Submit manuscript...
MOJ
eISSN: 2381-179X

Clinical & Medical Case Reports

Case Report Volume 4 Issue 2

Primary tuberculosis of the thyroid gland presenting as a cystic lesion: report two cases

Manuchehr Aghajanzedeh, Siamak Rimaz, Aydin Pourkazemi Rimaz, Mohammad Sadegh Esmaeli Delshad, Omid Mosaffaee Rad, Maziar Moayerifar, Sara Massahnia

Razi Hospital, Guilan University of Medical Sciences, Iran

Correspondence: Manoochehr Aghajanzadeh, Razi Hospital, Sardarjangal Ave, Rasht, Iran, Tel 989-111-311711

Received: December 15, 2015 | Published: March 31, 2016

Citation: Aghajanzedeh M, Rimaz S, Pourkazemi A, et al. Primary tuberculosis of the thyroid gland presenting as a cystic lesion: report two cases. MOJ Clin Med Case Rep. 2016;4(2):40-43. DOI: 10.15406/mojcr.2016.04.00082

Download PDF

Abstract

Tuberculosis of thyroid gland (TTB) is extremely uncommon. The incidence is low even in countries where the prevalence of tuberculosis (TB) is endemic and high. The diagnosis is often difficult as the clinical presentation has no distinct characteristics. We report two case of Primary Tuberculosis of the thyroid gland (PTTB) ,one was A 56-year-old man with a lump on the left side of his lower neck. He noticed the swelling 12weeks prior to presentation and it had been gradually increasing in size. Another was, a 72-year-old man presented with history of left thyroid lobe swelling for 5-7month, which was gradually increasing in size Ultrasonography disclosed nodules of the left lobe with cystic change. Thyroid function tests were in the normal range, there were no signs of inflammation. There was no evidence of tuberculosis in any other organ.FNA from left lobe of thyroid was performed which yielded purulent aspirate. Smears examined show degenerated inflammatory cells in a necrotic background No follicular epithelial cells were seen. The patients had surgery in which the left lobe was removed. Microscopic examination of the thyroid parenchyma revealed necrotizing epithelioid granulomas with Langhans giant cells. The diagnosis of thyroid tuberculosis was therefore made. The patients was put on isoniazid, rifampicin, ethambutol and pyrazinamid for 2months and was subsequently given isoniazid and rifampicin for 4months with a favourable outcome. Although seldom rare presentation of (TTB) observed, tuberculosis should be kept in mind in the differential diagnosis of nodular or cystic lesions of the thyroid.

Keywords: tuberculosis, thyroid gland, inflammation, isoniazid, rifampicin, ethambutol, thyroid lobe, immunity, lymph node, thyroid cancer

Abbreviations

TTB, tuberculosis of thyroid gland; TB, tuberculosis; PTTB, primary tuberculosis of the thyroid gland

Introduction

Thyroid gland is rarely affected by tuberculosis.1,2 Primary Tuberculosis of thyroid is rare even in countries with high prevalence of tuberculosis.3,4 (PTTB) is rare even in countries in which tuberculosis (TB) constitutes an endemic disorder .There have been isolated case reports and few case series of (PTTB) in the literature.1 The supposed reasons for the relative immunity of thyroid gland from (TB) are the bactericidal attribute of the colloid, extensive vascularity and high iodine content of the gland.2 The primary form of the disease is even rarer. Most of the cases are accompanied by other site of the disease in the body.2 Sometimes associated with regional lymph node2 (PTTB) can mimic a thyroid tumor, and diagnosis is difficult.2,3 Thyroid involvement can be symptoms free2 or as diffuse or localized swelling of the gland.3 It can also present as thyroid abscess in pulmonary tuberculosis patients.4 which on postoperative histology was proved to be (TTB) neck mass and hence differential diagnosis with other more common pathologic entities, such as thyroglossal duct cyst, cystic hygroma, lipomas or thyroidl lymphoma, thyroid cancer, should be made. Early diagnosis is important because drug treatment is effective.2 We present two case of (PTTB) gland ( 56,72-year-old man) presented with history of left thyroid lobe swelling for 5-18 month, which was gradually increasing in size who presented with painless solitary thyroid cyst , this patient underwent lobectomy and istmectomy, postoperative histopathology finding established Tuberculosis of the thyroid gland.

Case 1

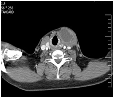
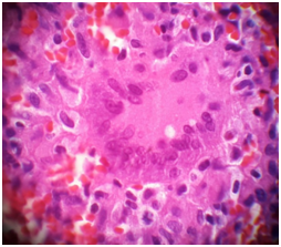
A 56-year-old male, smoker, with no significant past medical history, presented with a 18-weeks history of a nodular swelling of the neck. The patient also reported dry cough without fever for the past year. There was no history of weight loss, anorexia or asthenia. Physical examination revealed a 6cm cystic nodular mass in the left - anterior neck which seemed to be in the left lobe of thyroid gland. The throat was normal. Body temperature was 37°C, the heart rate was 92/min, and blood pressure was 149/80mm Hg. Enlarged lymph nodes were not palpable in rest of body. Chest- X-ray examination was normal. Thyroid function tests were in the normal range. WBC: 7000/mm3 with a normal differential count, haematocrit: 38%, haemoglobin: 12.7g/dl, platelets: 424.000/mm3. Erythrocyte sedimentation rate was 12mm in the first hour and the C reactive protein (CRP) was 3.4mg/l (normal value <5mg/l). The liver functions tests were normal. Ultrasonography and CT-scan of the neck revealed that the left lobe of the thyroid gland contained many thick fluid material with cystic changes resulting in an enlargement of the left lobe gland (Figure 1). The rest of the gland had a normal echogenicity and regular margins. The chest X-ray was normal. Tuberculin test was negative. ultrasound guided fine-needle aspiration was performed, AFB in aspirated pus by Ziehl Nelsen stain was negative. The specimen submitted for culture, bacterial and tuberculosis was negative too. Sulfure- granule for actinomycosis was negative. The patient had surgery, which yellow pus aspirated (Figure 2). Resection of the left lobe and istem was performed, the rest of the gland showing no abnormality. On gross examination, the specimen was necrotic and debris tissue (Figure 3). Microscopic examination revealed necrotizing epithelioid granulomas with Langhans’ giant cells (Figure 4). The diagnosis of thyroid tuberculosis was therefore made. Acid fast bacilli (AFB) were absent in the sputum. Abdominal ultrasonography revealed no lymph node enlargement. The patient was placed on isoniazid (300mg per day), rifampicin (600mg per day), ethambutol (1200mg per day) and pyrazinamid (1500mg per day) for 2months and isoniazid and rifampicin for the subsequent 4months. The clinical outcome was good. Ultrasonography of the neck and of the abdomen at 8months of antituberculous treatment revealed no abnormality of the thyroid gland. The enlarged lymph nodes of the jugular and carotid chains were not present.Thyroid functions test (T4, T3 and TSH) was normal.

Figure 1 CT-scan of neck show a cystic lesion in thyroid.

Figure 2 Show aspirated material from cystic lesion in thyroid.

Figure 3 Show debris from cystic lesion in thyroid.

Figure 4 Show Giant cell in the granulomas.

Case 2

A 72-year-old man presented with history of left thyroid lobe swelling for 5-7month, which was gradually increasing in size with no compressive of neck structure or any associated symptoms. On physical examination, he had a left thyroid cystic and solid nodule.The nodule was no tender and moving with swallowing. Lymph node was not palpable in the neck. The systemic examination was normal, clinically he was euthyroid. Ultrasound of thyroid showed a left sided show cystic and solid nodule. CT-scan of neck with IV contrast shows a solid and cystic mass with peripheral vascularity. The right lobe was normal in size with few small solid and cystic nodules (Figure 5). Her chest X-ray was normal. His CRP, ESR and complete blood count and routine biochemistry were normal.FNA of left thyroid lobe in two time was performed which showed pus material. Cytology revealed follicular lesion. AFB in aspirated pus by Ziehl Nelsen stain was negative. Culture for bacterial and tuberculosis was negative too. He underwent left lobectomy and istmectomy, and her histopathology report showed granulomatous inflammation in the left lobe. With pathologic finding of chronic granulomatous inflammation along with necrosis and with possibility of tuberculosis in the left lobe (Figure 6), he was started on antituberclusis treatment with four drug regimen for the first 2months followed by three drugs regimen for the next 4months along with. He completed her treatment and in follow-up remained asymptomatic.T4, T3 and TSH was in normal range.

Figure 5 CT-scan of neck show a cystic lesion in thyroid.

Figure 6 A necrotizing granuloma H& E X 400.

Discussion

Primary or secondary Tuberculosis of the thyroid gland is an extremely rare disease with only isolated reports and a small number of case series having been reported in the literature.1,2 The prevalence (PTTB) is from 0.1% to 0.6% with histologically diagnosis,1–3 in the English language literature , at least 200 cases have been reported since the first case reported by Leber.5,6 The cause for the rarity of thyroid TB is unknown.2,6 In most cases reports, thyroid tuberculosis is secondary from another location of the disease.2 In such cases the thyroid is affected via the haematogenous or lymphogenous route or directly from the larynx or cervical lymphadenitis.5,6 In our cases all organs of body was normal without TB involvement Symptoms of (TTB) are non specific and variable.4 The patient may be asymptomatic or have symptoms of dysphoria, dysphagia, dysponea and rarely recurrent laryngeal nerve paralysis due to expanding gland.1,2,5 Most patients are in middleage.2,3,6 One of our patient was a man with 56year old and another was 72year old. Although dysphagia, dyspnea and more rarely dysphonia are the main symptoms of the disease, the patient may be asymptomatic1,2,6 as our case that was without any symptoms. The most common clinical presentation is a solitary thyroid nodule that may present a cystic component.1,2,5 Our patient presented as a cystic mass of the antero- lateral neck which was thought to be in the thyroid gland. Sometimes the patients present with hypothyroidism, thyroid abscess, thyroid cancer, or show signs of subacute granulomatous thyroiditis or chronic non-suppurative thyroiditis.5,7,8 Our patients present as a neck cystic lesion. Imaging techniques are not helpful in establishing the diagnosis. Ultrasonography mostly shows a heterogeneous, hypoechogenic mass that may include a cystic degeneration.3,5,6 CT with intravenous Contrast may reveal a necrotic centre with a peripheral rim enhancement related to the caseous lesion and also show regional lymphadenopathy.2 In our cases CT and Ultrasonography show cystic lesion and mild rim enhancement. Predominant symptom of tuberculous thyroiditis is Localized pain.2 Our cases present only with neck mass without pain (TTB) may be diffiented from other condition such as infectious thyroiditis subacute granulomatous thyroiditis and thyroid sarcoidosis5 tuberculous thyroiditis without pain can often be mistaken for carcinoma1,2,5 tuberculous thyroiditis may coexist with thyroid carcinoma in the same patient9,10 general condition of our patient was good and the only compliant was neck mass. The first step of diagnosis is mainly made by ultrasound guided fine-needle aspiration.7,8 We use FNA in our cases but was not diagnostic.In most cases definite diagnosis is made postsurgery by means of histopathological examination of the specimen, as in our patients.1–3,5 granulomatous lesions are not pathognomonic for tuberculosis. granulomatous lesions also may be seen in sarcoidosis and subacute thyroiditis. Presence of caseating necrosis in the specimen confirms the diagnosis of tuberculosis.2,5,3 In our case, the tuberculous of thyroid was confirmed by the presence of caseaum in the left lobe of thyroid. The demonstration of AFB in the gland by Ziehl Nelsen stain can also validate the diagnosis. However, the mycobacteria are rarely recognised by the stain.5,11 Furthermore, the surgical specimen is rarely submitted for culture, as the tuberculosis is not suspected. In our case, AFB by Ziehl Nelsen stain was negative and culture after 4weeks was negative too. Treatment includes antituberculous drugs and surgical removal of the affected parts of the thyroid gland or drainage of cavity and outcome is good1,2,5–7 some authors recommended, drugs alone are sufficient. In our patient, surgery was performed for the diagnosis, the left lobe and istem which were affected, also resected. The total duration of chemotherapy was 8 months with a favourable outcome.12 In our country duration of treatment is 6month, 2month withisoniazid, rifampicin, ethambutol and pyrazinamid and 4month withisoniazid and rifampicin. In conclusion, Tuberculosis is an uncommon cause of thyroid disease. It can manifest in various form, with nonspecific symptoms. The diagnosis is difficult. The main method for establishing diagnosis is fine-needle aspiration. In certain cases the dignosis is made only with histopathological examination of the resected specimens. The best Treatment includes surgery with antituberculous drugs.

Acknowledgements

None.

Conflict of interest

The author declares no conflict of interest.

References

  1. Uzma Majid, NajmulIslam. Thyroid tuberculosis: a case series and a review of the literature. Journal of Thyroid Research. 2011;2011:4.
  2. Kataria SP, Tanwar P, Singh S, et al. Primary tuberculosis of the thyroid gland:a case report. Asian Pac J Trop Biomed. 2012;2(10):839–840.
  3. Gupta KB, Gupta R, Varma M. Tuberculosis of the thyroid gland. Pulmon. 2008;9:65–68.
  4. Mpikashe P, Sathekge MM, Mokgoro NP, et al. Tuberculosis of the thyroid gland:a case report: case study. South Afr Fam Pract. 2004;46(7):19–20. 
  5. Gupta V, Boombak E, Tanwar P, et al. Tuberculosis of Thyroid Gland Presenting as Abscess. J Cytol Histol. 2012;3(5):2.
  6. Ghosh A, Saha S, Bhattacharya B, et al. Primary tuberculosis of thyroid gland: a rare case report. Am J Otolaryngol. 2007;28(4):267–270.
  7. Simkus A. Thyroid tuberculosis. Medicina (Kaunas). 2004;40(3):201–204.
  8. Bulbuloglu E, Ciralik H, Okur E, et al. Tuberculosis of the thyroid gland: review of the literature. World J Surg. 2006;30(2):149–155.
  9. Al–Mulhim AA, Zakaria HM, Abdel Hadi MS, et al. Thyroid tuberculosis mimicking carcinoma:report of two cases. Surg Today. 2002;32(12):1064–1067.
  10. El Kohen A, Essakalli L, Amarti A, et al. Thyroid tuberculosis associated with papillary microcarcinoma of the thyroid gland:a case report. Rev Laryngol Otol Rhinol. 2001;122(3):205–208.
  11. Keven MC, Birengal S, Okca F. Tuberculosis of the thyroid gland:a case report. Clin Microbial Infect. 2001;7(9):514.
  12. El Malki HO, El Absi M, Mohsine R, et al. Tuberculosis of the thyroid. Diagnosis and treatment. Ann Chir. 2002;127:385–387.
Creative Commons Attribution License

©2016 Aghajanzedeh, et al. This is an open access article distributed under the terms of the, which permits unrestricted use, distribution, and build upon your work non-commercially.