Submit manuscript...
MOJ
eISSN: 2381-179X

Clinical & Medical Case Reports

Case Report Volume 13 Issue 3

Epiploic appendagitis, a infrequent cause of abdominal pain

Cristian Sandoval-Arriagada,1 Mariel Letelier Reyes2

1General physician, Hospital Intercultural de Nueva Imperial, Chile
2Medical Intern, Universidad Mayor, Chile

Correspondence: Cristian Sandoval Arriagada, General physician, Hospital Intercultural de Nueva Imperial, Chile, Tel +56981666665

Received: August 31, 2023 | Published: September 11, 2023

Citation: Sandoval-Arriagada C, Letelier-Reyes M. Epiploic appendagitis, a infrequent cause of abdominal pain. MOJ Med Clin Case Rep. 2023;13(3):66-67. DOI: 10.15406/mojcr.2023.13.00440

Download PDF

Abstract

Purpose:  Epiploic appendagitis is a rare benign entity that may clinically resemble other conditions such as acute appendicitis or cecal diverticulitis, the importance of imaging studies to avoid unnecessary invasive procedures

Case presentation: 56 years old male goes to the emergency service with suggestive clinic of diverticulitis where he is evaluated with a computed tomography.

Conclusion: Appendagitis is a rare and little known disease. Since it is medically managed without the need for surgical intervention, it is important to keep it in mind as a differential diagnosis and to do imaging studies to be able to confirm it before submitting patients to surgery.

Keywords: abdominal pain, epiploic appendagitis

Introduction

Epiploic appendagitis (EA) is a rare, benign, and local inflammatory disease involving fatty outgrowths on the surface of the colon, known as epiploic appendages.1 This medical condition often goes unnoticed, because of the low specificity of its symptoms. It usually presents with lower abdominal pain, so the differential diagnosis is usually made with other entities such as acute appendicitis and diverticulitis. The increased availability of imaging studies like ultrasound and computed tomography (CT) in emergency services has contributed to the increase in the diagnosis of this disease. We present a typical case of the pathology for acknowledgement of this not common disease.

Case presentation

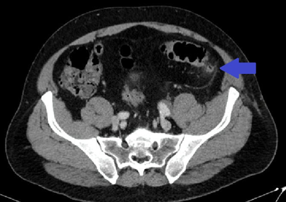
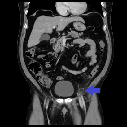
A 56-year-old man presented to the emergency department with a one week history of abdominal pain in the left lower quadrant with irradiation to the same side lumbar area. On the physical abdominal examination, he had localised tenderness in the left iliac fossa. Laboratory results showed white blood cell (WBC) count of 9.12 10e3/µL (4.00 - 12.00) and a C reactive protein (CRP) of 14.2 (<=5). A computed tomography (CT) scan was performed, which informed findings suggestive of epiploic appendagitis and multiple diverticula in the sigmoid colon (Figures 1, 2). The patient was sent home with conservative treatment.

Figure 1 Inflammatory appearance changes at the level of the epiploic appendage adjacent to the sigmoid colon. Axial plane.

Figure 2 Inflammatory appearance changes at the level of the epiploic appendage adjacent to the sigmoid colon. Coronal plane.

Discussion

Epiploic appendages are small peritoneal processes that grow from the serosal surface of the colon, and these are composed of adipose tissue and a vascular pedicle.2 They are frequently associated with colonic diverticula, as seen in this case, and are only visible on CT when they are inflamed or surrounded by fluid. Epiploic appendagitis usually presents in the fourth/fifth decade of life, predominantly in men,3 consistent with the case presented. Due to the location of the pain and the fact that it can sometimes present symptoms similar to acute diverticulitis, a differential diagnosis should be made with this pathology. Also, as there are epiploic appendages in the cecum, acute appendicitis corresponds to another differential diagnosis.4 Unlike acute diverticulitis, it usually has no intestinal disturbance, nausea, fever, or leukocytosis.5 CT scan appears as an important step in the differential diagnosis of the disease, avoiding the risk of unnecessary surgical interventions and antibiotics regimes.6 EA is usually a self-limiting condition that usually resolves in 1-2 weeks in most patients, requiring only symptomatic treatment.

Conclusion

Epiploic appendagitis is an infrequent pathology that we must keep in mind because it can clinically simulate urgent pathologies such as acute diverticulitis. CT scan will allow us to make the diagnosis and prevent unnecessary procedures.

Acknowledgments

None.

Conflicts of interest

Authors declare that there is no conflict of interest.

References

Creative Commons Attribution License

©2023 Sandoval-Arriagada, et al. This is an open access article distributed under the terms of the, which permits unrestricted use, distribution, and build upon your work non-commercially.