Submit manuscript...
MOJ
eISSN: 2381-179X

Clinical & Medical Case Reports

Case Report Volume 6 Issue 2

Migratory foreign body – an unusual cause of vesical calculus

P Puvai Murugan

Department of Urology, PSG Institute of Medical Sciences and Research, India

Correspondence: Puvai Murugan P, Department of Urology, PSG Institute of Medical Sciences and Research, India, Tel 0919941184770

Received: February 24, 2017 | Published: March 1, 2017

Citation: Murugan PP. Migratory foreign body – an unusual cause of vesical calculus. MOJ Clin Med Case Rep . 2017;6(2):51-53. DOI: 10.15406/mojcr.2017.06.00157

Download PDF

Abstract

Migratory foreign bodies of the urinary bladder are rare. However there is always a possibility of longstanding foreign bodies in adjacent structures to erode and perforate into the bladder. Once inside the bladder these foreign bodies act as nidus for stone formation. A Forgotten Copper T Intrauterine device placed about 16years back has migrated into the bladder resulting in formation of large vesical calculus and patient presented with lower urinary tract symptoms. Imaging studies (Ultrasound, X-ray, and CT scan) showed the Copper T embedded in the stone, which was removed by open cystolithotomy. Clear instruction to the patients and periodic follow up of patients in whom foreign devices are used for therapeutic purposes will avoid to a major extent the complication due to these devices.

Keywords: bladder stone, vesical calculus, foreign body

Background

Foreign bodies such as Double J Stent, Copper T, Prolene mesh, orthopedic screws are used for various therapeutic purposes in and around bladder. These devices when left for prolonged duration of time have a tendency to erode and perforate into the bladder. Normally the urine has to be supersaturated for stone formation to occur, but in the presence of foreign body stone formation occurs in normal unsaturated urine itself with foreign body acting as nucleus around which stone is formed. Hence it is prudent to have a diligent follow up of these patients. We present one such case of forgotten foreign body.

Case presentation

41year old lady presented increased frequency of urination, nocturia and dysuria for 6months. Significant past history being, in spite of Copper T insertion 16years back, patient had a successful term pregnancy 2years after Copper T insertion. There is no history of Copper T removal till now.

Investigations

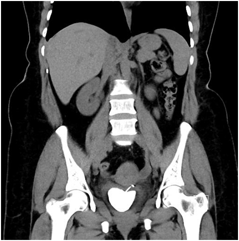
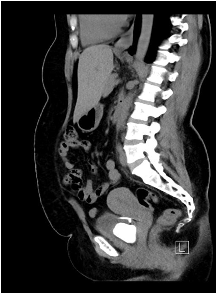
On initial evaluation with ultrasound (Figure 1) revealed a vesical calculus. On further evaluation with X-ray KUB (Figure 2) and CT Scan (Figure 3) (Figure 4) showed large laminated vesical calculus and Copper T seen outside the uterus with horizontal portion in the vesicouterine pouch, long vertical portion seen protruding into the urinary bladder lumen through the posterior wall partly encased in the vesical calculus.

Figure 1 Ultrasound.

Figure 2 X-ray KUB.

Figure 3 CT showing Calculus and vertical limb of Cu-T.

Figure 4 CT Showing Copper T Horizontal limb in Vesicouterine pouch.

Management

In view of large stone with Copper T and one limb of Copper T outside the bladder, Cystoscopy and open cystolithotomy (Figure 5) was performed. Intraop findings were consistent with CT scan. Postoperative course was uneventful and patient was relieved of symptoms.

Figure 5 Vesical calculus with Copper T –Specimen.

Discussion

The usage of synthetic foreign devices for therapeutic purposes is associated with various adverse events. One such adverse event due to long standing foreign body around the bladder is migration into bladder and vesical calculus formation. The Mechanism by which these foreign bodies migrate is by erosion and perforation. Various migratory foreign bodies found in bladder include Intrauterine Contraceptive devices,1–3 Fish bone,4 Vascular Graft,5 Vaginal pessary,6 Mesh,7 Weck clips,8 Staples9 and Artificial Urinary Sphincter. These foreign bodies once inside the bladder predispose to stone formation by acting as nucleus around which stone formation in normal unsaturated urine. The resultant stone or the foreign body itself cause lower urinary tract symptoms and predispose to recurrent urinary tract infection causing great morbidity.

 The diagnosis of the migration is usually by either an ultrasonography or Plain X-ray KUB region. CT scan helps to clearly delineate the exact location of the foreign body as in the present case. Cystoscopy is useful in case of radiolucent foreign body such as Mesh.

Treatment options include minimally invasive methods like cystoscopic removal, cystolithoplaxy or percutaneous cystolithotomy and open or laparoscopic cystolithotomy.10 Open procedure is preferred when the foreign body is only partially inside the bladder lumen or embedded in the bladder wall.

Clear instruction to the patients and periodic follow up of patients in whom foreign devices are used for therapeutic purposes will avoid to a major extent the complication due to these devices.

Learning points

  1. Long Standing Foreign bodies around bladder can migrate into bladder by erosion and perforation.
  2. Foreign bodies inside bladder act as nidus around which stone formation occurs even in unsaturated urine
  3. Clear instruction to the patients and periodic follow up of patients in whom foreign devices are used for therapeutic purposes will avoid to a major extent the complication due to these devices.

Acknowledgements

None.

Conflict of interest

The author declares no conflict of interest.

References

  1. Mustafa M. Erosion of intrauterine contraceptive device through the bladder wall causing calculus. Urol Int. 2009;82(3):370–371.
  2. Singh I. Intravesical Cu–T emigration an atypical and infrequent cause of vesical calculi. Int Urol Nephrol. 2007;39(2):457–459.
  3. Datta B, Ghosh M, Biswas S. Foreign bodies in urinary bladders. Saudi J Kidney Dis Transpl. 2011;22(2):302–305.
  4. Cho MK, Lee MS, Han HY, et al. Fish bone migration to the urinary bladder after rectosigmoid colon perforation. World J Gastroenterol. 2014;20(22):7075–7078.
  5. Augustin Pirvu, Caroline Ducos, Carmine Sessa, Jean Luc Magne, Unusual foreign body in urinary bladder due to vascular surgery intervention, Urology 81(2):e11–e12.
  6. Rogo Gupta L, Le NB, et al. Foreign body in the bladder 11 years after intravaginal pessary. Int Urogynecol J. 2012;23(9):1311–1313.
  7. A Hamonda, J Kennedy, N Grant, et al. Mesh erosion into the urinary bladder following laparoscopic hernia repair; is this the tip of iceberg? Hernia. 2010;14(3):317–319.
  8. Barks EB, Kamani A, Monga M. Intravesical weck clip migration after laparoscopic radical prostatectomy. Urology. 2008;71(2):351–353.
  9. Sarkis P, Sleilaty F. Biajini J. Bladder and bowel migration of staples used for inguinal hernia repair via transperitoneal laparoscopy. J Med Liban. 2014;62(4):235–237.
  10. Dong Gil Shin, Tae Nam Kim, Wan Lee. Intrauterine device embedded into the bladder wall with stone formation: laparoscopic removal is a minimally invasive alternative to open surgery. Int Urogynecol J. 2012;23(8):1129–1131.
Creative Commons Attribution License

©2017 Murugan. This is an open access article distributed under the terms of the, which permits unrestricted use, distribution, and build upon your work non-commercially.