Submit manuscript...
MOJ
eISSN: 2381-179X

Clinical & Medical Case Reports

Case Report Volume 3 Issue 1

A case report of non-occlusive mesenteric ischemia in a patient with multiple risk factors

Chih Chiang Nieh1,2

1National Heart Centre, National University Hospital System, Singapore
2Yong Loo Lin School of Medicine, National University of Singapore, Singapore

Correspondence: Chih Chiang Nieh, National Heart Centre, National University Hospital System, Yong Loo Lin School of Medicine, National University of Singapore, Singapore

Received: October 07, 2015 | Published: October 14, 2015

Citation: Nieh CC. A case report of non-occlusive mesenteric ischemia in a patient with multiple risk factors. MOJ Clin Med Case Rep. 2015;3(1):163-165. DOI: 10.15406/mojcr.2015.03.00049

Download PDF

Abstract

Non-occlusive mesenteric ischemia (NOMI) refers to all types of mesenteric ischemia without any organic blockage of blood vessels. It is usually seen in elderly age group with risk factors of previous myocardial infarction, congestive cardiac failure, aortic insufficiency, renal or liver impairment and post-cardiac surgery. Amongst all the cases of acute mesenteric ischemia, NOMI constitutes 20-30%. The mortality is generally high, at least 50% because it usually presents late and the bowel is already gangrenous. Common presentations include nausea, vomiting and acute abdominal pain. Selective angiography is the gold standard to exclude obstructive mesenteric ischemia, for which the diagnosis of NOMI could be made, but one can use other non-invasive modalities such as CT, MRI or ultrasound. Colonoscopy, lactate, arterial blood gas can be used to investigate for bowel ischemia. In the early stages, there is no need for surgery. Surgical intervention is generally limited unless there is a need to excise away the gangrenous bowel. The only effective treatment is by administering intra-arterial vasodilator therapy and it should be done as early as possible to improve prognosis. We describe a case of large bowel ischemia likely secondary to non-occlusive mesenteric ischemia.

Keywords: mesenteric ischemia, CT scan, patient, NOMI

Abbreviations

NOMI, non-occlusive mesenteric ischemia; MRI, magnetic resonance imaging; AXR, abdominal x-ray; CTAP, computed tomography scan of abdomen and pelvis; CRP, c-reactive protein; MICU, medical intensive care unit; NG, nasogastric; NSTEMI, non-ST elevation myocardial infarction

Case report

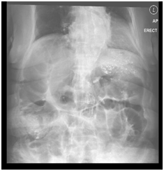
A 76year old Chinese female with multiple co-morbidities was admitted after a fall while sustaining a stable head injury. Her past medical history includes hypertension, dyslipidemia, ischemic heart disease with a history of angioplasty and ejection fraction of 30% and moderate mitral regurgitation, end-stage renal failure on hemodialysis, gout, asthma, previous sigmoid cancer with left hemicolectomy 2years ago and recurrent falls. After a few days of observation in the hospital, while waiting to be discharged from hospital to a step-down care at community hospital after, she suddenly presented with right sided abdominal pain. The pain was associated with two episodes of non-bloody, non-bilious vomiting and abdominal distension. Upon physical examination, she was hypotensive, with cold clammy extremities. Her abdomen was mildly distended, with generalized tenderness and guarding especially over the right side. The laboratory investigation shows a high white blood count of 16.95 with normochromic and normocytic anemia, as well as a raised lactate level of 3.5 and metabolic acidosis on the arterial blood gas panel (pH 7.36 pCO2 37.8 pO2 37.8 pO2 183.8 Base Excess -4.3 Bicarbonate 20.9). C-Reactive protein (CRP) level was 333. Acute intestinal obstruction was suspected and a supine abdominal X-ray (AXR) was done immediately which showed multiple gas-filled prominent loops of bowel (Figure 1).

Figure 1 AXR showing dilated bowels.

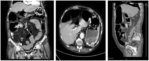
A computed tomography scan of Abdomen and Pelvis (CTAP) revealed distended small and large bowel loops, more so the colon, most significantly at the ileo-cecal junction. Pneumatosis of the cecum and terminal ileum was detected. There was mixed density pattern material in the stomach, terminal-ileum and cecal junction, suggestive of food material, which is not surprising in this case as this was an emergency CT scan. No pneumoperitoneum, free fluid or collection was detected. There was herniation of the small bowel into the mesentery. The celiac artery and superior mesenteric artery were patent, no occlusion or thrombosis was seen. There was also no cut off point suggestive of intestinal obstruction due to adhesion of tumor recurrence (Figure 2).

Figure 2 CT abdomen-Pelvis with contrast showing distended bowel and presence of bezoar.

The impression at that point of time was ischemic bowel secondary to intestinal obstruction due to small bowel herniation versus non-occlusive mesenteric ischemia. The patient then underwent an emergency exploratory laparotomy, completion colectomy with end ileostomy and on table endoscopy immediately. Intra-operatively, there was finding of a gangrenous cecum and ascending bowel with ischemic transverse colon (Figure 3), omentum adhered to pelvis and left iliac fossa due to adhesions from previous surgery. There was also internal herniation of small bowel via mesenteric window. In general, the small bowels were healthy, other than mildly dilated and having moderate adhesions of small bowel. Ischemic bowels with ulcerations were seen in the colon specimen. An on-table colonoscopy of rectal stump, which was done to determine the viability of the large bowel, showed healthy mucosa. Retrospectively, the histology of the excised specimen revealed mucosal necrosis, which was consistent with ischemia, as well as viable muscular is propria at bowel resection margins.

Post-operatively, the patient was transferred to Medical Intensive Care Unit (MICU). Several issues were noted. Firstly, the patient had poor tolerance to Nasogastric (NG) feeding with high NG aspirates, thus she was started on intravenous total parenteral nutrition and kept nil by mouth. There was no stoma output till post-op day six in view of likely post-operative ileus or gastroparesis. Bedside Colonoscopy through the stoma in MICU showed no signs of bowel ischemia. However, slough was seen, which could be attributable by pseudomembranous enteritis. Patient’s stools were tested for Clostridium difficiletox in and the result was found to be negative. Secondly, patient developed multiple spikes of fever attributable to nosocomial pneumonia. On examination, it was noted that she had reduced air entry and bibasal crepitations over her lungs. Investigations revealed increasing total white of 25.65, CRP of 286 and Procalcitonin of 16.5. Hence her intravenous Ceftriaxone and Metronidazole were escalated to Meropenem. Furthermore, she also suffered a Non-ST elevation myocardial infarction (NSTEMI) when her Troponin I levels were in a rising trend post-op: 0.122 ->0.188 ->0.646 ->0.325 ->0.233 ->0.992. The impression was that of NSTEMI precipitated by sepsis together with episodes of hypotension which hovered around a mean arterial pressure of 40-45.

Figure 3CT abdomen-Pelvis with contrast showing distended bowel and presence of bezoar.

In view of her end-stage renal failure, she received hemodialysis requiring inotropic support, in this case, dopamine. Due to episodes of fast atrial fibrillation, her hemodialysis regime was terminated several times. The other issue was that she had multifactorial encephalopathy for which she did not regain consciousness despite stoppage of sedation. She was then referred to a neurologist and a CT brain was done that showed no acute ICH nor established CVA, chronic microvascular ischemic changes and age appropriate involutional change. MRI was not performed due to abdominal staples in-situ. After a week of stay in MICU, the team discussed with patient’s family regarding her poor prognosis for which she was unlikely to benefit from further dialysis, CPR or defibrillation. Patient eventually demised three days later. She was subsequently signed up as a coroner’s case and post mortem was done with the cause of death as multiple organ failure with sepsis in the background of non-obstructive mesenteric ischemia.

Discussion

Non-occlusive mesenteric ischemia is the caused by splanchnic vasoconstriction secondary to various systemic factors which reduces mesenteric blood flow.1 In this condition, there is no gross obstruction to the vessels at the macrovascular level, but microvascularly, blood flow is not enough to sustain the demands of the intestine resulting in gangrene of the bowels.1,2 Pathophysiology of non-occlusive mesenteric ischemia involves reduction in blood flow states such as shock, heart failure, hemodialysis and direct splanchnic arteriolar vasoconstriction by drugs such as digoxin and dopamine.3–5 For this patient, she has multiple risk factors which predispose her of having non-occlusive mesenteric ischemia such as, end stage renal failure on hemodialysis, ischemic heart disease, advanced age, on dopamine. The final trigger is believed to be vasospasm secondary to persistent low perfusion which led to an irreversible state of ischemia.

This condition is difficult to diagnose at early stage and it can present with abdominal pain and episodes of vomiting which happened to mimic that of intestinal obstruction seen in this patient. In an elderly patient, causes such as sigmoid volvulus, intestinal obstruction secondary to colorectal cancer, small bowel hernia, small bowel obstruction secondary to adhesions, intussception, mesenteric embolus secondary to atrial fibrillation can be considered. As this patient already had a previous left hemicolectomy, we could rule out sigmoid volvulus as a possible cause and small bowel obstruction secondary to adhesion or hernia could be higher up on the list of differential diagnosis. As NOMI is not as common as compared to intestinal obstruction, there can be a delay in its diagnosis and hence associated with a poor prognosis with a mortality rate that can go up to 70 to 90%.3,4 Angiography is the gold standard for diagnosis of mesenteric arterial obstruction and hence indirectly help to suggest the diagnosis of NOMI, while other investigations such as contrast CT scan of the abdomen and pelvis (CTAP) and colonoscopy can pick up bowel ischemia.1,3,5 In this case, an urgent CTAP was the most readily available investigation at the emergency department and thus was used to diagnose the evidence of bowel ischemia. An increase in lactate level and metabolic acidosis on the arterial blood gas further confirms the likelihood of bowel ischemia in the presence of severe acute abdominal pain associated with vomiting.

The primary team managing the patient suspected the patient to have bowel ischemia likely secondary to NOMI, as the pattern of necrosis in the large bowel did not suggest that the ischemia was due to small emboli showering into the small branches of the mesenteric vessels. Unfortunately, by the time the diagnosis was made, her condition was so bad that decision was made not for further invasive intervention. Could her death be prevented if her cardiac functions were improved, or with the early administration of arteriovasodilators such as papaverine, prostaglandin E1, or nitroglycerine? The answer is most probably not, as she has too many co-morbidities and her general well-being was too poor despite the initial intensive management which results in her death being inevitable. Even before this current episode, she already has multiple risk factors such as advanced age, hypertension, dyslipidemia, ischemic heart disease with a poor ejection fraction of 30%, severe mitral regurgitation, end stage renal failure on hemodialysis, gout, asthma, sigmoid colon cancer status post left hemicolectomy and recurrent falls. Hence, her pre-operative risk of having a cardiac or neurological event under general anesthesia is already high as prognosis is grim. At this juncture, she may not be a suitable candidate for surgery, however, on the other hand, if a conservative non-operative approach were to be adopted, the patient would probably die within a couple of days secondary to bowel ischemia. Hence, the primary surgical team and the intensive care team should conduct a family conference with the next of kin to arrive at a decision for an approach which would deal less harm to the patient. In retrospect, it may be a better option to adopt the palliative approach and not go ahead with the surgery to avoid additional suffering for the patient. In this patient, her atrial fibrillation could be precipitated by sepsis or could have been pre-existing secondary to mitral regurgitation although not diagnosed previously.

Conclusion

Bowel ischemia is a disease encountered mostly by general or gastrointestinal surgeons, but co-managed by gastrointestinal surgeons and vascular surgeons. The principles of the management of bowel ischemia includes the following: Firstly, if there were to be definitive gangrene, the necrotic tissue has to be removed as soon as possible, as it would lead to rupture of bowel wall, resulting in bowel contents contaminating the peritoneal cavity causing peritonitis, as well as the release of toxic chemicals such as free radicals and superoxide’s to the systemic circulation and also metabolic acidosis from high lactate level.

Secondary, if there is evidence of the bowel in the state of early ischemia which could be reversible, the action would be to improve the perfusion either by removing the emboli, correct stenosis or improve perfusion pressure depending on the aetiology of the cause of ischemia. Ideal choice of inotropic support should be that of doubutamine (no alpha adrenergic effects) and not dopamine or noradrenaline which would further worsen the vasospasm of the mesenteric arteries. Atrial fibrillation should also be treated with agents for rate control, rhythm control (eg. beta-blockers) and anticoagulation if no contraindications so as to avoid further embolic events. Last but not least, there has to be aggressive management of sepsis if there were any and holistic treatment of existing medical problems in order to improve the prognosis of the patient. For this patient, this includes dialysis support for the kidneys, prompt administering of broad spectrum antibiotics, ventilatory support and inotropic support for optimal hemodynamic control. Despite doing the above appropriately, the patient subsequently developed multiple organ failure and passed away.

Acknowledgements

None.

Conflict of interest

The author declares no conflict of interest.

References

Creative Commons Attribution License

©2015 Nieh. This is an open access article distributed under the terms of the, which permits unrestricted use, distribution, and build upon your work non-commercially.