Submit manuscript...
MOJ
eISSN: 2381-179X

Clinical & Medical Case Reports

Case Report Volume 4 Issue 6

Synovial chondromatosis in the shoulder

Salomon Jasqui Remba, Ruy Ernesto Rodriguez Corlay

Orthopedics department, ABC Medical Center, Mexico City

Correspondence: Salomon Jasqui Remba, Orthopedics department, ABC Medical Center, Av de los Bosques 1515 Torre Maple 702 Mexico City, Mexico, Tel 5215559894538

Received: October 17, 2016 | Published: October 17, 2016

Citation: Jasqui S and Rodriguez RE. Synovial chondromatosis in the shoulder. MOJ Clin Med Case Rep. 2016;4(6):155-157. DOI: 10.15406/mojcr.2016.04.00115

Download PDF

Abstract

In this case report we present a 49years old male patient with clinical suspicion of a rotator cuff injury and multiple Synovial Chondromatosis (SC). He had a compatible USG and X-rays for the pathology. He was treated with a shoulder arthroscopy with resection of loose bodies and supraspinatus tenoplasty.
Synovial Chondromatosis is a rare pathology, and even more in the shoulder. It is a benign disorder of unknown cause characterized by synovial metaplasia and proliferation, causing cartilaginous loose bodies. These loose bodies have a relatively similar size, can be ossified and can create either blocking mechanical symptoms or erosive injuries in articulations.

Keywords: Synovial chondromatosis, shoulder, rotator cuff rupture

Abbreviations

SC, synovial chondromatosis; USG, ultrasonogram; DASH, disabilities of the arm, shoulder and hand; VAS, visual analogue scale

Introduction

Synovial Chondromatosis (SC) is a non-common benign articular pathology characterized by synovial chondroid metaplasia and proliferation. Most of the times it presents in just one articulation and is rarely seen in diarthrodial joints.1–3 It is three times more frequent on men than in women. The age of presentation is between 30 and 50years old. Patients usually present with pain, swelling and restriction on range of movement, which often progress slowly for several years as in our case. SC affects most commonly the knee followed by the hip, elbow, ankle, temporomandibular, and shoulder joints respectively.4,5

It starts as a focal chondral tissue that becomes pediculated and eventually loosens, becoming unattached bodies in any synovial articular space. Once free, they can still grow nourished by the synovial fluid. These loose bodies can go through a ossification process, generating symptoms due to a mass effect inside the articulation, triggering erosive damage.1 The pathology it’s divided in three major stages; active intrasynovial stage without loose bodies, transitional lesions with synovial proliferation and loose bodies and loose bodies without synovial disease.5,6 The definitive treatment for SC is surgical resection, which can be done on an open or closed arthroscopic procedure.

Case presentation

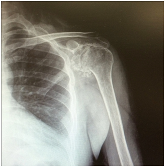
A 49years old male patient presented with a 3years history of progressive pain in the left shoulder, restricted range of movement and crepitation during the active movement of the left shoulder. He is a Non-smoker construction worker. He denied any trauma on the region and has no past medical history of interest for the pathology. He had no active movements above the head of the left shoulder after 40degrees of abduction. On the physical examination the active range of movements was limited, abduction 60º, adduction 40º, flexion 50º, extension 10º, internal and external rotation 20º, all of them were painful with crepitus during moment. We were able o identify rotator cuff sings of rupture and positive findings of subacromial impingement. He had a DASH test score of 52.5 being 0 the least dysfunctional score, and VAS score of 7/10 on a resting position and 10/10 during active range of movements. Plain radiographs of the left shoulder were taken identifying multiple calcification bodies within the articular space (Figure 1). An articular ultrasonography (USG) was ordered finding a complete rupture of the supraspinatus tendon no other tendon or labral abnormality (Figure 2). The differential diagnosis that should be considered are degenerative joint disease, osteochondritis dissecans, synovial sarcoma, chondrosarcoma, rheumatoid arthritis, pigmented villonodular synovitis and osteonecrosis of humeral head.3 The patient underwent a shoulder arthroscopy on a beach chair position under general balanced anesthesia. A standard anterior and posterior portals were used, finding a normal labrum tissue, a complete rupture of the supraspinatus tendon, multiple loose bodies and synovitis (Figure 3). The treatment consisted in loose bodies extraction, synovitis resection and the supraspinatus tendon rupture was reattached after debridement of the footprint with two 5.5mm Healix anchor (Mitek Sports Medicine; Raynham, MA) and two 3.5mm Push-Lock anchors (Arthrex; Naples, FL) using a modified Suture bridge technique. We had a positive confirmation from one of the loose bodies sent to the pathology department. The patient was discharged from the hospital the next day after the surgical procedure. A shoulder immobilizer with an abductor cushion had to be worn for 8 weeks. Starting physical therapy on week two with passive pendulum movements at home, and finally active movements and muscular strengthening at week 6. After 12weeks he started doing his normal life activities still no sport related activity. At the sixth post operatory month he had a final DASH Score of 18.2 and a resting VAS of 0/10 and during physical activity of 1/10. With active range of movement as followed abduction 100º, adduction 40º, flexion 120º, extension 25º, internal and external rotation 35º.

Figure 1 Left shoulder simple X-ray showing multiple intrarticular calcifications.

Figure 2 Supraspinatus tendon ultrasonography with a complete rupture.

Figure 3 Subacromial Arthroscopic view of loose bodies and synovitis.

Discussion

Synovial chondromatosis is an unusual and benign pathology that involves the synovial lining, bursa tissue, and or tendon sheaths of the major articulations. It is usually monoarticular and its characterized by development of multiple osteochondral loose bodies.7This disorder is more commonly seen on the knee followed by the hip, elbow, ankle, temporomandibular, and shoulder joints respectively. SC starts with a benign synovial proliferation that leads to chondral or osteochondral foci formation. The exact etiology remains unknown, but it is theorized that it may be due to synovial irritation secondary to trauma injury, or even possible infection.7 SC can be classified as primary or secondary. The main secondary reasons are trauma, degenerative joint disorders, osteochondritis dissecans, rheumatoid arthritis and tuberculous arthritis.5 In recent research, clonal karyotypic abnormalities have been reported in chromosome 6, suggesting neoplastic origin.8,9 Patients usually present with progressive articular pain, loss of movement and local swelling. The patient usually complains of stiffness, dull ache, instability, locking or crepitus.5,7 Diagnosis is made by clinical examination, radiographic investigation and histologic confirmation. Usually the laboratory findings are non-specific. The radiographic features on a plan film depend on the degree of ossification, which has occurred. Because calcification is absent in 25-30% of the cases, simple X-rays can show no specific findings and may be normal. CT scan can be used to confirm the localization of the loose bodies. Nowadays the imaging study of choice is the MRI, that provides a better diagnosis of intra and extra articular pathology and localization.5 The most frequent pattern is one of principally unmineralised nodules. We were not able to perform a MRI on our patient because he was treated at a low-level social care facility without MRI access.

The definitive treatment for SC is surgical resection, which can be done on an open or closed arthroscopic procedure.3 The exact timing of surgical intervention has not been defined in the literature1,10 but theoretically the loose bodies within the subacromial space can cause supraspinatus outlet impingement, acromial spurring, and bursal sided rotator cuff tears, as was in our case.1 Generally, arthroscopic treatment has a better outcome in terms of lower morbidity rates, earlier return to function, shorter rehabilitation protocol, decreased post operatory pain, and earlier active range of motion.1,11 But the gold standard of treatment has not been established. The recurrence rates following open and arthroscopic treatment of SC in the shoulder is comparable (0-31%), many authors recommend to perform an adjunct synovectomy to reduce the possibilities of recurrence.1,11 Multiple case reports describe SC in knee and hip primarily, with the shoulder being the least common.1 Only a few reports cases in which the synovial chondromatosis produces partial to total rotator cuff tears. Neumann et al. described a bursal sided rotator cuff tear secondary to Synovial Chondromatosis as in our case.1 Horii et al.,12 described a partial tear of the rotator cuff, and Ogawa et al.,13 described a bilateral case. All of the cases were treated with the resection of the loose bodies and the reconstruction of the rotator cuff tear, all had outcomes typical for rotator cuff restoration.

Conclusion

In conclusion, we reported the case of a patient with Synovial Chondromatosis in the shoulder that resulted in subacromial impingement and a complete tear of the supraspinatus tendon. A mechanical problem secondary to an obstruction generated by the loose bodies. Besides the clinical presentation an MRI should be taken as imaging test of choice for diagnosis in this kind of pathology, because some of the loose bodies can’t be seen under a simple X-ray or ultrasonography. Today closed arthroscopic treatment is the most accepted treatment to address this pathology because appears to produce less morbidity and a better and faster functional outcome compared with open resection, but there is not enough published evidence to support this. During the procedure the loose bodies shall be resected as well as the surrounding synovitis to reduce the chances of recurrence. Malignant degeneration into chondrosarcoma has been reported but is uncommon.14

Acknowledgements

None.

Conflict of interest

The author declares no conflict of interest.

References

  1. Neumann JA, Garrigues GE. Synovial chondromatosis of the subacromial bursa causing a bursal-sided rotator cuff tear. Case Rep Orthop. 2015;2015:259483.
  2. Adelani MA, Wupperman RM, Holt GE. Benign synovial disorders. J Am Acad Orthop Surg. 2008;16(5):268–275.
  3. Duymus TM, Yucel B, Mutlu S, et al. Arthroscopic treatment of synovial chondromatosis of the shoulder: A case report. Ann Med Surg (Lond). 2015;4(2):179–182.
  4. Jiménez-Martín A, Zurera-Carmona M, Santos-Yubero FJ, et al. Arthroscopic treatment of synovial chondromatosis, an unusual cause of shoulder pain. Reumatol Clin. 2014;10(6):416–417.
  5. Aydogan NH, Kocadal O, Ozmeric A, et al. Arthroscopic treatment of a case with concomitant subacromial and subdeltoid synovial chondromatosis and labrum tear. Case Rep Orthop. 2013;2013:636747.
  6. Milgram JW. Synovial osteochondromatosis: a histopathological study of thirty cases. J Bone Joint Surg Am. 1997;59(6):792–801.
  7. Martinez R, Rubin AL. Synovial chondromatosis. Curr Sports Med Rep. 2003;2(3):123–124.
  8. Xu C, Yang X, Zhao J. Arthroscopic treatment for synovial chondromatosis of the subacromial bursa associated with partial rotator cuff tear. Knee Surg Sports Traumatol Arthrosc. 2015;23(2):600–602.
  9. Buddingh EP, Krallman P, Neff JR, et al. Chromosome 6 abnormalities are recurrent in synovial chondromatosis. Cancer Genet Cytogenet. 2003;140(1):18–22.
  10. Fowble VA, Levy HJ. Arthroscopic treatment for synovial chondromatosis of the shoulder. Arthroscopy. 2003;19(1):E2.
  11. Tokis AV, Andrikoula SI, Chouliaras VT, et al. Diagnosis and arthroscopic treatment of primary synovial chondromatosis of the shoulder. Arthroscopy. 2007;23(9):1023.
  12. Horii M, Tamai M, Kido K, et al. Two cases of synovial chondromatosis of the subacromial bursa. J Shoulder Elbow Surg. 2001;10(2):186–189.
  13. Ogawa K, Takahashi M, Inokuchi W. Bilateral osteochondromatosis of the subacromial bursae with incomplete rotator cuff tears. J Shoulder Elbow Surg. 1999;8(1):78–81.
  14. Kenan S, Abdelwahab IF, Klein MJ, et al. Case report 817: Synovial chondrosarcoma secondary to synovial chondromatosis. Skeletal Radiol. 1993;22(8):623–626.
Creative Commons Attribution License

©2016 Jasqui, et al. This is an open access article distributed under the terms of the, which permits unrestricted use, distribution, and build upon your work non-commercially.