Submit manuscript...
MOJ
eISSN: 2381-179X

Clinical & Medical Case Reports

Case Report Volume 9 Issue 6

Adrenal teratoma: a rare retroperitoneal tumor

Ammara Kanwal,3 Nabila Talat Baila,1 Naeem Liaqat,2 Imran Hashim,1 Muhammad Saleem,1 Muhammad Sarfraz1

1Pediatric Surgery, Children hospital/ Lahore, Pakistan
2Pediatric Surgery Rawalpindi Medical University, Pakistan

Correspondence: Ammara Kanwal, Rawalpindi Medical University, CB-138 New Lala Rukh Wah cantt, District Rawalpindi, Punjab, Pakistan

Received: November 11, 2019 | Published: December 10, 2019

Citation: Baila NT, Liaqat N, Kanwal A, et al. Adrenal teratoma: a rare retroperitoneal tumor. MOJ Clin Med Case Rep .2019;9(6):154?155 DOI: 10.15406/mojcr.2019.09.00327

Download PDF

Abstract

Introduction: A teratoma is a relatively common tumor of pediatric age group. But it rarely presents as a retroperitoneal mass. We encountered a case of Adrenal teratoma, a rare entity.

Case Presentation: An 11 years old boy presented with pain in right lumbar region. His examination was unremarkable. Work up showed a suprarenal mass that turned out to be an adrenal teratoma.

Conclusion: Adrenal teratomas may mimic adrenal cancers and should be considered a necessary differential, especially in children and adolescents.

Keywords: teratoma, germ cell tumor, retroperitoneal tumors, childhood neoplasm, rare masses

Introduction

Teratoma is a germ cell tumor, usually manifesting in children and adolescents. It typically forms in gonads or in axial structures, probably, following the path of germ cells during embryonic development. Retroperitoneal teratoma is a very uncommon variety of germ cell tumors, seen in only approximately 5% of infantile cases. Whereas adrenal teratoma is extremely rare.1 In this case report, we present such a rare case of a boy with adrenal teratoma.

Case presentation

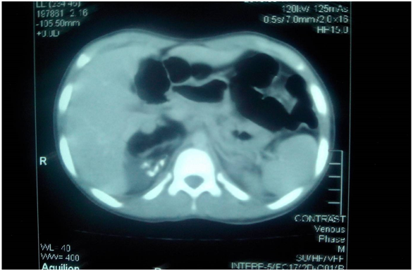
An 11years old boy, a known case of Down’s syndrome, presented with localized and intermittent pain in right lumbar region for one year. There was no history of fever, weight loss, burning micturition, hematuria or any previous surgical intervention. Patient was a product of consanguineous marriage. On examination, the abdomen was soft, non-tender, non-distended and with no palpable mass. The Ultrasound revealed a 4x3.5x5cm predominantly echogenic mass with calcification and cystic area in the right suprarenal region, compressing the right kidney inferiorly. All the baseline investigations were unremarkable. Echocardiography showed dysplastic pulmonary valve with mild pulmonary stenosis. Alpha feto protein was 0.654IU/ml (reference range<5.0). The child was also found to be having positive Hepatitis C status. Computed Tomography (CT) scan was obtained which showed a suprarenal mass (Figure 1-2). The patient was discussed in tumor board and was shifted to the department of pediatric surgery with the suspicion of right adrenal teratoma. Patient was optimized and surgery was planned. The tumor was surgically excised, yielding a 7x5x5cm grey colored mass. Grossly, it appeared cystic with clear serous fluid oozing out on cutting. On microscopic examination it was a cyst without any lining, lumen having hemorrhage along with scattered hemosiderin laden macrophages. Wall of the cyst revealed sheaths of hemosiderin laden macrophages with underlying lymphoid tissue, scattered smooth muscle bundles and foci of adipose tissue. There was focal calcification and a single focus of cartilage along with skeletal muscle and nerve bundles, so diagnosis of Adrenal Teratoma was made. The post-operative period was uneventful and patient is doing well to date after a follow up of 2 years.

Figure 1 Showing CT image of abdomen.

Figure 2 2A and 2B showing intraoperative and excised mass.

Discussion

Teratoma is suggested to be derived from germ cells as per the parthenogenic theory. They may be mature; with developed tissue and predominantly benign nature or immature having embryonic tissue and susceptibility of malignancy. Infrequently, mature teratoma may undergo malignant changes.2 Adrenal teratoma is a rare type of retroperitoneal teratoma that is usually symptomless. But they may present with pressure effects, or acutely, with torsion or rupture of tumor. When symptomatic, adrenal teratoma tend to be misdiagnosed as adrenal neoplasm.3,4 They may also guise as an ovarian cancer, renal cyst, retroperitoneal fibroma, sarcoma, cystic neuroblastoma, etc.4 Adrenal teratoma, unlike gonadal variety have a greater prevalence in males with a ratio of 1:1.2 and a left side propensity.1 Our case on the other hand had a right sided teratoma. Some association between the retroperitoneal teratoma and Down’s syndrome is also being reflected upon, in the literature.5 However, there is no ample proof on the subject to help establish such a connection. Typically teratomas are diagnosed incidentally, on radiological examination. Suspected teratoma should be checked for any hormonal activity or malignant proclivity. Complete excision of the neoplasm is an effective treatment. Nonetheless, if malignant, adjuvant therapy in the form of radiation and chemotherapy is indicated. Although, a retroperitoneal teratoma is very rare, it may be included in the differentials of retroperitoneal masses. Moreover, the likely malignant potential of these confounding neoplasms implore us for their timely diagnosis and hence, the treatment.5 Rare masses have a tendency to deceive us to misdiagnose the case, therefore they need to be considered while approaching an unusual case. Moreover, the association of down syndrome with retroperitoneal teratomas, if present, needs to be associated.

Conclusion

Teratomas rarely present as retroperitoneal masses, particularly involving adrenal gland. Adrenal teratomas may mimic adrenal cancers and should be considered a necessary differential, especially in children and adolescents.

Acknowledgments

None.

Conflicts of interest

No conflict of interest exists.

Funding

None.

References

Creative Commons Attribution License

©2019 Baila, et al. This is an open access article distributed under the terms of the, which permits unrestricted use, distribution, and build upon your work non-commercially.