Submit manuscript...
MOJ
eISSN: 2381-179X

Clinical & Medical Case Reports

Case Report Volume 9 Issue 2

Katayama fever with rare presentation

Mervat Essam Eldin Behiry, Mohamed Sherif Mogawer, Ahmed Mohamed Abdel Ghany, Maha Mohamed

Department of Internal medicine, Cairo University, Egypt

Correspondence: Mervat Essam Behiry, Department of Internal medicine, Faculty of Medicine, Cairo University, Egypt

Received: February 20, 2019 | Published: March 13, 2019

Citation: Mogawer MS, Behiry MEE, Ghany AMA, et al. Katayama fever with rare presentation. MOJ Clin Med Case Rep. 2019;9(2):29-31. DOI: 10.15406/mojcr.2019.09.00296

Download PDF

Abstract

Report on a 16-year-old male came to emergency unit of Internal medicine department at Kasr Alaini hospital with chronic diarrhea of 5months’ duration, significant weight loss, fever, and generalized lymphadenopathy. Marked eosinophilia was the hallmark of his blood picture, patient stool examination revealed large number of Schistosoma mansoniova. Diagnosis of Acute schistosomiasis was confirmed by colonic and ileal biopsies. Katayama fever was considered& the patient received praziquantel as well as oral steroids with marked improvement of his condition. This raises the question if the incidence of acute schistosomiasis in Egypt is considerable.

Keywords: katayama fever, lymphadenopathy, diarrhea

Introduction

Schistosomiasis is a parasitic disease caused by Trematodes of the genus Schistosoma haematobium, mansoni and japonicum, it is the second parasitic disease after malaria as regard the number of patients and people at risk of becoming infected. World Health organization (WHO) consider schistosomiasis as one of the 17 neglected tropical disease affecting more than 1 billion individuals globally.1

The disease was endemic in Egypt. In 1996, the prevalence of S.mansoni was >30%. In 1997, the National Schistosomiasis Control Program (NSCP) 2 started national schistosomiasis eradication program by mass treating the population using Praziquantel and by the end of 2010, only 29 villages in Egypt had prevalence >3%.3

Katayama syndrome or acute schistosomiasis describes patients with fever, itching and eosinophilia after exposure to infected water. Such patients are frequently misdiagnosed as having viral infection once malaria has been excluded. Till now the pathogenesis of this condition is still a subject of much debate, however it is thought to be an immune complex reaction directed against parasite eggs. Such patients usually present with non-specific features such as fever, myalgia, anorexia, lethargy and mild hepatic or splenic enlargement. Praziquantel is the treatment of choice, it is highly effective against adult worms but less effective against immature worms mandating repeated courses of treatment.4 Given the inflammatory theory, it has been postulated that corticosteroids may be beneficial in such patients.

Case report

A previously healthy 16-year-old male farmer living in a rural village in Upper Egypt came to our department complaining of diarrhea of 5 months’ duration, about 4-5 motions daily, which were voluminous, frothy, greasy and foul smelling, the stools contained blood, mucous, undigested food and associated with tenesmus. Associated with diffuse colicky abdominal pain with marked weight loss of about 10Kg over a period of 3months, there were no symptoms suggestive of pulmonary or neurological involvement. On examination , BMI was 17 kg/m2, patient was cachectic, pale and dehydrated. Temperature ranged from 38–390C. He had Bilateral enlarged submandibular and upper deep cervical, axillary and inguinal lymph nodes, that were mobile, not tender with normal overlying skin. His peripheral blood examination revealed mild normocytic normochromic anemia (HB: 11.5gm/dl), Plt 300 with leukocytosis (14.9x109/L) and marked eosinophilia 38%. Reticulocyte count was normal. ESR was 70mm/hr & CRP was 45mg/l. Liver and kidney function tests were normal apart from low serum albumin (2.8g/dl) and elevated total proteins (9.7g/dl). stool analysis for parasites on three successive stool specimens was positive for S.mansoniova. Viral screening of hepatitis B, C and HIV were negative. Serum IgE level was markedly elevated 1050I.U./ml. Bilharzial antibodies were highly positive (1/2560).

Chest x-ray and Echocardiography were normal. Abdominal ultrasound and CT showed hepatomegaly of diffuse pathology with periportal tract thickening, splenomegaly, multiple hepatoduodenal, mesenteric lymph nodes and mild pelvic ascites. CT chest was normal.

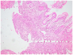
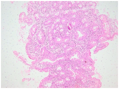
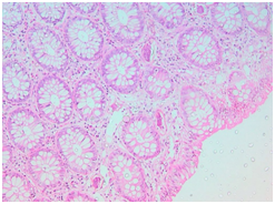
Upper and lower endoscopies showed hyperemic gastric mucosa. The whole examined colon showed remarkable mucosal thickening & diffuse nodularity & few scattered ulcers. Duodenal and terminal ileal mucosa showed scattered nodules firm in probing. Multiple biopsies were taken and examined for histopathology .Duodenal biopsy showed edematous lamina propria showing moderate inflammatory reaction, there are many eosinophils, there are scattered fresh Schistosoma mansoniova (Figure 1). Terminal ileum biopsy showed edematous villi, mild inflammatory reaction in the lamina propria with few lymphoid follicles, there are scattered fresh Schistosoma mansoniova (Figure 2). Rectal and sigmoid colonic biopsies revealed that the lamina propria is edematous showing mild inflammatory reaction with no features of polypoid tissue under narrow band imaging, many eosinophils, with scattered fresh Schistosoma mansoniova (Figure 3).

Figure 1 Fresh Schistosoma mansoni ova are seen in sections examined form duodenum.

Figure 2 Terminal ileum colon.

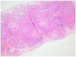
Figure 3 Mesenteric lymph node.

Mesenteric lymph node biopsy revealed many eosinophils with scattered active granulomas surrounding fresh Schistosoma mansoniova. No evidence of malignancy was found (Figure 4).

Figure 4 Surrounded by granulomatous reaction rich in eosinophils.

The patient received treatment in the form of Praziquantel 2400mg daily for 2weeks as well as Prednisone 40mg for 5days and then tapered gradually. He showed excellent response, lymphoid aggregates detected clinically and radiologically on diagnosis have much resolved. This was associated with normalization of his eosinophilic count as well as serum IgE levels. The patient now on follow up.

Discussion

Our patient salient features were fever, generalized lymphadenopathy and diarrhea, differential diagnosis included acute viral infections as HIV, EBV, HSM, CMV, HBV and HCV which were negative in our patient, TB also negative. Autoimmune and granulomatous disease, acute lymphoblastic leukemia, non-Hodgkin lymphoma and storage diseases work up was negative.

Katayama syndrome is an acute presentation of Schistosomiasis occurring several weeks after infection with Schistosoma warm. Described mainly with schistosomiasis japonica, yet it could occur with other species.5 This syndrome is frequently misdiagnosed by tropical and infectious disease specialist in non-endemic regions as the clinical presentation is non-specific and related to migrating warms and eggs deposited in various tissues. Patients usually present 2–8 weeks after contact with infected water with “swimmer” itching, fever, lethargy, headache, generalized weakness, cough, abdominal tenderness, diarrhea, rectal bleeding (S. mansoni or S. japonicum) or terminal hematuria (S. hematobium) and eosinophilia.

Anti-schistosomal antibodies are usually positive in KS and help in making an early diagnosis of the syndrome. Serological tests have an overall sensitivity of 95.5% in detecting schistosomiasis6 Like acute viral infection, acute Schistosomiasis is self-limiting disease in most cases, however, without treatment patients may develop chronic infection resulting in portal hypertension with S. mansoni or transitional cell carcinoma with S. hematobium.7 Few cases of acute schistosomiasis had been reported with various clinical involvement like pulmonary infiltrates or neurological affection.8

The current described case demonstrates an important points of Katayama syndrome, the presence of generalized lymphadenopathy with detected ova in tissue biopsy, also the unusual heavy infestation of intestinal tract particularly duodenum which is uncommon site for infiltration.

Schistosoma ova usually deposited in inferior mesenteric and portal veins explaining the higher incidence of ova found in descending, sigmoid colon and the rectum. Colonoscopy can provide important information regarding the diagnosis of colonic schistosomiasis, acute infection is characterized by finding edematous, congested mucosa with petechial hemorrhages, whereas flat or elevated yellow nodules, polyps or colonic strictures suggest chronic infection.9

Early initiation of adequate therapy greatly hinders the progression of Katayama syndrome. Praziquantel should be initiated immediately during the acute phase.10 Oxamniquine is another alternative drug that has shown considerable response. In the context of being immune mediated disease ,11 adjuvant steroid therapy is generally recommended for controlling the systemic allergic symptoms.

Here in our case, the patient received treatment in the form of Praziquantel 2400mg daily for 2weeks as well as Prednisone 40mg for 5days and then tapered gradually.

Acute schistosomiasis is diagnosed on clinical grounds with history of recent contact to possibly infected water, a negative blood film for malaria, positive serology including enzyme-linked immunosorbent assay (ELISA) against soluble Schistosoma mansoni soluble egg antigens, peripheral blood eosinophilia and good response to praziquantel with or without steroids.

Conclusion

We are reporting an unusual presentation of acute Schistosomiasis in the form of fever generalized lymphadenopathy that can mimic many diseases including hematological malignancy, autoimmune diseases and acute viral infections. Physicians should keep in mind that in some rural areas in Egypt, Schistosomiasis still present.

Acknowledgments

None.

Conflicts of interest

The authors declared no potential conflicts of interest.

References

  1. World Health Organization. Sustaining the drive to overcome the global impact of neglected tropical diseases: second WHO report on neglected diseases. 2013.
  2. Barakat R, Farghaly A, El Morshedy H, et al. Impact of National Schistosomiasis Control Program in Kafr El–Sheikh governorate, Nile Delta, Egypt: an independent evaluation. J Egypt Public Health Assoc. 1998;73(5–6):737–753.
  3. L–Sayed HF, Rizkalla NH, Mehanna S, et al. Prevalence and epidemiology of Schistosoma mansoni and S. haematobium infection in two areas of Egypt recently reclaimed from the desert. Am J Trop Med Hyg. 1995;52(2):194–198
  4. Liliana P, Bianca M, Enrico Brunetti, et al. Failure of Repeated Treatment With Praziquantel and Arthemeter in Four Patients With Acute Schistosomiasis International Society of Travel Medicine. Journal of Travel Medicine. 2014;21(2):133–136.
  5. Ross AG, Vickers D, Olds GR, et al. Katayama Syndrome. Lancet infect Dis. 2007;7(3):218–224.
  6. Mohamed AE.The Katayama syndrome in Saudis. J Trop Med Hyg. 1985;88(5):319–322.
  7. Doherty JF, Moody AH, Wright SG. Katayama fever: an acute manifestation of schistosomiasis. BMJ. 1996;313(7064):1071–1072.
  8. Grobusch MP, Muhlberger N, Jelinek T, et al. Imported schistosomiasis in Europe: Sentinel surveillance data from Trop Net Europ. J Travel Med. 2003;10(3):164–169.
  9.  Cao J1, Liu WJ, Xu XY, et al. Endoscopic findings and clinicopathologic characteristics of colonic schistosomiasis: a report of 46 cases. World J Gastroenterol. 2010;16(6):723–727.
  10. Zuidema PJ, The Katayama syndrome; an outbreak in Dutch tourists to the Omo National Park, Ethiopia. Trop Geogr Med. 1981;33(1):30–35.
  11. Centers for Disease Control (CDC) Cercarial dermatitis among bathers in California; Katayama syndrome among travelers to Ethiopia. MMWR Morb Mortal Wkly Rep. 1982;31(32):435–438.
Creative Commons Attribution License

©2019 Mogawer, et al. This is an open access article distributed under the terms of the, which permits unrestricted use, distribution, and build upon your work non-commercially.