Submit manuscript...
MOJ
eISSN: 2381-179X

Clinical & Medical Case Reports

Case Report Volume 14 Issue 1

Case report of a massive benign prostatic hyperplasia

Youssef Maachi, Jaafar Fouimtizi, Mouftah Babty, Amine Slaoui, Tariq Karmouni, Khalid El Khader, Abdellatif Koutani, Ahmed Iben Attya Andaloussi

Department of Urology B, CHU Ibn Sina, Faculty of Medicine and Pharmacy, Mohamed V University, Morocco

Correspondence: Youssef Maachi, Department of Urology B, CHU Ibn Sina, Faculty of Medicine and Pharmacy of Rabat, Mohamed V University, Rabat, Morocco

Received: March 13, 2024 | Published: March 27, 2024

Citation: Maachi Y, Fouimtizi J, Babty M, et al. Case report of a massive benign prostatic hyperplasia. MOJ Clin Med Case Rep. 2024;14(1):27-28. DOI: 10.15406/mojcr.2024.14.00455

Download PDF

Abstract

Prostate weighting over 500g, commonly observed in men above the age of fifty, characterizes Benign Prostatic Hyperplasia (BPH). Our hospital received a referral for a 70-year-old man who was experiencing urinary frequency. Diagnostic tests revealed that his total prostate-specific antigen level was 10.9 ng/mL and the size of his prostate measured at 250 mL via transrectal ultrasound. To remedy the situation, he underwent simple prostatectomy wherein doctors extracted an enormous adenoma weighing in at 570g through open retropubic procedure-this falls under "Giant BPH,".

Keywords: benign prostatic hyperplasia (BPH), case report

Introduction

Benign prostatic hyperplasia (BPH) is prevalent among middle-aged or elderly men, causing lower urinary tract and pelvic symptoms like pain.1 BPH can be assessed through uroflowmetry, radiographic imaging as well as digital rectal examination. In some cases, the prostate may grow abnormally large to become an intra-abdominal mass referred to as giant prostatic hyperplasia which occurs when it exceeds 500 g in size.2 Giant prostatic hyperplasia manifests differently from regular BPH with compression symptoms such as edema of extremities and decreased peripheral arterial pulse instead of classical benign prostatic hypertrophy indications. While a retroperitoneal tumor-like manifestation during initial evaluations might suggest its occurrence rarely; only histopathologic examinations performed post-surgical procedures uncover the actual condition. This report highlights a case involving 70-year-old male patients admitted due to swollen lower limbs without experiencing any usual urethral obstruction signs for further evaluation before surgical intervention revealed that he had been suffering from giant Prostate Hyperplastic disease weighing about 570g upon performing subsequent tissue analysis after removal during surgery.

Case report

Our center received a referral for a man in his seventies who was experiencing urinary frequency. He presented with

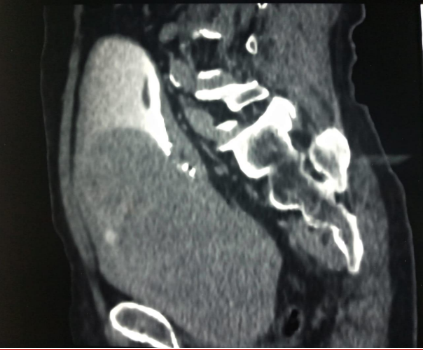
obstructive urinary symptoms, but had no hematuria or urinary incontinence. During physical evaluations, a firm  prostate with an unidentified border was detected through digital rectal examination due to its sizable volume. All laboratory tests came back normal except for total prostate-specific antigen, which registered at 10.9 ng/mL. Additionally, transrectal ultrasound measured the volume of the patient's prostate to be 250 mL. During the ultrasonography examination, a large prostatic mass was identified by the radiologist. This mass had caused displacement of the bladder towards its right side. Additionally, confirmation from the CT-scan revealed that indeed it was originating from prostate tissue (Figures 1 and 2).


Figure 1 and 2 Computed tomography scan showing the huge prostate filling the bladder.

Before the surgery, a cystoscopy was carried out which corroborated the ultrasound results indicating an abnormally large prostate and bladder deviation. A standard simple prostatectomy procedure was intended and subsequently utilized to enucleate a significant adenoma via open retropubic method. Despite blood loss of approximately 500 cc during the operation, no issues arose intraoperatively.

After removal, the specimen was found to weigh 570g (Figure 3). BPH with chronic inflammation was confirmed through pathological examinations. The catheter was taken out a week later and the patient successfully voided shortly after. Upon follow-up six months later, there were no reports of discomfort during urination or urinary incontinence from the patient.

Figure 3 The removed prostatic specimen weighed 570 g.

Discussion

As men age, BPH is a prevalent disease they may encounter. GPH refers to the prostate weighing over 500g and there are scarce instances in current literature of BPH with volumes exceeding this limit.3-5

Benign prostatic hyperplasia, characterized by the uncontrolled growth of connective tissue, smooth muscle and glandular epithelium within the prostate's transition zone, is diagnosed through a histological examination. This condition frequently results in lower urinary tract symptoms. Factors such as advanced aging, male hormones, inflammation or metabolic syndrome have been repeatedly associated with benign prostatic hyperplasia development alongside genetics among others.

Typically, the prostate weighs 18-26 g.6 However, as a person ages, it may enlarge and occasionally reach sizes up to 500 g which is known as giant benign prostatic hyperplasia. The medical literature records roughly thirty cases of this condition yet observed so far.

Treatment options for benign prostatic hyperplasia are determined by the severity of symptoms as evaluated through both objective and subjective measures.7 Objective measures include urine flow rate, postvoid residual volume, and bladder wall thickness while subjective evaluations consider international prostate symptom scores and quality of life assessments. Regardless of prostate size, patients suffering from symptomatic BPH are categorized into mild, moderate or severe groups according to their International Prostate Symptom Score (IPSS). It is important to note that there is no correlation between prostate size and symptom severity; therefore glandular size cannot be used to determine treatment prior to intervention.

Surgical intervention is necessary for severe lower urinary tract symptoms with complications, chronic and recurrent urinary retention, hematuria, renal insufficiency and frequent UTIs. For our patients specifically; surgical intervention is needed for their severe LUTSs, repeated acute urine retention despite medical treatment failure. Transurethral resection of the prostate (TURP) has been considered as a traditional gold standard surgery to treat benign prostatic hyperplasia however its feasibility may not be applicable in cases where there are giant prostate enlargements due to complicated bleeding issues associated with it which should have been anticipated beforehand Open surgical interventions instead become essential given such circumstance provided that this option still remains highly preferred within our organization's environment when dealing with giant BPH conditions.

Conclusion

A "Giant BPH" is an uncommon condition affecting the prostate gland. Our study showcases a thriving removal of this form of abnormal growth, weighing 570 grams and completed without notable complications using a retro-pubic approach.

Author’s contribution

Maachi Youssef analyzed and interpreted the patient data regarding the subject and were major contributors in writing the manuscript, Amine Slaoui, Tariq Karmouni, Khalid El Khader, Abdellatif Koutani and Ahmed Ibn Attya Andaloussi read and approved the final manuscript.

Ethics approval and consent to participate

The ethics committee of the Faculty of Medicine of Rabat has given us its agreement. Informed and verbal consent to participate in the study was provided by our patients. The reference number is not applicable.

Acknowledgments

None.

Conflicts of interest

There is no conflict of interest between the authors of this work.

References

Creative Commons Attribution License

©2024 Maachi, et al. This is an open access article distributed under the terms of the, which permits unrestricted use, distribution, and build upon your work non-commercially.