Submit manuscript...
MOJ
eISSN: 2381-179X

Clinical & Medical Case Reports

Case Report Volume 7 Issue 3

Whipple’s disease: a case report and review of literature

Shaimaa Elkholy,1 Yomna Khaled,1 Amr Abdel Aziz,1 Dina Omar Helmy,2 Mohamed Nabil Alkady3

1Internal Medicine Department, Cairo University, Egypt
2Pathology Department, Cairo University, Egypt
3Tropical Department, Cairo University, Egypt

Correspondence: Shaimaa Elkholy, Internal Medicine Department, Cairo University, Cairo, Egypt

Received: April 28, 2017 | Published: September 8, 2017

Citation: Elkholy S, Khaled Y, Aziz AA, et al. Whipple’s disease: a case report and review of literature. MOJ Clin Med Case Rep. 2017;7(3):224-227. DOI: 10.15406/mojcr.2017.07.00202

Download PDF

Abstract

Whipple's disease is a rare systemic disease. It is caused by a gram-positive infectious bacillus called Tropheryma whipplei (T. whipplei). The common presenting feature is malabsorption, but it can also affect multiple organs as heart, central nervous system (CNS), joints, skin, lungs and vascular system. Presentation can be highly variable but mainly the patients are complaining of weight loss, diarrhea, joint pain, and arthritis, about 15% of patients do not develop these classic symptoms. Endoscopic picture usually shows pale yellow shaggy mucosa with erythematous eroded patches in the duodenum extending up to the jejunum. Definitive diagnosis is made mainly by endoscopic duodenal biopsies that show characteristic foamy macrophages in the lamina propria containing non-acid fast gram positive bacilli that stain red with Periodic acid-Schiff (PAS) stain. Immuno-histochemical staining for antibodies against T. whipplei had been used to detect the organism in a variety of tissues. Polymerase chain reaction (PCR) of T. whipplei is considered a confirmatory test. We present a case of classic Whipple's disease with review of literature for better understanding of the presentation, methods of diagnosis and treatment of the disease.

Case report

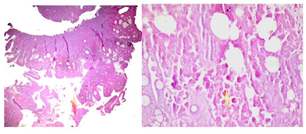
A 53- years old male presenting with chronic diarrhea of 8months duration, his diarrhea was of large volume, frothy in nature with foul odour. It was not related to a specific type of food, persisted during fasting with no diurnal variations. His condition was also associated with significant weight loss. The condition was associated with low grade fever and arthralgia of his both knee and hip joints. After 2months from the onset of his diarrhea he started to develop dizziness and easy fatigability. Physical examination of the patient was unremarkable apart from the pallor. Work up for diagnosing the cause of his diarrhea was done in the form of repeated stool analysis and culture, complete blood count, liver profile, renal profile, electrolytes, ESR, B2 microglobulins, virology (HIV, HBsAg, antiHCVab) and thyroid profile. All the previously mentioned investigations were normal apart from microcytic hypochromic anemia due to iron deficiency with haemoglobin=7.3mg/dl, serum Fe was 10mg/dl and transferrin saturation was 5%, also he had mild hypoproteinemia with serum total protein of 6.2g/dl and mild hypoalbuminemia with serum albumin of 3g/dl. His ESR was 123 and C-reactive protein (CRP) was 49mg/dl as shown in Table 1. Abdominal ultrasound was completely normal. Attempts of giving empirical medications in the form of metronidazole and quinolones failed to control the condition of the patient. Endoscopic intervention was decided in the form of upper endoscopy and colonoscopy. Total colonoscopy and terminal ileoscopy were done with no abnormality detected. For the upper endoscopy; the duodenal mucosa down to the proximal jejunum was markedly congested with extensive whitish mucosal patches as shown in Figure 1-3. Multiple biopsies were taken; histopathological examination showed focal villous distortion and focal villous erosions. The lamina propria showed mild mono-nuclear cell infiltrate with extensive infiltrate of foamy macrophages with dilated lymphatic spaces as shown in Figure 4. PAS (periodic acid shiff) stain was applied during microscopic examination where the organism was detected as shown in Figure 5. And hence the patient was diagnosed as a case of Whipple’s disease (WD). Then treatment was started accordingly in the form of ceftriaxone for 15days followed by trimethoprim-sulfamethoxazole (TMP/SMX) twice a day for 1 to 2years with marked improvement of the patient's condition. The improvement was evident by his laboratory parameters (Table 1) and endoscopic picture (Figure 6).

Laboratory Tests

Findings

3 Months Follow up

Normal References

Haemoglobin

7.2

13

(13-17)g/dl

MCV

74.2

91.5

(81-100)pg

MCHC

30.2

34.7

(31-35) g/dl

Serum iron

10

22

(65-75)ug/dl

Transferrin saturation

3%

11%

19%-50%

B2 micro globulins

0.2

--

(0.07-0.18)

ESR

123

72

(up to 15) mm/hr

CRP

49

6

(less than 1) mg/dl

Serum total protein

6.2

8

(6.6-8.3)g/dl

Serum albumin

3

4.6

(3.5-5.2)g/dl

Table 1 Abnormal laboratory parameters of the patient and 3 months follow up

Figure 1 Shaggy mucosa of the duodenum.
Figure 2 Whitish patches of Whipple's disease.
Figure 3 Endoscopic view of Whipple's disease.
Figure 4 Focal villous distortion and erosion with extensive infiltration of lamina propria with foamy macrophages (arrows).
Figure 5 PAS stain showing macrophages with the organism inside (arrows).
Figure 6 Complete disappearance of the shaggy mucosa of the duodenum after 3 months of treatment.

Discussion and review of literature

Epidemiology

Whipple's disease (WD) is a rare condition. Few epidemiologic studies showed its annual incidence is less than

1 per 1,000,000 per annum.1 It is has a specific predilection for middle aged white males, about 86% with male-to-female ratio: approximately 8-9:1.2 There is a slight increase in the rate of women being diagnosed as Whipple's disease in recent years. It occurs predominantly in those of Caucasian ethnicity, suggesting a genetic predisposition in that population. The disease is mainly diagnosed in the middle age (median 49years), however some studies showed that the age of diagnosis had shifted recently to older age. This could be attributed to the increasing use of antibiotics to un related conditions had led to a delay in the onset of WD3 and this also can also be seen in our patient.

Microbiology and genome

Whipple's disease is caused by a gram-positive infectious bacillus called Tropheryma Whipplei. T. whipplei is an actinomycete that can be isolated from various types of specimens, as infected heart valves, duodenal biopsy specimens, ocular vitreous fluid, cerebrospinal fluid (CSF), synovial fluid, blood, mesenteric lymph node tissue, muscle tissue, and feces.4 The genome of T. whipplei is quite small for a bacterium it consists of approximately 926,000 base pairs and is the smallest of all known actinomycete genomes.5 Besides its bacterial doubling times ranges between 28hours and 4days, which is considered among the slowest recorded time for any medically relevant bacterium in the laboratory.6 This could explain the late onset of symptoms disease and the difficulty in obtaining culture of the organism. T. whipplei lacks various metabolic capabilities in carbohydrate, energy metabolism and aminoacid biosynthesis.7 Thus, the organism is highly dependent on nutrients from its host environment. The proposed extracellular location of the bacteria in patients with intestinal WD, is in the villus tips below the intestinal basement membrane, which is a site of rich influx of nutrients, and would seem consistent with its requirements.8

Pathology and immunology

T. whipplei is commensal bacteria of humans, so a healthy asymptomatic carrier state is present and WD occurs in only a small subset of persons.9 T. whipplei has the capability of invading the mucosa of the proximal small intestine where it's located extracellular and just below the epithelial basement membrane of the lamina propria.10 From the intestinal mucosa, bacteria are thought to spread via lymphatics into mesenteric and mediastinal lymph nodes and into the systemic circulation causing the extra-intestinal manifestations.11

Individuals who are most susceptible to the disease are those with decreased ability to perform intracellular degradation of ingested pathogens or particles, particularly in the macrophages. Several studies indicate that defective T-lymphocyte (particularly TH1 population) function may be an important predisposing factor for the disease.12 In particular circulating cells that are CD11b (integrin alpha), are reduced in susceptible individuals. CD11b has a vital role in activation of macrophages to destroy intracellular ingested T. whipplei bacteria.11 The clinical manifestations of the disease are mainly caused by infiltration of the tissues by T. whippeli where the immune system reacts by incorporating the organisms into tissue macrophages "foamy macrophages".13 Consequent malabsorption associated with Whipple’s disease is believed to be secondary to the disruption of normal villous function due to infiltration of the lamina propria of the small bowel with these foamy macrophages. Patients with arthralgia had been found to have the organism in their synovial tissues.14 The organisms had been detected in the heart valves of patients with cardiac Whipple's disease15 and in the CNS of patients with neurological disease. Rarely, the organism can be seen in the lungs of affected patients.16 These foamy macrophages can be easily seen infiltrating this tissues using light microscopy, especially when PAS stain is used for the histological sections.3

Clinical features

There are many different forms of presentation of WD, but it is mainly an intestinal disease with wide range of symptoms. It can range from abdominal pain, anorexia, distension, flatulence, diarrhea, weight loss, steatorrhea and rarely can be a cause of gastrointestinal bleeding. It can cause also extra intestinal manifestations in the form of17,18 intermittent low grade fever, chronic cough, skin hyperpigmentation (50%), polyarthralgia (transient, episodic, may be prodromal symptom), generalized lymphadenopathy, anemia, hypoalbuminemia, edema and rarely clotting abnormalities.

Cardiac involvement can occur in the form of pericarditis, myocarditis and endocarditis denoted by isolation of the organism from the cardiac valves. Endocarditis may be encountered as part of intestinal or systemic disease and it may occur in the setting of blood culture negative endocarditis.19,20

Central nervous system (CNS) involvement occurs in 10-40% of the patients. It can be in the form of headache, confusion, dementia, ophthalmoplegia, characteristic myoclonus as oculomasticatorymyorhythmia (convergent eye movements with simultaneous chewing movements), gait abnormalities, seizures and finally coma.21,22 Ocular involvement can be in the form of uveitis, vitritis, keratitis, retinitis, and retinal hemorrhages.23

Pulmonary involvement can be in the form of pleural effusion, mediastinal widening (due to lymphadenopathy).16 Skin involvement apart from hyperpigmentation is very rare; it may be related to the malnutrition or an immune reaction to T. whipplei leading to conditions in the form of eczematous plaques, psoriasis and erythema nodosum.24

Diagnosis

Diagnosis is made from duodenal biopsy, taken by upper endoscopy, which reveals pale yellow shaggy mucosa with erythematous eroded patches in patients with classic intestinal Whipple's disease25 and this is seen in our patient. Histopathological examination of the duodenal biopsies shows infiltration of the lamina propria with PAS-positive macrophages with intracellular clumps of T. whipplei.3 Immunohistochemical staining for antibodies against T. whipplei has been used to detect the organism in a variety of tissues, and a PCR-based assay is also available.26 Electron microscopy can be diagnostic showing coccobacillary bodies that represent the T. whippeli organism. Histologic examination with routine H&E and PAS stains is usually sufficient to reach a diagnosis, however, it is recommended that PAS-positive histologic findings to be confirmed with other methods when establishing the diagnosis of WD.25,26

PCR based assay can be used as a confirmatory test if performed on intestinal samples. It can also aid in the diagnosis of extra intestinal involvement if PCR of the blood, vitreous fluid, synovial fluid, heart valves, or cerebrospinal fluid is done.27,28

Acknowledgements

None.

Conflict of interest

The author declares no conflict of interest.

References

  1. Desnues B, Ihrig M, Raoult D, et al. Whipple's disease:a macrophage disease. Clin Vaccine Immunol. 206;13(2):170–178.
  2. Marth T. Tropherymawhipplei, Immunosuppression and Whipple's disease: from a low–pathogenic, environmental infectious organism to a rare, multifaceted inflammatory complex. Dig Dis. 2015;33(2):190–199.
  3. Schneider T, Moos V, Loddenkemper C, et al. "Whipple's disease:new aspects of pathogenesis and treatment. Lancet Infect Dis. 2008;8(3):179–190.
  4. Raoult D, La Scola B, Lecocq P, et al. Culture andimmunological detection of Tropherymawhippeliifrom theduodenum of a patient with Whipple disease. 285:1039–1043.
  5. Drancourt M, Raoult D, Lepidi H, et al. Culture ofTropherymawhippeliifrom the vitreous fluid of a patientpresenting with unilateral uveitis. Ann Intern Med. 2003;139(12):1046–1047.
  6. Masselot F, Boulos A, Maurin M. Molecularevaluation of antibiotic susceptibility: Tropherymawhipplei paradigm. Anti micro b Agents Chemother. 2003;47:1658–1664.
  7. Fenollar F, Birg M, Gauduchon V, et al. Culture of Tropheryma whipplei from human samples: A 3–yearexperience (1999 to 2002). J Clin Microbiol. 2003;41(8):3816–3822.
  8. Maiwald M, von Herbay A, Fredricks DN, et al. Cultivation of Tropheryma whipplei from cerebrospinal fluid. J Infect Dis. 2003;188(6):801–808.
  9. Marth T, Schneider T. Whipple disease. Curr Opin Gastroenterol. 2008;24(2):141–148.
  10. Strayer DL, Rubin R, Rubin E. Rubin's pathology: clinicopathologic foundations of medicine. Philadelphia: Wolters Kluwer/Lippincott Williams & Wilkins; 2008. p. 9516–9518.
  11. Marth T. The diagnosis and treatment of Whipple's disease. Curr Allergy Asthma Rep. 2001;1(6):566–571.
  12. O'Duffy JD, Griffing WL, Li CY, et al. Whipple's arthritis: direct detection of Tropherymawhippelii in synovial fluid and tissue. Arthritis Rheum. 1999;42(4):812–817.
  13. Celard M, de Gevigney G, Mosnier S, et al. Polymerase chain reaction analysis for diagnosis of Tropherymawhippelii infective endocarditis in two patients with no previous evidence of Whipple's disease. Clin Infect Dis. 1999;29(5):1348–1349.
  14. Gubler JG, Kuster M, Dutly F, et al. Whipple endocarditis without overt gastrointestinal disease: report of four cases. Ann Intern Med. 1999;131(2):112–116.
  15. Gerard A, Sarrot–Reynauld F, Liozon E, et al. Neurologic presentation of Whipple disease: report of 12 cases and review of the literature. Medicine (Baltimore). 2002;81(6):443–457.
  16. Kelly CA, Egan M, Rawlinson J. Whipple's disease presenting with lung involvement. Thorax. 1996;51(3):343–344.
  17. Rakshit RC, Mackay JD. A diagnostic conundrum. Postgrad Med J. 2003;79(935):545–546.
  18. Amendolara M, Barbarino C, Bucca D, et al. Whipple's disease infection surgical treatment: presentation of a rare case and literature review. G Chir. 2013;34(4):117–1121.
  19. Lepidi H, Fenollar F, Dumler JS, et al. Cardiac valves in patients with Whipple endocarditis:Microbiological, molecular, quantitative histologic, and immunohistochemical studies of 5 patients. J Infect Dis. 2004;190:935–945.
  20. Dreier J, Szabados F, von Herbay A. Tropheryma whipplei infection of an acellular porcine heart valvebioprosthesis in a patient who did not have intestinal Whipple’s disease. J Clin Microbiol. 2004;42:4487–4493.
  21. Mohamed W, Neil E, Kupsky WJ, et al. Isolated intracranialWhipple’s disease—Report of a rare case and review of theliterature. J NeurolSci. 2011;308(1–2):1–8.
  22. Louis E, Lynch T, Kaufmann P, et al. Diagnostic guidelinesin central nervous system Whipple’s disease. Ann Neurol. 1996;40(4):561–568.
  23. Gerard A, Sarrot–Reynauld F, Liozon E, et al. Neurologicpresentation of Whipple disease: Report of 12 cases andreview of the literature. Medicine (Baltimore). 2002;81(6):443–457.
  24. Schaller J, Carlson JA. Erythema nodosum–like lesions in treated Whipple's disease: signs of immune. J Am AcadDermatol. 2009;60(2):277–288.
  25. Fenollar F, Puéchal X, Raoult D. "Whipple's disease". New England Journal of Medicine. 2007;356(1):55–66.
  26. SJ McPhee, MA Papadakis. Current Medical Diagnosis and Treatment. McGraw–Hill ISBN; 2012.
  27. Celard M, de Gevigney G, Mosnier S, et al. Polymerase chain reaction analysis for diagnosis of Tropherymawhippelii infective endocarditis in two patients with no previous evidence of Whipple's disease. Clin Infect Dis. 1999;29(5):1348–1349.
  28. Puéchal X. Maladie de Whipple. La Revue de Médecine Interne. 2009;30(3):233–241.
  29. Boulos A, Rolain J, Raoult D. Antibiotic susceptibility of Tropheryma whipplei in MRC5 cells. Antimicrob Agents Chemother. 2004;48(3):747–752.
  30. Feurle GE, Junga NS, Marth T. Efficacy of ceftriaxone ormeropenem as initial therapies in Whipple’s disease. Gastroenterology. 2010;138(2):478–486.
  31. Feurle G, Marth T. An evaluation of antimicrobialtreatment for Whipple’s disease: Tetracycline versustrimethoprim-sulfamethoxazole. Dig Dis Sci. 1994;39:1642–1648.
Creative Commons Attribution License

©2017 Elkholy, et al. This is an open access article distributed under the terms of the, which permits unrestricted use, distribution, and build upon your work non-commercially.