Submit manuscript...
MOJ
eISSN: 2381-179X

Clinical & Medical Case Reports

Case Report Volume 15 Issue 1

Biliary ascariasis after bilioplasty due to giant choledocholithiasis: case report

J Dueñas Orejuela,1 C Diaz Pajaro,2 A Potosi lopez3

1General Surgeon, University of Health Sciences Foundation, Research Division, Colombia
2Clinical and Surgical Gastroenterologist, General Surgeon University of Caldas, Colombia
3General Physician Military University Nueva Granada Interest group of general surgeons, Colombia

Correspondence: J Dueñas Orejuela, General Surgeon, University of Health Sciences Foundation, Research Division Colombi

Received: December 16, 2024 | Published: January 23, 2025

Citation: Orejuela JD, Pajaro CD, lopez AP. Biliary ascariasis after bilioplasty due to giant choledocholithiasis: case report. MOJ Clin Med Case Rep. 2025;15(1):1-3. DOI: 10.15406/mojcr.2025.15.00474

Download PDF

Abstract

Introduction: Ascariasis Lumbricoides is a parasitic infection common in areas with poor sanitary conditions. Although it usually affects the gastrointestinal tract, it can migrate into the bile ducts and cause serious complications. This report describes a complex clinical case of biliary ascariasis after bilioplasty for giant choledocholithiasis. Clinical case: A 40-year-old woman presents with a history of ERCP and laparoscopic cholecystectomy for giant choledocholithiasis. After endoscopic stone extraction, the patient developed symptoms of biliary obstruction, diagnosing a hepatic sub capsular collection and infection with carbapenemase-producing Klebsiella pneumoniae. A laparotomy was performed for surgical drainage and subsequently a new ERCP that revealed multiple Ascaris lumbricoides in the common bile duct, which were removed endoscopically.

Discussion: Biliary ascariasis is rare in non-endemic regions, but should be considered in patients with persistent biliary symptoms. Endoscopic management is safe and effective, especially when accompanied by complicated bacterial infections. Anti-parasitic treatment complements interventional management and helps prevent recurrences.

Conclusion: Close postoperative surveillance and a multidisciplinary approach are essential to prevent serious complications. The importance of preventive ant parasitic treatment in rural areas with limited sanitation is highlighted to reduce the incidence of biliary ascariasis and its complications.

Keywords: ascariasis lumbricoides, anti-parasitic, klebsiella pneumoniae, giant choledocholithiasis

Introduction

Ascariasis is a parasitic disease generated by Ascaris lumbricoides in most cases,1 it is common in regions where sanitary conditions are poor, and can result in serious complications, when the parasites migrate to other parts of the gastrointestinal tract,2 including bile ducts. In this report, we present the case of a patient who developed biliary ascariasis after a bilioplasty was performed, to treat giant choledocholithiasis.3 Giant choledocholithiasis, an extreme form of gallstones, represents a significant clinical challenge due to its potential complications,4,5 such as bile duct obstruction and resulting inflammation. The presence of Ascaris in the bile ducts after a biliary intervention, such as bilioplasty, is an unusual but serious event that requires careful and timely clinical management.6 This report highlights the importance of considering the possibility of ascariasis in patients with a history of giant choledocholithiasis, who present with symptoms of biliary obstruction following interventional procedures, and highlights the need for comprehensive management strategies to address this potentially life-threatening complication.7

Clinical case

A 40-year-old female patient with a history of ERCP (endoscopic retrograde cholangiopancreatography) for obstructive biliary syndrome caused by a gallstones. The cholangiogram showed a dilated intrahepatic and extrahepatic bile duct (15 mm), with filling defects of 15 mm in the middle common bile duct and 10 mm in the distal common bile duct (7 mm in this area). A papillotomy was performed and the bile duct was explored with an occlusion balloon and Dormia basket, extracting several stones, except for one giant. A bilioplasty was performed with a 15 mm balloon at 3 ATM for 60 seconds, finally achieving the extraction of the giant stone. Confirmatory cholangiogram showed a bile duct free of filling defects (Annex 1). The procedure was completed without complications.

Subsequently, due to the resolution of the choledocholithiasis, a laparoscopic cholecystectomy was performed. During the tenth postoperative day, the patient presented abdominal pain associated with nausea and multiple emetic episodes, hyperbilirubinemia associated with transaminitis, with a systemic inflammatory response due to leukocytosis and elevation of acute phase reactants.

On physical examination, the patient was found to be in fair general condition, without jaundice, without peritoneal irritation, presented pain on deep palpation in the epigastrium and right hypochondrium, and without palpable visceromegaly. A MCR (simple magnetic resonance cholangioresonance) was performed, which described the presence of a significant sub capsular collection, therefore she was taken to exploratory laparotomy, where drainage of the collection was performed, finding cloudy blood characteristics, with a volume quantified as 250 cc, culture was taken and Klebsiella pneumoniae producing serine-type carbapenemase (sensitive to amikacin, ciprofloxacin, gentamicin, tigecycline (MIC:1), TMP-SMX, ceftazidime-avibactam, and colistin), was isolated.

In addition, mild ectasia of the extrahepatic bile duct was documented with a linear image inside it, suggestive of a hepatobiliary endoprosthesis. However, the patient had no history of placement of said endoprosthesis, so the treating service considered the possibility of ascaris and decided to perform a new ERCP. During this procedure, a non-dilated intrahepatic bile duct and a dilated extrahepatic bile duct, measuring 10 mm, with a filling defect throughout the common bile duct, were observed (Annex 2). The bile duct was explored with an occlusion balloon and Dormia basket, extracting 5 ascaris one by one through the mouth.

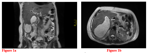
The patient progressed adequately after the procedure, and completing antibiotic treatment with a dual regimen of high-dose carbapenem and glycylcycline, in addition to anthelmintic management with albendazole for 10 days, remaining asymptomatic, therefore discharge was defined (Figure 1a &1b).

Figure 1a&1b Magnetic resonance cholangiography: (t2 coronal right axial left section) Post cholecystectomy status, hepatic sub capsular collection that extends from the surgical bed between segments 5 and 6, without blood remains, mild ectasia of the extrahepatic bile duct with linear image inside suggestive of hepatobiliary endoprosthesis. Mild biliary ectasia, no gallstones identified.

Discussion

Biliary ascariasis is a rare clinical entity in non-endemic regions, but of great relevance in areas with unfavorable socioeconomic conditions. Various studies have addressed its management, diagnosis and treatment, providing guides to face complex cases.

Endoscopic management as a safe and effective alternative for the treatment of biliary ascariasis, especially in cases complicated by cholangitis or obstructive jaundice. Endoscopic extraction allows rapid resolution of symptoms and prevents serious complications.8 The possibility of spontaneous elimination of juvenile stages of Ascaris lumbricoides orally, a rare but documented phenomenon. This finding highlights the importance of considering specific epidemiological and clinical factors in each region.9

It is also key to emphasize the value of magnetic resonance imaging as a diagnostic tool in cases of biliary ascariasis, particularly when conventional methods such as ultrasound are inconclusive. Accurate visualization of the parasite in the bile duct allows adequate management planning.10

The literature reports the success of treatment with a single dose of albendazole after endoscopic parasite extraction. This suggests that a combination of therapeutic approaches could improve results, especially in regions where the availability of endoscopic procedures is limited.10,11 In cases of bile duct ascariasis, highlighting that its management can vary from medical therapy to surgical intervention, depending on the severity of the infection and the initial response to anthelmintic treatment.12

This case highlights the importance of multidisciplinary evaluation and management in patients with postoperative complications of biliary procedures. Early identification and drainage of intra-abdominal collections are crucial to prevent the development of sepsis. Furthermore, it highlights the need to consider differential diagnoses such as parasitic infection in patients with atypical imaging findings, especially in endemic areas.

Conclusion

The management of postoperative complications in patients undergoing biliary procedures highlights the importance of close surveillance and adequate follow-up after ERCP and laparoscopic cholecystectomy, especially in patients who present with persistent or recurrent symptoms such as abdominal pain, jaundice, nausea and vomiting.

Timely detection of intra-abdominal collections and their appropriate management, as was done in this case through surgical drainage, is essential to prevent serious complications such as sepsis. The identification of a resistant pathogen, in this case, Klebsiella pneumoniae carbapenemase producer, highlights the need to perform cultures and adjust antibiotic treatment based on microbiological results.

Furthermore, this case highlights the relevance of considering less common but clinically significant differential diagnoses, such as parasitic infection with Ascaris lumbricoides. Endoscopic removal of the parasites using ERCP was a crucial procedure that contributed significantly to the patient's recovery. Anthelmintic management with albendazole was effective and necessary to eliminate the parasitic infestation.

In the context of patients from dispersed rural regions, where access to drinking water may be limited, anthelmintic management takes on special relevance. Parasitic infections, such as ascariasis, are more prevalent in these areas due to poor hygienic-sanitary conditions. Therefore, it is important to consider the administration of anthelmintic treatment preventively and regularly to reduce the parasite load and prevent complications such as biliary obstruction.

Multidisciplinary management, which included surgery, gastroenterology and microbiology, as well as the flexibility to adapt the treatment to the patient's changing needs, were decisive for the success of the treatment. The combination of specific antibiotics and anthelmintic therapy with albendazole allowed a complete recovery, without additional complications, and a safe hospital discharge.

Acknowledgments

None.

Conflicts of interest

The author declares no conflict of interest.

References

  1. Soil-Transmitted Helminths. 2024
  2. Das AK. Hepatic and biliary ascariasis. J Glob Infect Dis. 2014;6(2):65–72.
  3. Zargar S, Khan B, Javid G et al. Endoscopic management of early postoperative biliary ascariasis in patients with bile duct surgery. World J. Surg. 2004;28(7):712–715.
  4. Sabrina B, Priyal T, Sanjay T, et al. Common bile duct obstruction due to ascariasis. Biomed J Sci & Tech Res.2020;28(2).
  5. World Health Organization. Soil-transmitted helminth infections.
  6. Abore KW, Bacha T. Intrabiliary ascariasis: a case report of an uncommon cause of acute abdomen and obstructive jaundice in children. Int Med Case Rep J. 2023;16:689–692.
  7. Temesgen R, Abebe H, Abera Y. Hepatobiliary and pancreatic duct ascariasis: an unusual cause of obstructive jaundice and severe acute cholangitis. Int Med Case Rep J. 2022;15:281–286.
  8. Castaño R, Yepes N, Sanín E, et al. Biliary ascariasis: endoscopic management. Rev Colomb gastroenterol. 2003;18:83–87.
  9. Neira P, Pino G, Muñoz N, Tobar P. Elimination of juvenile stages of ascaris lumbricoides (linneo, 1758) orally. Report of a case and some epidemiological considerations. Rev Chilena Infectol. 2011;28(5):479–483.
  10. Arya PK, Kukreti R, Arya M, et al. Magnetic resonace appearance of gall bladder ascariasis. Indian J Med Sci. 2005;59:208–210.
  11. Wongsaensook A, Aukeepaisarnjaroen W, Sawanyawisuth K. Biliary ascariasis after worn removal from the duodenum and single-dose albendazole treatment. Am J Trop Med Hyg. 2010;83(1):7–8.
  12. Wani I. Gallbladder ascariasis. Turk J Gastroenterol. 2011;22:178–82.
Creative Commons Attribution License

©2025 Orejuela, et al. This is an open access article distributed under the terms of the, which permits unrestricted use, distribution, and build upon your work non-commercially.