Submit manuscript...
MOJ
eISSN: 2381-179X

Clinical & Medical Case Reports

Case Report Volume 7 issue 2

Anaplastic thyroid cancer treated with lenvatinib with complete response - a case report

Arif Adnan Shaukat, Arif Adnan Shaukat

Prince Sultan Military Medical City Riyadh, Saudi Arabia

Correspondence: Arif Adnan Shaukat, Prince Sultan Military Medical City Riyadh, Saudi Arabia

Received: August 01, 2017 | Published: August 3, 2017

Citation: Shaukat AA. Anaplastic thyroid cancer treated with lenvatinib with complete response - a case report. MOJ Clin Med Case Rep. 2017;7(2):194-195. DOI: 10.15406/mojcr.2017.07.00194

Download PDF

Abstract

The modern era is now seeing a revolution in treatment options for Thyroid cancer. Multikinase Inhibitors are now proven effective treatments and their use is approved in recurrent and metastatic radio iodine refractory (RR DTC) and Medullary thyroid cancers. However, Anaplastic Thyroid cancer (ATC) still remains an orphan disease with high mortality and limited if any treatment options particularly when presenting as advanced stage. Use of Multikinase Inhibitors (MKI) is still being explored in trials. We present a case of locally advanced ATC treated with MKI Lenvatinib demonstrating an exceptional response to treatment not previously reported.

Keywords: anaplastic thyroid cancer, multikinase inhibitors, lenvatinib, thyroglobulin

Introduction

Anaplastic Thyroid cancer is one of the most aggressive cancers to treat. Current treatment recommendations are based on retrospective analysis and individual centre experiences. These recommendations include multimodality treatment with surgery, radiotherapy and systemic treatment depend on the stage and symptoms at presentation.1 These approaches have met with limited success with the best results from a study that showed 9% 2 years survival after intense multimodal treatment.2 We present our recent experience of treatment with Lenvatinib in a patients presenting with locally advanced ATC.

Case report

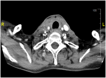
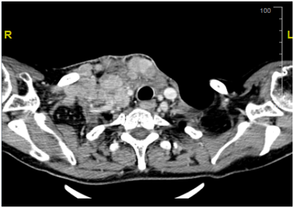
Our patient is a 55yrs. old female with long standing history of Goitre. She underwent total thyroidectomy after confirming Papillary Thyroid cancer on FNA at presentation with slowly progressing neck mass over a course of 1yr. Initial TNM stage showed a T3 N1 M0 Papillary thyroid tumour with extra capsular extension. She proceeded to have radio iodine ablation in May 2016 with 5000Mbq which showed uptake in thyroid bed and Rt neck nodes at level 2. She was then maintained on TSH suppressive dose of thyroxine. Unfortunately, she suffered a relapse in the neck with neck nodes 3 months later i.e. in august 2016 and proceeded to have neck clearance. Again nodes in the RT neck were noted along with extra capsular extension. Pathology, however, showed anaplastic thyroid cancer. Within 6 weeks from her second surgery she came back with rapidly progressing bilateral lower neck nodes. She had a CT which confirmed the recurrence with no distal metastasis. Her recurrence, now second after initial surgery, was deemed inoperable due to the tumour being wrapped around the carotid artery. She proceeded with External Beam Radiotherapy for local control. She progressed on radiotherapy within 2weeks of the start of treatment. This was confirmed on repeat CT scan. No distal metastasis was detectable. Unsurprisingly patient’s thyroglobulin levels were never very high (max level of 20.6). Subsequent levels were within normal limits with no detectable Anti Thyroglobulin Antibody. At this point patient was started on 24mg of Lenvatinib. On her next follow up after 2weeks patient had a complete clinical resolution of her neck nodes and a subcutaneous suprasternal mass as seen previously showed considerable shrinkage. Patient remained troubled with grade 2 fatigue and anorexia but nothing else. At her next appointmentafter2 weeks she had complete disappearance of her disease so much so that a crater was left in suprasternal area i.e. site of her previous subcutaneous tumour extension. Due to persistent fatigue and anorexia dose of Lenvatinib was reduced to 14mg which she is tolerating well. She had a CT at 6weeks which confirmed complete resolution of her disease and no metastasis. She has recently undergone debridement of the lower anterior neck wound and no disease has been detected on biopsy. She awaits her next staging CT in near future (Figure 1).

Figure 1 a) Response after Lenvatinib.
b) Disease prior to Treatment with Lenvatinib.

Discussion

ATC remains challenging disease to treat. Rapidity of progression and propensity to recurrence as well as metastasizing has meant limited if any success in curing or achieving long term control. Currently there is a lack of standard of care for management of local as well as metastatic disease.

Lenvatinib is Multikinase Inhibitor that targets the vascular endothelial growth factor receptor 1-3, fibroblast growth factor receptor 1-4, platelet-derived growth factor receptor-alpha, and RET and KIT proto-oncogenes. Based on the SELECT trial3 results it is now approved for treatment of Radioiodine refractory differentiated thyroid cancer. Its effectiveness in treatment of ATC is largely unknown. A recent phase 2 trial experience of treatment of ATC, medullary and differentiated radio iodine resistant thyroid cancer carried out in Japan4 has shown promising results with statistically significant progression free survival in ATC patients treated with Lenvatinib. We took the decision to treat our patient with Lenvatinib encouraged by these results.

The rapidity and the extent of the response has been unprecedented and not previously reported. Even in the Japanese trial,4 partial response and disease stability was the main theme. In a case series of 3 ATC patients from Mayo clinic treated with Lenvatinib, no clinical CR over a short period had been observed.5 Our patient has had a complete resolution of all clinical disease within 3 weeks of initiation of treatment and no progression elsewhere on restaging scans. This success, however, has come at the expense of significant fatigue, anorexia and asthenia requiring dose reduction to 14mg. Dose escalation to back to 24mg has not been possible due to poor tolerance. Patient thus far has continued to respond to the reduced dose with no clinical signs of progression.

Lenvatinib in early phase trials, albeit limited numbers, has shown efficacy against ATC .The ongoing phase 2 multinational trial6 is now recruiting and will provide long results that may shift the treatment paradigm for management of ATC.

Acknowledgements

None.

Conflict of interest

The author declares no conflict of interest.

References

Creative Commons Attribution License

©2017 Shaukat, et al. This is an open access article distributed under the terms of the, which permits unrestricted use, distribution, and build upon your work non-commercially.