Submit manuscript...
MOJ
eISSN: 2381-179X

Clinical & Medical Case Reports

Case Report Volume 13 Issue 4

Intraperitoneal bladder perforation secondary to radiotherapy. Do i operate?

Ascorra S,1 Consigliere L2

1Universidad Finis Terrae, Santiago, Chile
2Departamento de Urología, Clínica Dávila Vespucio, Chile

Correspondence: Consigliere L, Departamento de Urología, Clínica Dávila Vespucio, Chile, Tel +569 98135534

Received: October 17, 2023 | Published: October 26, 2023

Citation: Ascorra S, Consigliere L. Intraperitoneal bladder perforation secondary to radiotherapy. Do i operate? MOJ Clin Med Case Rep. 2023;13(4):73-74. DOI: 10.15406/mojcr.2023.13.00442

Download PDF

Abstract

Spontaneous bladder perforations are very low prevalence injuries to the bladder, which can be caused by trauma, medical procedures or diseases. These perforations can be intraperitoneal or extraperitoneal depending on their anatomical location. Intraperitoneal injuries often require surgery, while extraperitoneal injuries can be managed more conservatively. Bladder perforations can also result from complications of pelvic radiotherapy, and their management may vary depending on the patient's clinical situation. A non-invasive approach, such as urinary drainage with a Foley catheter, can be effective in selected cases, such as the one presented in this case report, a spontaneous intraperitoneal bladder perforation in a patient undergoing pelvic radiotherapy 20 years ago. Proper treatment of bladder perforations depends on the location, cause, and the patient's condition.

Keywords: bladder perforation, intraperitoneal, pelvic radiotherapy, actinic cystitis

Introduction

Bladder ruptures are usually related to blunt, penetrating trauma, or medical procedures. On the other hand, spontaneous rupture of the bladder is rare and can occur idiopathically or as a consequence of various conditions that affect this organ.1 Among these is pelvic radiotherapy, which has an approximate incidence of 3%2 of clinically significant urological complications, which can present early, such as macroscopic hematuria, dysuria, pelvic pain, or late, such as actinic cystitis, vesicovaginal fistula.3,4

Bladder injuries can be classified as intraperitoneal or extraperitoneal depending on their anatomical location. Traditionally, extreperitoneal bladder injuries are managed conservatively, while intraperitoneal injuries are managed surgically.5,6 However, in a context of actinic cystitis it is different. We present the case of a 58-year-old woman with an intraperitoneal bladder perforation 20 years after receiving pelvic radiotherapy. There are few similar cases reported in the literature, of which those managed surgically have evolved with serious complications such as vesicovaginal fistulas and derivative urostomies.7,8 As a result of this, a non-invasive option is proposed as management; urinary tract drainage with Foley catheter

Clinical case

We present the case of a 58-year-old female patient with a history of cervical cancer treated with radiotherapy 20 years ago. His surgical history includes a left nephrectomy due to renal atrophy secondary to actinic ureteritis. Consultation in the Emergency Department due to a 5-day history of non-specific abdominal pain of moderate intensity, associated with abdominal distention, vomiting of dark contents and decreased urinary volume. On physical examination, he was hemodynamically stable, with pink and hydrated mucous membranes. Abdominal examination revealed periumbilical ecchymosis, pain on deep palpation in the hypogastrium, and no signs of peritoneal irritation.

A computed tomography scan of the abdomen and pelvis was performed, showing free abdominal fluid and a lesion in the bladder dome, diagnosing uroperitoneum.

The laboratory tests carried out revealed elevated creatinine (9.43 mg/dL), hyperkalemia (6.3mEq/L) and hypochloremia (8.2mEq/L), low inflammatory parameters (CRP 6.6 mg/L White blood cells 13,000 x 109/L) and complete non-inflammatory urine.

The case is presented to the urologist on duty, who performs cystoscopy that shows a 7mm intraperitoneal perforation, with dissection of superficial planes and signs of actinic cystitis. Considering the patient's history and signs of actinic cystitis on cystoscopy, it was decided to install an 18-fr Foley catheter for urinary diversion, associated with prophylactic antibiotic therapy. After 10 days of hospitalization, given favorable evolution, it was decided to discharge with a Foley catheter for 30 more days, until further control. In follow-up with cystoscopy after one month, resolution of bladder perforation is evident, with fewer flat dissections. Given favorable results, it was decided to remove the Foley catheter, and outpatient controls with a urology team (Figures 1-3).

Figure 1 Admission cystoscopy. A 7 mm intraperitoneal bladder perforation was evident, associated with dissection of the superficial planes of the bladder.

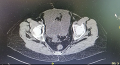
Figure 2 Computed tomography of the abdomen and pelvis. Bladder perforation is evident, with free peribladder fluid.

Figure 3 Control cystoscopy. There is evidence of resolution of the bladder perforation and less dissection of the superficial planes of the bladder.

Discussion

The use of pelvic radiotherapy for the management of gynecological oncological pathologies can result in damage to adjacent organs; approximately 3%3,4 of the complications presented are urological. Spontaneous bladder perforation can be one of these secondary complications, bladder perforation is known to occur even 15 years after treatment, and repeated episodes could occur.9,10 Diagnosis of bladder rupture is typically made by cystography, although other diagnostic methods, such as contrast-enhanced CT imaging or ultrasonography, have been reported. However, cystography remains the most sensitive and accurate method.11 It is necessary to carry out comparative studies between surgical and conservative management for intraperitoneal lesions associated with actinic cystitis, in order to evaluate the best management for this type of patients.

Conclusion

Spontaneous bladder perforation is a rare entity and can occur as a long-term complication of radiotherapy. Although the first case of bladder perforation associated with this was reported in 1966, its incidence is not precisely known. The evidence recommends surgical treatment for intraperitoneal bladder perforations, however conservative management could be considered a viable, less invasive option with favorable results.

Acknowledgments

None.

Conflicts of interest

Authors declare that there is no conflict of interest.

References

  1. Shin JY, Yoon SM, Choi HJ, et al. A Case of Post-radiotherapy Urethral Stricture with Spontaneous Bladder Rupture, Mimicking Obstructive Uropathy due to Cancer Metastasis. Electrolyte Blood Press. 2014;12(1):26–29.
  2. Albino G, Bilardi F, Gattulli D, et al. Spontaneous rupture of urinary bladder: a case report and review. Arch Ital Urol Androl. 2012;84(4):224–226.
  3. Reddy D, Laher AE, Lawrentschuk N, et al. Spontaneous (idiopathic) rupture of the urinary bladder: a systematic review of case series and reports. BJU Int. 2023;131(6):660–674.
  4. Labanaris AP, Zugor V, Reinhold Nützel R, et al. Spontaneous rupture of the urinary bladder 10 years after curative radiotherapy. Scientific World Journal. 2008;8:405–408.
  5. Zonca P, Cambal M, Jacobi CA. Laparoscopic management of spontaneous intraperitoneal perforation of urinary bladder. Bratisl Lek Listy. 2011;112(5):282–286.
  6. Dubey IB, Mohanty D, Jain BK. Diverse presentation of spontaneous rupture of urinary bladder: review of two cases and literature. Am J Emerg Med. 2012;30(5):832.e1-832.e3.
  7. Troncoso PC, Saavedra ZA, Sarras MJ, et al. Rotura vesical intraperitoneal y reparación laparoscópica: Es éste el nuevo gold standard?. Revista Chilena de Cirugía. 2012;64(6):567–571.
  8. Saleem MA, Mahmoud AM, Gopinath BR. Spontaneous urinary bladder rupture: a rare differential for lower abdominal pain in a female patient. Singapore Med J. 2009;50(12):e410–e411.
  9. Qiao P, Tian D, Bao Q. Delayed diagnosis of spontaneous bladder rupture: a rare case report. BMC Women's Health. 2018;18(1):124.
  10. Kurisu T, Tanaka T, Okada M, et al. Hinyokika kiyo. Acta Urologica Japonica. 2020;66(7):235–238.
  11. Widmark A, Flodgren P, Damber JE, et al. A systematic overview of radiation therapy effects in urinary bladder cancer. Acta Oncol. 2003;42(5-6):567–581.
Creative Commons Attribution License

©2023 Ascorra, et al. This is an open access article distributed under the terms of the, which permits unrestricted use, distribution, and build upon your work non-commercially.