Scientific data. 2016;3(1):1–9.
  93. Chavan V, Penev L. The data paper: a mechanism to incentivize data publishing in biodiversity science. BMC bioinformatics. 2011;12(15):1–12.
  94. Zech JR, Badgeley MA, Liu M, Costa AB, et al. Variable generalization performance of a deep learning model to detect pneumonia in chest radiographs: a cross-sectional study. PLoS medicine. 2018;15(11),e1002683.
  95. Choy G, Khalilzadeh O, Michalski M, et al. Current applications and future impact of machine learning in radiology. Radiology. 2018;288(2):318–328.
  96. Lambin P, Roelofs E, Reymen B, et al. Rapid Learning health care in oncology’–an approach towards decision support systems enabling customised radiotherapy. Radiotherapy and Oncology. 2013;109(1):159–164.
  97. Larochelle H, Bengio Y, Louradour J, et al. Exploring strategies for training deep neural networks. Journal of machine learning research. 2009;10(1).
  98. Adadi A, Berrada M. Peeking inside the black-box: a survey on explainable artificial intelligence (XAI). IEEE access. 2018;6:52138–52160.
  99. Amin J, Sharif M, Haldorai A, et al. Brain tumor detection and classification using machine learning: a comprehensive survey. Complex and Intelligent Systems. 2021;1–23.
  100. Board PATE. Adult central nervous system tumors treatment (PDQ®). In PDQ Cancer information summaries. National Cancer Institute (US). 2021.
  101. Biratu ES, Schwenker F, Ayano YM, et al. A survey of brain tumor segmentation and classification algorithms. Journal of   Imaging. 2021;7(9):179.
  102. Nature Biomedical Engineering. Towards trustable machine learning. Nat Biomed Eng. 2018;2(10):709–10.
  103. Portal EG. Key changes with the general data protection regulation. EU GDPR Portal. 2017.
  104. Yu KH, Beam AL, Kohane IS.  Artificial intelligence in healthcare. Nature biomedical engineering. 2018;2(10):719–731.
  105. Zhang QS, Zhu SC. Visual interpretability for deep learning: a survey. Frontiers of Information Technology & Electronic Engineering. 2018;19(1):27–39.
  106. Frankle WG, Slifstein M, Talbot PS, et al. Neuroreceptor imaging in psychiatry: theory and applications. International Review of Neurobiology. 2005;67:385–440.                                                  
  107. Sotoudeh H, Shafaat O, Bernstock JD, et al. Artificial intelligence in the management of glioma: era of personalized medicine. Frontiers in oncology. 2019;9:768.
  108. Rajkomar A, Dean J, Kohane I. Machine learning in medicine. New England Journal of Medicine. 2019;380(14):1347–1358.
  109. Cancer Genome Atlas (TCGA) Research Network. Comprehensive genomic characterization defines human glioblastoma genes and core. 2008.                455(7216):1061–8.
  110. Castelvecchi D. Can we open the black box of AI? Nature News. 2016;538(7623):20.
  111. Ayadi W, Elhamzi W, Charfi I, Atri M. Deep CNN for brain tumor classification. Neural Processing Letters. 2021;53(1),671–700.
  112. Kann BH, Thompson R, Thomas Jr CR, et al. Artificial           intelligence in oncology: current applications and future directions. Oncology    Williston Park, NY. 2019;33(2):46–53.
  113. Fortelny N, Bock C. Knowledge-primed neural networks enable biologically interpretable deep learning on single-cell sequencing data. Genome biology. 2020;21(1):1–36.
  114. Parikh RB, Gdowski A, Patt DA, et al.  Using big data and predictive analytics to determine patient risk in oncology. American Society of Clinical Oncology. Educational Book. 39,e53-–e58. 2019.
  115. Knoll MA, Kavanagh B, Katz M. The 2017 American Society of Radiation Oncology (ASTRO) annual meeting: Taking a deeper dive into social media. Advances in Radiation Oncology. 2018;3(3):230–233.
  116. Coakley MF, Leerkes MR, Barnett J, et al. Unlocking the power of big data at the national institutes of health. 2013;1(3):183–6.
  117. Thakare V, Khire, G, Kumbhar M. Artificial intelligence (AI) and Internet of Things (IoT) in healthcare: opportunities and challenges. ECS Transactions. 2022;107(1):7941.
Creative Commons Attribution License

©2023 Ahmed, et al. This is an open access article distributed under the terms of the, which permits unrestricted use, distribution, and build upon your work non-commercially.