Submit manuscript...
MOJ
eISSN: 2381-179X

Clinical & Medical Case Reports

Case Report Volume 6 Issue 2

Multiple cerebellar abscesses in a 6 year old with uncorrected congenital heart disease: anaesthetic challenges

Adigun Tinuola Abiodun

Department of Anaesthesia, University College Hospital, Nigeria

Correspondence: Adigun Tinuola Abiodun, Department of Anaesthesia, University College Hospital, Nigeria

Received: October 26, 2017 | Published: February 13, 2017

Citation: Adigun TA. Multiple cerebellar abscesses in a 6 year old with uncorrected congenital heart disease: anaesthetic challenges. MOJ Clin Med Case Rep. 2017;6(2):35-37. DOI: 10.15406/mojcr.2017.06.00152

Download PDF

Introduction

Brain abscess is a frequent complication in patients with congenital heart disease.1 The reported incidence of brain abscess in patients with cyanotic heart disease is 5-18.7% with cerebellar abscess comprising 6-35% of all brain abscesses. Management of intracranial abscess is usually by antibiotic therapy for 6-8weeks and drainage of the abscess. Cerebellar abscesses are more dangerous due to the small volume of the posterior fossa space and more resistant to antibiotics therapy than cerebral abscesses.2 General anaesthesia for patients with cyanotic congenital heart disease is challenging as the pathophysiology of the uncorrected congenital heart disease (CHD) coupled with effect of compromised neurological system increases the risk of surgery and anaesthesia. A case report on anaesthetic management of a 6year old boy with uncorrected cyanotic congenital heart disease and right hemispheric cerebellar abscesses due to paradoxical emboli for decompressive craniectomy is hereby discussed with its anaesthetic challenges.

Case report

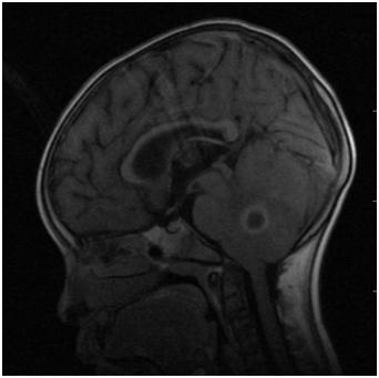
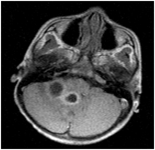
A 6year old boy weighing 14kg (expected weight=20kg) was referred to the neurosurgical unit of University College Hospital, Ibadan, with complaints of headache, vomiting, fever and unsteady gait of one week duration. There was no history of ear ache or ear discharge, scalp infection, trauma, seizure or any other systemic disorder. He was diagnosed to have multiple right cerebellar hemispheric abscesses based on Magnetic Resonance Imaging (MRI) finding of rings enhancing masses in the cerebellum (Figures 1) (Figure 2). He is a known patient of the paediatric Cardiology unit with uncorrected congenital heart defect. Pregnancy birth and neonatal history were uneventful until 5months of age when he was diagnosed with congenital heart disease and has been on follow up until this present illness. He has never been in heart failure and was not on any cardiac medication. Patient was awaiting surgery for the heart defect when he developed this present illness. His physical examination revealed a small for age child, afebrile, not pale, anicteric but has central cyanosis and peripheral oxygen saturation (SpO2) was 85% in room air with grade 2 digital clubbing.

Figure 1 MRI showing the cerebellar abscess.

Figure 2 MRI showing multiple cerebellar abscesses.

The central nervous system examination revealed a conscious and well oriented child with no sign of raised intracranial pressure. All cranial nerves were intact but had high stepping gait on the right lower limb, intention tremor of the right hand and dysdiadokokinesia. The pulse rate was 88beats/minute, normal volume and regular, blood pressure was 110/60mmHg, heart sounds 1 and 2 with grade 4/6 pansystolic murmur loudest at the left lower sternal edge were heard. The Respiratory rate was18cycles /minute, vesicular breath sounds with no added sound.

Laboratory investigations revealed packed cell volume of 46.5%, electrolytes were within normal range, and platelet count was 524x109/uL. International normalizing ratio was 1.09. Electrocardiograph (ECG) showed complexes with aberrant interventricular conduction, abnormal right axis deviation and left posterior fascicular block. Echocardiography showed double outlet right ventricle atria and ventricular septal defects with pulmonary stenosis, the ejection fraction was 60%.The chest X-ray showed an enlarged cardiac shadow.

The patient was assigned ASA 3, Informed consent was taken and the parents were counseled on the risk of surgery. Provision was made for invasive monitoring (triple lumen central venous pressure catheterization and invasive arterial blood pressure).

He was brought into the theatre with a 22 intravenous cannulain fusing Normal saline solution at 48ml/hour. A dose of intravenous ceftriaxone 500mg was given prior to induction of anaesthesia. The patient was connected to multi parameter monitor for monitoring of the ECG, Noninvasive blood pressure (NIBP), Oxygen saturation (SpO2) and temperature. The baseline vital signs were; heart rate 124/minute, blood pressure 118/70mmHg and SpO2 78%.

 The patient was premedicated with intravenous atropine 0.2mg, after preoxygenation with 100% of oxygen for 3 minutes, the oxygen saturation improved to 100%, induction of anaesthesia was with intravenous ketamine 50mg and intubation was facilitated with intravenous pancuronium 1.4mg, size 5mm endotracheal tube was used and after ensuring correct placement of tube, patient was ventilated mechanically, anaesthesia was maintained with inhalational agent isoflurane 0.6% and 100% of oxygen. Invasive monitoring was established after induction of anaesthesia, the central venous pressure was 10cm of H2O and invasive blood pressure was 80/40mmHg. The bladder was catheterized to monitor the urinary output. The patient was positioned prone with pressure areas protected and the abdomen free. He developed hypotension thereafter, with the blood pressure as low as 50/30mmHg and SpO2was reduced to 80% on 100% of oxygen. Isoflurane was turned off and noradrenaline infusion was commenced at 0.004mcg/kg via the central venous line. Anaesthesia was thereafter maintained with Isoflurane 0.2% in 100% of oxygen and analgesia was with fentanyl 1mcg/kg. The SpO2 was between 90-95%, stable haemodynamic was achieved intraoperatively with a mean arterial blood pressure between 70-100mmHg, heart rate 60-90beats/minutes and end tidal CO2 at 35-45mmHg.

Right craniectomy was performed and 15mls of abscess was drained. Surgery lasted one hour and blood loss was minimal less than 10mls. In supine position, residual neuromuscular block was reversed with neostigmine 0.7mg and atropine 0.28mg. After suctioning of the airway, he was extubated awake and transferred to intensive care unit with oxygen.

 One hour postoperative, vital signs in the intensive care unit were heart rate 120/minute, respiratory rate 32cycle/minute and oxygen saturation 95% on oxygen by face mask. Patient spent two days in ICU and later transferred to the ward and had 6 weeks of ceftriaxone and flucloxacilline.

Discussion

A brain abscess is an intra-parenchymal collection of pus. The incidence of brain abscess is approximately 8 % of intracranial masses in the developing countries and 1-2% in the developed countries. Cerebellar abscess however constitutes 6-35% of all brain abscesses, it is a potentially life threatening condition due to small sized posterior fossa and the possibility of causing brain stem compression.3 Predisposing factors to brain abscess included cyanotic congenital heart disease, infection from contiguous structures like otitis media, sinusitis, mastoiditis, soft tissue infection of the face, scalp or dental infection.4–6 However source of infection may be absent in 20% of cases.6

This patient has pulmonary stenosis and atrial and ventricular septal defects, causing right to left shunting that bypasses the filtering of pulmonary capillaries leading to paradoxical flow of septic emboli to the brain causing brain abscess. Cyanosis is as a result of right to left shunting of unsaturated blood to the systemic circulation resulting into arterial hypoxemia. Cyanotic patients often have heart failure, pulmonary hypertension and arrhythmia these can cause severe haemodynamic instability. Cyanosis causes polycythemia and hypercoagulability state.4 However, this patient did not have cardiac decompensation preoperatively.

The anaesthetic challenges observed in this patient included hypoxia, hemodynamic instability, prone position, air embolism and infective endocarditis. General anaesthesia with controlled ventilation has the advantage of better oxygenation but can be associated with hemodynamic instability and impaired gas exchange from myocardial depressant effect of the anaesthetic agents.

Anaesthesia begins with a thorough pre anaesthetic review involving history, physical examination particularly cardiac and neurological status. Investigations of interest included, heamatocrit, electrolyte and urea, Echocardiography and coagulation profile. Fever and vomiting may cause dehydration. Prolonged fasting should therefore be avoided and intravenous fluid is necessary before surgery. Heamatocrit above 65% will necessitate phlebotomy, however phlebotomy was unnecessary preoperatively in this patient and coagulation profile was also normal.

Ketamine was used as an induction agent in this patient with good response. Ketamine is an ideal induction agent because it maintains systemic vascular resistance, mean arterial pressure and peripheral vascular resistance, and it has been found not to increase intracranial pressure or cerebral blood flow in ventilated neurosurgical patients with mildly elevated intracranial pressure, making it a possible agent that can be used in patients with congenital heart disease.7,8 However, Raha et al. avoided ketamine in patients with congenital heart disease scheduled for intracranial surgery instead high dose opioid with benzodiazepine were used.4 Etomidate could also be used because it is cardio stable but it was unavailable in our center.

Isoflurane, sevoflurane, fentanyl and midazolam have been all used successfully in children with for maintenance of anaesthesia since they have no effect on the shunt fraction of children with shunts.9 However hypotension and reduced oxygen desaturation were observed with isoflurane use and its concentration was reduced to 0.2MAC.

Noradrenaline was used to improve the myocardia contractility and cardiac output to keep the mean arterial blood pressure above 90mmHg and to allow the oxygen saturation above 95%. Placing the patient prone was also a challenge during the management of this patient. Prone positioning has been found to decrease blood pressure and cardiac function during spine surgery however studies have found that adequate fluid replacement reduced the hypotension and hemodynamics instability in patients in prone position.10

Meticulous care was taken to prevent air bubbles from entering the intravenous line into the vein as this was also a preventable cause of perioperative morbidity in patients with shunting as air or particulate matter can be shunted directly into the arterial bed.

The patient had uneventful anaesthetic course without intraoperative diuresis or any other maneuvers to reduce the intracranial pressure. Hypoxia, hypovolemia and hypotension were avoided in this patient resulting in a good outcome. Postoperative care included intensive care monitoring, appropriate fluid management and good pain control.

Conclusion

Patients with uncorrected congenital cyanotic heart disease is a poor candidate for anaesthesia but with a careful administered general anaesthesia with controlled ventilation and invasive monitoring; hypoxia, hypovolemia and hypotension are avoided leading to a better outcome in this group of patients.

Acknowledgements

None.

Conflict of interest

The author declares no conflict of interest.

References

  1. Takeshita M, Kagawa M, Yato S, et al. Current treatment of brain abscess in patient with congenital cyanotic heart disease. Neuro Surg. 1997;41(6):1278–1279.
  2. Raza MW, Shad A Pedler ST, et al. Penetration and activity of antibiotics in brain abscess. J Coll Physician Surg pak. 2005;15(3):165–167.
  3. Atiq M, Ahmed US, Allana SS, et al. Brain abscess in children. Indian J Pediatri. 2006;73(5):401–404.
  4. Raha GA, Ganjoo P, Singh A, et al. Surgery for brain abscess in children with cyanotic heart disease; An anaesthetic challenge. J Pediatr Neurosci. 2012;7(1):23–26.
  5. Agrawal D, Suri A, Mahapatra AK. Primary excision of pediatric posterior fossa abscesses– Towards zero mortality. A series of nine cases and review. Pediatr Neurosurg. 2008;38(2):63–67.
  6. Oberdorfer P, Kongthavonsakul K, Intachumpoo P, et al. A 14 year old girl withTuberculous otitis media and brain abscess. BMJ Case Report. 2012;pii:bcr2012006618.
  7. Mayberg TS, Lam AM, Matta BF, et al. Ketamine does not increase cerebral blood flow velocity or intracranial pressure during isoflurane / Nitrous oxide anaesthesia in patients undergoing craniotomy. Anesth Analg. 1997;81(1):84–89.
  8. Williams GD, Philip BM, Chu LF, et al. Ketamine does not increase pulmonary vascular resistance in children with pulmonary hypertension undergoing sevoflurane anesthesia and spontaneous ventilation. Anesth Analg. 2007;105:1578–1584
  9. Rivenes SM, Lewin MB, Stayer SA, et al. Cardiovascular effects of sevoflurane, isoflurane, halothane, and fentanyl–midazolam in children with congenital heart disease:an echocardiographic study of myocardial contractility and hemodynamics. Anesthesiology. 2001;94(2):223–229.
  10. Dharmarams D, Jellish WS, Nockel RP, et al. Effect of prone positioning system on hemodynamic and cardiac function during lumbar spine surgery:echo cardiographic study. Spine. 2006;20(12):1388–1393.
Creative Commons Attribution License

©2017 Adigun. This is an open access article distributed under the terms of the, which permits unrestricted use, distribution, and build upon your work non-commercially.