Submit manuscript...
MOJ
eISSN: 2381-179X

Clinical & Medical Case Reports

Case Report Volume 9 Issue 6

Distant cutaneous metastases of prostate cancer: case 1 report

Suarez Conde María Florencia,1 Rusiñol S,1 Torres Avila TDJ,1 Ameri C,2 Vigovich F,3 Casas JG,3 Larralde M1

1Dermatology Department, Hospital Alemán, Argentina
2Urology department, Hospital Alemán, Argentina
3 Histopathology Department, Hospital Alemán, Argentina

Correspondence: Suarez Conde María Florencia, Dermatology Department, Hospital Alemán, Buenos Aires, Argentina

Received: December 12, 2019 | Published: December 20, 2019

Citation: CoSMF, Rusiñol S, Avila TTDJ, et al. Distant cutaneous metastases of prostate cancer: case 1 report. MOJ Clin Med Case Rep . 2019;9(6):157?158. DOI: 10.15406/mojcr.2019.09.00328

Download PDF

Abstract

Skin is not a common site of metastasis for prostate cancer and they presence indicates a poor prognosis. We present 1 case of distant cutaneous metastases with nodular lesions at the glans. Although unusual, development of multiple skin lesions in patients with prostate adenocarcinoma should alert the dermatologist to the possibility of cutaneous metastases.

Keywords metastases, prostate cancer, hypertension

Introduction

Prostate cancer is one of the most common malignant tumors in men but despite a high prevalence and incidence, there are few published cases of cutaneous metastases in literature. Skin lesions usually appear late and with a peculiar clinical presentation, which generally leads to delays in the suspicion of cutaneous metastasis of prostate cancer. In this paper, we present the case of a patient with nodular lesions at the glans level in which the histopathological study and the clinical history were critical in the diagnosis.

Clinical picture

Seventy six –year- old male patient with a personal history of hypertension (HTN) and advanced poorly differentiated prostate cancer (Gleason 10) in 2014. He underwent surgery on two occasions and was treated with hormone therapyand chemotherapy. Three years later, he consulted a dermatologist about the appearance of asymptomatic tumor-like lesions. The lesions had evolved over a period of approximately five months, during which they had increased progressively in number and size. In addition he was experiencing dysuria and clinical symptoms of urinary hesitancy.

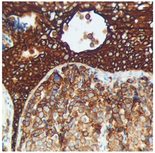
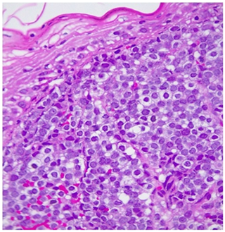
A physical examination revealed erythematous tumor lesions with central ulceration of approximately 5mm on the anterior and lateral sides of the glans (Figure 1). The histopathologic report from the biopsy of one of the lesions indicated a fragment covered by squamous epithelium and infiltration of poorly differentiated neoplastic cells compatible with metastasis (Figure 2-3). The results of the histochemical study were positive with Cytokeratin AE1/AE3, and negative with PSA. These findings supported the diagnosis of cutaneous metastasis of poorly differentiated prostatic adenocarcinoma.

Figure 1 Multiple firm and nodular tumors in the glans.

Figure 2 Hematoxylin and eosin, 20x. Penile metastasis from prostate cancer.

Figure 3 Immunohistochemical examination of the skin nodule, 30x. The tumor cells express cytokeratin AE1/AE3 in a strong fashion.

Given the progression of cutaneous and bone lesions, the patient continued treatment and followed up with oncology.

Discussion

Prostate cancer is the most common non-cutaneous malignant tumor in men and the second leading cause of cancer death, after lung cancer.1 When this tumor metastasizes, it spreads, in order of frequency, to regional lymph nodes, bones and internal organs, especially lung, liver and brain.2 Despite its high prevalence and incidence, skin metastasis is extremely rare and does not exceed 1% of the cases of cutaneous metastasis originating from internal organ malignancies.36

Cutaneous metastases of prostate cancer spread lymphatically, hematogenously or by direct extension 7and mainly affect the face, thorax, abdomen and genitals.8 At the genital level, the most common site of localization is the corpora cavernosa, followed by the glans, urethra and foreskin, respectively.9

The most frequent form of clinical presentation is papules and clinically asymptomatic nodules which can be ulcerated.10 There are also other less common forms of presentation such as zosteriform, sclera dermi form, inflammatory lesions, etc.1113

A microscopic examination is used to confirm the diagnosis. Immunohistochemistry is useful for confirming the origin, especially when the primary tumor is poorly differentiated. PSA is used mainly as a tumor marker to screen for and to monitor prostate cancer]. If the marker is expressed as negative, prostate acid phosphatase (FAP), PSMA and prostein can be helpful.14–16 Treatment is fundamentally palliative. Skin metastases of prostate cancer are a late manifestation with poor prognosis; as such, they are associated with decreased survival.1

Conclusion

The interest of this case lies in presenting a rare form of prostate cancer metastasis, which could be under diagnosed. It also highlights the importance of histopathological studies for the diagnosis of these lesions and emphasizes the association with a poor prognosis and reduced survival.

Acknowledgments

None.

Conflicts of interest

All authors declare that there is no conflicts of interest.

Funding

None.

References

  1. Brown GT, Patel V, Lee CC.Cutaneous metastasis of prostate cancer: a case report and review of the literature with bioinformatics analysis of multiple healthcare delivery networks. J Cutan Pathol. 2014;41(6):524–528.
  2. Borges A, Abou Kheir N, Cejas J, et al. Metástasis inusual de adenocarcinoma prostático a piel de párpado: A propósito de un caso. Rev Venez Oncol. 2009;21(1):46–48.
  3. Schwartz RA. Cutaneous metastatic disease. J Am Acad Dermatol. 1995;33(2 Pt 1):161–182.
  4. Lookingbill DP, Spangler N, Helm KF.Cutaneous metastases in patients with metastatic carcinoma: a retrospective study of 4020 patients. J Am Acad Dermatol. 1993;29(2 Pt 1):228–236.
  5. Saeed S, Keehn CA, Morgan MB. Cutaneous metastasis: a clinical, pathological, and immunohistochemical appraisal. J Cutan Pathol. 2004;31(6):419–430.
  6.  Martínez Casimiro L, JJ Vilata Corell. Metástasis cutáneas de neoplasias internas. Med Cutan Iber Lat Am. 2009;37(3):117–129.
  7. Cortés González JR, Garza R, Martínez R, Gómez L. Prostate adenocarcinoma metastatic to penis. Actas Urol Esp. 2006;30(8):832–834.
  8. Jones F R, Giannattasio M, Dozoretz C, et al. Metástasis cutáneas de adenocarcinoma de próstata. Med Cutan Iber Lat Am. 2013;41(2):78–80.
  9. Ortiz Sánchez L, González Rodríguez I, Alonso Prieto M, et al. Metástasis peneana de Adenocarcinoma prostático. A propósito de un caso. Archivos Españoles de Urología. 2011; 64(2):985–987.
  10. Gül U, Kiliç A, Gönül M, et al. Spectrum of cutaneous metastases in 1287 cases of internal malignancies: a study from Turkey. Acta Derm Venereol. 2007;87(2):160–162.
  11. Brown G, Kurtzman D, Lian F, et al. Eruptive nodules of the head and neck: a case report of metastatic prostate cancer. Dermatol Online J. 2014;20(2)pii: doj_21544.
  12. Hu SC1, Chen GS, Wu CS, et al. Rates of cutaneous metastases from different internal malignancies: experience from a Taiwanese medical center. J Am Acad Dermatol. 2009;60(3):379–387.
  13. Piqué Duran E, Paradela A, Fariña MC, et al. Cutaneous metastases from prostatic carcinoma. J Surg Oncol. 1996;62(2):144–147.
  14. Mannweiler S, Amersdorfer P, Trajanoski S, et al. Heterogeneity of prostate–specific membrane antigen (PSMA) expression in prostate carcinoma with distant metastasis. Pathol Oncol Res. 2009;15(2):167–172.
  15. Yin M, Dhir R, Parwani AV. Diagnostic utility of p501s (prostein) in comparison to prostate specific antigen (PSA) for the detection of metastatic prostatic adenocarcinoma. Diagn Pathol. 2007;2(1):41.
  16. Sheridan T, Herawi M, Epstein JI, Illei PB. The role of P501S and PSA in the diagnosis of metastatic adenocarcinoma of the prostate. Am J Surg Pathol. 2007;31(9):1351–1355.
Creative Commons Attribution License

©2019 CoSMF,, et al. This is an open access article distributed under the terms of the, which permits unrestricted use, distribution, and build upon your work non-commercially.