Submit manuscript...
MOJ
eISSN: 2381-179X

Clinical & Medical Case Reports

Case Report Volume 12 Issue 3

Rare skin manifestation of Mycobacterium marinum lesion on shoulder: a case report

Lotfollah Davoodi,1 Armaghan Kazeminejad,2 Amirsaleh Abdollahi,3 Mehran Frouzanian3

1Department of Infectious Disease, Faculty of Medicine, Mazandaran University of Medical Science, Iran
2Dermatologist, Assistant Professor, Department of Dermatology, Mazandaran University of Medical Sciences, Iran
3Medical Student, Mazandaran University of Medical Sciences, Iran

Correspondence: Amirsaleh Abdollahi, Medical Student, Mazandaran University of Medical Sciences, Sari, Mazandaran, Iran, Tel +989120202284, Fax 01133352725

Received: September 14, 2022 | Published: October 31, 2022

Citation: Davoodi L, Kazeminejad A, Abdollahi A, et al. Rare skin manifestation of Mycobacterium marinum, lesion on shoulder: a case report. MOJ Clin Med Case Rep. 2022;12(3):44-45. DOI: 10.15406/mojcr.2022.12.00418

Download PDF

Abstract

Mycobacterium marinum causes sporadic skin infection. It mostly appears on extremities with erythematous or bluish papule or nodule at the inoculation site, usually after skin abrasions are exposed to contaminated water or fish. A 43-year-old male patient with no prior medical history noticed the appearance of red lesions on the back of his left shoulder 2 years earlier. Various physicians visited the patient and misdiagnosed as contact dermatitis. Physical examination revealed polycyclic livid plaques with irregular hyperkeratosis on the back of his left shoulder. Eventually it was reported he carried a fishing net on his shoulder near the time lesions appeared. So, with suspicion of Mycobacterium marinum, skin biopsies were performed and histopathology showed epidermis with acanthosis and parakeratosis. The dermis showed severe infiltration of neutrophils and lymphoplasma cells with the presence of few giant cells and poorly defined granulomas indicating acute or chronic necrotizing granulomas. Within three weeks of starting treatment with oral clarithromycin, rifampin and co-trimoxazole, signs of improvement began. The manifestation of this disease and its site of involvement in this patient was very rare among previous case reports, so it was considered necessary to be reported.

Keywords: Mycobacterium marinum, chronic granulomatous disease, atypical, fish farms, plaques, erythematous nodule

Introduction

Atypical bacterial skin infections are clinically important and challenging. The importance of careful investigation of lesions, physical examination, and detailed history is undeniable. In the cases of atypical infections and lesions, thorough review of the occupational background, travel history, exposure to potential pathogens and microorganisms, and routine activities are crucial.

Mycobacterium marinum is a slow-growing and non-tuberculous mycobacterium that was first identified in Philadelphia in 1926 and causes aquarium granuloma or fish tank granuloma in humans.1 It is present in fresh and salt water.2 This organism is especially found in natural swimming pools and warm aquariums.3 The infection causes tuberculous-like illness in fish and can infect humans when the skin is injured and exposed to the organism. It spreads through the distribution of the lymphatic system and can infect both immunocompetent and immunocompromised individuals.4

The clinical manifestations of M. marinum include granulomatous skin and soft tissue lesions, especially in acral distribution with non-specific and erythematous nodules, papules, and plaques, which makes the diagnosis with other granulomatous lesions more difficult.5

Laboratory and pathology evaluations are essential to make a definite diagnosis. The standard test to diagnose M. marinum is culture from a tissue biopsy. The mainstay of management in M. marinum infection is antimicrobial therapy, and combination therapy with at least two agents is preferred. Rifampin is one of the most effective drugs against M. marinum infection.3

This study's purpose was to understand better the different aspects of atypical skin lesions and its clinical perspectives. In this case, we present a rare case of M. marinum in a 43-year-old man with a different location of skin involvement that was very rare.

Case presentation

A 43-year-old Caucasian male patient with no prior medical conditions or surgery, who worked as a building painter, noticed the appearance of red lesions on the back of the left shoulder 2 years earlier. The lesions did not bother the patient, and a variety of physician specialists visited the patient at that time. The dermatological lesions and granulomas were misdiagnosed as possible paint hypersensitivity or contact dermatitis (according to the patient's occupation) and different types of antihistamines and anti-inflammatory and topical corticosteroids and even systemic corticosteroids were prescribed for the patient. With no evidence of improvement, the patient changed his job so he would no longer be in contact with paints, but still, there was no change in the patient's condition.

Physical examination revealed multiple vesicles, bulla, and pustule which secrete clear and purulent secretions, on the back of his left shoulder and the lesions were slightly itchy, fixed and immobile. He had no comorbidities and had no chronic drug use. Considering these symptoms and the fact that the patient had changed jobs, contact dermatitis was no longer considered as one of the primary diagnoses. He had no history of tuberculosis or any other systemic illness. Based on the physical examination, we included Mycobacterium marinum as one of the differential diagnoses (even though the manifestation of this disease is very rare in these areas and occurs mostly in the hands and fingers); we asked about the patient's history of contact with fish (Figure 1).

Figure 1 Erythematous-livid plaque and amethystine papule on the back of the left shoulder.

He reported in a detailed medical history that the patient's friend had a fish breeding pond. A few weeks before the lesions appeared, he went to the fish pond several times and entered the pond while carrying fishing net on his shoulder. After catching the fish, he put the fish in a bag and carried the bag on his shoulder for a distance.

We suspected that the site of the fishing net and fish-carrying bag on the back of the patient's shoulder was similar to Mycobacterium marinum inoculation. Skin biopsies were taken for histopathological examination, and it showed the epidermis with acanthosis and parakeratosis. The dermis showed severe infiltration of neutrophils and lymphoplasma cells with the presence of few giant cells and poorly defined granulomas indicating an acute or chronic necrotizing granulomatous inflammatory process due to an atypical mycobacterial infection, so M. marinum diagnosis was confirmed via histological examination. (Ziehl–Neelsen and Periodic acid–Schiff (PAS) staining were negative).

The patient managed well with appropriate treatment. Within three weeks of starting treatment, signs of improvement began, prescribed with oral clarithromycin 500 mg orally, b.i.d, rifampin at a dose of 600 mg daily in combination, and co-trimoxazole 960 mg b.i.d., to be continued for at least three months (Figure 2).

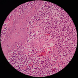
Figure 2 Severe infiltration of neutrophils and lymphoplasma cells with the presence of some giant cells and poorly defined granulomas (Hematoxylin and eosin; original magnification 400x).

Discussion

M. marinum is a free-living, non-sporing gram-positive, acid-fast bacillus that can survive in various environments and was first isolated from fish. M. marinum is a slow-growing photochromogen (Runyon group 1) that produces a yellow pigment when exposed to light in appropriate medium cultures like the Lowenstein-Jensen medium and grows optimally between 30 and 33°C. It causes disease in saltwater fish and freshwater and sporadically in humans. Dead fish is known to be a reservoir.6-8

The diagnosis of this sporadic skin infection is primarily clinical. Detailed history taking, occupational, travel, and leisure exposure are necessary. M. marinum has many different clinical presentations. It mostly appears on extremities with erythematous or bluish papule or nodule at the inoculation site and may ulcerate later. In 90 percent of cases, the inoculation site is the upper extremity,9,10 but our case site of infection involvement was in a rare site, in the back of the shoulder, which was not seen before in M. marinum previous case reports. In an earlier study of 63 patients with M. marinum infection, all lesion sites were in the hand, arm and forearm, wrist and legs, and back of the shoulders were involved in none of them.11 In another study which presented 28 cases of this infection, it was noted that inoculation sites were similar in hands, fingers, wrists, and arms.12

Some patients may suffer from more severe and rare complications like bursitis, tenosynovitis, osteomyelitis, and septic arthritis. Bacteremia is rare and may be seen in immunocompromised patients.9,13 In another previous case report, severe osteomyelitis associated with M. marinum was reported. A 64-year-old man with worsening left arm swelling and tenderness was first misdiagnosed with rheumatologic disorders, and later his smear and culture were positive for M. marinum.10 However, our patient in this study did not suffer from any of these complications.

Skin lesions of M. marinum may be misdiagnosed with other similar diseases that mimic M. marinum lesions. For instance, in our case, several physicians and specialists diagnosed contact dermatitis for this patient mainly because his job is facing him by building painting chemicals; some essential differential diagnoses of this infection that should be considered include chromoblastomycosis, tinea infections, botryomycosis, sporotrichosis, deep fungal infections, leishmaniasis, and sarcoidosis. If joints are involved, it may be misdiagnosed as inflammatory arthritis and rheumatologic disorders, and inappropriately injected steroids would worsen the prognosis.

M. marinum typically develops after minor injury or contact with fish.14 In our case, also, M. marinum infection inoculates c by minor damage, which Carrying fishing nets and fish carrying bags on his shoulder caused it. Histopathologic findings from biopsied sites demonstrate non-specific infiltrates and granulomas. Tuberculoid, sarcoid, and nodule-like granulomas have been reported. Moreover, Histopathologic findings of M. marinum consist of granulomatous inflammatory processes, acanthosis, and parakeratosis in the dermis. These granulomas may be presented with central necrosis and suppuration.15 In the present case report, a biopsy was performed
Which revealed an epidermis with acanthosis and parakeratosis, and the dermis shows severe infiltration of neutrophils and lymph plasma cells with the presence of some giant cells and poorly defined granulomas (Hematoxylin and eosin staining) and Ziehl–Neelsen staining and Periodic acid–Schiff (PAS) staining were negative.

After the patient is diagnosed with M. marinum infection, the appropriate treatment should be initiated. There is no proven and standard therapy for this infection because of few evidence, and also it is a multi-drug resistant microorganism, so treatment is based empirically. In superficial infections, clarithromycin, ciprofloxacin, doxycycline, or trimethoprim-sulfamethoxazole as monotherapy were seen to be compelling. However, in some cases, combination therapy is preferred due to resistance and recurrence. Generally, M. marinum is susceptible to commonly used antibiotics like quinolones and macrolides. Failure to completely eradicate the infection is mainly due to deeper structural and organ involvement, non-adherence to therapy, or inappropriate therapies.9,16,17 Our prescription was oral clarithromycin 500 mg orally, b.i.d, rifampin at a dose of 600 mg daily in combination, and 960 mg b.i.d Co-trimoxazole, to be continued for at least three months.

Conclusion

Infection with M. marinum is rare and has no pathognomonic clinical features. Awareness of different aspects of presentation and a detailed medical history are critical factors in making a diagnosis. The present report described a case of M. marinum infection in a patient with lesions on the back of his left shoulder. The patient had several medical consultations with a misdiagnosis of contact dermatitis. He eventually reported he carried a fishing net on his shoulder near the time lesions appeared. Histopathology indicated an acute or chronic necrotizing granulomatous inflammatory process due to an atypical mycobacterial infection; test confirmed the diagnosis. Treatment with oral clarithromycin, rifampin and co-trimoxazole was effective and the first signs of improvement appeared after three weeks.

Funding

The author(s) received no financial support for the research, authorship, and/or publication of this article.

Acknowledgments

None.

Conflicts of interest

Authors declare that there is no conflict of interest.

References

  1. Slany M, Jezek P, Bodnarova M. Fish tank granuloma caused by Mycobacterium marinum in two aquarists: two case reports. Biomed Res Int. 2013;2013:161329.
  2. Nordén Å, Linell F. A new type of pathogenic mycobacterium. Nature. 1951;168(4280):826.
  3. Trcko K, Plaznik J, Miljkovic J. Mycobacterium marinum hand infection masquerading as tinea manuum: a case report and literature review. Acta Dermatovenerologica Alp, Pannonica Adriat. 2021;30(2):91‒93.
  4. Sander M, Isaac-Renton JL, Sander MA. Atypical clinical and laboratory features of fish-tank granuloma: a case report. SAGE Open Med Case Rep. 2018;6:2050313X18804071.
  5. Ferdinand S, Meloche TM, Brown TL. Mycobacterium Marinum: a case report. J Bacteriol Mycol Open Access. 2016;2(4):98‒100.
  6. García Acebes CR, Barchino Ortiz L, Aboín González S, et al. Infección por Mycobacterium marinum. Presentación de un nuevo caso y revisión de la literatura. Actas Dermo-Sifiliográficas. 2006;97(10):653‒657.
  7. Bezerra GH, Honório MLP, Costa V, et al. Mycobacterium marinum infection simulating chromomycosis: a case report. Rev Inst Med Trop Sao Paulo. 2020;62:e95.
  8. Gao LY, Manoranjan J. Laboratory maintenance of Mycobacterium marinum. In: Curr Protoc Microbiol; 2005.
  9. Aubry A, Chosidow O, Caumes E, et al. Sixty-three cases of Mycobacterium marinum infection: clinical features, treatment, and antibiotic susceptibility of causative isolates. Arch Intern Med. 2002;162(15):1746-1752.
  10. Nguyen HH, Fadul N, Ashraf MS, et al. Osteomyelitis Infection of Mycobacterium marinum: A Case Report and Literature Review. Case Rep Infect Dis. 2015;2015:905920.
  11. Aubry A, Chosidow O, Caumes E, et al. Sixty-three Cases of Mycobacterium marinum Infection: Clinical Features, Treatment, and Antibiotic Susceptibility of Causative Isolates. Arch Intern Med. 2002;162(15):1746‒1752.
  12. Johnson MG, Stout JE. Twenty-eight cases of Mycobacterium marinum infection: retrospective case series and literature review. Infection. 2015;43(6):655‒662.
  13. Saadatmand B, Poulton JK, Kauffman CL. Mycobacterium marinum with associated bursitis. J Cutan Med Surg. 1999;3(4):218‒220.
  14. Slany M, Jezek P, Bodnarova M. Fish tank granuloma caused by Mycobacterium marinum in two aquarists: two case reports. Biomed Research Int. 2013;2013:161329.
  15. Sia TY, Taimur S, Blau DM, et al. Clinical and Pathological Evaluation of Mycobacterium marinum Group Skin Infections Associated With Fish Markets in New York City. Clin Infect Dis. 2016;62(5):590‒595.
  16. Rallis E, Koumantaki-Mathioudaki E. Treatment of Mycobacterium marinum cutaneous infections. Expert Opin Pharmacother. 2007;8(17):2965‒2978.
  17. Sette CS, Wachholz PA, Masuda PY, et al. Mycobacterium marinum infection: a case report. J Venom Anim Toxins Incl Trop Dis. 2015;21:7.
Creative Commons Attribution License

©2022 Davoodi, et al. This is an open access article distributed under the terms of the, which permits unrestricted use, distribution, and build upon your work non-commercially.