Submit manuscript...
MOJ
eISSN: 2381-179X

Clinical & Medical Case Reports

Case Report Volume 5 Issue 2

A lady with breathlessness, dysphagia and weight loss

Sidhu B, Ahmed Adlan

Department of Cardiology, Russells Hall Hospital, UK

Correspondence: Ahmed Adlan, Department of Cardiology, Dudley Group NHS Foundation Trust, Russells Hall Hospital, Dudley, UK, Tel 919466000000

Received: October 27, 2016 | Published: November 21, 2016

Citation: Sidhu B, Adlan A. A lady with breathlessness, dysphagia and weight loss. MOJ Clin Med Case Rep. 2016;5(2):194. DOI: 10.15406/mojcr.2016.05.00125

Download PDF

Abstract

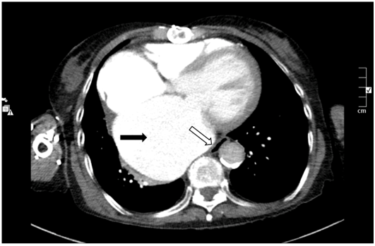
An 84 year-old lady ex-smoker with prior coronary artery bypass graft surgery and mitral/tricuspid valve repair presented with breathlessness, dysphagia and weight loss. An echocardiogram showed cardiomegaly and moderate mitral valve regurgitation. Computed tomography of the thorax (Figure 1) excluded malignancy but confirmed extrinsic oesophageal compression due to gross cardiomegaly.

Introduction

An 84-year-old lady presented with dysphagia, dyspnoea and weight loss. She had a history of ischaemic and rheumatic heart disease (prior coronary artery bypass graft surgery with mitral and tricuspid valve repair), permanent atrial fibrillation and permanent pacemaker. She was non-compliant with diuretic therapy. Chest radiograph showed pulmonary congestion with gross cardiomegaly. An echocardiogram demonstrated a grossly dilated left atrium (volume 239ml/m2 indexed to body surface area, normal <34ml/m2), dilated left ventricle with severely impaired systolic function and moderate mitral valve regurgitation but no evidence of valvular vegetations. A computed tomography (CT) thorax excluded malignancy but confirmed extrinsic oesophageal compression due to gross cardiomegaly (Figure 1). Conservative management with reinstatement of diuretics and optimisation of anti-heart failure treatment caused resolution of her symptoms.

Figure 1 Computed tomography thorax demonstrating grossly dilated left atrium (black arrow) causing extrinsic compression of the esophagus (white arrow).

Diagnosis

Cardiac dysphagia is a rare but potentially reversible cause of weight loss that results from extrinsic compression of the oesophagus due to dilated cardiac chambers.1 The thin-walled left atrium is most prone to severe dilatation particularly in the presence of significant mitral regurgitation and volume overload. CT imaging of the thorax can demonstrate extrinsic compression of the oesophagus due to cardiomegaly, with oesophageal dilatation proximal to the obstruction. Endoscopy can confirm extrinsic oesophageal compression while a barium meal demonstrates hang-up of ingested barium within the mid-oesophagus.2 Manometry studies may show an elevated baseline pressure with superimposed large rhythmic pressures that coincide with electrocardiogram impulses.2 Conservative management includes anti-heart failure treatment, anti-reflux medications, alternative feeding routes and consideration of endoscopic stent implantation. Cardiac surgery may be considered for correction of valvular disease and/or revascularisation. In this case re-instating diuretic therapy resulted in restoration of euvolaemia and resolution of symptoms.

Acknowledgements

None.

Conflict of interest

The author declares no conflict of interest.

References

Creative Commons Attribution License

©2016 Sidhu, et al. This is an open access article distributed under the terms of the, which permits unrestricted use, distribution, and build upon your work non-commercially.