Submit manuscript...
MOJ
eISSN: 2381-179X

Clinical & Medical Case Reports

Case Report Volume 13 Issue 2

Isquifemoral impingment syndrome-a clinical case

Filipa Dionísio,1 João Santos Martins,2 Candida Monteiro,3 Eugénia Simões3

1Alcoitao Rehabilitation Medical Center, Portugal
2Diatra, Portugal
3Portuguese Institute of Rheumatology, Portugal

Correspondence: Filipa Dionísio, Alcoitao Rehabilitation Medical Center, Cascais, Portugal, Tel +351 214 608 300

Received: March 01, 2023 | Published: April 17, 2023

Citation: Dionísio F, Martins JS, Monteiro C, et al. Isquifemoral impingment syndrome-a clinical case. MOJ Clin Med Case Rep. 2023;13(2):30-31. DOI: 10.15406/mojcr.2023.13.00431

Download PDF

Abstract

Introduction: Ischiofemoral Impingement occurs due to an abnormal contact between the ischium and the lesser trochanter of the femur, where the tendon of the iliopsoas muscle is inserted and where the quadratus femoris muscle is located. The friction caused by the contact between these bones causes damage to the quadratus femoris muscle, leading to its inflammation or muscle atrophy. The diagnosis is made through clinical history, physical examination and complementary diagnostic tests such as pelvic radiography and magnetic resonance imaging of the coxofemoral joint.

Clinical case: Female patient, 59 years old, followed in Rheumatology for Rheumatoid Arthritis since she was 38 years old. She went to the Rheumatology appointment due to pain, with limitation in abduction, internal and external rotations of the right coxofemoral joint and changes in gait pattern. Magnetic resonance imaging (MRI) of the hip joints was requested, which revealed the existence of a significant reduction in the space between the lesser trochanter and the ischial tuberosity, with a significant change in the MRI signal of the right quadratus femoris muscle, showing a SPAIR hypersignal translating edema. Physiatrist appointment were recommended. The patient showed clear improvement with physiotherapy.

Discussion: The main causes that lead to Ischiofemoral Impingement are: valgus femur neck, more vertical, bringing the femur closer to the pelvis; sequelae of developmental dysplasia of the hip; total hip arthroplasty; postoperative period of valgus osteotomies, dysmetria of the lower limbs, weakness of the abductor muscles and local tumor. Female morphology, with a wide and shallow pelvis, predisposes to ischiofemoral impingement. Treatment is conservative, except in cases of local tumor.

Conclusion: Ischiofemoral Impingement represents one of the etiologies of hip pain. It is difficult to establish its diagnosis since the history and physical examination are imprecise, making it essential to perform magnetic resonance imaging.

Introduction

The ischiofemoral impingement occurs due to an abnormal contact between the ischium and the lesser trochanter of the femur, where the tendon of the iliopsoas muscle is inserted and where the quadratus femoris muscle is located. The trauma caused by the contact between these bones causes damage to the quadratus femoris muscle, leading to its inflammation or muscle atrophy. The patient's main complaint was pain inner thigh. The diagnosis is made through clinical history, physical examination and complementary diagnostic tests such as pelvic radiography and magnetic resonance imaging (MRI) of the coxofemoral joint. The pelvic radiography shows the presence of a valgus femoral neck leading to a small distance between the ischium and the lesser trochanter of the femur. MRI of the hip accentuates edema in the quadratus femoris muscle. The first cases were felt on the Ischiofemoral Impingement suffered in the 70's and were associated with total hip arthroplasty and osteotomy of the proximal region of the femur. More recently, it has been seen in some middle-aged women with no previous hip surgery and no history of trauma. In the present clinical case, we intend to demonstrate the possible relationship between ischiofemoral impingement and the changes observed on MRI of the quadratus femoris muscle, and to raise the hypothesis of diagnosing ischiofemoral impingement in cases of painful hip with no obvious cause.

Clinical case

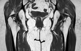
Female patient, 59 years old, followed in Rheumatology for Rheumatoid Arthritis since she was 38 years old. She went to the Rheumatology appointment due to pain, with limitation in abduction, internal and external rotations of the right coxofemoral joint and changes in gait pattern. MRI of the hip joints was requested, which revealed a significant reduction in the space between the lesser trochanter and the ischial tuberosity (Figure 1), with a significant change in the MRI signal of the right quadratus femoris muscle, which presents SPAIR hypersignal translating edema (Figure 2). These aspects are compatible with right ischiofemoral impingement. Rest, analgesic treatment and Physiatrist appointment were recommended. The patient is undergoing physiotherapy. It was prescribed ultrasound, laser, massage, pelvic muscle strengthening and stretching.

Figure 1 MRI of the hip joints reveals a reduced distance between the lesser trochanter of the femur and the right ischium.

Figure 2 MRI of the hip joints identifies edema in the right quadratus femoris muscle.

Discussion

The main causes that lead to Ischiofemoral Impingement are: valgus femur neck, more vertical, bringing the femur closer to the pelvis; sequelae of developmental dysplasia of the hip; total hip arthroplasty; postoperative period of valgus osteotomies, dysmetria of the lower limbs; weakness of the abductor musculature, especially of the gluteus medius, causing the patient to walk with the lower limb more closed than physiological, generating friction between the femur and the ischium; the presence of a tumor in the proximal region of the femur or ischium.1,2 Female morphology, with a wide and shallow pelvis, predisposes to ischiofemoral impingement. Treatment is conservative, except in cases of local tumor, with analgesic and anti-inflammatory therapy, physiotherapy for analgesia, stretching and pelvic muscle strengthening. In case of persistence of symptoms, local infiltration, guided by ultrasound, with anesthetics or corticoids may be performed. Surgery is only recommended to correct secondary causes of Ischiofemoral Impingement.

Conclusion

Ischiofemoral Impingement represents one of the etiologies of hip pain. It is difficult to establish its diagnosis since the history and physical examination are imprecise, making it essential to perform MRI. It should be considered in female patients complaining of hip pain with no other obvious cause.

Acknowledgments

None.

Conflicts of interest

Authors declare that there is no conflict of interest.

References

Creative Commons Attribution License

©2023 Dionísio, et al. This is an open access article distributed under the terms of the, which permits unrestricted use, distribution, and build upon your work non-commercially.