Submit manuscript...
MOJ
eISSN: 2381-179X

Clinical & Medical Case Reports

Case Report Volume 12 Issue 2

Incidental findings of intralobar lung sequestration in a patient of the carcinoma gall bladder

Kritika , Rajaram Sharma, Tapendra Tiwari, Saurabh Goyal

Radio-diagnosis, Pacific Institute of Medical Sciences (PIMS), India

Correspondence: Rajaram Sharma, Radio-diagnosis, Pacific Institute of Medical Sciences (PIMS), Umarda, Udaipur, Rajasthan, India, 313001, Tel +91-7755923389

Received: May 20, 2022 | Published: June 16, 2022

Citation: Sharma R. Incidental findings of intralobar lung sequestration in a patient of the carcinoma gall bladder. MOJ Clin Med Case Rep. 2022;12(2):20-21. DOI: 10.15406/mojcr.2022.12.00412

Download PDF

Introduction

The carcinoma gall bladder is the fifth most common gastrointestinal malignancy and biliary tract malignancy worldwide and is more common in older women. Clinical presentation of the disease is often vague or delayed compared to pathologic progression, contributing to advanced staging.1 Early radiological detection remains essential.

Pulmonary sequestration (PS) is a rare congenital lung malformation. It is characterized by an abnormal mass of dysplastic lung tissue supplied by an anomalous systemic artery and separated from a typical bronchopulmonary tree. Misdiagnosis and inadequate treatment can lead to recurrent pneumonia and fatal hemoptysis. As carcinoma gall bladder has prevalence for lung metastasis, one should always be precise in lung findings in a known case of the carcinoma gall bladder. Here we have reported a case of known carcinoma gall bladder with a lesion in the lung.

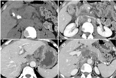
Case Presentation-In our case, the patient 44-years old male, presented with a complaint of pain abdomen and weight loss from the last few months. In the initial investigation, ultrasonography was performed, in which a heteroechic lesion was seen in the gall bladder fossa. He was then advised to get a contrast-enhanced computed tomography (CECT) scan abdomen. CECT scan of the abdomen revealed contracted gall bladder (GB)with asymmetrical circumferential, heterogeneously enhancing thickening (maximum thickness approx.19mm) involving body, neck, and gall bladder fundus with adjacent fat stranding in the GB fossa. GB thickening the body region is seen abutting adjacent inferior hepatic surface with loss of fat planes. Multiple calculi are also seen in GB (Figure 1A&1B).

Multiple heterogeneously enhancing enlarged lymph nodes are noted in the portal, pancreatic, pre-para aortic, aortocaval, and retroperitoneal regions (Figure 1C). Therefore mentioned description signifies Ca GB with lymph node and adrenal metastasis (Stage IV) (Figure 1D).

Figure 1 GB thickening the body region is seen abutting adjacent inferior hepatic surface with loss of fat planes.

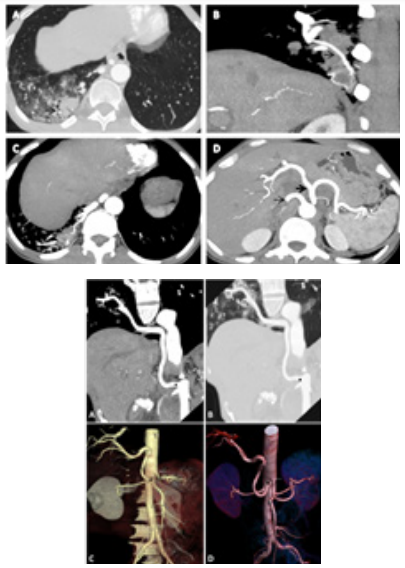
There is also soft tissue consolidation with adjacent ground glass densities noted in a posteromedial segment of the right lower lobe (Figure 2A). The involved part of the lung was supplied by a separate branch arising from the abdominal aorta (just below the coeliac trunk), (Figure 2(B–D)) seen in the arterial phase suggestive of intra-lobar pulmonary sequestration.

Figure 2Soft tissue consolidation with adjacent ground glass densities noted in a posteromedial segment of the right lower lobe seen in the arterial phase suggestive of intra-lobar pulmonary sequestration.

Discussion

Moderately differentiated adenocarcinoma is the most common form of gallbladder carcinoma. Risk factors include cholelithiasis, chronic biliary infections (Salmonella typhi, Opisthorchisviverrini), primary sclerosing cholangitis, and porcelain gallbladder.2

Pryce coined the term sequestration in 1946 to describe a disconnected bronchopulmonary mass or cyst with an anomalous systemic artery.3 There are two primary types of sequestration, i.e., intra-lobar sequestration(ILS) and extra-lobar sequestration (ELS).ILS accounts for approximately 75% of all sequestrations. Most patients present with cough, sputum production, and recurrent pneumonia. Over 50% are symptomatic by the age of 20. Many cases (98%) occur in the lower lobes, usually on the left side.ELS accounts for the rest, 25%. A majority of cases of ELS (61 %) occur in the first six months of life, often presenting on the first day of life with dyspnea, cyanosis, and feeding difficulties.4 Asymptomatic pulmonary sequestrations are typically found incidentally on imaging, as in our case, it was found incidentally in visualized lung field when the CT abdomen was taken. To confirm this, CT angiography was done, but in our case, the afferent vessel feeding the pulmonary sequestration was visualized through post-contrast CT.

The extension of gallbladder carcinoma to the liver and adjacent organs is due to the lack of submucosa and muscularis mucosa in the gallbladder wall and its direct venous drainage through the hepatic veins, claimed by the sixth edition of the American Joint Committee on Cancer staging manual for gallbladder carcinoma.5 Lymphatic spread is seen in more than 50% of patients at initial diagnosis. Lymphatic spread first reaches cystic, peri-choledochal, hilar, periduodenal, peripancreatic, and superior mesenteric nodes. Portacaval, aortocaval, and more distant nodes are considered distant or M1 diseases. Gallbladder carcinoma can also spread via intraductal spread along the cystic duct. Other pathways include hematogenous, neura,l and intraperitoneal "drop" metastases.1 Multiple lung nodules are typically seen with hematogenous spread of malignant tumors.6 The development of lung metastases implies poor prognosis though very few reports are available of favorable prognosis.7 Therefore every lung lesion in the known case of carcinoma should be looked at curiously and thoroughly.

Learning points

Not all soft tissue density in the lung is a known case of malignancy is always a metastasis; the radiologist should always look for the supplying vessel.

Radiologists must scrutinize each case of asymmetrical gallbladder wall thickening that may indicate cancer.

Identification of the characteristic imaging appearances of primary gallbladder carcinoma, understanding its pathways of spread, and staging criteria help preoperative planning and survival rate of the patient.

Acknowledgments

We wish to thank the medical officer, doctors in the Pediatric and Pediatric surgery departments, and laboratory assistants in Tishreen Hospital laboratory.

Authors' contributions

All authors have read and approved the manuscript.

Conflicts of interest

All of the authors declare that they have no competing interests.

Funding

No funding was obtained for this study.

References

Creative Commons Attribution License

©2022 Sharma, et al. This is an open access article distributed under the terms of the, which permits unrestricted use, distribution, and build upon your work non-commercially.