Submit manuscript...
MOJ
eISSN: 2381-179X

Clinical & Medical Case Reports

Case Report Volume 6 Issue 2

Atrial septal defect with pulmonary valve endocarditis-an unusual friendship

Chandra Kumar Das, Tony Ete, Rinchin Dorjee, Gaurav Kavi, Amit Malviya, Swapan Saha, Animesh Mishra

Department of Cardiology, North Eastern Indira Gandhi Regional Institute of Health and Medical Sciences, India

Correspondence: Animesh Mishra, Department of Cardiology, North Eastern Indira Gandhi Regional Institute of Health and Medical Sciences, India

Received: February 02, 2017 | Published: February 21, 2017

Citation: Das CK, Ete T, Dorjee R, et al. Atrial septal defect with pulmonary valve endocarditis- an unusual friendship. MOJ Clin Med Case Rep. 2017;6(2):42-43. DOI: 10.15406/mojcr.2017.06.00154

Download PDF

Abstract

Right-sided infective endocarditis (RSIE) is a rare condition that constituting 10% cases of Infective Endocarditis. Usually seen to be associated with intravenous illicit drug use (IVDU) or central catheter use. Most of the cases of RSIE involves tricuspid valve. Isolated pulmonary valve infective endocarditis is a rare condition. It is usually associated with non specific signs and symptoms. Diagnosing a case of Pulmonic valve (PV) IE may take time delay. ASD associated with PV infective endocarditis is very rare in literature. Here we are presenting a 30years, male who presenting to us with long standing fever, breathing difficulty treated intermittently with antibiotics who was diagnosed finally as a case of ASD with pulmonary valve vegetations, treated successfully.

Keywords: atrial septal defect, infective endocarditis, pulmonary valve, pulmonic regurgitant, echocardiography

Abbreviations

RSIE, right-sided infective endocarditis; IE, infective endocarditis; IVDU, intravenous illicit drug use

Introduction

Pulmonary valve endocarditis is a rare condition often taking a long time to diagnose. It may present with non specific signs and symptoms. It can be associated with structurally normal heart and also heart with abnormal valves. Unlike involvement of aortic and mitral valve in infective endocarditis, PV infective endocarditis lacks peripheral stigmas.

Case report

30year male patient was admitted with history of fever and occasional cough for 5months. He was treated in a local hospital for the same with oral and intravenous antibiotics several times but that led to transient symptomatic improvement. On physical examination his axillary temperature was 99degree F, chest was bilaterally clear and cardiovascular system examination revealed loud S2 with fixed split and ejection systolic murmer in pulmonary area. Routine blood test revealed total count 20000/cmm, 71% neutrophil, ESR 91mm,CRP was positive (titre>0.6mg/dl). Liver function test and renal function test were eithin normal limit. Blood culture sent was sterile after 48hours and 7days aerobic/anaerobic incubaton. Chest x ray showed few cavitary lesion following which CT scan thorax was done that revealed multiple thin walled cavitary lesion suggestive of sequelae of old infection. 2D echocardiography showed OS-ASD of 18mm with left to right shunt and mobile vegetation was seen on pulmonary valve. Patient was started on intravenous ceftriaxone and gentamycin. Subsequent echocardiography during hospitalization showed only mild to moderate pulmonary regurgitation and moderate pulmonary hypertension along with the previous findings. The patient had no other clinical manifestation, or identifiable complication including thromboembolism. CRP was negative after completion of antibiotics. The patient was discharged after 6 weeks in stable condition. Nevertheless the pre discharge echocardiography revealed persistence of vegetation, which had developed a fibrotic appearance and persistent mild to moderate pulmonary regurgitation.

Discussion

Right-sided infective endocarditis (RSIE) is a rare condition constituting 10% of cases of Infective Endocarditis.1 Infective endocarditis (IE) involves the aortic valve as the most common followed by the mitral valve as more common. Tricuspid and pulmonary valve are the least commonly involved. In patients with congenital heart defects, left, right and both sided IE accounts for 46.4%, 32.7% and 2.3%, respectively.2 Prevalence of isolated tricuspid and pulmonary valve IE is 2.5-3.1% and 2%, respectively.3,4 It is usually seen to be associated with intravenous illicit drug use (IVDU) or central catheter use. Staphylococcus aureus is the most common infectious agent in all cases.5 Most cases of right sided infective endocarditis involves the tricuspid valve. Incidence of RSIE is on the rise due to increase number of patients using central venous lines, as well as pacing and other intravascular devices.6 It is also commonly seen in patients on maintenance hemodialysis. Infective endocarditis involving the pulmonic valve is extremely rare, accounting for only 1.5 to 2.0% of hospital admissions for infective endocarditis.7 IE may be isolated to the pulmonic valve alone or it may concomitantly affect other valves. Both structurally normal and heart with abnormal valves have been associated with pulmonic valve endocarditis. Low incidence of infection on the pulmonic valve compared with other cardiac valves can be explained relating to differences in hemodynamic pressures across the valves, oxygen saturation, underlying congenital or acquired valvular abnormalities. The endothelial lining and relative vascularity of the valves has also significant role. Clinical manifestation of pulmonic valve endocarditis is similar to that of tricuspid valve infection. Fever, breathing difficulty, pleuritic chest pain are the predominant symptoms. Radiographic and laboratory evidence frequently corroborates the presence of pulmonary embolism. Approximately one half of patients will have pulmonic regurgitant murmur present on cardiovascular examination. Due of the nonspecificity of symptoms and lack of peripheral stigmas typically associated with mitral or aortic valve involvement, the diagnosis of pulmonic valve endocarditis usually takes time. It may be delayed for up to 6months. A high index of suspicion is needed to diagnose a case of pulmonary valve endocarditis for better management and outcome. Interatrial communication has been reported in some cases of RSIE, however, these involved normal native pulmonary valves.8 Pulmonary valve IE associated with ASD has rarely been reported in literature. To conclude, in presence of longstanding fever with non specific symptoms a proper assessment of pulmonary valve should be done with TTE and also TEE if possible. Other clinical conditions should be corroborated also specially in situations when a patient is having predisposing heart disease. A high clinical index of suspicion with proper diagnostic method will help in diagnosing and proper management (Figure 1) (Figure 2).

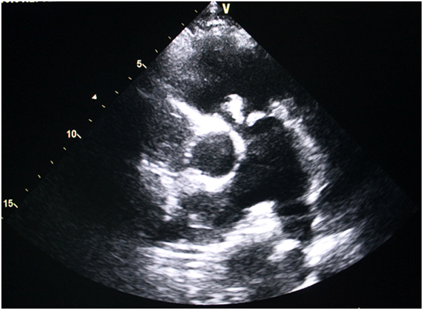
Figure 1 Transthoracic Echocardiography short axis view showing vegetations on pulmonary valves.

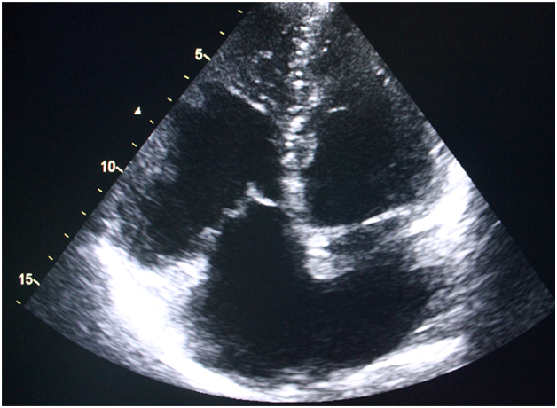
Figure 2Transthoracic echocardiography apical four chamber view showing ostium secundum atrial septal defect.

Acknowledgements

None.

Conflict of interest

The author declares no conflict of interest.

References

Creative Commons Attribution License

©2017 Das, et al. This is an open access article distributed under the terms of the, which permits unrestricted use, distribution, and build upon your work non-commercially.