Submit manuscript...
MOJ
eISSN: 2381-179X

Clinical & Medical Case Reports

Case Report Volume 8 Issue 3

Pancreatic pseudocyst treated by laparoscopy, case report

Luis Angel Medina Andrade,1 Marcos Irving Salazar Jimenez,2 Carlos Eduardo Rodriguez Rodriguez,3 Pedro Leonardo Villanueva Solorzano,3 Alberto Robles Mendez Hernandez,3 Bernardo Gutierrez Munoz,3 Christian Stefan Tolentino Gonzalez,4 Edson Antonio Garcia Diaz,1 Jesus Antonio Maciel Zenil,1 Brandon Heftye Sanchez5

1General Surgery Department, Hospital General de Zona 1A, Instituto Mexicano del Seguro Social, M
2General Surgery Service, Hospital Central Norte de Petroleos Mexicanos, Mexico
3Universidad La Salle, Hospital Angeles Metropolitano, M
4General Surgery Department, Hospital General de Zona 47 Vicente Guerrero, Instituto Mexicano del Seguro Social M
5General Surgery Resident, Hospital Espa

Correspondence: Medina Andrade Luis Angel, Hospital San José, University Avenue 1134, Mexico, Tel 9981114201

Received: May 19, 2018 | Published: May 23, 2018

Citation: Angel MAL, Jimenez MIS, Rodriguez CER. Pancreatic pseudocyst treated by laparoscopy, case report. MOJ Clin Med Case Rep. 2018;8(3):118-120. DOI: 10.15406/mojcr.2018.08.00254

Download PDF

Abstract

Background: Pancreatic pseudocyst is one frequent complication in patients after acute pancreatitis, with spontaneous resolution in more than 80 % along the next 6 weeks after acute disease. In case of persistence or specific indications the surgical management is considered.

Case: A female of 45 years-old presents to the emergency room referring intense epigastric pain the last 8 hours, with an history of postpandrial fulfill the last two weeks and pathological background including acute pancreatitis 8 weeks before and laparoscopic cholecystectomy after resolution. At physical exam a 12cm palpable mass in the epigastrium is palpated, with pain after mobilization. An abdominal CT scan reports a pancreatic pseudocyst of 430cc, with a thick wall of 6mm compressing the stomach. A laparoscopic approach was performed and a transgastricgastrocysto anastomosis completed without complications. Surgical time was 120 minutes, patients eat at 48 hours and was discharged at 72 hours uneventfully and without relapse at 4 months follow up.

Conclusion: Laparoscopic resolution of pancreatic pseudocyst is a feasible and safe procedure in well trained hands, offering all the advantages of laparoscopy to the patients.

Keywords: pancreatic pseudocyst, laparoscopic techniques, pancreatitis complications

Introduction

Pancreatic pseudocyst is one of the most frequent late complications after acute or chronic pancreatitis, with an average incidence between 6.6–20% in some series depending on the origin.1 It is defined as an encapsulated collection of extravasated pancreatic exocrine secretions with a non-epithelial cover, it is presented in the course of 4 to 6 weeks after acute pancreatitis episode and almost 85% presents spontaneous resolution.2 In the other 15% of cases the endoscopic or surgical drainage is necessary to avoid significant complications associated like hemorrhage, rupture or splenic vessels thrombosis.3

Case report

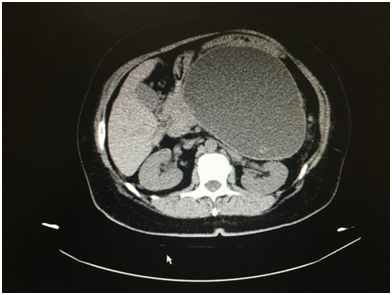
A female of 45 years old presented to emergency room for intense abdominal pain the last 8 hours that did not diminished with analgesic consumption. She had pathological background of acute biliary pancreatitis 8 weeks ago, and underwent laparoscopic cholecystectomy 2 days after resolution of this. Patient refers that the last two weeks she noticed postpandrial fulfill and a mild epigastric pain, constant and no related with any factor that she could identify. The last two days the abdominal pain increase without irradiation and she began with throwing after food intake. At physical exam she had dehydrated tissues and mucous membranes, with adequate ventilation, 24 breathings per minute secondary to pain, abdomen with distention in epigastrium and with a palpable mass at this level of about 12 centimeters in diameter, it can be mobilized partially and increase the pain at palpation. The rest of the physical exam was normal. A CT scan was requested, and reported a collection in the front wall of the pancreas of 160x80x73mm and a volume of 430cc, with a thick wall (6mm) and heterogeneous hypo-echogenic content (Figures 1-3). A pancreatic pseudocyst was diagnosed and a laparoscopic approach was decided according to our previous experience in the development of this technique and the good results. A transgastric approach was performed with previous opening of the anterior gastric wall (Figure 4) (Figure 5), drainage of 500cc of pancreatic liquid, and an anastomosis performance between pseudocyst anterior wall and gastric posterior wall with prolene 00 with a continuous stitch (Figure 6), and posterior close of the anterior gastric wall with another continuous stich of the same suture (Figure 7). Total bleeding was estimated in 20cc and surgical time was 120 minutes, 40 minutes less than our first case. Only four trocar ports were used, 2 of 5mm (epigastric and in right hypochondrium) and 2 of 12 mm (umbilical and left hypochondrium). Patient began feeding after 48 hours and was discharged at 72 hours uneventfully. At four months follow up she still asymptomatic.

Figure 1 Abdominal CT scan, axial view showing the pancreatic pseudocyst and gastric compression.

Figure 2 Abdominal CT scan, sagital view with bowel displacement and gastric compression.

Figure 3 Abdominal CT scan lateral view showing the location between left kidney and gastric posterior wall against abdominal wall.

Figure 4 Laparoscopic approach and opening of gastric anterior wall.

Figure 5 Opening with scissors of gastric posterior wall and pseudocyst anterior wall.

Figure 6 4 cm communication between stomach and pseudocyst to create anastomosis.

Figure 7 Closing anterior gastric wall with a continuous stich of polypropylene.

Discussion

The pancreatic pseudocyst is a fluid collection rich in pancreatic secretions by a leakage from the pancreatic ducts. They are called pseudocyst because they lack an epithelial lining and are surrounded by a wall of fibrous or granulation tissue.4

The incidence of this pathology is reported in 6.6% in biliary and 20% in alcoholic etiology. Almost 85% could have a spontaneous resolution within 8 weeks from presentation without any treatment. The presentation begins 4 to 6 weeks after the pancreatitis event and begins with symptoms like abdominal pain, postpandrial plenitude, sometimes loss of weight, and in 5% of the cases it is presented with some complications like hemorrhage, infection, rupture and peritonitis signs.3,4

The drainage of this lesions is indicated when the symptoms persist more than 6 weeks, when the cyst is larger than 6cm in diameter, is rapidly enlarging or some complication is present.4,5 The options for drainage include endoscopic function, open surgical drainage with cystogastrostomy, cystoduodenostomy and Roux-en-Y cystojejunostomy, or these techniques with minimally invasive approach by laparoscopy. The endoscopic drainage is indicated when there is an immature cyst or is infected, is the less invasive but the recurrence is as high as 30%.2

Surgical approach offers the lower recurrence rate with 5-10%, for this reason is the gold long term results option. The technique to be applied depends on the location of the cyst with the cystogastrostomy as the more frequent by the location in the back of the stomach.2,4

In the last decade the laparoscopic approaches have been evolving to complete most of the abdominal surgical procedures with great results, and for this reason the management of pancreatic pseudocyst have been tried since years ago in some other countries with great results. In our country some surgical centers of third level with well-trained surgeons have applied this technique with good outcomes and as in the present case, we have completed our second case in a second level hospital with great results.

The laparoscopic approach had demonstrated some advantages like shorter operating time, less bleeding, less postsurgical pain, less manipulation and better gastrointestinal function recovering bowel moves sooner, minimal scars and total satisfaction of patient with the procedure.2–5

Conclusion

Laparoscopic approach to multiple abdominal pathologies like pancreatic pseudocyst is feasible and add multiple advantages to management and post-surgical evolution in trained hands, with better results and increased patient satisfaction compared with open drainage.

Acknowledgements

None.

Conflict of interest

The author declares there is no conflict of interest.

References

Creative Commons Attribution License

©2018 Angel, et al. This is an open access article distributed under the terms of the, which permits unrestricted use, distribution, and build upon your work non-commercially.