Submit manuscript...
MOJ
eISSN: 2381-179X

Clinical & Medical Case Reports

Case Report Volume 7 Issue 4

Cerebellar, lung, cutaneous and muscular abscesses secondary to Actinomyces meyeri: a case report and review of the literature

Yolanda del Castillo Duran,1 Fernanda Bodi Santos,1 Emma Munoz Quinones,1 Meritxell Mas Puig,2 Susana Blazquez Vilas,3 Xavier Raga Luria3

1Intensive Care Unit, Sant Pau i Santa Tecla Hospital, Spain
2Internal Medicine Department, Sant Pau i Santa Tecla Hospital, Spain
3Anatomy Pathology Department, Sant Pau i Santa Tecla Hospital, Spain

Correspondence: Yolanda del Castillo Durán, Intensive Care Unit, Sant Pau i Santa Tecla Hospital, Rambla Vella 14, 43003 Tarragona, Spain

Received: October 06, 2017 | Published: October 20, 2017

Citation: Durán YC, Santos FB, Quiñones EM, et al. Cerebellar, lung, cutaneous and muscular abscesses secondary to Actinomyces meyeri , a case report and review of the literature. MOJ Clin Med Case Rep. 2017;7(4):266-269. DOI: 10.15406/mojcr.2017.07.00209

Download PDF

Abstract

Background, Disseminated actinomycosis is a rare and indolent disease frequently caused by Actinomyces meyeri. It is often misdiagnosed due to the variety of presentation.

Case presentation, We report a case of a 57year old male, with pulmonary condensation, cerebellar abscess and multiple nodules on skin and muscles. He had body weight loss, hemoptysis, but no neurological symptoms. Fibrobronchoscopy discarded malignity and tuberculosis. Actinomyces meyeri was detected on histological and microbiological results of skin samples. Patient improved after treatment with penicillin G.

Conclusions, Diagnosis is based on radiologic tests and microbiologic and histopathologic results. The prognosis is excellent if antibiotic treatment is iniciated early and maintained for long time.

Keywords: actinomycosis, brain abscess, pulmonary abscess, skin nodules, muscular abscess

Abbreviations

CT, computed tomography; FNA, fine-needle aspiration; HIV, human immunodeficiency virus; MALDI-TOF, matrix-assisted laser desorption ionization time-of-flight; PPD, purified protein derivative; PTNB/A, percutaneous transthoracic needle biopsy/aspiration; WBC, white blood cell

Background

Actinomycosis is an infrequent and chronic progressive granulomatous infection caused by Actinomyces spp.1–3 It develops indurated masses formed by multiple abscesses, woody fibrosis, fistulization and suppuration of characteristic yellowish sulfur granules.1,2,4 Clinical presentation are multiple. The most common sites of infection are cervico-facial (50%), abdominal (20%), and thoracic (15%). Pelvis, subcutaneous tissue, musculoskeletal and central nervous system can be infected in 15% of cases.5,6 Frequently, it presents atypically, and it can be misdiagnosed as malignancy, tuberculosis, or nocardiosis.3,7 Actinomyces meyeri often causes pulmonary infection and shows a tendency for hematogenous dissemination.8 Only in one patient of the 26 cases of actinomycosis due to Actinomyces meyeri reported between 1960 and 1995 described pneumonia, brain abscess and multiple skin abscesses.8,9

To our knowledge, it has not been reported no case with concomitant thoracic, central nervous system, subcutaneous and muscle affectation. We present a case of disseminated actinomycosis by Actinomyces meyeri with pulmonary cerebellar, muscular and skin abscesses that improved with antibiotic treatment.

Case report

A 57-year-old male presented to our hospital with severe pain in the right knee with poor response to treatment during ten days with high-dose of nonsteroidal anti-inflammatory drugs and corticoids without gastric protector. He was smoker of 10cig/day, excessive enol consumption, advanced dental caries, and history of peptic ulcer. He reported weakness, appetite and body weight loss of 8kg in the last five months, swelling in trunk and extremities appeared four months ago, and cough with hemoptysis in the last two months.

His blood pressure was 128/65mmHg, heart rate was 92beats/min, temperature was 35°C, and respiratory rate was 16breaths/min. Physical examination revealed poor dental hygiene, numerous caries and lack of teeth. Cardiorespiratory auscultation was normal. He had painful abdominal distension. Examination of the right knee showed painful, eritematous and warm swelling. There was another painless indurate swelling in his left elbow and two nodules on his back, and one in the abdominal wall and one more in the gluteus. No palpable cervical, axillar and inguinal adenopathy were found. No neurological symptoms were observed. Laboratory findings included increased parametres of inflammation. The white blood cell (WBC) count was 23.8x10³/mm³ (normal count, 4.4-11x10³/mm³) with 91% polymorphonuclears (normal count, 40-70%). The platelet count was elevated (726x10³/mm³; normal count, 150-400x10³/mm³). Liver and renal function was normal. Serologic test for Human Immunodeficiency Virus (HIV) were negative.

Chest X-ray showed opacity located in the upper right lobe. Thoracoabdominal computed tomography (CT) reported condensation with abscessification in the upper right lobe, and hydropneumoperitoneum. It was started empirical piperacillin-tazobactam serum and vasopressors, and patient underwent emergency laparotomy. Perforated pyloric ulcer and two liters of intraperitoneal fluid was found. The ulcer was sutured and he was transferred to intensive care unit. Remained on mechanical ventilation with low oxygen concentration.

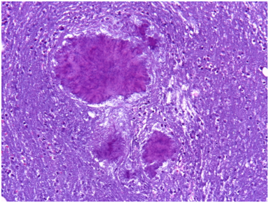
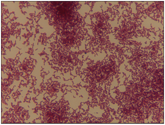
It was performed fine-needle aspiration puncture (FNA) in the subcutaneous nodule of the left knee and right elbow. It was obtained an hemato-purulent liquid without foul odor. A day later, oozing skin fistula appeared in his right knee. Histopathological examination of pus of knee and elbow subcutaneous nodules showed, abundant inflammatory infiltrate with eosinophil and polymorfonuclear neutrophils, and eosinophilic filamentous accumulation suggestive of Actinomyces (Figure 1). No neoplastic cells were obtained. Taking into consideration the results, treatment was switched to intravenous Penicillin G (5million units/6hours). Pus samples of subcutaneous nodules were incubated in anaerobic conditions in chocolate blood agar media. Cultures were positive at tenth day, filamentous Gram-positive fungal-like pathogens (Figure 2). Identifying species of Actinomyces meyeri was made by matrix-assisted laser desorption ionization time-of-flight (MALDI-TOF). It was sensitive to amoxicillin, penicillin, clindamycin, piperacillin-tazobactam and meropenem, and resistent to metronidazole.

Figure 1 Sulfur granules of Actinomyces (H&E, x20).
Figure 2 Filamentous Gram-positive fungal-like pathogens.

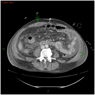
Brain scan showed a 9x6mm hypodense nodular lesion with peripheral rim enhancement in the cerebellar vermis that was consistent with an abscess. A small degree regression of the lung abscess was observed; and two abscesses (diameter of 47 and 48mm) in the right and left trapezius were seen on CT-thorax scan. CT-abdomen scan revealed little quantity of free intraperitoneal liquid, and two abscesses (23x14 and 20x20mm) in the right rectus and the right gluteus (Figure 3). Echocardiography was normal.

Figure 3 CT-abdomen scan: few quantity of free intraperitoneal liquid, and two abscesses (23x14 and 20x20 mm) in the right rectus and the right gluteus.

Fibrobronchoscopy revealed only edematous mucosa of the right upper lobe bronchi and middle lobe bronchi. Histological results of bronchial aspirate, bronchoalveolar lavage and brush catheter were negative to malignancy and actinomycosis. Microbiological cultures of blood, urine, and respiratory samples for fungi, pathogenic bacteria and mycobacteria were negative. Intraperitoneal liquid culture grew Candida albicans so it was started fluconazole. Tumor markers and Purified Protein Derivative (PPD) were negative.

The patient condition improved in a week and mechanical ventilation was removed. He has no neurological symptom. He was discharged from intensive care to a conventional room hospitalization. Two months after admission it was made control CT. Brain scan revealed a decrease of lesion (6x3mm). CT-thorax scan evidenced a less condensation in the right upper lobe without abscessed areas. CT-abdomen showed decreased size of the abscess right anterior abdominal wall (13x18mm). He remained with penicillin G sodium ev for 2months, later was changed to oral amoxicillin until completing 6 months of antibiotic treatment.

Discussion

Actinomyces spp. is an anaerobic or microaerophilic Gram-positive bacillus that normally colonize the oropharynx, gastrointestinal tract and female genitourinary tract.10,11 It was first described by Bollinger in 1877 as a causative agent of lumpy jaw in cattle.12 Owing to their filamentous structure it was originally considered fungi.13 More than 30 species have been isolated.7,14 Most cases of human actinomycosis are due to Actinomyces israelii.5–7,15 Less frequent are Actinomyces naeslundii, Actinomyces odontolyticus, Actinomyces viscosus, Actinomyces meyeri, and Propionibacterium propionicum.11

Actinomycosis is a rare endemic disease. The incidence was a yearly incidence of 1,100,000 in the Netherlands and Germany in the 1960s, and 1,300,000 in the Cleveland area during 1970s.11 It has been reported in patients smoker, alcoholic, with poor dental hygiene, after dental treatments, diverticulitis, appendicitis, surgery, trauma, foreign bodies (ex. fish bone) and also using intrauterine devices.11–16 Improved dental hygiene and the widespread use of antibiotic treatment have contributed to decrease in the incidence.14 It can occur in all ages, with a peak incidence in the middle decades.17 Disease is more frequent in males than in females (3,1).17 It has been described in patients with immunodeficiency, but in most patients no underlying disease or immunosuppression is found.13 No person-to person transmission has yet been documented.11 Our patient was a smoker, alcoholic and with dental disease, which are risk factors associated with invasive actinomicosis.

When there is a mucosal barrier disruption, microorganism invades the soft tissues without respecting anatomical plans.11 Hematogenous dissemination can occur from the common primary sites and is reported in 3% of cases.17 Lymphatic spread is uncommon.2,12,14,17 Typical microscopic findings include necrosis with yellowish sulfur granules and filamentous Gram-positive fungal-like pathogens.7 Sulfur granules is seen only in 25% cases.5 Usually, histological study is more sensitive than culture.7 Cultures are negative in more than 50% of cases.7 It is explained because of previous antibiotic therapy, inhibition of Actinomyces spp growth by concomitant microorganisms, inadequate culture conditions, inadequate-short-term incubation, or overgrowth by bystander organisms.7,13,18 The growth usually appears within 5 to 7days, but primary isolation may take up to 2 to 4weeks.17

Most actinomycotic infection is polymicrobic. It includes other commensal anaerobic bacterias (ex. Actinobacillus actinomycetemcomitans, Eikenella corrodens, Fusobacterium, and Bacteroides species) that may enhance the pathogenicity by establishing microaerophilic environment.11,19 Pulmonary actinomycosis usually is caused by aspiration of oropharyngeal or gastrointestinal secretions into the respiratory tract.1 The infiltration may extend into the pleura and chest wall with cutaneous fistulas, mediastinal lymphadenopathy may be present, and cardial structures can be involved, most frequently pericardium.7,11

The most common symptoms of pulmonary actinomycosis are chest pain, productive cough, hemoptysis and dyspnea.1 Hemoptysis appeared in 64, 9% of cases on a retrospective study performed on 94 subjects with pulmonary actinomycosis diagnosed during ten years in Korea.1

Nevertheless, pulmonary actinomycosis is frequently found incidentally on routine chest roentgenogram because the lack of respiratory symptoms.11,15 Commonly presents as a pulmonary infiltrate or a mass on chest radiograph,1 but there are no specific radiological features.14

The gold standard for diagnosing pulmonary actinomycosis is histological examination and bacterial culture of a lung biopsy obtained by surgery, percutaneous transthoracic needle biopsy/aspiration (PTNB/A).1,6,7 Culture of bronchoalveolar lavage and bronchoaspirate samples are in appropriate for the diagnosis except for patients with cavitation, as it may represent colonization.7

In our patient, tumoral markers were negative and it was discarded malignancy, tuberculosis and other bacterial infection by bronchoscopy. We did not consider performing invasive tests to diagnose pulmonary actinomycosis because actinomyces had been identified on the skin samples.

The most common cause of pulmonary actinomycosis is Actinomyces israelii.6 In our case, it was isolated Actinomyces meyeri which is also a frequent finding in lung affectation, and it is considered to have a great propensity for hematogenous dissemination.6–8 Disseminated actinomycosis is defined as the involvement of two or more distant organs.8,20

Actinomycosis of the central nervous system is rare. The source may be hematogenous or secondary a local extension of oral-cervicofacial disease.20 A meyeri was recovered in two cases of brain abscess, which is the most common clinical presentation of central nervous system presentation actinomycosis.8 Headache and focal neurologic findings are the most common clinical features. The most frequent CT appearance is a ring-enhacing lesion.11 Our patient was completely asymptomatic and abscess was found on the CT-brain scan.

Patients with pulmonary actinomycosis may also have secondary cutaneous, muscular and/or bone abscesses11,15 as a result of hematogenous seeding. Osteomyelitis was discarded in our patient.

The drug of choice is parenteral penicillin G (18-24million unit/day) during 2-6weeks followed by oral therapy with penicillin V or amoxicillin to complete 6-12months but.14,18,20 Alternatives such as macrolids and clindamycin may be given.7,18,20 Piperacillin-tazobactam, imipenem, and meropenem are considered to be active. For localized disease, antibiotic treatment for two months seems adequate.20 It is reasonable surgical or percutaneous drainage in well-defined abscesses.18 Delayed treatment can lead to increase morbidity and mortality.14

The prognosis is excellent if antibiotic treatment is instaured early and administered for several months, and surgical procedures are performed when necessary.8,14 Mortality range from 0 to 28%.14

Conclusion

Actinomyces spp. is an anaerobic Gram-positive bacteria that normally colonize the mouth, digestive and female urogenital tract. Actinomycosis is an infrequent disease with wide variety of clinical presentations that can mimic tuberculosis and malignancies. Actinomyces meyeri often causes pulmonary infection and hematogenous dissemination. Diagnosis is based on radiologic tests and microbiologic and histopathologic results. Prolonged bacterial cultures in anaerobic conditions are required. Treatment should be iniciated early and to be maintained for long time, if antibiotic is stopped prematurely actinomycosis can recur.

Acknowledgements

None.

Conflict of interest

The authors declare that they have no competing interests.

Funding

There are no sources of funding.

References

  1. Kim SR, Jung LY, Oh I, et al. Pulmonary actinomycosis during the first decade of 21st century:cases of 94 patients. BMC Infect Dis. 2013;13:216.
  2. García–Rodríguez JA. Actinomyces y Nocardia. In: Pumarola A, et al. editors. Microbiología y Parasitología Médica. Barcelona: Salvat, Spain; 1987. p. 502–505.
  3. Von Lichtenberg F. Enfermedades causadas por virus, rickettsias y bacterias. In: Robbins SL, et al. editors. Patologia Estructural y Funcional. México: Interamericana, Mexico; 1987. p. 271–349.
  4. Khodavaisy S, Zibafar E, Hashemi SJ, et al. Actinomycosis in Iran: short narrative review article. Iranian J Pub Health. 2014;43(5):556–560.
  5. Akhtar M, Zade MP, Shahane PL, et al. Scalp actinomycosis presenting as soft tissue tumour:a case report with literature review. Int J Surg Case Rep. 2015;16:99–101.
  6. Drozd–Werel M, Porzezinska M, Cynowska B, et al. Pulmonary actinomycosis– a case report. Pneumonol Alergol Pol. 2012;80(4):349–354.
  7. Valour F, Sénéchal A, Dupieux C, et al. Actinomycosis: etiology, clinical features, diagnosis, treatment, and management. Infect Drug Resist. 2014;7:183–197.
  8. Apothéloz C, Regamey C. Disseminated infection due to Actinomyces meyeri: case report and review. Clin Infect Dis. 1996;22(4):621–625.
  9. Kuijper EJ, Wiggerts H O, Jonker GJ, et al. Disseminated actinomycosis due to Actinomyces meyeri and Actinobacillus Scan J Infect Dis. 1992;24(5):667–672.
  10. Smego RA Jr. Actinomycosis of the central nervous system. Rev Infect Dis. 1987;9(5):855–865.
  11. Russo TA. Agents of actinomycosis. In:Mandell GL, et al. editors. Principles and Practice of Infectious Diseases. USA; 2000. p. 2645–2653.
  12. Bollinger O. Ueber eine neue Pilzkrankheit beim Rinde. Centralblatt für medizinische Wissenschaft. 1877;27:481–5.
  13. Kolm I, Aceto L, Hombach M, et al. Cervicofacial actinomycosis:a long forgotten infectious complication of immunosuppression–report of a case and review of the literature. Dermatology Online Journal. 2014;20(5):13.
  14. Acevedo F, Baudrand R, Letelier LM. Actinomycosis: a great pretender. Case reports of unusual presentations and a review of the literature. Int J Infect Dis. 2008;12(4):358–362.
  15. Liaudet L, Erard P, Kaeser P. Cutaneous and muscular abscesses secondary to Actinomyces meyeri Clin Infect Dis. 1996;22(1):185–186.
  16. Khodavaisy S, Zibafar E, Hashemi SJ, et al. Actinomycosis in Iran: short narrative review article. Iranian J Publ Health. 2014;43(5):556–560.
  17. Bettersworth J, Gill K, Shah J. Primary actinomycosis of the foot: a case report and literature review. J Am Col Certif Wound Spec. 2009;1(3):95–100.
  18. Benhoff DF. Actinomycosis: diagnostic and therapeutic considerations and a review of 32 cases. Laryngoscope. 1984;4(9):1198–1217.
  19. Moghimi M, Salentijn E, Debets–Ossenkop Y, et al. Treatment of cervicofacial actinomycosis: a report of 19 cases and review of literature. Med Oral Patol Oral Cir Bucal. 2013;18(4):627–632.
  20. Park HJ, Park K, Kim SH, et al. A case of disseminated infection due to Actinomyces meyeri involving lung and brain. Infect Chemother. 2014;46(4):269–273.
Creative Commons Attribution License

©2017 Durán, et al. This is an open access article distributed under the terms of the, which permits unrestricted use, distribution, and build upon your work non-commercially.