Submit manuscript...
MOJ
eISSN: 2374-6939

Orthopedics & Rheumatology

Research Article Volume 17 Issue 1

Radiological outcomes of surgical treatment of closed distal tibia fractures

MA Kolotsi, MV Ngcelwane, ME Mabitsela, MB Mthelebofu

Department of Orthopaedic surgery, University of Pretoria, South Africa

Correspondence: MV Ngcelwane, MBChB (Natal); FCS (SA) Ortho; MSc Orth (London); PhD, Department of Orthopaedic surgery, University of Pretoria, South Africa

Received: March 01, 2025 | Published: March 10, 2025

Citation: Kolotsi MA, Ngcelwane MV, Mabitsela ME, et al. Radiological outcomes of surgical treatment of closed distal tibia fractures. MOJ Orthop Rheumatol. 2025;17(1):14-17. DOI: 10.15406/mojor.2025.17.00691

Download PDF

Abstract

Introduction: Closed distal third tibia fractures are common injuries in South Africa, where there is a high incidence of pedestrian and motor vehicle accidents. The surgical options of treating these fractures include intramedullary nail (IMN), open reduction and locking plate fixation, tibial cannulated screw fixation with fibular plating, and external fixation. We undertook the study to review the radiologic outcomes of closed extraarticular fractures treated surgically with intramedullary nailing or anatomical locking plate.

Methods: This was a retrospective cohort study of patients with distal tibial extraarticular fractures treated surgically with intramedullary nail or anatomical locking plate fixation. Data was collected from hospital records over a 24-month period. The radiological evaluation and measurements were made on Picture Archiving and Communication System (PACS).

Results: A total of 100 patients were included in the study. Most of the patients were males 61 (61%) patients were male. The age range of patients was 18 years to 77 years (median 38yrs). Eighty patients (80%) were treated with intramedullary nailing and those treated with plating were 20 (20%). The immediate post-operative anteroposterior (AP) view showed that 73 participants had an acceptable alignment, and 27 patients had malalignment. Lateral view showed that 98 participants had acceptable alignment (98%), with malalignment in only two patients (2%). The RUST score showed 96% (n=96) of the patients had union, and 4% (n=4) had non-union. At the final follow up at 9 months, one patient that initially had good alignment ended up with malunion. Four patients had non-union - one was amputated and three had revisions. Of the four patients that had non-union, three were fixed with anterolateral plate and one treated with IMN. In the 28 patients that had malunion, 26 were treated with intramedullary nailing and two with anterolateral plate. IMN had 32.5% (26/80) malunion rate, plating had 10% (2/20) malunion rate. The methods of fixation were statistically significant (p-value 0.045) in malunion outcomes, with IMN having a higher malunion rate. Plating resulted in a significantly higher rate of nonunion of 15% compared to 1.3% after IMN (p-value 0.005.)

Conclusion: Intramedullary nail treatment results in significantly higher malunion rate as compared to locking plate fixation. Plate fixation leads to significantly higher non-union rate compared to intramedullary nail fixation. These methods of fixations were statistically significant in outcomes of malunion and nonunion. More careful consideration is recommended intra-operatively when intramedullary nailing is done, to avoid malalignment. Plating should be recommended only when IMN is contraindicated because of the risk of non-union.

Introduction

Closed distal third tibia fractures are common injuries in South Africa, where there is a high incidence of pedestrian and motor vehicle accidents. The surgical options of treating these fractures include intramedullary nail, open reduction and plate fixation and external fixation.1 There is controversy in the literature about the best option for the management of these fractures.1,2

Advantages of intramedullary nailing include osteosynthesis under normal biological environment as the fracture haematoma is preserved, allows dynamic and load-shearing fracture stabilization without need to restrict joint movement, shorter operation time, better ankle mobilization, and lower rates of skin necrosis. Its major disadvantage is difficulty with controlling the distal fragment, hence the complication of malalignment.1–3

Anatomical locking plate fixation of extra-articular distal tibia fractures gives good rigid construct and anatomical reduction. It is biomechanically better than intramedullary nail. The disadvantages are soft tissue dissection, superficial and deep infections with wound breakdown, implant exposure, delayed union and wound healing, nonunion and ankle joint stiffness.4,5 Open reduction and plating techniques have been proven to have longer operation time, immobilization period and delayed weight bearing.1,2,5–7

Minimally invasive plate osteosynthesis (MIPO) is another option in the fixation of these fractures. The outcomes of alignment, distraction, rotation, nonunion, infection, were comparable to those of intramedullary nailing, but with earlier time to union.8 In other studies, both intramedullary nailing and plating were found to have satisfactory radiologic and functional results.9

We undertook this retrospective radiology study to compare the radiologic results of the management of distal tibial fractures treated with internal fixation using an intramedullary nail and using plate fixation in our institution. The aim of the study was to review the radiological outcomes of closed extra-articular distal tibia fractures treated surgically with either intramedullary nailing or anatomical locking plate. The objectives were to assess the radiological alignment and to determine union and non-union rates of distal tibia fracture after internal fixation.

Materials and methods

We reviewed the radiological results of patients treated in our institution for closed fractures of the distal tibia during the period January 2013 to December 2017. Ethical clearance was obtained from the university’s research and ethics committee (Ref 422/2022), we included fractures classified as AO 43A10 and fractures that are 4-11cm above the tibial plafond (Figure 1 & 2). We excluded segmental fractures, intraarticular fractures, fractures in patients less than 18yrs of age, pathological fractures, patients with previous fractures of the tibia and fractures treated by any method other than the two under investigation.

Figure 1 AO Classification.

Figure 2 Distal tibia fracture.

The radiological evaluation and measurements were done on the Picture Archiving and Communication system (PACS). In the immediate postoperative X-rays, we recorded the method of fixation used and the alignment of the fracture by measuring the angle between the lines drawn in the center of the proximal and distal fragments on both the AP and lateral views. Malalignment was defined as an angulation of more than 5 degrees on AP and more than 10 degrees on lateral view.8 In the final follow-up XR we measured the alignment and the union of the fracture using the RUST score.11

Data analysis

The data collected were compiled in a Microsoft Excel spreadsheet for statistical analysis. Demographic and clinical characteristics of the patients were summarized descriptively. Continuous variables such as age were summarized by mean (±SD) or median Interquartile Range (IQR) with minimum and maximum values. Categorical variables such as sex, fixation methods, etc. were summarized by frequency counts and percentage calculations. Categories were also depicted in tables and graphs. Fisher exact test was used to test the association between fixation method and both Sagittal and Coronal Alignments post-operative and at final follow-up. All the statistical procedures were performed on Statistical Analysis System (SAS Institute Inc, Carey, NC, USA), Release 9.4 or higher, running on Microsoft Windows for a personal computer. Statistical tests were two-sided and p-values ≤0.05 were considered significant.

Results

There were 61 males (61%) and 39 females (39%). The median age of the participants was 36 (47-27) years, ranging from 18 to 77 years. A total of 80 patients (80.0%) were treated with intramedullary nailing, 20 (20.0%) treated with plating. In the plated group, 15 were treated with anterolateral plates (75%) and five treated with medial plates (25%). Five of the plate cases were more distal and comminuted and not amenable to intramedullary nailing. The immediate post-operative AP X-Ray views showed that 73 participants had an acceptable alignment (73%) and 27 had malalignment (27%) (Figure 3 & 4). Lateral view showed that 98 participants had acceptable alignment, with unacceptable alignment in only two patients.

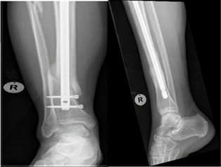
Figure 3 Malunion post IMN.

Figure 4 Malunion post IMN.

At final follow-up assessment in 9 months post-surgery, on anteroposterior view, 68.0% of cases demonstrated acceptable union, while 28.0% showed malunion, and 4.0% resulted in non-union. On the lateral view, 93.0% of cases exhibited acceptable union, with 3.0% showing malunion and 4.0% resulting in non-union. The overall union rate, as measured by the RUST score, was 96.0%, with 4.0% resulting in non-union (Figure 5 & 6).

Figure 5 Nonunion post IMN.

Figure 6 Nonunion post plate fixation.

Table 1 displays the association between fixation methods (IMN vs. Plating) and radiological outcomes for closed distal tibia fractures. A significantly higher proportion of cases treated with IMN achieved union compared to plating (98.7% vs. 85.0%, p = 0.005). Conversely, the incidence of non-union was significantly lower in the IMN group compared to plating (1.3% vs. 15.0%). Additionally, the occurrence of malunion was significantly higher in the IMN group compared to plating (32.5% vs. 10.0%, p = 0.045).

Outcomes

IMN

Plating

P value

Union (n = 96)

79 (98.7%)

17 (85.0%)

0.005

Non-union (n = 4)

1 (1.3%)

3 (15.0%)

Mal-Union

26 (32.5%)

2 (10.0%)

0.045

Table 1 Association between fixation methods and radiological outcomes

Discussion

Demographic information

In the study, 61% of the patients were male. This is comparable to some of the studies done on the outcomes of distal tibia fractures. For example, Ahmed et al had 55.55% males,12 Baral et al 60% males,8 Bhiari et al 65%,13 Gawali et al had 80% males,13 Kumar et al 75% males14 and Phadke et al had 78.6% males.15

Fixation methods

Majority of the patients (n=80), were treated with IMN, and others were treated with plating (n=20). Our results were comparable with those of Bisaccia et al (41 for IMN and 34 for plating)1 and Kumar et al (32 for IMN and 20 for plating),14 whereby majority of their patients were treated with intramedullary nails. However, studies by Baral et al (21 in each group),8 Rathod et al (20 in each group),9 and Zohairy et al (48 in each group)2 had equal distribution between nailing and plating.

Malunion

There was an overall malunion in 28 patients (28%) in this study. Patients treated with IMN had a high number of malunion, 26 out of 80 patients (32.50%) compared to plating that resulted in two out of 20 patients (10.0%). This was statistically significant (p value, 0.005). Majority of the malunions were found on AP view in our institution. The high malunion rate might be because there is relatively higher number of patients compared to other studies. There was only one change in alignment of fracture from the X-rays done intra-operatively, postoperatively and final follow up, which might be attributed to weight bearing. Therefore, there was no change in alignment of fracture with time in majority of the patients, regardless of the number of screws used distally, two vs three locking screws. The malunion rate of 28% is comparable to some of the previous studies. Kruppa et al. had a malunion rate of 23.8% in patients treated with IMN, while Mao et al. reported a significantly high malunion rate in IMN group with p value of 0.0006(16,17). Rashod et al showed malalignment in 25% of patients treated with IMN and 10% of patients treated with plating.9 Bisaccia et al. reported 21.9% malunion in the IMN group compared to 0% in locking plate group.1 Randomized controlled trial by Yu et al. showed a significantly higher malunion rate in randomised controlled trial with p value of 0.0001.5

Non-union rate

The study had non-union in four patients out of 100 patients (4%). This is way less than 19% reported in Kruppa et al (16). In our study, one patient ended up with below knee amputation and the other three patients had revision surgeries including revision nailing, bone graft and ring external fixation. It does not show whether the infection was the reason for amputation on the PACS. Boyer et al. showed 20% (8/38) of non-unions in six months in which seven patients were dynamized and one patient had revision nailing before fractures eventually united.18 In our study, only one patient treated with IMN had nonunion (1%) and three patients treated with anterolateral plating had nonunion (3%). This suggests the nonunion rate was significantly higher with plating compared to IMN (p-value 0.005).

Role of fibular fixation and other supportive measures

Our radiological findings in this study has not shown a significant role of supportive measures such as fibula fixation, number of locking screws used distally and use of blocking screws and assisting plates, to aid alignment and stability of the fractures post IMN. There were a few fibula fixations in patients treated with IMN and there was no use of blocking screws. Isik et al. also found no significant change in alignment when fibula fixation was done.19 In a prospective study done by Bhairi et al, they had good alignments in all patients done without fibular fixation, but still recommended fibula fixation when the fracture is close to the articular surface.13 Kougioumtzis et al demonstrated plate-assisted intramedullary nailing of distal non-communited tibia fractures with good results.20

Change of alignment

In our study, only one patient had a change of alignment from well aligned fixation intraoperatively and postoperatively to malunion on final follow up. Majority of the patients treated with intramedullary nailing had two screws used distally in perpendicular configuration for locking but this did not cause change in alignment with time and at final follow up. Therefore, there’s no need to augment stability with fibula fixation or increased number of distal locking screws to maintain stability post operatively. In contrast, Lucas et al showed that three screws locked distally on the tibia and two screws locked distally in parallel configuration, give superior stability compared to two distal screws put in perpendicular configuration.21

Conclusion

IMN has contributed to higher number of malunion (32.50%), compared to the plate fixation (10.00%), and the results were statistically significant (p-value 0.045). Plating was found to have significantly higher non-union rate compared to IMN (p-value 0.005). More careful consideration is recommended intra-operatively when intramedullary nailing is done, to avoid malalignment. Plating should be recommended only when IMN is contraindicated because of the risk of non-union.

Limitations of the study

Small sample size was used in the study although this is comparable with previous studies. The study is only radiological so there’s no clinical correlation of the findings, comorbidities and other risk factors were not considered. It is a retrospective study and has no randomization. By far majority of the cases were treated with intramedullary nail and some of the fractures that were treated with plating were more distal, communited and not amenable for nailing. There are no clear contributing factors to non-union on the X-rays. It does not show whether fracture site was opened to try and improve alignment because this can be the other form of improving alignments.

Acknowledgments

None.

Conflicts of interest

The authors declare that there are no conflicts of interest.

References

  1. Bisaccia M, Cappiello A, Maccariello L, et al. Nail or plate in the management of distal extra-articular tibial fracture, what is better? Valutation of outcomes. SICOT-J. 2018;(4):2.
  2. Treatment of extra-articular distal tibia fractures: plating vs nailing. Er J Mol Clinic Med. 2021;(8):2774–2783.
  3. Gawali SR et al. Management of fractures of distal third tibia fractures by interlock nailing. The J foot and Ankle Surg. 2016;3(1):15–22.
  4. Sharma S. Distal third tibia fractures treated with interlocking intramedullary nail. Nepal Med College. 2015;17(1-2):78–82.
  5. Yu J, Li L, Wang T, et al. Intramedullary nail versus plate treatments for distal tibia fractures: a meta-analysis. Int J Surg. 2015;16(Pt A):60–68.
  6. Mauffrey C, Guinness K, Parsons N, et al. A randomized pilot trial of “locking plate” fixation versus intramedullary nailing for extra-articular fractures of the distal tibia. J Bone Joint Surg. 2012;94 (5):704–708.
  7. Heather A. Current evidence: plate versus intramedullary nail for fixation of distal tibia fractures in 2016. J Orthop Trauma. 2016;30 Suppl 4:S2–S6.
  8. Baral R, Kandel R. A preliminary comparison between intramedullary interlocking nail and minimally invasive plate osteosynthesis in extra-articular distal tibia fractures: a retrospective study. SA Orthopaedic J. 2017;4(16):54–58.
  9. Rathod SR, Shah DP, Solanki RA. Functional outcome of distal tibial fractures: Tibial nailing versus distal tibial locking plating. National Journal of Clinical Orthopaedics. 2018;2(1):42–45.
  10. Orthopaedic trauma Association Committee for coding and classification. Fracture and dislocation compendium. 2018.
  11. Leow JM, Clement ND, Tawonsawatruk T, et al. The radiographic union in tibial (RUST) fractures. Bone and Joint Res. 2016;5(4):116–121.
  12. Ahmed W, Kumar I, Kumar S. Interlocking nail for management of distal tibia fracture: our experience at tertiary center of Bihar. International Journal of Orthopaedic Sciences. 2018;4 (2):369–372.
  13. Bhairi M, Mahesh U, Qureshi A, et al. Prospective study of surgical management of distal tibial fractures in adults. Journal of Trauma & Treatmen 2017;6(2):1–4.
  14. Kumar YC, Shiva Prasad MS, Trilok V, et al. Treatment of distal tibia fractures: plating versus intramedullary nailing. International Journal o Research in Orthopaedics. 2016;2(3):116–119.
  15. Phadke A, Badole CM. Role of fibula fixation in intramedullary nailing of distal tibial fractures. Orthopaedic Proceedings. 2019;101B(Suppl 3):3
  16. Kruppa CG, Hoffmann MF, Sietsema DL, et al. Outcomes after intramedullary nailing of distal tibia fractures. Journal of Orthopaedic Trauma. 2015;29(9):e309–e315.
  17. Mao Z, Wang G, Zhang L, et al. Intramedullary nailing versus plating for distal tibia fractures without articular involvement:a meta-analysis. J Orthop Surg Res. 2015;10(95):1–12.
  18. Boyer P, Charles P, Loriaut J, et al. Results of angular-stable locked intramedullary nails in the treatment of distal tibial fractures. Orthopaedics and traumatology: Surgery & Research. 2014;100(8):901–905.
  19. Isik M, Subasi M, Karsli B, et al. Intramedullary nailing and angulation prevention in distal metaphyseal tibial fractures. 2012;12(13):1762–1768.
  20. Kougioumtzis IE, Chloros GD, Bakhshayesh P. Plate-assisted intramedullary nailing of distal tibia fractures. SQU Medical Journal. 2024;24(1):115–118.
  21. Lucas BL, Chong ACM, Buhr BR, et al. Biomechanical comparison of distal locking screws for distal tibia fracture intramedullary nailing. Journal of Biomedical Science and Engineering. 2011;4(4):235–241.
Creative Commons Attribution License

©2025 Kolotsi, et al. This is an open access article distributed under the terms of the, which permits unrestricted use, distribution, and build upon your work non-commercially.