Submit manuscript...
MOJ
eISSN: 2381-179X

Clinical & Medical Case Reports

Case Report Volume 5 Issue 3

Basal Cell Carcinoma with Sebaceous Differentiation: A Rare Case Report

Kafil Akhtar, Noora Sayeed, Mohd Rafey, Mubarak Al Shraim

Department of Pathology, Aligarh Muslim University, India

Correspondence: Kafil Akhtar, Department of Pathology, Jawaharlal Nehru Medical College, Aligarh Muslim University, India

Received: November 20, 2016 | Published: December 7, 2016

Citation: Akhtar K, Sayeed N, Rafey M, et al. Basal cell carcinoma with sebaceous differentiation: a rare case report. MOJ Clin Med Case Rep. 2016;5(3):227-228. DOI: 10.15406/mojcr.2016.05.00134

Download PDF

Abstract

Basal cell carcinoma is the most common cancer of skin in western countries in the fair skinned people. Histopathologically, basal cell carcinomas can be broadly classified into solid undifferentiated type and those with differentiation towards specific lineage such as eccrine, sebaceous or other cell lines. The exact incidence of basal cell carcinoma with sebaceous differentiation is not known due to marked overlapping with its other differential counterparts. Very few case reports are mentioned. We herein report a case of BCC with sebaceous differentiation in a 42year old man, with special emphasis on differentiating it from sebaceoma and sebaceous cell carcinomas on histopathology.

Keywords: basal cell carcinoma, sebaceous differentiation, histopathology, basaloid cells, infundibulocystic, epithelioma, morpheaform

Introduction

Basal cell carcinoma was first described by Jacob Arthur in 1827, who gave the term rodent ulcer to it.1 It is the most common cancer of skin in western countries in the fair skinned people.2 Being a locally aggressive tumor, few authors consider this lesion not to be a true carcinoma and gave another term, known as basal cell Epithelioma.3 It arises from the basal layer of the epidermis. The most common etiology is chronic exposure to ultraviolet radiation and about 80% of the lesions are found in the sun exposed regions.

Histopathologically, basal cell carcinomas can be broadly classified into solid/undifferentiated type and those with differentiation towards specific lineage such as eccrine, sebaceous or other cell lines.4 The exact incidence of basal cell carcinoma with sebaceous differentiation is not known due to marked overlapping with its other differential counterparts. Very few case reports are mentioned. We herein report a case of BCC with sebaceous differentiation in a 42year old man, with special emphasis on differentiating it from sebaceoma and sebaceous cell carcinomas on histopathology.

Case report

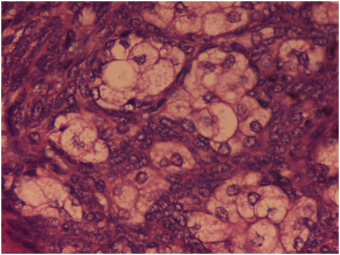
A 42year male presented to the skin outpatient department with chief complains of a single brownish painless lesion on his right cheek for the past one year. On examination, it was ulcerated and nodular, measuring 1.5×1.5cm in size. A clinical diagnosis of pigmented basal cell carcinoma (BCC) was made. The nodule was completely excised and the specimen was sent for histopathological diagnosis. On microscopic examination, section showed lobules and nests of tumor cells embedded in the dermis. Tumor cells were uniform with hyperchromatic nuclei and scant cytoplasm. Tumour islands also showed areas of retraction artifact as well as peripheral palisading of the nuclei on the periphery of the nests (Figure 1). However few aggregates of basaloid cells showed clusters of a sebaceous duct-like structure, containing keratinous debris. These clusters were mainly comprised of squamous cells with the peripheral part containing basaloid cells. Clusters also contained scattered vacuolated cells, with foamy cytoplasm (Figure 2). So a final diagnosis of Basal cell carcinoma (BCC) with sebaceous differentiation was given. The patient was completely asymptomatic after 1year of follow up period.

Figure 1 Section shows lobules and nests of tumor cells embedded in the dermis, with uniform hyperchromatic nuclei and scant cytoplasm. Tumour islands also showed areas of retraction artifact as well as peripheral palisading of the nuclei on the periphery of the nests. Hematoxylin and Eosinx10X.

Figure 2 Section shows aggregates of basaloid cells with sebaceous duct-like structure, containing keratinous debris and scattered vacuolated cells, with foamy cytoplasm. Hematoxylin and Eosinx40X.

Discussion

BCC is thought to arise from the pluripotent cells of basal layer of the epidermis.1,5 It is usually encountered in the fourth to fifth decade or more later in life with male: female ratio of 3:2. The most common site is face, from the line joining angle of the mouth and earlobule known as onghrens line.6 Similarly our patient was a 42year man with nodulo-ulcerative lesion on the right cheek. On the basis of morphology, BCC are broadly classified in to those with indolent-growth pattern or with an aggressive-growth pattern. The indolent-growth variants include superficial and nodular BCC, while tumors with an aggressive growth are infiltrative BCC, metatypical BCC, and morpheaform or sclerosing BCC. Histopathologically they can be simply basal cell carcinomas with any differentiation (solid/undifferentiated) or those with differentiation showing additional features of other lineages, without any effect on the prognosis.4 Differentiated BCC include keratotic BCC, infundibulocystic BCC, follicular BCC, pleomorphic BCC, BCC with eccrine differentiation, BCC with sebaceous differentiation, fibroepithelioma of Pinkus and the BCC with myoepithelial differentiation.4

Our case showed typical features of BCC with sebaceous differentiation. BCC with sebaceous differentiation has (1) aggregations of follicular germinative cells with silhouette of malignancy, (2) cells at the periphery of aggregations that are columnar and arranged in a palisade, and (3) clefts between aggregations of neoplastic germinative cells and adjacent stroma.7

Tumors with sebaceous differentiation have to be distinguished from the common problematic differentials such as sebaceoma and sebaceous cell carcinoma. Sebaceoma shows a benign architectural pattern and silhouette, and is cytologically composed of basaloid cells with small, monomorphous, oval nuclei without prominent nucleoli. The lesions have aggregations of basaloid sebocytic germinative cells admixed with single or small clusters of mature, vacuolated sebocytes often in association with sebaceous duct-like structures. There is no palisaded arrangement of nuclei at the peripheries of the aggregations.8 The second differential of BCC with sebaceous differentiation is sebaceous carcinoma with basaloid cells.9 Both sebaceous carcinoma with basaloid cells as well as BCC with sebaceous differentiation share aggregates of atypical cells with an architectural pattern and silhouette of malignancy. However, BCC with sebaceous differentiation shows basaloid cells arranged in a palisade at the periphery of the aggregations and separation or retraction artifact from the adjacent stroma by clefts, which is not seen in sebaceous carcinoma. The basaloid cells of BCC lack the typical lobular architecture of sebaceous adenoma seen in few foci of sebaceous carcinoma and have oval, monomorphous nuclei, although sometimes pleomorphic nuclei along with many mitotic figures are seen. Whereas sebaceous carcinoma shows severe nuclear atypia with abundant mitoses. Another important point is that the sebaceous carcinoma shows pagetoid spread of neoplastic cells in the overlying epidermis.8 Moreover the vacuolated sebaceous duct-like structures, which were seen on microscopic examination within the aggregations of BCC, demonstrated sebaceous differentiation in BCC. Until now there has not been any percentage criteria of sebaceous differentiation which can categorize sebaceoma, sebaceous carcinoma, and BCC. However the degree of sebaceous differentiation in BCC is not as prominent, when compared with that insebaceoma or sebaceous carcinoma.

Treatment of choice for most of the primary BCC is surgical excision. However MOHS (Microscopically Oriented Histographic Surgery) Micrographic Surgery (MMS) is recommended for larger BCC’s of face or those with more aggressive growth pattern. . Other safe and effective alternative treatments are intralesional injection of interferon alpha (IFN alpha) and photodynamic therapy (PDT) in which photosensitizers are applied to the target area.10

Acknowledgements

None.

Conflict of interest

The author declares no conflict of interest.

References

Creative Commons Attribution License

©2016 Akhtar, et al. This is an open access article distributed under the terms of the, which permits unrestricted use, distribution, and build upon your work non-commercially.