Submit manuscript...
MOJ
eISSN: 2381-179X

Clinical & Medical Case Reports

Case Report Volume 7 Issue 5

Primary intraspinal primitive neuroectodermal tumor (PNET): a rare occurrence

Jovita Martin

Department of Medical Oncology, Tamilnadu Government Multi Super Speciality Hospital, India

Correspondence: Jovita Martin, Department of Medical Oncology, Tamilnadu Government Multi Super Speciality Hospital, India

Received: October 06, 2017 | Published: November 3, 2017

Citation: Martin J. Primary intraspinal primitive neuroectodermal tumor (PNET): a rare occurrence. MOJ Clin Med Case Rep. 2017;7(5):285-288. DOI: 10.15406/mojcr.2017.07.00214

Download PDF

Abstract

A 5year old boy presented with weakness in lower limbs. Preoperative MRI of the spine and paravertebral region Extra Dural mass lesion in the right Dorso-lateral aspect of Spinal Cord at D6-D8 Vertebral Level causing significant cord compression. He underwent Dorsal Laminectomy with Near total excision of Extradural SOL. Per-operative findings were moderately vascular, greyish fleshy mass, spreading in the extradural space extending from D-6 to D-8 level compressing the spinal cord. The pathological findings were consistent with PNET. Post operative neurological examination had been unremarkable. Since there was minimal residual disease with and malignant histology he was planned for adjuvant chemoradiation, 1 cycle of chemo VAC Vincristine, Adriamycin, Cyclophospamide and 3DCRT 42Gy in 28 # 150cGy /# over 6weeks. At the end of radiotherapy, Pt is able to walk with Spinal support. Post RT 3 more cycles of VAC and 4 cycles of Vincristine, Actinomycin-D, Cyclophospamide alternating with 8 cycles of Ifosfamide and Etoposide were given. PET scan of the whole body was done after chemo which showed no evidence of any active disease anywhere in the body. Patient is now in complete remission and on follow up for 3 years. A review of the literature shows that only less than 50 cases of primary intraspinal PNETs have been reported to date and the present case is exclusive, in which the tumor was thoracic, extradural in location and the child is alive and grown to be a teenager at 10years of follow up, with no evidence of tumor recurrence/metastasis. Primary intraspinal PNETs are rare tumors and carry a poor prognosis. Newer modalities of treatment should be tried to improve survival.

Introduction

Primary neuroectodermal tumor (PNET), a term proposed by Hart and Earle defines a group of malignant neoplasms of presumed neural crest origin. Cases of PNET have been increasingly reported in recent years but there are still very few reports of PNET originating in the spinal cord. To date, only less than 50 cases of primary intraspinal PNETs have been reported in the literature. The clinical and pathological features of PNET, its management, and perspectives for the future, with reference to a case of PNET of the spinal cord, are discussed.

Case report

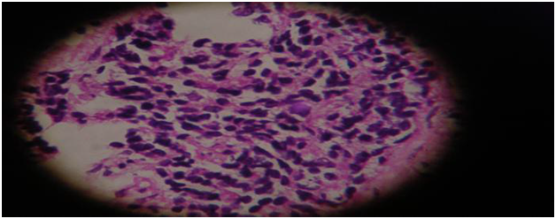
A previously healthy 5year old male child presented with complaints of weakness of both lower limbs. He had fall a week before the presentation of the weakness. His bladder and bowel habits were normal. On Examination Lansky Score 90 - minor restrictions in strenuous physical activity.1 His higher functions were normal, in his motor functions tone was normal, power was 4/5 –right Lower Limb; 3/5- Left lower limb. His deep tendon reflex, plantar and sensory systems were normal. He had scoliosis. On investigations Blood and Urine examinations were normal. Radiograph of the Chest and Ultra sonogram of abdomen were normal. Radiograph of the Dorsal Spine showed scoliosis. Magnetic Resonance Imaging of Brain was normal. Magnetic Resonance Imaging Spine showed Extra Dural mass lesion in the right dorso-lateral aspect of Spinal Cord at D 6-D 8 Vertebral Level causing significant cord compression (Figure 1). He underwent Dorsal Laminectomy with removal of Extradural SOL on 26-04-06. Per-op: Moderately vascular, Greyish fleshy mass, spreading in the extradural space extending from D-6 to D-8 level compressing the spinal cord. Near total excision was done. Pathological findings showed Small round cells with perivascular infiltration and pseudorosettes, suggestive of Malignant Primitive Neuro Ectodermal Tumour of Extra dural Origin (Figure 2). Immmuno Histo Chemistry Studies Done showed CD99 +ve , Vimentin +ve, MIC2 +ve. Post operatively Boy was treated with one cycle of chemo [VAC] Vincristine, Adriamycin, Cyclophospamide. Since there was minimal residue and Malignant histology ,a course of post-op external radiotherapy was planned using Linac using multi leaf collimator, 3D CRT Plan ,the post op tumor bed (with adequate margin ) was treated with Photons-6 MV Dosage: 42Gy in 28 # 150cGy /# over 6weeks using 3 portals. At the end of radiotherapy (Figure 3). Patient was able to walk with Spinal support. Post op and Post RT Post RT 3 more cycles of VAC and 4 cycles of Vincristine, Actinomycin-D, Cyclophospamide alternating with 8 cycles of Ifosfamide and Etoposide were given starting from May 2006 to March 2007 and the patient withstood the treatment without major morbidities. PET scan of the whole body done in Jan 2007 showed Radioisotope: 18F-FDG-370MBq/45min uptake. PET-3D mode and CT Extent of study: Base of skull to upper mid third of thigh, showed no evidence of any active disease anywhere in the body (Figure 4). Patient is now in complete remission and on follow up for 10years (Figure 5).

Figure 1 MRI Spine showing the mass lesion in Extradural space in the Dorsal spine at D 6-D 8 Level.
Figure 2 Slide showing features of PNET Postoperative course.
Figure 3 Picture showing 3 D Eclipse plan, using MLC for the Target Volume.
Figure 4 PET Scan showing no evidence of tumor.
Figure 5 Follow up MRI Spine shows no evidence of disease in the D6-D8 level.

Discussion

The concept of PNETs has been controversial for more than a decade. In the recently updated World Health Organization Classification, PNET is defined as an embryonal tumor composed of undifferentiated or poorly differentiated neuroepithelial cells which have the capacity for or display divergent differentiation along neuronal astrocytic, ependymal, muscular or melanotic lines .PNETs are rapidly growing tumors with a brief duration of symptoms and a rapidly progressive course.2 The tumors encountered are difficult to classify.3 It was first described as a tumor arising in peripheral nerve, and was called neuroepithelioma.4,5 Hart and Earle first introduced the term primitive neuroectodermal tumor in 1973 to describe predominantly undifferentiated tumors of the cerebrum (with 90-95% of the cells being undifferentiated) that did not fulfill the diagnostic criteria for neuroblastoma, ependymoblastoma, polar spongioblastoma, medulloepithellioma or pineal parenchyma tumors. All neoplasm showing primitive poorly differentiated neuroepithelial cells can be called primitive neuroectodermal tumors, regardless of location or cell type.3,6

In 1983, Rorke & Becker7,8 independently reviewed this concept and published separate articles advocating that all central nervous system tumors predominantly composed of primitive neuroepithelial cells be called PNETs. It has been postulated that PNETs arise from neoplastic transformation of primitive neuroepithelial cells in subependymal zones. They then further subclassified these tumors based on differentiation. This concept has been widely accepted, although it is still controversial. The most recent classification by world health organization tries to avoid this controversy by grouping these tumors under the category of 'embryonal tumors' with PNET used as a generic term for cerebellar medullo-blastomas.9 Peripheral primitive neuroectodermal tumors (pPNETs) and Ewing's sarcoma (ES) are closely related malignant, small, round-cell tumors of soft tissue and bones. Both pPNETs and ES strongly express the glycoprotein p30/32 (CD99), which is encoded by the microneme protein 2 (MIC2) gene. Because of immunohistochemical, ultrastructural, and molecular biologic similarities, pPNETs and ES have recently been categorized into the Ewing family of tumors PNETs most commonly occur in the cerebellum (medulloblastoms) but can arise in the pineal gland, cerebrum, spinal cord brain stem, and peripheral nerves. Primitive neuroectodermal tumors frequently metastasize via the CSF pathways to the spinal and cranial subarachnoid spaces and are highly malignant both histologically and clinically.10 Only less than 50 cases with primary intraspinal PNETs were previously reported.11

The mean age of these patients at diagnosis was 23.2years (range, 3months to 56years), and 15 were younger than 20years old. Spinal PNET may arise from all levels of the spine and can be intramedullary, extramedullary/intradural or extradural. The intramedullary tumors might originate from spinal cord, while the extradural tumors might arise from vertebrae, soft tissue or spinal nerve roots, which possibly belonged to pPNETs.12–17 Most of these tumors were impossible to resect en bloc, because it usually involved nerve roots, spinal cord and vertebrae. Eighteen patients got radiotherapy with the dose of radiotherapy from 30.6Gy to 56Gy, but the optimal radiation dose for each patient is difficult to define. Radiotherapy is an important adjuvant therapy for those radiosensitive tumors, particularly in patients with incompletely resected primary tumor. But radiotherapy is associated with a higher incidence of intellectual impairment, endocrine disturbances and growth retardation in young children. Standard therapy for the Intramedullary/Extramedullary Primary PNET currently consists of gross total resection followed by craniospinal irradiation. Radiation is associated with a higher incidence of intellectual impairment endocrinological disturbances, and growth retardation in young children and results in 5year survival rates of only 40% to 60%.

Fourteen patients were given chemotherapy, and the most commonly used chemotherapeutic agents were vincristine, adriamycin, cyclophosphamide, ifosfamide, and actinomycin-D. Chemotherapy is the only treatment in children less than twoyears old, because of severe side effects of irradiation in this age group. Chemotherapy is the sole form of therapy used in children under twoyears of age, because of severe side effects of irradiation in this age group. Because surgery, irradiation and chemotherapy do not adequately treat PNET additional treatment modalities need to be explored.11

The clinical characteristics of spinal PNETs in the cases described so far including ours (Table 1) appear to be:-

  1. More common in adults rather than children. 12 out of 19 cases being adults,
  2. Males were predominantly affected.
  3. Some of the reported cases had metastasis outside neuraxis with the most frequent sites being lung, bones and lymphnodes, a tendency shared by intracranial PNETs.2,16,18
  4. Most of the patients were treated with a combination of surgery, radiotherapy and chemotherapy, but despite treatment most patients did not do well.
  5. Extremely short duration of symptoms favour rapidly growing nature of these tumors.
  6. The aggressive nature of the tumor is evidenced by rapid recurrence of the tumor in most of the reported patients. The cause of death in these patients included pneumonia, metastatic disease, aggressive local spread of the diseased, and progressive spinal cord involvement.17–22
  7. The tumor was frequently located at lower spinal levels: cervical in four cases, thoracic in two, thoracolumbar in four, lumbar/lumbosacral in 7cases.
  8. As expected in rapidly growing tumors such as these, the survival is less than 2years. Less than 40% of these patients were alive 2year after diagnosis, about 10% at 3year. Therefore, need for newer therapeutic modality to improve the survival in these cases.

PET with '8F-fluoro-2-deoxy-glucose (FDG) is an effective imaging modality for evaluating suspected tumor recurrence. Use of FDG PET imaging for spinal cord neoplasms has not yet been studied, mainly due to limitations of spatial resolution. Cidis et al.,27 demonstrated the role of FDG PET imaging in recurrent intramedullary PNET affecting the cervical spinal cord. Adoptive immunotherapy is currently being investigated as a possible therapy. Lymphokine activated killer cells possess several attributes that could make them useful in adoptive immunotherapy. They are highly potent against tumors, require no prior antigen exposure to express their oncolytic effect. Their recognition mechanism is able to distinguish between normal and malignant cells and thereby spare normal tissue and they express oncolytic activity against many tumour types. This study was under taken by Richard et al to determine the potential sensitivity to the tumor cells derived from PNET.11 The results presented in this study support an adoptive immunotherapeutic approach, consisting of intrathecal administration of IL-2 and LAK cells as an adjuvant to the treatment of PNET. This form of therapy could eradicate residual tumour without the harmful side effects that radiation or chemotherapy produce.

The optimal therapy for PNET is uncertain. Early onset of chemotherapy22–27 in conjunction with radiation therapy may improve the survival time. However the prognosis of this disease is very poor and most patients develop local recurrence. As regard to new treatment strategies are concerned, role of peripheral blood stem cell transfusion (PBSCT) is suggested in chemosensitive tumors or in cases where the patient has remissions. PBSCT after remissions prevents relapse. A trial has been conducted at Hinduja hospital, Mumbai, India, where PBSCT was employed in 21year old male with PNET of chest wall-stage-IV. More studies are required to explore the role of PBSCT in improving the survival in these patients.28,29

Intramedullary/Extramedullary Primary PNET treated with Surgery, Chemotherapy (Vincristine, Adria, Cyclophospamide+/-Ifosfamide) and Craniospinal Irradiation.30 Out of 3 cases reported as Extradural Primary PNETs all were treated with total resection surgery , local radiotherapy and chemotherapy using VAC. The RT dose was between 40-45Gy in these cases. This case is Primary Extradural Spine PNET hence we have given only local RT post-operatively due to the minimal residual tumor.30–32

Based on this review, we conclude that future advances in the treatment of PNETs must lie with chemotherapy and immunotherapy especially for those patients presenting with disseminated disease. This, combined with early detection, tumor identification and surgical removal and aggressive neuraxis radiation for intramedullary tumors, offers hope of long term and good quality survival. It is fascinating that a tumor which may be of embryonic origin can remain latent and become manifest many years later, suggesting differences in biology involving the tumor itself or the host. . The prognosis of PNET in the spine was very poor and most patients had recurrence/metastasis. The average time from the operation to death was 18.1months.

Acknowledgements

None.

Conflict of interest

The author declares no conflict of interest.

References

  1. Lansky SB, List MA, Lansky LL, et al. The measurement of performance in childhood cancer patients. Cancer. 1987;60(7):1651–1656.
  2. Barbara JC. Primitive neuroectodermal tumours. In: Neurosurgery Rengachary, et al. editors. 1996;II:1707–1713.
  3. Edward J kosnik, Carl Boesel, Janet Bay. Primitive neuroectodermal tumours of the central nervous system in the children. J Neurosurg. 1978;48:741–746.
  4. Von Schlippe M, Whelan JS. Primitive neuroectodermal tumour of the chest wall. Ann Oncol. 1995;6(4):395–401.
  5. Hart MN, Earle KM. Primitive neuroectodermal tumours of the brain in children. Cancer. 1973;32(4):890–897.
  6. Vincent T, De Vita, Jr Samuel Hellman. Neoplasms of the central nervous system. In: Cancer–Principles and practice of oncology. 1997;5:2059–2060.
  7. Rorke LB. The cerebellar medulloblastoma and its relationship to primitive neuroectodermal tumours. J Neuropath Exp Neurol. 1983;42(1):1–15.
  8. Backer A, Mount SL, Zarka MA, et al. Desmoplastic round cell primary tumour of unknown origin with lymph nodes and lung metastases :Histological, cytological, ultrastructural, cytogenetic and molecular findings. Virchows Arch. 1998;432(2):135–141.
  9. Kielhuer P, Bueger PC, Scheithauer BW. The new WHO classification of brain tumours. Brain Pathol. 1993;3(3):255–268.
  10. Deme S, Ang LC, Skaf G, et al. Primary intramedullary primitive neuroectodermal tumour of the spinal cord :case report and review of the literature. Neurosurgery. 1997;41(6):1417–1420.
  11. Richard, William, Richard Moser. In vitro cytolysis of primitive neuroectodermal tumours of the posterior fossa (medulloblastoma) by lymphokine activated killer cells. J Neurosurg. 1998;60(3):403–409.
  12. Mc Dermott VG, El–Jabbour JN, Sellar RJ. Primitive neuroectodermal tumour of the cauda equina. Neuroradiology. 1994;36(3):228–230.
  13. Dorfmöuller G, Wöurth FG, Umschaden HW. Intraspinal primitive neuroectodermal tumour: report of two cases and review of the literature. Acta Neurochir (Wien). 1999;141(11):1169–1175.
  14. Isolato PA, Agbi C, Davidson B. Primary primitive neuroectodermal tumor of the cauda equina. Human Pathol. 2000;31(8):999–1001.
  15. Albrecht CF, Weiss E, Schulz–Schaeffer WJ, et al. Primary intraspinal primitive euroectodermal tumor: report of two cases and review of the literature. J Neurooncol. 2003;61(2):113–120.
  16. Smith DR, Hardman JM, Earle KM. Metastasizing neuroectodermal tumours of the central nervous system. J Neurosurg. 1969;31(1):50–58.
  17. Kepes JJ, Belton K, Roessmann U, et al. Primitive neuroectodermal tumours of the cauda equina in adults with no detectable primary intracranial neoplasm :Three case studies. Clin Neuropathol. 1985;4(1):1–11.
  18. Liu HM, Yang WC, Garcia RL, et al. Intraspinal primitive neuroectodermal tumour arising from the sacral neve root. J Comput Tomogr. 1987;11(4):350–354.
  19. Sevick RJ, Johns RD, Curry BJ. Primary spinal neuroectodermal tumour with extraneural metastasis. AJNR. 1987;8(6):1151–1152.
  20. Jakshe H, Wockel W, Wernert N. Primary spinal medulloblastomas? Neurosurg Rev. 1988;11(3–4):259–265.
  21. Freyer DR, Hutchinson RJ, Mc Keever PE. Primary primitive neuroectodermal tumour of the spinal cord associated with neural tube defect. Pediatric Neurosci. 1989;15:181–187.
  22. Ogaswara H, Kiva K, Kurisu K, et al. Intracranial metastasis from a spinal cord primitive neuroectodermal tumour: case report. Surg Neurol. 1992;37(4):307–312.
  23. Mc Dermott VG, El–Jabbour, Sellar RJ. Primitive neuroectodermal tumour of the cauda equina. Neuroradiology. 1994;36:228–230.
  24. Kwon OK, Wang KC, Ki IO, et al. Primary intramedullary spinal cord primitive neuroectodermal tumour with intracranial seeding in an infant. Child's Nerv Syst. 1996;12(10):633–636.
  25. Koot RW, Henneveld H, Albrecht K. Two children with unusual causes of torticollis: Primitive neuroectoddermal tumour and Grisel's syndrome. Ned Tijdschr Geneeskd. 1998;142(18):1030–1033.
  26. Rodriguez ku RJ, Trejo Castillo W, et al. Spinal primitive neuroectodermal tumour. Gac Med Mex. 1999;135(2):183–188.
  27. Meltzer CC, Townsend DW, Kottapally S, et al. FDG imaging of spinal cord primitive neuroectodermal tumour. J Nucl Med. 1998;39(7):1207–1209.
  28. Rivera–Luna R, Gomez R, Leal C, et al. Is the ancillary chemotherapy approach of any value in the treatment of infratentorial primitive neuroectodermal tumours with surgery and radiotherapy? Child's Nerv Syst. 1998;14(3):109–112.
  29. Soumya V. Hinduja successfully performs its first PBSCT. In: Express Healthcare Management. 2000;1:3.
  30. Akai T, Iizuka H, Kadoya S. Primary Intraspinal PNET Neurol Med. Chir (Tokyo). 1998;38(8):508–511.
  31. Yavus AA, Yaris N. Primary Intraspinal PNETs American Journal of Clinical Oncology. 2002;25(2):135–139.
  32. Virani MJ, Jain S. Primary intraspinal primitive neuroectodermal tumor (PNET): a rare occurrence. Neurol India. 2002;50(1):75–80.
Creative Commons Attribution License

©2017 Martin. This is an open access article distributed under the terms of the, which permits unrestricted use, distribution, and build upon your work non-commercially.