Submit manuscript...
MOJ
eISSN: 2381-179X

Clinical & Medical Case Reports

Case Report Volume 5 Issue 3

Management of laryngo tracheal injury our experience

Sanjeev Mohanty, Vinoth Manimaran

Department of ENT, Head & Neck Surgery, Sri Ramachandra Medical College & Hospital, India

Correspondence: Sanjeev Mohanty, Dept of ENT, Head & Neck Surgery, Sri Ramachandra Medical College & Hospital, India, Tel 336-716-0230

Received: November 21, 2016 | Published: December 9, 2016

Citation: Mohanty S, Manimaran V. Management of laryngo tracheal injury our experience. MOJ Clin Med Case Rep. 2016;5(3):233-235. DOI: 10.15406/mojcr.2016.05.00136

Download PDF

Abstract

Laryngotracheal trauma is life-threatening. It is considered to be a rare occurrence but now it is more common due to high speed vehicle accident. Failure to recognize such injuries and promptly secure an airway may have fatal consequences.1 We are reporting 3 cases of blunt trauma following which they developed absolute dysphagia, difficulty in breathing and difficulty in phonation. These patients were promptly and appropriately managed. Two patients were surgically managed and one patient was conservatively managed. They are on regular follow up and are doing well. Here we highlight a successful management of such rare cases.

Introduction

Laryngeal trauma patients present with acute complications that require immediate prompt management by experienced professionals. With an overall mortality approximated at 2%,1 airways management is the priority. External injuries to the larynx threaten both the quality and maintenance of life.2 The quality of phonation is the product of the aerodynamic and myoelastic properties of the larynx.3 Air passing through the glottis is acoustically filtered by the vocal tract4 Essential to preservation of these two laryngeal functions is early recognition, accurate evaluation, and proper treatment of injuries.5 Those patients who need emergent surgery should be identified from a patient who can undergo further investigations at the emergency room. A neck wound that penetrates the platysma is significant.6

Case series

This is a case series of three patients with laryngeal trauma due to varied aetiology who presented in the emergency room with similar complaints but had different management strategies. The first patient is a 40year old male with alleged history of cut throat injury and presented to us with a tracheostomy tube at the wound site. Examination revealed a metal tracheostomy tube at the wound site and has continuous blood stained mucoid secretions.

In the operating room a counter tracheostomy was done and surgical decannulation of the existing tube was done following which pharyngeal injury repair was done with thyrohyoid membrane approximation.

During the post op period, the patient was on ryles tube feed. He was decannulated on the 10th day and started on oral feeds from the 15th day. At the time of discharge he was phonating well with no aspiration or salivary leak.

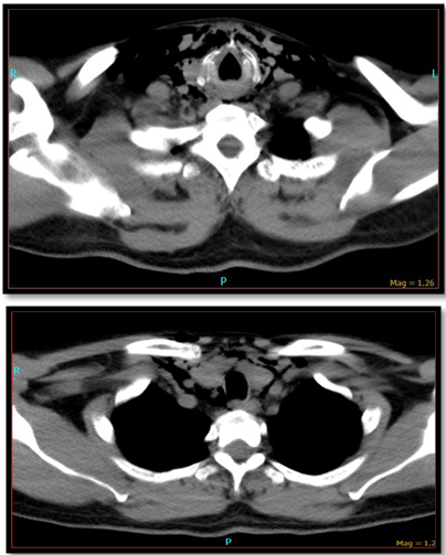
The second patient is a 58year male who came to the emergency room with alleged history of RTA following which he developed difficulty in swallowing and spitting out blood stained sputum. Examination revealed subcutaneous emphysema and tenderness over the laryngeal frame work. CT-neck plain showed extensive emphysema of neck with extension into the superior mediastinum (Figure 1) and fracture of thyroid cartilage at the midline with mild lateral displacement of the right side ala (Figure 2). He was admitted in the intensive care unit and was monitored for 24hours after which tracheostomy followed by neck exploration and laryngeal stabilization under general anesthesia was performed where in the fragmented thyroid cartilages were sutured. He was on ryles tube feed for 2months following which he was decannulated and ryles tube was removed.

Figure 1 X ray soft tissue neck lateral view revealed a defect in the thyrohyoid membrane.

Figure 2 Lower end of the tube abutting the posterior pharyngeal wall.

The third patient is a 25year old male who came to the emergency room with history of accidental strangulation following which he developed pain while swallowing and hoarseness of voice. Examination revealed diffuse swelling in the anterior aspect of the neck and subcutaneous emphysema.

He was admitted in the intensive care unit and monitored for 24hours following which direct laryngoscopy was done under general anesthesia which revealed that the right pharyngo epiglottic fold was transected and supraglottic edema was present. He was conservatively managed with anti inflammatory and anti reflux medications. A video laryngoscopy done six weeks later showed a normal functioning vocal tract.

Discussion

Traumatic airway injuries are fortunately rare. Though injuries can be obvious and initial management straightforward, the diagnosis can be difficult. Laryngeal trauma could either be a blunt trauma or a penetrating injury. It has been reported in US that less than 1 percent of all trauma involves the larynx.7 In the United States, the incidence of both forms of injury in the 1980s ranged from one in 5,000 emergency visits8 and one in 30,000 emergency visits in the 1990s.5 Concurrent injury to the pharynx and/or esophagus is infrequent in both penetrating and blunt laryngeal trauma.9 The most common finding in these patients has been dysphonia and pain/tenderness of the larynx.5 CT imaging is beneficial in patients with a significant history of blunt force trauma to the anterior neck with or without significant abnormal findings on physical examination, particularly with dysphonia or hemoptysis, and if the condition and continuity of the endolarynx and trachea is not observable due to edema or hematoma.3 Video stroboscopic laryngoscopy provides an excellent assessment of vocal fold mobility and integrity, and potential reversibility of injuries.10 Stroboscopic examination is also useful for the assessment of recovery. The timing of early surgical management ranges from within 24hours to several days. However it has been reported by Herbert Harris in 1965 and 1970 that surgery is beneficial within 24hours of injury11,12 Following acute airway management, laryngeal injuries are managed based on the severity of injury and specific elements of each lesion. A classification and treatment protocol has been described by Schaefer5 Group I laryngeal traumas demonstrate only minor laryngeal edema or lacerations. Typically, this group can be treated with steroids, antibiotics, antireflux therapy, close observation. Group II includes more demonstrative edema or hematomas without exposed cartilage. Diagnostic endoscopy and tracheostomy are frequently indicated for this group. Group III laryngeal traumas demonstrate massive edema or large mucosal lacerations. Conservative management includes anti inflammatory, anti relux, antibiotics and corticosteroids. Surgical management includes tracheostomy, direct laryngoscopy and oesophagoscopy open operative interventions and laryngeal stents (Figures 3-7).

Figure 3 pharyngeal injury repair.

Figure 4 Fracture of thyroid cartilage at the midline with mild lateral displacement of the right side ala.

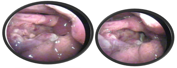
Figure 5 Video laryngoscopy revealed displacement of bilateral aryepiglottic fold.

Figure 6ballooned up arytenoids and displacement fragment of thyroid cartilage.

Figure 7CT- Neck showed extensive subcutaneous emphysema with extension into posterior pharyngeal space and left posterior neck space.

Conclusion

To conclude early airway management, restoration of the phonatory function and effective swallowing is our goal.

Acknowledgements

None.

Conflict of interest

The author declares no conflict of interest.

References

  1. Jewett BS, Shockley WW, Rutledge R. External laryngeal trauma analysis of 392 patients. Arch Otolaryngol Head Neck Surg. 1999;125(8):877–880.
  2. Trone TH, Schaefer SD, Carder HM. Blunt and penetration laryngeal trauma: a 13–year review. Otolaryngol Head Neck Surg. 1980;88(3):257–261.
  3. Schaefer SD. Management of acute blunt and penetrating external laryngeal trauma. Laryngoscope. 2014;124(1):233–244.
  4. Van de Berg J. Myoelastic–aerodynamic theory of voice production. J Speech Hear Res. 1958;1(3):227–244.
  5. Schaefer SD. Acute management of external laryngeal trauma:a 27 year experience. Arch Otolaryngol Head Neck Surg. 1992;118(6):598–604.
  6. Roon AJ, Christensen N. Evaluation and treatment of penetrating cervical injuries. J Trauma. 1979;19(6):391–397.
  7. Gussack GS, Jurkovich GJ, Luterman A. Laryngotracheal trauma:a protocol approach to a rare injury. Laryngoscope. 1986;96(6):660–665.
  8. Bent JP, Silver JR, Porubsky ES. Acute laryngeal trauma: a review of 77 patients. Otolaryngol Head Neck Surg. 1993;109 (3–1):441–449.
  9. Grewal H, Prakashchandra MR, Mukerji S, et al. Management of penetrating laryngotracheal injuries. Head Neck. 1995;17(6):494–502.
  10. Kennedy TL, Gilroy PA, Greene JS, et al. Strobovideolaryngoscopy in the management of acute laryngeal trauma. J Voice. 2004;18(1):130–137.
  11. Harris HH, Ainsworth JZ. Immediate management of laryngeal and tracheal injuries. Laryngoscope. 1965;75:1103–1115.
  12. Harris HH, Tobin HA. Acute injuries of the larynx and trachea in 49 patients. Laryngoscope. 1970;80(9):1376–1384.
Creative Commons Attribution License

©2016 Mohanty, et al. This is an open access article distributed under the terms of the, which permits unrestricted use, distribution, and build upon your work non-commercially.