Submit manuscript...
MOJ
eISSN: 2381-179X

Clinical & Medical Case Reports

Case Report Volume 4 Issue 3

A scrotal ulcer with degenerating inguinal lymph nodes in an HIV positive patient – infection or malignancy?

Michael Waight, Thaigarajan Jaiganesh

Kings College Hospital, UK

Correspondence: Michael Waight, Kings College Hospital, London, United Kingdom

Received: May 04, 2016 | Published: May 30, 2016

Citation: Waight M, Jaiganesh T. A scrotal ulcer with degenerating inguinal lymph nodes in an HIV positive patient – infection or malignancy. MOJ Clin Med Case Rep. 2016;4(3):72-74. DOI: 10.15406/mojcr.2016.04.00092

Download PDF

Abstract

A 48year old Caucasian gentleman presented to ED with a six week history of a large right sided groin mass and right hemi scrotal ulcer with associated weight loss and fevers. He had a past medical history of HIV with a CD4 count of 100cells/mm3. Initial treatment with antibiotics failed to resolve the groin mass. Subsequent biopsy revealed squamous cell carcinoma of the scrotum with an associated degenerating inguinal lymph node and spread to the pelvic lymph nodes bilaterally. Curative management was declined by the patient.

Keywords: urological cancer, HIV, genital ulcers, sexual health

Abbreviations

ED, emergency department; HIV, human immunodeficiency virus; SCC, squamous cell carcinoma; NAAT, nucleic acid amplification test; HSV, herpes simplex virus; CT, computed tomography; HPV, human papilloma virus; EGF-R, epidermal growth factor receptor; VEGF-R, vascular endothelial growth factor receptor

Introduction

Groin masses are a common presentation, however the association with scrotal ulceration narrow the differential significantly. In an HIV positive patient, both infection and malignancy can cause this clinical presentation. It is therefore important to highlight the differential diagnosis and investigations used to elucidate the correct diagnosis. Squamous cell carcinoma (SCC) of the scrotum remains a very rare condition with an incidence of 1.5 per 1million person years. Reports of scrotal SCC in association with HIV infection are rarer still.

Case presentation

A 48year old Caucasian gentleman presented to ED with a six week history of a large right sided groin mass and painless scrotal ulcer with associated weight loss and fevers. He had background of HIV, diagnosed 10years ago, with a CD4 count of 100 and a currently undetectable viral load. He also had hepatitis B and aortic regurgitation. His current medications included 600mg efavirenz, 300mg tenofovir and 200mg emtricitabine daily.

There was no family history of note. He lived alone and had one long-term, male sexual partner. He denied any other recent sexual partners.

On examination the patient appeared well, with normal observations. There was a 5x5cm fun gating mass in the right inguinal region, which was warm, erythematous, and tender and fixed to the underlying tissues (Figure 1). There was also a 2x2cm deep ulcer on the lateral aspect of the right hemiscrotum which did not appear infected at the time. Examination of the rest of the patient was otherwise unremarkable except for an early diastolic murmur, which was not new.

Figure 1 Right sided scrotal ulcer with groin mass.

Investigations were performed for the purposes of determining the aetiology of the ulcer; infective or malignant being the most likely options. Nucleic acid amplification testing (NAAT) of the urine was negative for gonorrhea and Chlamydia. Viral swabs excluded herpes simplex virus (HSV). A biopsy of the scrotal ulcer was taken, which subsequently showed the ulcer to be a scrotal squamous cell carcinoma.

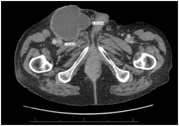
CT of the chest, abdomen and pelvis was then performed in order to determine the extent of the disease. Imaging revealed a large necrotic right inguinal lymph node (Figure 2). There was also evidence of involvement of the contralateral inguinal lymph nodes. Needle aspiration of the lymph node mass confirmed metastatic spread from the scrotal SCC.

Figure 2 Large necrotic right inguinal lymph node seen on axial CT image.

The inguinal mass was initially treated with intravenous antibiotics, but with little improvement. Once the diagnosis of a scrotal SCC with degenerating inguinal lymph node became clear, the patient was offered treatment in the form of surgical excision of the scrotal ulcer and right inguinal and pelvic lymph node dissection. This would have been followed by adjuvant chemoradiotherapy. The patient chose not to pursue this option at this time as he was frustrated with being in hospital. He also declined chemotherapy and radiotherapy without surgery for the same reasons. He was discharged with the knowledge that if he changed his mind he can access treatment at any time.

Discussion

In 1775, Percival Pott described the unusually high incidence of scrotal squamous cell carcinoma in chimney sweepers. Since the industrial revolution and the advent of improved living condition, this disease has become less frequent. Currently, scrotal tumours are rare, with an incidence of 1.5 per 1 000 000 person-years. SCCs are the most common histological subtype of scrotal tumours, representing roughly one quarter of all scrotal tumours.1 Scrotal tumours are linked with environmental exposure to aromatic hydrocarbons in soot, tar and mineral oils as well as poor personal hygiene and chronic irritation of the area.2 In 2014, a case series of 29 patients suggested a link with carcinogenic forms of the human papilloma virus (HPV), specifically types 16 and 18.3

There is currently very little literature regarding HIV as a risk factor for scrotal SCC. In 2010, Tijani et al.,4 reported on four patients seen in West Africa over a 20month period with scrotal SCC. Three of these patients were tested positive for HIV. All four patients developed the disease at a relatively young age (mean 43), indicating that HIV infection may be a risk factor for scrotal SCC, and for development of the disease at a young age.4 Despite this, it must be remembered that HIV is known to be the strongest risk factor for developing genital HPV,5 therefore the presence of HIV could be a confounding factor in the development of scrotal SCC.

The primary lesion usually remains localised to the scrotal wall, but may occasionally involve the scrotal contents, penis or pubic bone.6 Metastatic spread is usually to the inguinal nodes and may involve the contralateral side. It can also spread to the iliac, para-aortic nodes and distant organs such as the lungs.6

Investigations include biopsy of the lesion, ultrasound of the abdomen, pelvis and scrotum and staging CT of the chest abdomen and pelvis. MRI of the scrotum and surrounding structures is also an option for assessing depth of local invasion.7 Sentinel lymph node biopsy can also aid in determining the lymph node status of the cancer. Staging of scrotal tumours is by the Ray and Whitmore system (Table 1).8

Stage

Disease state

A1

Disease limited to scrotum

A2

Locally invasive disease – involves structures close by including penis, spermatic cord, perineum

B

Superficial lymph node involvement, resectable

C

Pelvic lymph node involvement or any non-resectable metastasis

D

Distant metastasis beyond regional lymph nodes

Table 1 Ray and whitmore staging system for scrotal tumours

Management of scrotal tumours is mainly directed at resecting the primary tumour with clear margins. The more advanced the tumour, the larger the clear margin required for safety.9 Other options for patients not fit for surgery with minimally invasive disease include C02 laser, 5-fluorouracil, photodynamic therapy or topical imiquimod.3 Lymphatic involvement is usually addressed at the time of primary tumour resection with inguinal lymph node dissection.10

Metastatic disease can be treated with systemic chemotherapy either with curative or palliative intent. Potential future therapies include biological agents such as anti-epidermal growth factor receptor (EGF-R) and anti-vascular endothelial growth factor receptor (VEGF-R) monoclonal antibodies.11 Prognosis correlates to the stage of disease. As in the case described above, there was inguinal lymph node involvement, which carries a 5-year survival rate of 25%. Spread to more distant lymph nodes or metastatic spread is almost always fatal.12

Acknowledgements

Michael Waight, Thaigarajan Jaiganesh and Nick Watkin.

Conflict of interest

The author declares no conflict of interest.

References

  1. Verhoeven R, Louwman W, Koldewijn E, et al. Scrotal cancer: incidence, survival and second primary tumours in the Netherlands since 1989. Br J Cancer. 2010;103(9):1462–1466.
  2. Coggon D, Inskip H, Winter P, et al. Mortality from scrotal cancer in metal machinists in England and Wales, 1979–80 and 1982–90. Occup Med (Lond). 1996;46(1):69–70.
  3. Matoso A, Ross H, Chen S, et al. Squamous neoplasia of the scrotum: a series of 29 cases. Am J Surg Pathol. 2014;38(7):973–981.
  4. Tijani K, Adetayo F, AS Akanmu, et al. Adult Squamous Cell Carcinoma of The Scrotum in HIV Positive Patients in Nigeria. African Journal of Urology. 2010;16(2):49–53
  5. Dev D, Lo Y, Ho GY, et al. Incidence of and risk factors for genital human papillomavirus infection in women drug users. J Acquir Immune Defic Syndr. 2006;41(4):527–529.
  6. Ray B, Whitmore W. Experience with carcinoma of the scrotum. J Urol. 1977;117(6):741–745.
  7. Azike J. A review of the history, epidemiology and treatment of squamous cell carcinoma of the scrotum. Rare Tumors. 2009;1(1):e17.
  8. Lowe F. Squamous cell carcinoma of the scrotum. J Urol. 1983;130(3):423–427.
  9. Minhas S, Kayes O, Hegarty P, et al. What surgical resection margins are required to achieve oncological control in men with primary penile cancer? BJU Int. 2005;96(7):1040–1043.
  10. Lowe F. Squamous–cell carcinoma of the scrotum. Urol Clin North Am. 1992;19(2):397–405.
  11. Dorsey K, Agulnik M. Promising new molecular targeted therapies in head and neck cancer. Drugs. 2013;73(4):315–325.
  12. Presti J. Genital Tumors. In: Tanagho E, et al. editors. Smith's General Urology. New York, USA: McGraw Hill; 2008. p. 375–387.
Creative Commons Attribution License

©2016 Waight, et al. This is an open access article distributed under the terms of the, which permits unrestricted use, distribution, and build upon your work non-commercially.