Submit manuscript...
MOJ
eISSN: 2381-179X

Clinical & Medical Case Reports

Case Report Volume 5 Issue 3

A reversible cardiomyopathy?

Prabha Nini Gupta, Gopakumar KS, Praveen Velappan, Krishana Kumar B, Ritesh Ramachandran, Amresh Kumar Singh

Department of Cardiology, Medical College Hospital, India

Correspondence: Prabha Nini Gupta, Department of Cardiology, Medical College Hospital, India

Received: October 06, 2016 | Published: December 16, 2016

Citation: Gupta PN, Gopakumar KS, Velappan P, et al. A reversible cardiomyopathy? MOJ Clin Med Case Rep. 2016;5(3):237-241. DOI: 10.15406/mojcr.2016.05.00137

Download PDF

Abstract

Dilated cardiomyopathy is a diagnosis that usually carries a grave prognosis. However among the numerous cases of dilated cardiomyopathy lurk a few that are acute, fulminant and potentially reversible. It is a challenge for a cardiologist to suspect this and successfully treat one .It is gratifying when the patient recovers and goes home. Similarly myopathies are chronic debilitating diseases that are associated with considerable morbidity .It has been observed that some myopathies are reversible. The hall mark of such a myopathy is it’s acute fulminant onset. Researchers have recommended that whenever an acute onset myopathy is found a reversible cause should be looked for.

Keywords: reversible cardiomyopathy, hypothyroidism, hypocalcaemia, post thyroidectomy QT interval, reversible myopathy

Introduction

Some traditional cardiomyopathies are well known. For instance peripartum cardiomyopathy. Complete recovery occurs in 50% percentage. Similarly tachycardiomyopathy can be caused by a heavy burden of ventricular ectopics, or by an incessant supraventricular tachycardia, or by repeated episodes of ventricular tachycardia. Ensite or Cartographic mapping and ablation of the arrhythmia can abolish the arrhythmia and lead to dramatic improvement in left ventricular dysfunction. This is satisfying for the treating physician and gratifying for the patient. Hence a similar search for treatable and potentially reversible varieties of dilated cardiomyopathies is warranted in all cases of dilated cardiomyopathy.

Ischemic cardiomyopathy is one of the reversible causes of left ventricular dysfunction. Here we describe a patient who had both a reversible cardiomyopathy and a reversible myopathy. We have not extensively investigated, or investigated the myopathy at all, as initially we did not note this. We thought the patient had quadriparesis. We acknowledge our lapse but when we corrected her abnormality she improved from totally bedridden, and grade 2 power in her arms to ambulant, mobile and active. So in the end there was not much to investigate. We are now aware of this entity, earlier we were not. So if we come across this again we would definitely do nerve conduction and other studies like muscle biopsy, but in this case we have not. We are apologetic. Her cardiomyopathy reversed after the appropriate treatment. Since this problem can affect many patients, and may not be suspected we report this case. We also review the literature on reversible cardiomyopathies.

Case history

Our patient was 44year old Mrs X, a house wife admitted to a Medical unit on 30-4-2014 with worsening breathlessness, fatigability, tremors, and inability to sit up, or walk or raise her arms. She also had cough with expectoration which was white and scanty. She had no fever. She was under their care for the past 1month and subsequently transferred to us to the Cardiology intensive care unit. Her symptoms had started two months before admission with progressively worsening breathlessness of NYHA class 2 which progressed to NYHA class 4. She had been treated with anti-failure measures in the medical unit but did not improve; hence she was transferred to us.

Past history

She had had thyroid surgery two years before presenting to us but no details were available. Following this she was relatively asymptomatic till 24-2-14. On 24-2 -2014 she developed acute pulmonary oedema, while she was sleeping associated with carpo-pedal spasm, tremors, fatigability. For this she was examined in a private hospital where she was found to have hypothyroidism, hypocalcaemia and anaemia. She subsequently had recurrent hospitalisations for hypocalcaemia, and was on L-thyroxin and calcium supplements. She was also found to have systemic hypertension.

On examination

(In April 2014) She was moderately built and poorly nourished, had orthopnoea, pallor, and icterus .She had no cyanosis or clubbing or lymphnode enlargement. She had pitting oedema of the feet. On entry to our ICCU her pulse rate was 110/minute, low volume and her blood pressure was BP-90/60mm of Hg. All her peripheral pulses were felt, her respiratory rate was 35/min, her jugular venous pressure was elevated 15 cms from the sternal angle. Her apical impulse was in the 6th left intercostal space one cm lateral to the midclavicular line. Her first heart sound was normal, her second heart sound was normally split she had a loud third heart sound and a grade 3/6 pansystolic murmur in the mitral area. She had bilateral crepitations over 2/3rd of both lung fields. Her liver was enlarged, 5cms below the costal margin, tender, and non-pulsatile.

She was conscious and oriented, but she had proximal muscle wasting in both the upper limbs and lower limbs, she could not sit up without support or raise her arms, her upper limb power was grade 2 and she could not walk. On examination both her Chvostek sign and Trousseau’s signs were positive. She had bilateral flexor plantar responses.

Her ECG showed her rate was 85/minute, her PR interval was 12sec and her QRS duration was 0.1sec. Her QT interval was 44second. (She had QT prolongation) (Her QTc was 655msecs)She also had T inversion in the lateral leads (Figures 1) (Figure 2). Figure 2 shows how her QT interval shortened with correction of her calcium level to 8.0mg/dl (QTc 492msecs).

Figure 1 The electrocardiogram of the patient showing QT prolongation. At this time she had hypocalcaemia. Her QTC was prolonged.

Figure 2 The electrocardiogram of the patient with a corrected QT interval after correction of her Serum Calcium level.

Other investigations

 Her haemoglobin was 8.3gm/dl, her total leukocyte count was 14500/mm3, DC-75%/20%/05% (polymorphs, lymphocytes/eosinophils). Her ESR was 45mm/hr (Serum glutamate oxaloacetic transaminase) SGOT -was 687iu/ml (normal values below 40iu/l) and (Serum glutamic pyruvic transaminase) SGPT 747iu/ml (normal values less than 40iu/l), Her Serum Alkaline phosphatase was 115iu/ml, (normal range 108-306iu/l)her platelet count-90,000/mm3 Troponin T- 0.25pgm/ml (normal range 0-50pgm/ml), Her blood urea was 187mg/dl (the normal range is 20-40mg/dl) and her S. Creatinine was 5.0mg/dl (the normal range is 0.6-1.1mg/dl) on admission. Her Serum Calcium was -4.4mg/dl (normal range- 8-11mg /dl) and her S phosphorus was 9.8mg /dl. (Normal range 2.5-4.5mg/dl) Her serum magnesium was 1.8mg/dl. (normal values -1.8-3mg/dl)Her TSH was 6.22micro iu/l (normal range -0.27-4.2micro iu/l) Her parathyroid hormone level was 10.1pg/ml (the normal value is 15-65pgm/ml) Her free T3 was 86pg/ml (normal values-1.8-4.62pg/ml) and Free T4-was 0.36pg/ml(normal value was(.932-1.71pgm/ml) (So she was obviously hypothyroid and and hypocalcaemic.)

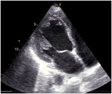
Her echocardiographic findings before supplementing calcium. Her LVIDD/S-5.2/4.5cms and IVSD/S-1.2/2 pwd/s-1.0/1.2 her ejection fraction was -26%. Her aorta/la dimension was 4/2.8.On treatment she improved .But on repeat echo she was found to have an left ventricular apical clot but her ejection fraction improved to 48 % (Figure 3).

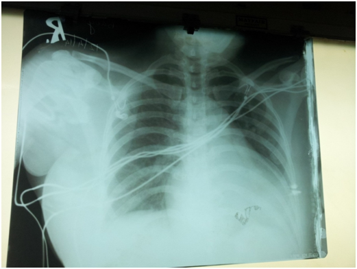
Figure 3 The x-ray chest PA view of the patient when she first presented.

Treatment

She was given oral calcium supplementation. She was put on inotropes (dopamine and dobutamine) diuretics and intravenous calcium gluconate, oral calcium, high dose vitamin D3 and eltroxin. She had a massive lower gastro intestinal bleed 5days after ICCU admission and was given 5 pints of blood transfused over one week. Her blood urea and liver enzymes normalized and she improved. She was then put on furosemide low doses and carvidilol and aldactone (spironolactone inhibitor) She improved.

Course in hospital

She gradually improved and was discharged. She now can walk around and perform house hold tasks.

Discussion

Reversible cardiomyopathies have long fascinated cardiologists around the world. [1-4]. The reversible cardiomyopathies can be classified into two groups, those due to metabolic causes and those due to hypocalcaemia. Reversible causes of dilated cardiomyopathy Classified as Metabolic, Thyrotoxicosis, Cushing’s disease

Due to hypocalcaemia

  1. Due to D3 deficiency: Sepsis, Malnutrition, Kwashiorkor
  2. Due to repeated blood transfusions: Hypoparathyroidism

The causes of hypocalcaemia are many, and most of the common type of hypocalcaemia has been reported to cause a treatable, reversible cardiomyopathy .Starting from just after birth, a reversible cardiomyopathy was discovered in a new borne with suspected sepsis due to severe Vit D3 deficiency in her mother. On correcting this the baby improved rapidly and survived.2,3 Hypocalcaemia associated with Kwashiorkor, and malnutrition should be thought of.4

Hypocalcaemia due to repeated blood transfusions in a Thalassemia patient has been reported to cause a dilated cardiomyopathy that improved with treatment.5 Hypoparathyroidism can cause severe hypocalcaemia and cardiomyopathy and correction with recombinant parathormone has reversed the heart failure.7 The hypoparathyroidism can be acquired or primary.7,8

Finally after thyroidectomy, parathyroid deficiency can occur and can cause a reversible cardiomyopathy akin to the one seen in our patient. In these situations plain calcium supplementation helps. Our patient also had some form of myopathy. When she first reported to us she could not raise her arms, her upper limb power was grade 2, but as days went by and she improved, she could sit up, later walk and finally is back to normal mild housework. The results of supplementation of calcium are so rewarding, this deficiency should be looked for and treated.

Cocaine cardiomyopathy should be looked for when a very young patient presents with an acute coronary syndrome and an elevated blood pressure, and heart failure.9 Cocaine causes a myocardial injury similar to that produced in pheochromcytoma.

 Other correctible cardiomyopathies are Takotsubo myocarditis, tachycardiomyopathy, cocaine cardiomyopathy, drug induced cardiomyopathy due to interferon alpha therapy, Sunitinib and Sorafenibtherapy, amphetamine induced cardiomyopathy, thyrotoxic cardiomyopathy or sepsis.9–15 All the above instances present acutely.

The cardiomyopathy associated with interferon alpha is interesting.10 Interferon alpha causes a reversible cardiomyopathy, or a myocarditis type of picture. The myocarditis in the case described was diagnosed by myocardial biopsy. The ultrastructural examination of the “endothelial tubuloreticular structures” represents the “interferon signature” pinpointing interferon as the aetiology in the case described. These authors were the first to describe this “interferon signature” in the myocardiocytes. They used the Dallas criteria to diagnose myocarditis .and their patient regained an ejection fraction of 65% within three months of stopping interferon alpha. Interferon alpha causes a cell mediated immune injury; in the above case all the tests for antibodies to different myocardial components were negative. Sepsis also causes an acute cardiomyopathy that reverts to normal if the patient survives.14,15 Flynn et al. have described the pathogenic mechanisms of the reversible cardiomyopathy that occurs during sepsis. In sepsis initially there is a “hyperdynamic shock”, but the sepsis hearts have a lower stroke work index with a rightward shift of the Frank-Starling mechanism. In sepsis it is believed that cytokines mediate a cardiomyopathy. The cytoplasmic reticular Ca-ATPase is affected in sepsis.(SERCA).The phosphorylation of SR proteins is affected in late sepsis. A phenomenon called “cytopathic hypoxia” occurs in sepsis, which has been described in cats with sepsis. This is impaired mitochondrial oxygen content in spite of adequate oxygen supply.

Further during sepsis TNF alpha (tumour necrosis factor) also causes an inflammatory injury and a reduction in left ventricular function. The C5 complement activation produces C5a (a potent anaphyla toxin) and C5b a complement that damages the bacterial membrane. C5a activation produces inflammation and cardiac depression. Exposure to C5a depresses myocardial contractility immediately on testing in isolated cardiomyocytes in culture.

TNF alpha also triggers myocardial apoptosis. Parker has described a “profound but reversible myocardial depression in septic shock “in a series of 20 patients.14,15 Traditionally peripartum cardiomyopathy, Fabry’s disease, Taurine deficiency, Selenium deficiency, carnitine deficiency and beriberi are reversible cardiomyopathies.5

Some endocrine/metabolic causes of reversible cardiomyopathy

Both hypothyroidism and hyperthyroidism cause reversible heart failure. Dhadke13 describe a florid case of hyperthyroidism with heart failure. This patient dramatically improved with the antithyroid drug-carbimazole 10 mg three times a day and a beta-blocker. The patient was in atrial fibrillation and returned to sinus rhythm within 2weeks of initiation of therapy.

A very interesting case of reversible cardiomyopathy was described in a patient with Cushing’s syndrome. Their patient was a 58years old male, who was in the terminal stages of heart failure when a bilateral adrenalectomy proved life-saving. He had an ACTH dependent Cushing’s Syndrome. He was first treated with metyrapone 1gm twice daily and finally he had bilateral adrenalectomy three months later, and his ejection fraction improved from 25% to 63% at 4months after adrenalectomy.16

We now take for granted the recovery after biventricular pacing. But Blanc et al.,17 performed biventricular pacing to test whether left ventricular function would recover after biventricular pacing. They studied 29 patients with left bundle branch block (LBBB) and severe heart failure. 5/29 of the patients with non-ischemic dilated cardiomyopathy, (now called super-responders) had an improvement of their ejection fraction from 19+- 6 % to 55+- 3% (p<001). This change occurred after left ventricular pacing was performed via the coronary sinus. Only patients with permanent LBBB were included, the definition of permanent LBBB being those who had repeated ECGs over 1 year, and on each instance had LBBB in their electrocardiograms.

Strangely though we did not pay much attention to it at the time, our patient also had a reversible myopathy. There are many causes of reversible myopathy like, due to drugs like statins, or due to hypocalcaemia or hypokalaemia, due to hypothyroidism, or due to hyperthyroidism or due to mitochondrial myopathies that occur in children, or infants.18,19 The main features of reversible myopathies are that they have an acute onset .So in an acute heart failure with muscle weakness, reversible causes of myopathy should be looked for. Generally hereditary degenerative myopathies develop slowly over a long period.

Mitochondrial myopathies generally have a bad prognosis. But recently Horvath et al.,20 have described the genetics of a rare but strangely, relatively benign form of mitochondrial myopathy.” It is called Benign cytochrome C oxidase deficiency myopathy“. Here the infants who are affected either die or spontaneously recover. The baby classically presents with hypotonia, as a floppy baby .Intensive supportive measures are needed to keep the baby alive. Those with the maternally inherited mutation (m.146747>cmtRNA Glu) mutation have spontaneous recovery and a normal life later. The spontaneous recovery is supposed to be due to the increased mtDNA synthesized by the liver as the child grows to one year of age. Compared to newborns, the infants of 1 year synthesize more mtDNA. The other explanation for this improvement is considered to be a switch in the isoforms of mtDNA. The authors recommend screening of all floppy babies for this mutation.

The electrocardiogram in hypocalcaemia is classic, with a prolonged QT interval that shortens when the hypocalcaemia is corrected. The electrocardiogram in hypocalcaemia has to be carefully read. The correct method is likely to the method of Lepeschkin et al.21

The various intervals were measured by the technique of Lepeschkin and Surawicz"' with the following modifications (1) both the initiation and termination of the T wave were measured by the tangential method and (2) the points at which the tangents are drawn to the ascending and descending limbs of the T wave are intersected by a line drawn parallel to the baseline through the S-T junction. The intervals measured were as follows (1) beginning of QRS to the end of T(Q-T), (2) beginning of QRS to the beginning of T(Q-oT), (3) beginning of QRS to apex of T(Q-aT), (4) beginning of T to the end of T(T), (e) beginning of QRS to end of U(Q-U) and (5) the P-R, QRS, and R-R intervals by standard definition. The Q-T, Q-oT, and T intervals were corrected, as outlined by Lepeschkin and Surawicz, 'using the formula of Bazett. Here the authors studied the QT interval after giving Na EDTA intravenously. They found that the maximum QT prolongation occurred at the lower levels of calcium.

Gardner et al.,22 have described the ECG changes in both hypocalcaemia and Hypercalcemia. Hypocalcaemia causes on lengthening of the QT segment or QT prolongation they also report that those with a corrected QTc of more than 500 msecs have an increased chance of arrhythmias (Figure 4) (Figure 5). Various authors have also described hypocalcaemic cardiomyopathy in different cases that reversed with treatment.23–26

Figure 4 The gradually improving left ventricular function of the patient on correcting the QT interval , and her left ventricular apical clot.

Figure 5 Another electrocardiogram showing QT prolongation when her Serum Calcium fell to 4mg/dl. She had stopped her oral calcium supplementation.

Acknowledgements

None.

Conflict of interest

The author declares no conflict of interest.

References

  1. Jacobs J. Reversible dilated cardiomyopathy induced by methamphetamine. Clin Cardiol. 1989;12(12):725–727.
  2. Bansal B, Bansal M, Bajpai P, et al. Hypocalcaemia cardiomyopathy–different mechanisms in adult and pediatric cases. J Clin Endocrinol Metab. 2014;99(8):2627–2632.
  3. Azkawi HA, Mutair AA. Newborn with dilated cardiomyopathy secondary to vitamin d deficiency. Hindawi publishing corporation. Case Reports in Paediatrics. 2012;(2012)945437:5.
  4. Sanyal D, Raychaudhuri M. Infants with dilated cardiomyopathy and hypocalcaemia. Indian J Endocrinol Metab. 2013;(Suppl1):S221–S223.
  5. Willerson JT and Buja LM. Other Cardiomyopathies in the Textbook of Cardiovascular Medicine. Willerson JT, et al. editors. 3rd ed. London: Springer–Verlag; 2007. p. 1301–1312.
  6. Ansari S, Kiumarsi A, Rostami T. Cardiac Impairment Due To Hypocalcaemia in a Multi–transfused Patient with Thalassemia Major. The Internet Journal of Haematology. 2014;10(1).
  7. Ballane GT, Sfeir JG, Dakik HA, et al. Use of recombinant human parathyroid hormone in hypocalcaemic cardiomyopathy. European Journal of Endocrinology. 2012;166(6):1113–1120.
  8. Jariwala PV, Sudarshan B, Aditya MS, et al. Hypoparathyroidism a cause of reversible dilated cardiomyopathy. J Assoc Physicians India. 2010;58:500–502.
  9. Antonio G, Julija Z. Cocaine cardiomyopathy– a case report. Sanamed. 2014;9(3):233–237.
  10. Khakoo AY, Halushka MK, Rame JE, et al. Case study: reversible cardiomyopathy caused by administration of interferon alpha. Nat Clin Pract Cardiovasc Med. 2005;2(1):53–57.
  11. Uraizee I, Cheng S, Moslehi J. Reversible Cardiomyopathy associated with sunitinib and sorafenib. N Engl J Med. 2011;365(17):1649–1650 .
  12. Jacobs J. Reversible Dilated Cardiomyopathy Induced by Methamphetamine. Clin Cardiol. 1989;12(12):725–726.
  13. Dhadke SV, Dhadke VN. Reversible Cardiomyopathy. J Assoc Physicians India. 2006;54:740–741.
  14. Flynn A, Mani BC Mather PJ. Sepsis–induced cardiomyopathy: a review of pathophysiologic mechanisms. Heart Fail Rev. 2010;15(6):605–611.
  15. Parker MM, Shelhamer JH, Bacharach SL, et al. Profound but Reversible myocardial depression in patients with septic shock. Ann Intern Med. 1984;100(4):483–490.
  16. Johnston PC, Atkinson AB, Moore MJ, et al. An unusual cause of reversible cardiomyopathy. Ulster Med J. 2012;81(3):134–135.
  17. Blanc JJ, Fatemi M, Bertault V, et al. Evaluation of left bundle branch block as a reversible cause of non–ischaemic dilated cardiomyopathy with severe heart failure. A new concept of left ventricular dyssynchrony–induced cardiomyopathy. Europace. 2005;7(6):604–610.
  18. Chawla J. Step wise approach to myopathy in systemic disease. Front Neurol. 2011;2:49.
  19. Valiyil R, Christopher–Stine L. Drug–related Myopathies of Which the Clinician Should Be Aware. Curr Rheumatol Rep. 2010;12(3):213–220.
  20. Horvath R, Kemp JP, Tuppen H, et al. Molecular basis of infantile reversible cytochrome C oxidase deficiency myopathy. Brain. 2009;132(11):3165–3174.
  21. Bechtel JTE, White JE, Estes H. The electrocardiographic effects of hypocalcaemia induced in normal subjects with edathamil disodium. Circulation. 1956;13(6):837–842.
  22. Gardner JD, Calkins JB, Garrison GE. ECG Diagnosis: the effect of ionized serum calcium levels on electrocardiogram. Perm J. 2014;18(1):e119–e120.
  23. Aguiar P, Cruz D, Rodrigues M, et al. Hypocalcaemia cardiomyopathy. Rev Port Cardiol. 2013;32(4):331–335.
  24. Avsar A, Dogan A. Tavli T. A rare cause of reversible dilated cardiomyopathy: hypocalcaemia. Echocardiography. 2004;21(7):609–612 .
  25. Bhahigal A, Donal E. Hypocalcaemia induced transient dilated cardiomyopathy in the elderly: A case report. Eur J Echocardiogr. 2011;12(10):E38.
  26. Lam J, Maragano L, Lepez B, et al. Hypocalcaemia Cardiomyopathy secondary to hypoparathyroidism after a thyroidectomy: a report of one case. Rev Med Chil. 2007;135(3):359–364.
Creative Commons Attribution License

©2016 Gupta, et al. This is an open access article distributed under the terms of the, which permits unrestricted use, distribution, and build upon your work non-commercially.