Submit manuscript...
MOJ
eISSN: 2381-179X

Clinical & Medical Case Reports

Case Report Volume 12 Issue 2

Diagnostic and therapeutic difficulty of juvenile pheochromocytoma about a case in the health district of the prefectural hospital of Siguiri in the Republic of Guinea

Camara T,1,2 Diakité M,2,3 Sylla D,2,4 Cisse M2,5

1General Medicine Service of the Siguiri prefectural hospital, Republic of Guinea
2Gamal Abdel Nasser University of Conakry, Republic of Guinea
3Hematology Department, Ignace Deen University Hospital, Republic of Guinea
4Internal Medicine Service of Donka University Hospital, Republic of Guinea
5Dermatology Department, Donka University Hospital, Republic of Guinea

Correspondence: Dr. Toumin Camara, Internist, General Medicine Service of the Siguiri prefectural Hospital, Conakry, Republic of Guinea, Tel 622807935/660555544

Received: July 16, 2022 | Published: July 25, 2022

Citation: Camara T, Diakité M, Sylla D, et al. Diagnostic and therapeutic difficulty of juvenile pheochromocytoma about a case in the health district of the prefectural hospital of Siguiri in the Republic of Guinea. MOJ Clin Med Case Rep. 2022;12(2):23-25. DOI: 10.15406/mojcr.2022.12.00413

Download PDF

Keywords

Pheochromytoma, high blood pressure, Siguiri Prefectural Hospital

Introduction

Pheochromocytoma or chromaffinoma is a rare tumor that develops in the adrenal medulla. They almost always secrete catecholamines,1,2 the main manifestation of which is arterial hypertension. The annual incidence of these tumors is 1 to 4 per million inhabitants.3 Pheochromocytoma or chromaffinoma is found about 1-5 times out of 1000 hypertensives4 which secretes catecholamines (adrenaline, noradrenaline, dopamine). It mainly affects boys whose average age at the time of discovery is 10 years.1,5,6

The clinical manifestations essentially consist of permanent arterial hypertension. The association with the paroxysmal triad consisting of headaches, sweating, palpitations or paroxysmal forms of arterial hypertension are highly suggestive of pheochromocytoma but inconsistent. In imaging, while certain aspects are characteristic of pheochromocytoma, atypical forms are frequent. Although hypertensive episodes have been described after IV injection of iodinated contrast product, their use is not contraindicated. The most classic CT appearance is that of a well-limited mass of variable size with a spontaneous density that is often greater than 10 HU, massively enhanced by the contrast product. The presence of central hypodensity generally corresponds to centro-tumor necrosis, which is all the more frequent when the tumor is larger.7,8

In MRI there is a characteristic T2 hyper signal: adrenal/liver ratio greater than 3 and rapid and intense enhancement on injection of the contrast product. A hypo- or iso signal relative to the liver on the T1 sequences is observed. Absence of signal drop on chemical shift sequences.8,9 Meta-iodo-benzyl guanidine (MIBG) scintigraphy shows hyperuptake in the non-specific affected adrenal gland.10 Therapeutic management is multidisciplinary. The pathological study of the surgical specimen provides histological confirmation of the diagnosis.

In Guinea, to our knowledge, very few or almost no cases have been reported in the literature, hence the purpose of this study. We report a case of pheochromocytoma revealed mainly by permanent and severe hypertension and diagnosed by biological assessments, computed tomography, and confirmed by anatomopathology, the additional examinations were carried out in Bamako located 207 km from Siguiri.

Objectives: To describe the clinical, paraclinical and therapeutic aspects of a case of pheochromocytoma at the prefectural hospital of Siguiri and review of the literature.

Observation

Adolescent B.K, aged 15, with no known pathological history, has been followed for a year on an outpatient basis for severe hypertension in the general medicine department of the Siguiri prefectural hospital. The clinical examination on admission noted an anxious child, with profuse sweating, violent headaches especially frontal and palpitation. Blood pressure at 193/114 mmHg, heart rate at 122 beats per minute and body mass index at 19.5 kg/m2. Physical examination revealed tenderness from the right hypochondrium to the right flank.

On biology, there was a normocytic, normochromic anemia with a hemoglobin level of 9.7 g/dl, the number of platelets at 566,000 elements/mm³, and white blood cells at 5.7000/mm³. CRP was less than 10 mg/l, serum creatinine 0.6 mg/dl, urea 0.22 g/l, phosphoremia 29 mg/l, troponin IC is negative. Funduscopic examination revealed stage III hypertensive retinopathy according to the Kir Kendall classification. Echocardiography and chest X-ray performed were normal.

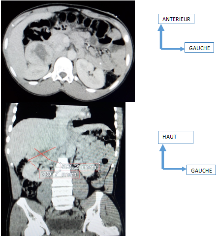
Abdominal ultrasound performed using the 3.5 Mhz convex probe showed a well-limited right adrenal mass, with regular contours, heterogeneous echostructure 79 mm long axis, with a necrotic center, with hyper vascularization on color Doppler of the fleshy portion. It was in close contact with the right upper renal pole. The abdominal CT examination (Figure 1) carried out following the ultrasound also shows the right adrenal mass with a necrotic center measuring 79.7 x 52.2 mm, the spontaneous density of the tissue portion of which is measured at 35 UH, the density at portal time at 75 HU and density at 10 min after intravenous injection of contrast product at 52 HU. Thus the relative and absolute “Wash out” is evaluated at 6% and 39%. There was no intraperitoneal or extraperitoneal fluid effusion, no infiltration of peritoneal fat and no lumbo-aortic, coelio-mesenteric or pelvic ADP.

Figure 1 Abdominal CT scan with portal phase image acquisition, axial section and coronal reconstruction in parenchymal window showing a necrotic right adrenal mass of 79 x 67 x 53mm.

In view of this radiological picture, the diagnosis of right adrenal tumor was evoked. Faced with this clinical picture of juvenile hypertension and an adrenal tumor on imaging; the dosage of 24-hour urinary Metanephrine derivatives is requested. This biological analysis shows a high rate of normetanephrine at 12638µg/24h, the rate of methoxy-tyramine at 552µg/24h and vanyl mandelic acid (VMA) at 27.18µmol/l. The diagnosis of pheochromocytoma is retained.

The adolescent was then put on beta-blocker-based antihypertensives (Avlocardyl (R) at a dose of 50 mg/m²/day, ACE inhibitor (Lopril (R) at a dose of 1mg/kg/day and paracetamol codeine 500mg at a dose of 2 tablets x 3/day. The stabilization of the blood pressure figures after 2 weeks made it possible to propose the cure of the adrenal tumour.

The adolescent benefited from excision of the tumor by a midline incision straddling the lower edge of the twelfth rib and the outer edge of the spinal erector muscles. Exploration found a tumor mass measuring 80mm by 50mm in the lodge. from the right adrenal; we will proceed to the ligature, then to the total right adrenalectomy.

Anatomopathological examination of the surgical specimen confirmed the diagnosis of pheochromocytoma by showing that this tumor is made up of rows of masses and tubes which are made of polyhedral or cylindrical cells associated with an eosinophilic and granular cytoplasm and an oval and central nucleus with slight anisokaryosis. The chorion is fibro-small and vascularized (Figure 2).

Figure 2 Macroscopic aspect of the surgical specimen showing a homogeneous, well-limited specimen with a major axis of 8cm.

The post-operative follow-up was simple. The evolution was favorable with disappearance of symptoms and normalization of blood pressure after discontinuation of antihypertensives. Quarterly blood pressure control during the first 12 postoperative months was normal.

Discussion

Pheochromocytoma is a rare and severe pathology, its diagnosis through the exploration of a cause of arterial hypertension underestimates the frequency of these tumors since 70% of them are complicated by hypertension.11 Its occurrence at an early age and its association with signs of gravity make it severe. Our observation exemplifies this; the symptomatology of pheochromocytoma is polymorphic and caused mainly by the excessive production of catecholamines.5,12,13 In children, the symptomatology is more often atypical.1,5,12

These manifestations occur in the presence of a tumor secreting mainly epinephrine and dopamine and may consist of growth arrest accompanied by impaired general condition, neurological disorders with anxiety and visual disturbances.12,13 Unilateral pheochromocytoma is revealed by hypertension which dominated the initial picture in a 16-year-old teenager.

Guided by the clinical signs of appeal, the diagnosis is based on the establishment of an excessive production of catecholamines.2,12,13 In our patient, the symptomatic triad headaches, sweats, palpitations associated with the dosage of plasma and/or urinary Metanephrines allow to make the diagnosis.2,12,13 In our case, we were guided by the clinical signs of appeal in particular the arterial hypertension being accompanied by headaches, profuse sweating and tachycardia and the abdominal scanner in front of these evocative clinical signs, made it possible to highlight the large tumor mass .As reported in the literature.1,13 The dosage of plasma and/or urinary Metanephrines and VMA will allow the diagnosis of pheochromocytoma to be made. The anatomopathological study helped to substantiate the anatomo-pathological nature of the surgical specimen. In our patient, it further confirmed the diagnosis of pheochromocytoma by showing trabeculae of masses and tubes which are made of polyhedral or cylindrical cells associated with an eosinophilic and granular cytoplasm and an oval and central nucleus with slight anisokaryosis. The chorion is fibro-small and vascularized.

Diagnosis of localization of a pheochromocytoma is based on computed tomography with iodine injection or adrenal MRI. However, the adrenal scanner in front of the evocative clinical signs, made it possible to highlight the tumoral mass.

Conclusion

Pheochromocytoma is a rare and serious tumour, with highly variable clinical expression. The discovery of arterial hypertension in children should systematically lead to the search for pheochromocytoma. Its management is multidisciplinary involving the cardiologist, radiologist, endocrinologist, visceral surgeon, anesthetist and pathologist. Imaging in general, in particular CT, plays an essential role in the diagnosis of localization of pheochromocytomas. The radical cure involves delicate surgery preceded by symptomatic medical treatment that inhibits catecholamines. Exeresis of the tumor (total right adrenalectomy) made it possible to cure our patient with cessation of antihypertensive treatment.

Acknowledgments

None.

Conflicts of interest

Authors declare that there is no conflict of interest.

References

  1. Doyon S. Un cas de phéochromocytome. Pharmactuel. 2006;39(5):268672.
  2. Ilias I, Pacak K. Current Approaches and Recommended Algorithm for the Diagnostic Localisation of Pheochromocytoma. J Clin Endocrinol Metab. 2004;89(2):479‒491.
  3. Pisoni R, Ahmed MI, Calhoun DA. Characterization and Treatment of Resistant Hypertension. Curr Cardiol Resp. 2009;11(6):407‒413.
  4. Graham JB. Pheochromocytoma and hypertension: An analysis of 207 cases. Int Abstr Surg. 1951;92(2):105‒121.
  5. Dubois R, Chappuis JP. Le phéochromocytome: particularités pédiatriques. Arch Pediatr. 1997;4(12):1217‒1225.
  6. Ross JH. Pheochromocytoma: Special Considerations in Children. Urol Clin North Am. 2000;27(3):393‒402.
  7. Legmann P. Conduite à tenir devant un incidentalome surrénalien: scanner–IRM. Journal de Radiologie. 2009;90(3):426‒441.
  8. Bessell-Browne R, O’Malley ME. CT of pheochromo-cytoma and paraganglioma : risk of adverse events with i.v. administration of nonionic contrast material. AJR Am J Roentgenol. 2007;188(4):970‒974.
  9. Dalal T, Maher MM, Kalra MK, et al. Extraadrenal pheochromocytoma: a rare cause of tachycardia and hypertension during percutaneous biopsy. AJR Am J Roentgenol. 2005;185(2):554‒555.
  10. Taieb D, Tessonnier L, Mundler O. Imagerie molécu-laire nucléaire des paragangliomes. Médecine Nucléaire. 2010;34(8):451‒456.
  11. Young W. Adrenal causes of hypertension: Pheochromocytoma and primary, Aldosteronism. Rev Endocr Metab Disord. 2007;8(4):309‒320.
  12. Lenders J, Eisenhofer G, Mannelli M, et al. Phaeochromocytoma. Lancet. 2005;366(9486):665‒675.
  13. Kinney MAO, Narr BJ, Warner MA. Periperative Management of Pheochromocytoma. J Cardiothorac Vasc Anesth. 2002;16(3):359‒369.
Creative Commons Attribution License

©2022 Camara, et al. This is an open access article distributed under the terms of the, which permits unrestricted use, distribution, and build upon your work non-commercially.