Submit manuscript...
MOJ
eISSN: 2381-179X

Clinical & Medical Case Reports

Case Report Volume 4 Issue 6

Accidental high-speed hand piece bur buried during surgery of mandibular third molar: a rare case report

Fareedi Mukram Ali,1 Muzaffar Ali Khan,2 Ali Ebrahim Shtaifi,3 Sultan Mohammed Namis3

1Dept of Oral & Maxillofacial Surgery, Asst Professor, College of Dentistry, Saudi Arabia
2Lecturer, College of Dentistry, Saudi Arabia
3Dental intern, College of Dentistry, Saudi Arabia

Correspondence: Fareedi Mukram Ali, Asst Professor, Dept of Oral & Maxillofacial Surgery College of Dentistry, Jazan, Saudi Arabia

Received: September 11, 2016 | Published: October 13, 2016

Citation: Ali FM, Khan MA, Shtaifi AE, et al. Accidental high-speed hand piece bur buried during surgery of mandibular third molar: a rare case report. MOJ Clin Med Case Rep. 2016;4(6):152-153. DOI: 10.15406/mojcr.2016.04.00114

Download PDF

Abstract

Surgical extraction of the mandibular or maxillary third molar is a routine surgical procedure in the department of oral and maxillofacial surgery. But despite of adequate effort to perform these surgeries carefully, it can result in a number of complications. Sometimes accidental surgical instruments can be buried during the surgical procedures. But, this is a very rare complication reported in the literature. The present article reports one of the rare case of non-symptomatic accidental buried of high-speed handpiece bur into the bone. It is the responsibility of the dental practitioner to always check the surgical instrument for breakage signs and should be prepared to solve any possible emergency of this type. Retained instrument fragments should be studied carefully prior to attempt of removal.

Keywords: accidental buried, hand-piece bur, surgical removal of third molar

Introduction

Removal of the third molar is a common surgical procedure in the oral surgery department. It can be associated with a number of complications like excessive bleeding, abscess formation, nerve injury or mandibular fracture. Displacement of impacted third molars, either crown, root fragment, or the entire tooth, are the complications that occasionally occur during these operations. Minor complications can recover without any treatment, including swelling, pain or bleeding.1–4

Accidental breakage of any of the surgical instruments is a rare surgical complication that has been reported infrequently in the Exodontia literature. The factors usually contributing to such problems are varied and can include the patient (those which are tooth related), aged instruments and the surgeon’s operative experience.1,4 Instrument breakage must be managed with a successful search for the broken fragment and its removal to avoid future potential issues like infection or any other complications including swallowing or aspiration of the fragment.5 The aim of the present report is to describe a rare case of accidental high-speed handpiece bur buried into the mandibular bone, which remained asymptomatic for one year, until it was diagnosed during routine radiographic examination for rehabilitation of another tooth.

Case report

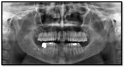
A 35-year-old male patient reported to college of Dentistry, Jazan. In routine examination of the other teeth on OPG (Orthopantamogram), it was found that a sharply defined radiopaque mass in the right mandibular third molar area (Figure 1). On history, patient had undergone surgical extraction of the third molar at a private clinic one year back. There was no history of pain, swelling, discharge or paresthesia in that region. Based on history, clinical and radiological correlation, the object was assumed to be a broken fragment of bur. The broken bur fragment was buried in the region approximately 5 to 7mm from the upper border of alveolus and 7 to 8mm away from the distal root of right mandibular second molar. As patient was not having any of the signs and symptoms related to that broken bur fragment, no treatment was done and patient was kept on constant observation.

Figure 1 OPG showing the buried broken fragment of round bur in the right mandibular third molar area.

Discussion

The breakage of dental instruments, like dental burs and endodontic files, because of reasons including stress, defective manufacturing, fatigue, poor handling and rust is known in dentistry.4,5 Few papers in the literature have studied breakage of various instruments commonly used for exodontias. A more than two-year study by Yasuhara et al.,4 recorded a number of medical accidents due to defective surgical instruments. Manufacturing must be strictly controlled in medical, dental or surgical instrument manufacturing, which can result in injury to patient if they are faulty. However, sometimes diversion from the manufacturing technique or inadequate quality control can occur causing undesirable results. For example, great heat in the bone can be caused by high-speed dental hand pieces causing complications like granuloma in tissues or osteomyelitis. In the present case, the surgeon probably attempted tooth cutting using a high-speed dental hand piece that was not placed properly and the bur broke.1 OPG and CBCT (Cone-Beam Computed Tomography) is an excellent tool to identify foreign objects of metal. Previous studies had shown that, it is a good technique in defining the foreign objects in its original structure and orientation.5 Many times, the location and retrieval of broken instrument fragments during a tooth extraction procedure is not a serious problem and the fragment can be identified easily. Any broken instrument fragment should be removed to avoid complications of possible infections or fibrous granuloma formation.4

Although it did not happen in our case, an accidental buried bur causing complications has been reported in the literature. Thus, it should be kept in mind that surgical removal of impacted third molars can result in complications. Thus careful attention to details of the surgical technique like asepsis, proper patient preparation, hemostasis, management of hard and soft tissue, controlled force when applying surgical instruments, and adequate postoperative instructions can help to decrease the incidence of complications.1

Conclusion

Dentists are always expected to be very careful when using various types of instruments in poorly visible or poorly accessible regions like that of a third molar. It is commonly advised to use good quality and reliable products. Preoperative and postoperative checkup of instruments used during the procedures is also important. If any untoward accident happens, dentists should inform their patients and should take adequate measures to solve the problem avoiding injury to the patient. If any retention of broken fragment of instrument is suspected, routine and three-dimensional radiological imaging will indicate the actual position of the broken fragment and will prevent potential surgical complications.

Acknowledgements

None.

Conflict of interest

The author declares no conflict of interest.

References

Creative Commons Attribution License

©2016 Ali, et al. This is an open access article distributed under the terms of the, which permits unrestricted use, distribution, and build upon your work non-commercially.