Submit manuscript...
MOJ
eISSN: 2381-179X

Clinical & Medical Case Reports

Case Report Volume 14 Issue 2

Traumatic pulmonary pseudocyst a case report: surgery? Follow-up?

Mehmet Agar,1 Muhammed Kalkan,2 Ilham Gulcek3

1Department of Thoracic Surgery, Firat University, Medicine Faculty, Turkey
2Department of Thoracic Surgery, İnönü University, Turgut Özal Medical Center, Turkey
3Department of Thoracic Surgery, Gazintep City Hospital, Turkey

Correspondence: Mehmet Agar, Department of Thoracic Surgery, Fırat University, Medicine Faculty, Elazığ, Turkey

Received: April 15, 2024 | Published: April 29, 2024

Citation: Agar M, Kalkan M, Gulcek I. Traumatic pulmonary pseudocyst a case report: surgery? Follow-up? MOJ Clin Med Case Rep. 2024;14(2):40-42. DOI: 10.15406/mojcr.2024.14.00459

Download PDF

Abstract

Traumatic pulmonary pseudocysts represent uncommon parenchymal sequelae ensuing from thoracic trauma, typically arising subsequent to blunt force trauma. Generally benign in nature, these lesions frequently resolve spontaneously without necessitating specific therapeutic interventions. The significance of these acute cystic formations lies in the potential for misinterpretation by clinicians unfamiliar with their characteristics, leading to erroneous diagnoses such as malignancies or benign lung lesions. In this case report, we wanted to show that traumatic pulmonary pseudocysts, even if large in size, can resolve with follow-up without the need for surgery.

Keywords: traumatic pulmonary pseudocysts, thoracic trauma, lung

Abbreviations

TPP, traumatic pulmonary pseudocysts; CT, computerized tomography

Introduction

Traumatic pulmonary pseudocysts (TPP) are cavitary lesions that commonly arise subsequent to thoracic trauma, predominantly associated with blunt thoracic injuries. The etiology of TPP is typically attributed to two mechanisms: alveolar rupture due to compression-induced occlusion of the peripheral bronchial tree, and parenchymal rupture caused by contusion waves.1 Between 75-85% of patients affected by traumatic pulmonary pseudocysts are typically within the third decade of life, with a higher incidence observed among males.2 TPP presents diagnostic challenges as it may be mistaken for various pulmonary conditions including bullae, blebs, bronchogenic cysts, abscesses, lung carcinoma, tuberculosis, hydatid cysts, congenital cysts, and pulmonary sequestration. While the majority of traumatic bullae exhibit a favorable prognosis and respond well to conservative management, surgical intervention may be necessary in certain cases.

Case presentation

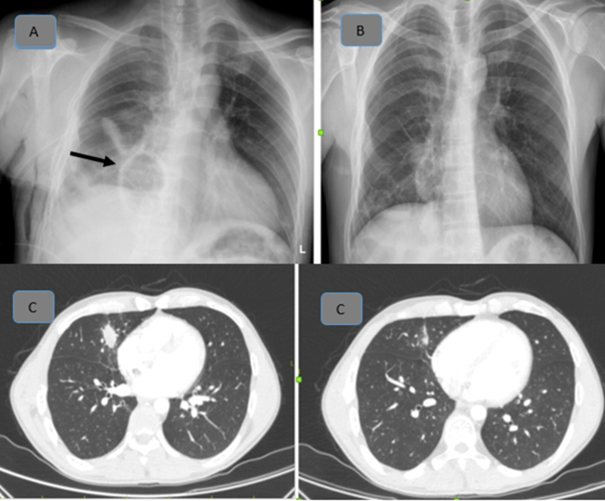
A 34-year-old male patient presented to the emergency department following a motorcycle accident resulting in multitrauma. Despite an unstable general condition, vital signs remained stable. The patient underwent multidisciplinary evaluation, revealing liver and spleen injuries, right hemopneumothorax, diffuse subcutaneous emphysema, and large traumatic cysts in the right lung (Figure 1). Additionally, fractures of the right 4th, 5th, 6th, and 7th ribs, right scapula, proximal humerus, and right olecranon avulsion fracture were identified through imaging studies. Immediate right tube thoracostomy was performed in the emergency room, followed by surgical intervention by the general surgery team and completion of orthopedic treatments. Subsequent to tube thoracostomy, due to minimal drainage, absence of significant air leakage, and radiographic confirmation of lung expansion within the right hemithorax, a decision was made for conservative management with close observation. Following approximately two weeks of intensive care unit monitoring, the patient was transferred to the ward. Chest tube removal was conducted in the ward, and the patient was monitored for an additional hour. Sequential posteroanterior (PA) chest radiographs taken at regular intervals revealed a reduction in size of the giant cysts with fluid accumulation. Upon stabilization of clinical status, the patient was discharged. Subsequent outpatient clinic evaluation two months later demonstrated regression of the giant cysts on thoracic CT imaging (Figure 2A–2C).

Figure 1 Posttraumatic thorax CT and traumatic pulmonary pseudocysts.

Figure 2A PA radiograph taken at the 2nd week of follow-up (black arrow: pseudocyst).
2B Control PA radiograph taken 2 months later.
2C Thorax CT taken at the 2nd month.

Discussion

The term "traumatic pulmonary pseudocyst" refers to an acute cystic cavity filled with air that arises within the lung subsequent to thoracic trauma. Although the majority of these lesions are attributed to blunt trauma, they can also manifest following penetrating injuries and, to a lesser degree, barotrauma.3 Two separate studies have reported the incidence of traumatic pulmonary pseudocysts as 4.7% and 9.8%, respectively.4,5 Wagner et al.6 proposed a classification system for pulmonary lacerations consisting of four distinct types. Type I lacerations are characterized by intraparenchymal cavities that deviate from the bronchial distribution. Type II lacerations manifest as paravertebral lesions. Type III lacerations are identified as cavities located beneath rib fractures and situated in the periphery of the lung. Type IV lacerations are delineated by cavities formed through the rupture of lung tissue within pre-existing pleuropulmonary adhesions, typically detectable solely through surgical exploration or autopsy. The prevalence of laceration types follows a pattern, with Type I and Type III being the most common, succeeded by Type II and Type IV, respectively. The case under consideration aligns with both Type I and Type III classifications owing to its multifocal nature. TPP can manifest as solitary or multiple lesions and may occur unilaterally or bilaterally. Lesions exceeding 4 cm in diameter commonly present in patients with polytrauma, often exhibiting bilateral involvement, whereas those smaller than 4 cm typically manifest unilaterally.7 In the presented case, the pseudocysts were larger than 4 cm in diameter and were localized unilaterally.

Most TPP lesions are incidentally detected during computed tomography (CT) scans rather than conventional X-rays. Research indicates that X-rays have a diagnostic yield ranging from 33% to 50%.8 Melloni et al.2 observed that only 20% of TPP cases were identified via X-ray within the initial 24 hours post-trauma. However, CT scanning is recognized as the gold standard for early detection of these lesions.9 On CT images, TPP typically presents as an oval cavitary lesion located adjacent to or within the contusion area. Radiologically, pseudocysts may appear as single or multiple cavitary lesions of varying sizes, exhibiting oval or round shapes, with some showing air-fluid levels or being entirely air-filled structures adjacent to or within the contusion area. TPP often manifest without clinical symptoms, although the most commonly reported symptoms include hemoptysis, chest pain, dyspnea, and coughing. In the majority of instances, TPP exhibit a reduction in size and ultimately resolve without the need for medical or surgical intervention. Prophylactic antibiotic therapy is typically unnecessary unless concurrent injuries or surgical procedures necessitate it. Radiological resolution of pseudocysts typically occurs within a span of 2 to 3 months. Chon et al.8 conducted an assessment involving 12 TPP cases and determined that the duration for complete resolution ranged from 9 to 305 days. In the present case, near-complete resolution was achieved within a period of two months. The majority of cases of TPP resolve without complications; however, rare occurrences such as infection leading to abscess formation, significant hemoptysis, and disseminated intravascular coagulation may necessitate appropriate management.9 Simple cases of infected TPP may be managed through drainage procedures, whereas surgical intervention should be contemplated for complex TPP presentations. Furthermore, surgical consideration is warranted in instances of pseudocyst rupture into the pleural space, resulting in hemothorax, or prolonged air leakage.

Conclusion

Traumatic pulmonary pseudocysts typically exhibit a favorable prognosis, with the majority resolving through conservative treatment methods. Therefore, conservative management is preferable for uncomplicated pseudocysts that do not significantly compromise lung function. Surgical intervention should be considered and implemented in cases presenting with complications.

Acknowledgments

None.

Conflicts of interest

The author declares that there is no conflicts of interest for this article.

References

Creative Commons Attribution License

©2024 Agar, et al. This is an open access article distributed under the terms of the, which permits unrestricted use, distribution, and build upon your work non-commercially.