Submit manuscript...
MOJ
eISSN: 2381-179X

Clinical & Medical Case Reports

Case Report Volume 4 Issue 2

Intraosseous lipoma of calcaneus, a rare cause of heel pain

Shivaprasad MS, Yashavntha Kumar C, Ajoy SM, Rangaswamy BT

MSR Medical College, Bangalore, India

Correspondence: Yashavntha Kumar C, Assistant professor, MSR Medical college, Bangalore, India

Received: November 06, 2015 | Published: February 25, 2016

Citation: Shivaprasad MS, Yashavntha Kumar C, Ajoy SM, et al. Intraosseous lipoma of calcaneus, a rare cause of heel pain. MOJ Clin Med Case Rep. 20164(2):36-38. DOI: 10.15406/mojcr.2016.04.00081

Download PDF

Abstract

Heel pain is one of the commonest pain related conditions arriving at the Orthopaedics Out Patient Department. Regardless of where the pain seems to originate most of them are over diagnosed as plantar fasciitis. The non mechanical causes of heel pain may be neurological, arthritic, traumatic, neoplastic, infectious or vascular nature. We hereby rare case of intraosseous lipoma in a 24year male old treated by curettage and bone grafting.

Keywords: calcaneum, heel pain, intraosseous lipoma

Introduction

Heel pain is one of the commonest pain related conditions arriving at the Orthopaedics Out Patient Department. Regardless of where the pain seems to originate most of them are over diagnosed as plantar fasciitis.1,2 The reason may be attributed to the prevailing misconception amongst practitioners, that all cases of heel pain are exclusively mechanical in nature and much broader gamut of etio-pathologies are overlooked. The non mechanical causes of heel pain may be neurological, arthritic, traumatic, neoplastic, infectious or vascular nature.3 To best of our knowledge very few cases of calcaneus intraosseous lipoma have been reported in literature. Here we present a rare case of intraosseous lipoma in a 24year male old treated by curettage and bone grafting.

Case report

Twenty four year old male presented to us with left heel pain for nine weeks of duration. The onset of the pain was insidious and aggravated by weight bearing and prolonged standing. It was relieved with the use of analgesics and limb rest. There was no history of preceding trauma or rest pain. On examination there was no local swelling and skin changes. Deep tenderness was present over anteromedial aspect of calcaneum. Plain radiographs of the heel revealed well defined, lytic lesion in the calcaneum. Computed Tomographic scan of the same showed lytic lesion in the in the body of calcaneum just below the posterior facet. Provisional diagnosis of benign bone tumor was made and patient was planned for curettage and bone grafting.

Under spinal anaesthesia, lateral expansile incision made and lytic cavity approached through a cortical window. Fibro-fatty tissue was curetted from the lesion. Erosion of the medial wall was noticed intraoperatively. After the thorough curettage cavity was filled with auto graft. Histopathological examination was suggestive of lipoma. Ankle was immobilised for two weeks and weight bearing started after six weeks. At six months of follow up lytic lesion healed with consolidation of the graft. At one year patient is walking with full weight bearing without pain and restriction of movements.

Discussion

Most common cause for heel pain is mechanical and hence the other causes are overlooked. The other non mechanical causes for heel pain can be neurological, arthritic, traumatic, neoplastic, infectious or vascular nature.1–3 Benign tumors are the common causes of lytic lesion in the calcaneum. Intraosseous lipoma is one of the common among benign tumors of calcaneum. Intraosseous lipoma is composed of mature fat cells and varying amount of fibrous and vascular tissues. Although intraosseous lipoma constitutes approximately 0.1% of bone tumors, its prevalence may be a higher because most of them are asymptomatic and are discovered incidentally.

Intraosseous lipoma can occur at any age and has no gender bias. It mainly affects the long bones in femoral metaphysis or epiphysis (34%), the fibula (10%) and humerus (5%). The rest of the cases can occur in the calcaneus (8%), skull, jaw and ribs.4–7 Microscopic examination reveals mature bony adipocytes and trabeculations. There may be fat necrosis and dystrophic calcification present. Milgram studied 61 cases of intraosseous lipoma and proposed a classification (Table 1).

Milgram classification of intraosseous lipomas

Stage

Description

1

Variable fat with necrosis

2

Variable fat with necrosis and dystrophic calcification

3

Extensive fat necrosis, calcification, cysts

Table 1 Milgram classification of intraosseous lipoma

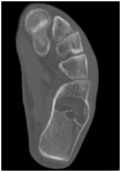
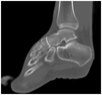
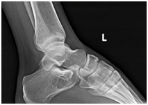
Intraosseous lipomas are diagnosed with plain radiography and CT scan (Figure 1) (Figure 2A) (Figure 2B). Mainstay of treatment is conservative; however surgery is indicated in severe pain not responding to conservative treatment, impending pathological fracture and malignant transformation (Figure 3). Treatment for these tumors is curettage and bone grafting (Figure 4) with good prognosis.8–10

Figure 1 Plain radiograph lateral view showing lytic lesion in calcaneum.

Figure 2 CT Scan of ankle showing lytic lesion in calcaneus.

Figure 2b CT Scan of the foot, axial view, showing lytic lesion.

Figure 3 Intraop Clinical photo.

Figure 4 Post curettage and bone grafting.

Conclusion

Intraosseous lipoma of calcaneum is a rare non mechanical cause of heel pain which can be overlooked. The mainstay of treatment is conservative. Curettage and bone grafting is indicated if severe pain not responding to conservative treatment, pathological fracture and malignant transformation.

Acknowledgements

None.

Conflict of interest

The author declares no conflict of interest.

References

Creative Commons Attribution License

©2016 Shivaprasad, et al. This is an open access article distributed under the terms of the, which permits unrestricted use, distribution, and build upon your work non-commercially.