Submit manuscript...
MOJ
eISSN: 2381-179X

Clinical & Medical Case Reports

Case Report Volume 4 Issue 3

Multiple relapses of visceral leishmaniasis after combination therapy in immunocompetent patient: case report

Pratibha Prasad, Shyam Sundar

Department of General medicine, Banaras Hindu University, India

Correspondence: Pratibha Prasad, Department of General medicine, Institute of medical science, Banaras Hindu University, Varanasi-221005, Uttar Pradesh, India

Received: November 01, 2015 | Published: May 2, 2016

Citation: Prasad P, Sundar S. Multiple relapses of visceral leishmaniasis after combination therapy in immunocompetent patient: case report. MOJ Clin Med Case Rep. 2016;4(3):63-64. DOI: 10.15406/mojcr.2016.04.00088

Download PDF

Introduction

Leishmaniasis are caused by an intracellular protozoa of the genus Leishmania and the transmission by the vector sand fly may be anthroponotic or zoonotic. It is endemic in many countries, nearly two million cases are infected annually, out of which visceral leishmaniasis (VL) accounts for about 500 000 cases each year.1,2 The manifestation of visceral leishmaniasis varies from asymptomatic to severe forms depending on the immunocompetency of the host. When the immune system is suppressed as in conditions like HIV infection or immunosuppressive treatments, there are higher chances to get either reactivation or relapses of the disease. It is rare that immunocompetent patients get spontaneous reactivation and if it does, it is mainly due to drug resistance or suboptimal treatment regimens.3,4 Hence we report an unusual case of an middle aged immunocompetent patient who had multiple VL relapses, despite appropriate treatment with liposomal amphotericin B (L-AmB), mitelfosine and paromomycin sulphate.

Case presentation

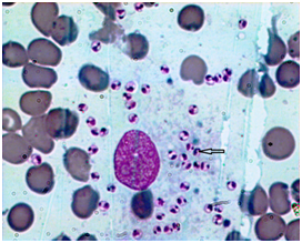
A 51-year-old Nepali man, president of Viratnagar, developed intermittent fever with chills and rigors, fatigue, loss of appetite, abdominal pain and heaviness for one month. His fever did not subside despite receiving many antibiotics. In 2011 he was admitted in a government hospital in luck now. On examination he was conscious oriented with low grade fever, has moderate pallor and without any peripheral lymphadenopathy. He had splenomegaly of 10cm extending below the left costal margin. Rest of the systemic examination was unremarkable. His previous medical history was not significant. He was suspected to be having kala azar clinically. Laboratory investigation showed leucopenia (leukocytes: 3100/μL), normochromic-normocytic anemia (hemoglobin 6.8g/dL) and moderate thrombocytopenia (platelets: 72,000/μL). The liver and renal function tests were normal except for elevated serum globulins (5.6g/dL). There was a polyclonal γ-globulin pattern on serum protein electrophoresis but the monoclonal component was not detected. His chest X-ray and urine analysis were normal. Blood and urine culture results were negative. rk 39 test was positive. Diagnosis of Kala Azar (KL) was confirmed by the presence of Leishmania Donovani (LD) bodies in the bone marrow (Figure 1). He was given injection sodium stibogluconate (8ml) i.m. daily for 20days. Following this his fever subsided and appetite improved. The spleen reduced to 7cm and complete blood count recovered. 4months later he presented with similar complaints and was admitted again in luck now hospital. The laboratory tests showed leucopenia, anemia and thrombocytopenia again. The physical examination was normal except for splenomegaly of 6cm. His blood and urine cultures were still negative and a new CT abdomen showed no pathological findings rk 39 test was positive. A bone marrow examination showed the presence of Leishmania amastigotes. On account of his previous history, he was treated with Amphotericin B (AmB) deoxycholate 1mg/kg/day for 15days intravenously. The treatment was uneventfully and there was prompt remission of the patient’s symptoms clinically and biochemically.

Figure 1 Showing amastigote of Leishmania donovani in the bone marrow by a black arrow head.

However, four months later, the patient was hospitalized again for a new episode for VL which was confirmed with a new bone marrow biopsy. He was given a complete course of AmB deoxycholate 1mg/kg/day for 20days intravenously and was discharged on request. 2months later, in February 2012 he was hospitalized again in our SS Hospital in B.H.U. for a new episode for VL Splenic aspirate showed LD bodies (3+). The biochemical tests were similar as in previous reports. In order to evaluate the immune status of our patient CD4 cell count was measured which was found to be relatively low (107/μm3). Work up for the etiology included the tests for hepatitis A,B, and C, Coxsackie virus, herpes simplex virus, Epstein-Barr virus, cytomegalovirus, human immunodeficiency virus, human T-lymph tropic virus type 1 and 2, toxoplasma, VDRL , Rickettsia conorii which were negative. Serology for rheumatoid factor, antinuclear antibodies, anti-Jo-1,antibodies to double-stranded deoxyribonucleic acid (DNA), anti-Sm, anti-Ro/SSA, anti- La/SSB, anti-histones, anti-ribonucleoprotein, anti-Scl-70, anti-mitochondrial antibodies, anti-smooth muscle antibodies, centrally accentuated antineutrophil cytoplasmic antibodies (c-ANCA), perinuclear antineutrophil cytoplasmic antibodies (p-ANCA), anti-cardiolipin, and lupus anticoagulant was negative. L-AmB was given intravenously 3mg/kg/day (total 15mg/kg) for 5 doses on every alternate day with continuous monitoring of potassium and creatinine. Oral Mitelfosine was administrated in a dosage of 100mg per day for 28days. Treatment was generally well tolerated.

One year later, the patient was admitted again in BHU hospital for similar complaints. The laboratory tests once again revealed pancytopenia. His test results for Leishmania antibodies via splenic aspirate (4+) and K39 antigen were positive. As per the patient’s financial status and since there have been previous 3 relapses, a new course of AmB deoxycholate administration was decided in a dose of 1mg/kg/day for one month. He had a complete a clinical and laboratory response. 7months later in 2013 he again presented with fifth relapse of KL having pancytopenia and splenomegaly of 10cm on examination. CD4 count was persistently found to be low i.e. 100cell/cu.mm. This time high-dose L-Amb was administered in a dose of 25mg/kg given in divided doses (3mg/kg for continuous 5days and on days 10,15,20,25,30) in addition to paromomycin sulphate 15mg/kg/day intramuscularly for 28days. Nevertheless, the administration of this combination therapy resulted in complete clinico-laboratory response. Spleen size reduced to 2cm, On the basis of his previous history a secondary prophylaxis with L-AmB once per month at a dose of 3mg/kg was scheduled to prevent further disease relapses. Currently, almost a year after the last VL episode, the patient was in good health with normal blood parameters.

Discussion

In the immunocompetent host, VL is caused by a primary infection with Leishmania parasites transmitted by the bite of a phlebotomine sand fly. The clinical outcome of infection depends on host immune response. The disease usually leads to a complete cure on appropriate treatment but can be fatal if untreated. Anti-leishmanial treatment is based on the systemic administration of one or a combination of effective drugs. Though pentavalent antimonials have been the standard first-line medicines for many decades, recent therapeutic advances in Indian kala-azar include demonstration of the efficacy of short-course treatment using the lipid formulations of amphotericin B,5 identification of mitelfosine as the first effective oral agent,6 and rediscovery of paromomycin.7 Lipid formulations of amphotericin B, and in particular liposomal amphotericin B, are considered to be the drugs of choice for the treatment of VL.1,8 Though liposomal amphotericin B is highly effective as monotherapy, combination treatment should be considered for other drugs, with the advantages of shortening the duration of treatment, reducing the overall dose of medicines, and reducing the probability of selection of drug-resistant parasites.1,8 Recurrence of the disease is rare in the immunocompetent host; relapses can occur soon after the end of therapy and are generally responsive to a new course of treatment.9

Our patient, despite being immunocompetent, presented with recurrent kala azar symptoms. He was treated with multiple drug combinations. Initially he was treated with sodium stibogluconate, later after relapse he was switched to Amb deoxycholate alone. On further relapse, L-Amb was given in combination with mitelfosine. Still the patient relapsed and finally was given high dose L-Amb with paromomycin. This is the very unusual case being reported with relapse due to multiple drugs especially with liposomal amphotericin B with mitelfosine and paromomycin.

The cause of this relapse is unclear.. However we believe that relapse could have been due to Leishmania strain, incomplete treatment and/or visceral parasite burden. Moreover the emergence of drug resistance to antimonials in India, where there has been widespread misuse, shows that the threat of resistance is real.10 To what extent this risk applies equally to all drugs, particularly to liposomal amphotericin B, is debatable. Given the limitations of tests for drug sensitivity, our limited understanding of the mechanism and determinants of drug resistance towards anti leishmanial, and the scarcity of pharmacokinetic or pharmacodynamic data,11 the formulation of an evidence-based drug policy for visceral leishmaniasis remains a challenge.

Acknowledgements

None.

Conflict of interest

The author declares no conflict of interest.

References

  1. World Health Organization. Control of the Leishmaniases. WHO Technical Report Series. 2010;949:1–186.
  2. Alvar J, Ve´lez ID, Bern C, et al. WHO Leishmaniasis Control Team. Leishmaniasis worldwide and global estimates of its incidence. PLoS One. 2012;7(5):e35671.
  3. Weigle K, Saravia. Natural history, clinical evolution, and the host parasite interaction in New World cutaneous leishmaniasis. Clin Dermatol. 1996;14(5):433–450.
  4. Desjeux P. The increase in risk factors for leishmaniasis worldwide. Trans R Soc Trop Med Hyg. 2001;95(3):239–243.
  5. Olliaro PL, Guerin PJ, Gerstl S, et al. Treatment options for visceral leishmaniasis: a systematic review of clinical studies done in India, 1980–2004. Lancet Infect Dis. 2005;5(12):763–774.
  6. Sundar S, Jha TK, Thakur CP. Oral mitelfosine for Indian visceral leishmaniasis. N Engl J Med. 2002;347(22):1739–1746.
  7. Sundar S, Jha TK, Thakur CP, et al. Injectable paromomycin for visceral leishmaniasis in India. N Engl J Med. 2007;356:2571–2581.
  8. Antinori S, Schifanella L, Corbellino M. Leishmaniasis: new insights from an old and neglected disease. Eur J Clin Microbiol Infect Dis. 2012;31(2):109–118.
  9. Colomba C, Scarlata F, Salsa L, et al. Mediterranean visceral leishmaniasis in immunocompetent children. Report of two cases relapsed after specific therapy. Infez Med. 2004;12(2):139–143.
  10. Bryceson A. A policy for leishmaniasis with respect to the prevention and control of drug resistance. Trop Med Int Health. 2001;6(11):928–934.
  11. Croft SL, Sundar S, Fairlamb AH. Drug resistance in leishmaniasis. Clin Microbiol Rev. 2006;19(1):111–126.
Creative Commons Attribution License

©2016 Prasad, et al. This is an open access article distributed under the terms of the, which permits unrestricted use, distribution, and build upon your work non-commercially.