Case Report Volume 11 Issue 1
Department of Medical Oncology, Hassan II Unversity Hospital, Morocco
Correspondence: Soumia Berrad, Department of Medical Oncology, Hassan II Unversity Hospital, Morocco
Received: December 20, 2020 | Published: January 25, 2021
Citation: Berrad S, Benbrahim Z, Lokonga VW, et al. Metastatic ovarian cancer to the gallbladder indicative of the diagnosis. MOJ Clin Med Case Rep . 2021;11(1):14-16. DOI: 10.15406/mojcr.2021.11.00372
Ovarian cancer is a malignant tumor that usually develops from the surface coating of the ovaries. The most common form is epithelial carcinoma. As a result of its location, and its silent nature responsible for a delay in diagnosis that makes the prognosis rather poor. The usual metastatic sites are the peritoneal cavity, liver and lung. Secondary biliary localization is a rare, even exceptional site. We report the observation of a patient who presented with abdominal pain in the right hypochondrium and progressive vomiting. Abdominal ultrasound revealed a 21 mm gallbladder lithiasis with hepatic steatosis. Abdominal CT scan revealed a large heterogeneous mass with engulfed gallstones. The patient underwent cholecystectomy. Histological study showed moderately differentiated adenocarcinoma and acute cholecystitis. Immunohistochemical staining revealed that the tumor cells were positive for antibodies against CK7, WT1, PAX8 and p53 and negative for CK20 and ER. These results suggest that the tumor was a metastasis of serous ovarian adenocarcinoma. Medical imaging done with abdominal CT showed an ovarian mass with peritoneal carcinosis, serum CA125 was elevated at 97U/ml. Carbohydrate antigen (CA) 19-9 and carcinoembryonic antigen (CEA) levels were normal. The patient received first-line chemotherapy with carboplatin and paclitaxel. After 6 courses of therapy, she achieved a partial clinical, biological and radiological response, in our medical oncology department of the CHU Hassan II from Fez.
The interest of the subject is to report the rarity of this entity as well as the radiological, histopathological, prognostic and therapeutic characteristics.
Keywords: ovarian cancer, metastatic, gallbladder, chemotherapy
Ovarian cancer is the fourth most common gyneco-mammary cancer in women with an incidence of 3.4%.1 With a very high prevalence in industrialized countries, it mainly affects women in the postmenopausal period and represents the fourth leading cause of female death from cancer.
In Morocco, ovarian cancer accounts for about 4% of female cancers, responsible for more than 5% of cancer deaths. The incidence and mortality rates tend to decrease with the progress of treatment.2
Its peculiarity is based on its silent nature responsible for delayed diagnosis and therapeutic difficulty, especially in its extensive forms.
Ovarian cancer can metastasize through the peritoneal, bloodstream, or lymphatic route. The most common sites of metastasis are the peritoneum, abdominal lymph nodes, liver and lung.3
Some studies have reported that cancer of the The ovary may present as obstructive jaundice by invasion of the extrahepatic bile duct by perhepatichilar lymphadenopathy.4
Four metastatic modes of dissemination are described in ovarian cancer. Direct invasion by dissemination to adjacent structures, Lymphatic invasion, and In most cases, this invasion is peritoneal begins with infiltration of the serosa, however Haematogenous dissemination is rare.5 Vesicular metastases indicative of a diagnosis of ovarian cancer are extremely rare.
We report an observation of a 57-year-old patient diagnosed with ovarian cancer secondary to gallbladder localization in the medical oncology department of CHU HASSAN II in Fez.
This is a 52-year-old postmenopausal woman who presented with abdominal pain in the right hypochondrium with progressive vomiting.
Abdominal ultrasound found a 21mm gallbladder lithiasis with hepatic steatosis. Abdominal CT scan revealed a large heterogenous masse with engulfed gallstones. The patient underwent a cholecystectomy.
Macroscopically the gall bladder measured 8x3.5cmand encountered small nodule of 0.3cm.The histological study showed a moderately differentiated adenocarcinoma and acute cholecystitis. Immunohistochemistry staining revealed that tumor cells were positive for anti CK7, WT1, PAX8 and p53 antibodies and negative for CK20 and ER. These results suggest that the tumor was a metastasis from serous ovarian adenocarcinoma.
The abdomino-pelvic scanner showed peritoneal carcinomatosis secondary to a right ovarian mass without digestive thickening or deep adenopathy and without bone abnormalities. We completed with pelvic ultrasound showing a par-uterine mass measuring 81 mm with great abundance effusion.
The serum level of CA125 was high at 97U/ml. Carbohydrate antigen (CA) 19–9 and carcinoembryonic antigen (CEA) levels were normal.
The case was discussed in the tumor board meeting and retained gallbladder metastasis and peritoneal carcinomatosis from high grade serous ovarian cancer.
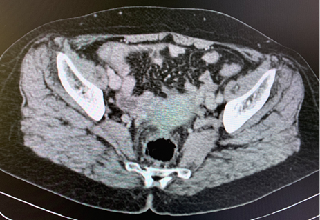
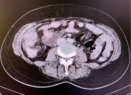
The patient received first line chemotherapy based on carboplatin and paclitaxel. After 6 cures she obtained a partial clinical, biological and radiological response (Fgure 1).
Ovarian cancer is a disease that is asymptomatic for a long time, making early clinical diagnosis difficult and the prognosis of this pathology quite pejorative.5
The metastatic spread of ovarian cancer occurs via the hematogenous lymphatic or transperitoneal route which is the main mode of spread by detachment of malignant cells in the peritoneal cavity.6
Intraperitoneal propagation is also favored by intestinal peristalsis, negative hydrostatic pressure under the diaphragm.7
However, the peritoneal cavity is the site most often involved in 83% to 100%, then lymph node in 50% to 60% of cases, followed by the intestine, liver and lung.8
The gallbladder is a very rare site of ovarian cancer metastasis. It can be invaded either by its wall, or by contiguous masses or by lymph nodes.9
Among the cancers listed metastases to the biliary level are primary cancers of the lung, breast, gallbladder, colon, testes, prostate, pancreas, melanoma and lymphoma. Metastases from Ovarian adenocarcinoma are rarely reported in the literature.
The metastatic lesions appear hyper vascularized on the abdominal injected CT scan. In the present case, hypervascularization was objectived with gallstones.
Immunohistochemical staining plays a crucial role in the histological confirmation of the diagnosis. In this patient, it revealed positive staining WT-1 increasing the optimal treatment for metastatic ovarian cancer at the biliary level with multiple metastatic sites would be chemotherapy. In general, the combination of platinum salts of carboplatin, paclitaxel and bevacizumab is considered to be standard in advanced ovarian cancer.10
Meta-analysis published in 2002 including the 4 trials ,GOG111, OV-10, GOG132, ICON 3, showed a benefit of the combination of paclitaxel-based chemotherapy – platinum,11 2004 consensus statement on the management of ovarien cancer allowed the adoption of paclitaxel carboplatin as standard first-line treatment in metastatic ovarian cancer.12
The SCOTROC scotishpahse III randomized trial comparing of paclitaxel-carboplatin AUC5 versus dopcetaxelcarboplatine as first line chemotherapy for ovarien cancer, demonstrated a similar efficacy in terms of PFS and response, neurosensory toxicity was more marked with paclitaxel while haematological toxicity was statistically higher in the docetaxel arm.13
Several studies haves evaluated the activity of bevacizumab when combined to chemotherapy in ovariancancer,ICON7, GOG 218 Two phase III randomized trials showed that the addition of bevacizumab improved progression-free survival in women with ovarian cancer. The benefits in terms of progression-free and overall survival were greater in people at high risk for disease progression.14,15
Hepatectomy with caudate lobectomy with extrahepaticbil duct can be offered in the presence of a single biliary metastasis.16
Ovarian cancer remains a heterogeneous pathology, which remains for a long time unsymptomatic and with a poor prognosis. It is a rare case of ovarian metastases in the gallbladder, revealing the diagnosis. A correct diagnosis may be possible after a complete clinical evaluation and radiological investigation combined with detailed histological and molecular analysis. Biliary metastases of ovarian cancer often indicate an advanced stage of the disease with a poor prognosis, where treatment with chemotherapy and biotherapy is indicated.
The author declares no conflict of interest.
None.
None.
©2021 Berrad, et al. This is an open access article distributed under the terms of the, which permits unrestricted use, distribution, and build upon your work non-commercially.