Submit manuscript...
MOJ
eISSN: 2381-179X

Clinical & Medical Case Reports

Case Report Volume 2 Issue 5

Bilateral warthins tumour-it runs in the family

Kanona H, Kumar G, Wilson E, Kaddour H

Department of ENT, Queen's Hospital, UK

Correspondence: Hala Kanona, Department of ENT, Queen’s Hospital, Barking, Havering and Redbridge University Hospitals NHS Trust, Rom Valley Way, Romford, Essex, RM7 0AZ, UK, Tel 44 (0)7792001863

Received: May 22, 2015 | Published: August 7, 2015

Citation: Kanona H, Kumar G, Wilson E, et al. Bilateral warthins tumour-it runs in the family. MOJ Clin Med Case Rep. 2015;2(5):106-108. DOI: 10.15406/mojcr.2015.02.00034

Download PDF

Abstract

Background: A Warthins tumour or adenolymphoma is a benign cystic tumour of the salivary gland. They commonly occur in smokers, in the 6th or 7th decade of life and are treated by surgical excision. To date, no reports exist in the literature of inherited bilateral Warthins tumour in the literature.

Case report: We describe the case of a 67year old man who presented with bilateral Warthins tumour of the parotid gland. The family history showed that the patient’s brother had also been diagnosed with this and his father’s medical history was also suggestive of Warthins tumour. The patient underwent bilateral superficial parotidectomy and suffered no major long term complications.

Conclusion: Familial bilateral Warthins tumour is an extremely rare clinical presentation in ENT practice. To our knowledge, this is the first case report which describes coexisting bilateral and familial disease.

Keywords: Warthins tumour; Bilateral; Familial; Superficial parotidectomy

Introduction

Warthins tumours represent approximately 2-15% of all parotid tumours.1 Most tumours are unilateral, though bilateral disease is well described in the literature (approximately 10% cases) and is often exclusive to the parotid gland. Risk factors for the development of Warthins tumour include; cigarette smoking, genetic predisposition and environmental factors such as radiation, diet and viruses.2 The role of cigarette smoking in tumourigenesis is thought to be secondary to irritation of the ductal epithelium within the gland. Some evidence has also shown that several genetic alterations (point mutation, translocations of chromosomal units and allelic loss) have been linked to tumour initiation and progression.3,4 Recent studies have highlighted the specific role of the t (11:19) translocation and its associated oncoogene (CRTC1-MAML2) in mucoepidermoid carcinoma and Warthins tumour.4

Despite Warthins tumour being more traditionally associated with men, the increasing incidence of females smoking may somewhat alter these findings in future studies.5 As with most head and neck pathology which presents with a lump, fine needle aspiration is the investigation of choice, showing a sensitivity of around 90% and a positive predictive value of 98%.6 Though malignant transformation is rare (approximately 0.3%7), treatment mainly includes surgical excision of the superficial lobe of the parotid (assuming there no disease spread elsewhere within the parotid). Well documented complications of superficial parotidectomy include damage to the facial and great auricular nerve, hematoma, Frey’s syndrome and salivary fistula.8 Familial Warthins tumour is far less documented and rarer than bilateral disease. Within the literature only 3 sets of cases have described familial disease. To date, there has been no documentation of familial bilateral Warthins tumour of the parotid gland. Our case report is therefore the first description of thisandis unique amongst the literature.

Case presentation

A 67-year-old male smoker presented to clinic with few month history of a smooth, well-defined 3cm swelling overlying the right parotid gland. There were no other clinical features on examination. It was revealed from the family history, that the patient’s brother was diagnosed and underwent bilateral surgical excision for bilateral Warthins tumours of the parotid a few years previous. The patient’s father also reported to have had a parotid lump, though due to lack of clinical information, no definitive diagnosis could be commented on. Ultrasound guided fine needle aspiration revealed a diagnosis of Warthins tumour. The patient underwent a right superficial parotidectomy using a modified blair incision and was successfully discharged from clinic after a few months with no complications (Figure 1).

Figure 1 Modified blair incision overlying right parotid gland .

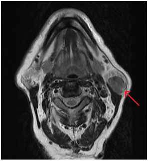
Five years later, the patient presented with a metachronous lesion overlying the left parotid gland. Ultrasound guided fine needle aspiration again, was suggestive of Warthins tumour. A T2-weighted MRI scan showed evidence of a 2.5cm well defined lesion within the left superficial parotid tissue (Figure 2). The patient underwent another superficial parotidectomy using the same surgical approach (Figure 3). Histopathological findings of the specimen were classical for Warthins tumour, showing papillary finger-like processess of columnar epithelium, eosinophillic uptake of dye and lymphoid aggregates with germinal centre formation (Figure 4). Following surgery, the patient suffered with transient Grade 2 left sided facial weakness (as per House Brakeman Classification) olasting approximately 3weeks and permanent numbness of the left ear lobe. The patient was subsequently discharged from clinic after 3months.

Figure 2 Axial slice of an MRI at the level of the parotid gland showing a 2.5cm well defined lesion in the superficial part of the left parotid gland.

Figure 3 Modified Blair incision overlying the left parotid gland.

Figure 4 Low magnification micrograph showing papillary finger-like processes of columnar epithelium, eosinophillic uptake of dye and lymphoid aggregates with germinal centre formation.

Discussion

Bilateral Warthins tumours occur in approximately 7-10% of cases where lesions tend to be metachronous, rather than synchronous, as is described in our case report.1,9 Synchronous lesions are therefore usually unilateral and may be challenging to detect on clinical examination alone.10 Some clinicians recommend pre-operative Computer Tomography or Magnetic Resonance Imaging to exclude multiple tumours, bilateral disease or extension into the deep lobe of the parotid gland.11 ENT UK Guidelines for Head and Neck Cancer suggest that CT or MRI can be useful in the pre-operative setting to identify the relationship and potential disease involvement of the surrounding structures of the parotid gland.12 Warthins tumour has been identified in extra-parotid tissue, such as the parapharyngeal space and other sites in the neck and has been described in the literature.13,14 Although fine needle aspiration is the investigation of choice for a parotid lump, common false negatives can include lymphomas and low-grade mucoepidermoid carcinomas15.

In general, superficial parotidectomy is recommended for the treatment of Warthins tumour.12 Alternative treatment options include local surgical excision (e.g. lumpectomy), total or deep lobe parotidectomy (usually carried out if there is evidence of deep lobe involvement) or non-surgical conservative management.2 As mentioned previously, postoperative complications often include ear lobe numbness (especially when performing surgery with a modified blair incision, as in our case), facial nerve weakness, freys syndrome, infection, haematoma, salivary fistula and recurrent disease.15 Both of the patients we describe developed transient facial nerve weakness secondary to neuropraxia, which has been documented in up to 19% of cases.16

Cases of familial unilateral Warthins tumour in the literature include 3brothers (between 44 and 48years old) and 2sets of mother and son (both of whom were in their 70’s and 50’s respectively). All of these cases, (including our case series), describes patient presentation within the 4th and 7th decade of life which is consistent with the literature. All patients underwent uncomplicated surgical excision confirming the diagnosis. Interestingly, one of the sons presented with a swelling of the left submandibular gland and subsequently underwent excision, confirming a diagnosis of Warthins tumour. All cases presented with salivary gland swellings, without any other associated features, as in our case series.17–19 The 3brothers were known smokers, which supports evidence that cigarette smoke has a likely role in tumourigenesis. The potential genetic predisposition of Warthins tumour, via point mutation and genetic translocation (as mentioned previously), is also supported in all of the cases described, as each case series were direct relatives. Perhaps the limited literature describing familial cases of Warthins tumour highlights the need for further scientific research to help substantiate the evidence linking specific genes with the tumourand indeed our own findings.

Key messages

  1. Inherited bilateral Warthins tumour of the parotid gland is extremely rare.
  2. Treatment of Warthins tumour of the parotid is commonly by way of superficial parotidectomy.
  3. Imaging is not a necessary pre-operative investigation in the UK, but may help in identifying synchronous or bilateral disease that is undetectable on clinical examination.
  4. Our case report shows evidence of inheritance for bilateral Warthins tumour, which may prompt a clinician to include family history as part of the initial clinical consultation.

Acknowledgements

None.

Conflict of interest

The author declares no conflict of interest.

References

  1. Ascani G, Pieramici T, Rubini C, et al. Synchronous bilateral Warthin's tumours of the parotid glands: a case report. Acta Otorhinolaryngol Ital. 2010;30(6):310–312.
  2. Saade R, Bell D, Hanna E. Benign neoplasms of the salivary gland. 6th ed. USA: Saunders Elsevier; 2015. p. 1239–1248.
  3. El–Naggar AK, Callender D, Coombes MM, et al. Molecular genetic alterations in carcinoma ex–pleomorphic adenoma: a putative progression model? Genes Chromosomes Cancer. 2002;27(2):162–168.
  4. Morio T, Morimitsu Y, Hisaoka M, et al. DNA copy number changes in carcinoma in pleomorphic adenoma of the salivary gland:a comparative genomic hybridization study. Pathol Int. 2002;52(8):501–507.
  5. O’Neill ID. New insights into the nature of warthins tumour. J Oral pathol Med. 2009;38(1):145–149.
  6. Viguer JM, Vicandi B, Jiménez–Heffernan JA, et al. Role of fine needle aspiration cytology in the diagnosis and management of Warthin's tumour of the salivary glands. Cytopathology. 2010;21(3):164–169.
  7. Bell D, Luna M. Warthin adenocarcinoma: analysis of 2 cases of a distinct salivary neoplasm. Ann Diagn Pathol. 2009;13(3):201–207.
  8. Parotid Surgery. ENT UK.
  9. Hilton JM, Phillips JS, Hellquist HB, et al. Multifocal multi–site Warthin tumour. Eur Arch Otorhinolaryngol. 2008;265(12):1573–1575.
  10. Ethunandan M, Pratt CA, Morrison A, et al. Multiple synchronous and metachronous neoplasms of the parotid gland: the Chichester experience. Br J Oral Maxillofac Surg. 2006;44(5):397–401.
  11. Maiorano E, Lo Muzio L, Favia G, et al. Warthin's tumour:a study of 78 cases with emphasis on bilaterality, multifocality and association with other malignancies. Oral Oncol. 2002;38(1):35–40.
  12.  Head and Neck Cancer Multidisciplinary Guidelines. 4th ed. ENT UK; 2011.
  13. Shah N, Tighe JV, Barrett AW, et al. Bilateral intraparotid and extraparotid Warthin's tumours. Br J Oral Maxillofac Surg. 2007;45(3):238–239.
  14. Shaw CK, Sood S, Bradley PJ, et al. Unusual mass in the parapharyngeal space: a Warthin's tumour. ANZ J Surg. 2006;76(3):193–194.
  15. Fakhry N, Antonini F, Michel J, et al. Fine–needle aspiration cytology in the management of parotid masses: evaluation of 249 patients. Eur Ann Otorhinolaryngol Head Neck Dis. 2012;129(3):131–135.
  16. Al Salamah SM, Khalid K, Khan IA, et al. Outcome of surgery for parotid tumours: 5–year experience of a general surgical unit in a teaching hospital. ANZ J Surg. 2005;75(11):948–952.
  17. Talmi YP, Horowitz Z, Odenheimer NS, et al. Familial occurrence of Warthin's tumour. J Otolaryngol. 1994;23(3):206–207.
  18. Noyek AM, Pritzker KP, Greyson ND, et al. Familial Warthin's tumor. 1. Its synchronous occurrence in mother and son. 2. Its association with cystic oncocytic metaplasia of the larynx. J Otolaryngol. 1980;9(1):90–96.
  19. Russo F, Coscarella G, Prisco LA, et al. Cystadenolymphoma of the salivary glands: is there a familial role? Annali Italiani di Chirurgia. 1999;70(2):233–237.
Creative Commons Attribution License

©2015 Kanona, et al. This is an open access article distributed under the terms of the, which permits unrestricted use, distribution, and build upon your work non-commercially.