Submit manuscript...
Journal of
eISSN: 2373-4426

Pediatrics & Neonatal Care

Case Report Volume 10 Issue 6

Unilateral pulmonary agenesis, with esophageal atresia long term results

Mohamed Elmetwally,1 Mohamed H Koura,2 Mostafa Mahmoud,3 Dr Madhavan P Nayar,4 Dr Mohammed Jaffer Sajwani5

1Senior Medical Officer, Department of Pediatric Surgery, Royal Hospital Muscat, Oman
2Senior Medical Officer, Department of Pediatric Surgery, Royal Hospital, Muscat
3Specialist, Department of Pediatric, Royal Hospital, Muscat
4Senior Consultant, Pediatric Surgery, Royal Hospital, Muscat
5Head, Department of Pediatric Surgery, Royal Hospital, Muscat

Correspondence: Dr Madhavan P Nayar MS; MCh, FACS, Senior Consultant, Pediatric Surgery, Royal Hospital, Muscat

Received: December 05, 2020 | Published: December 14, 2020

Citation: Elmetwally M, Koura MH, Mahmoud M, et al. Unilateral pulmonary agenesis, with esophageal atresia long term results. J Pediatr Neonatal Care. 2020;10(6):165-168. DOI: 10.15406/jpnc.2020.10.00431

Download PDF

Introduction

Esophageal atresia occurs with an incidence of 1 in 3500- 4500 live births in new born.1 Majority of cases are associated with a fistula; though some are isolated atresia without a fistula (pure atresia). The most common variety is one with the proximal, atretic end ending blindly and the distal end connected to the tracheo- bronchial tree at any level. Over 50 % of cases have associated anomalies; majority of which are cardiac, followed by anorectal malformations and genito urinary tract anomalies. Other systems may also be affected in some of the cases. In addition, in some of the cases, segment or segments of the ipsilateral or contralateral lung may show hypoplasia or aplasia. However, complete agenesis of ipsilateral lung is extremely rare. Most of the cases are repaired using an extra pleural, trans thoracic approach during the era of open surgery The surgical approach to these children were a challenge for anesthesia as the single ipsilateral lung was compromised, especially if the agenesis was on the left side; as a right thoracotomy is usually done. If the agenesis affected the right side, the only functioning lung on the left side was partly compromised due to the positioning of the patient for a right thoracotomy. The heart would be occupying the hemithorax where the lung was absent, further complicating the technique of surgery, with abnormally placed thoracic vessels. We have successfully treated three cases of Esophageal Atresia with complete pulmonary agenesis, two of which were associated with fistula and one was a pure esophageal atresia without any fistula. This report summarizes our experience comparing it with the published reports of similar cases in English language. 

Cases reports

Case 1

The first case we encountered was a 34 week preterm baby girl of 2 KG weight. The mother had polyhydramnios. Baby was frothing at mouth and a NGT failed to pass beyond 8 centimeters from anterior nares. The baby also had radial aplasia on the right side. A heart murmur was heard, confirmed later as a patent ductus arteriosus. A Chest X ray was ordered and this showed the NGT lying coiled in the upper pouch and a gasless abdomen; suggesting pure atresia without fistula. The right hemithorax was occupied by the heart shadow and there was a hyper inflated lug on the left side.

On the first day a laparotomy and gastrostomy was done. An esophagostomy was NOT done and the baby was kept on Replogyl tube low pressure continuous suction. Gastrostomy feeds were started on 3rd day. Further investigations confirmed an absent right lung with a rudimentary Rt bronchus and absent Rt pulmonary artery on both Echocardiogram and CT angiography. Right hypoplastic radius, grade 1 hydronephrosis due to PUJ obstruction and a patent ductus arteriosus were the other anomalies.

At 4 months of age and at 3.2 KG weight, a retro-hilar, orthotopic, colon interposition was done, using an isoperistaltic segment based on left colic artery without opening the chest. Baby was ventilated electively for one eek and then weaned off. Post operatively feeds were started orally from day 12 and incrementally increased. She did very well and was discharged on full oral feeds, 3 weeks after colonic interposition.

She is followed up annually, had a check colonoscopy 2 years ago for any metaplasia and none was found. She was 18 years old when last seen 2 years ago and could be the longest reported survivor of esophageal atresia with Type 2 pulmonary agenesis.

Case 2

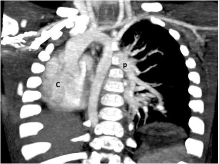
The second was a baby girl, full term normal vaginal delivery, weighing 2 KG. The baby showed all symptoms and signs of esophageal atresia with tracheoesophageal fistula. The pre op X rays showed an NGT coiled in the upper pouch and plenty of air in the GI tract indicating presence of a fistula. The Rt lung was normal and large and the left hemithorax was occupied by the heart. No lung tissue could be identified on plain films.

AUL, Absent Lt Upper Lobe; LLB,  Lt. Lower Lobe Bronchus;   ALL, Aberrant artery from the aortic arch supplying Lt. Lower Lobe;  L, hyperinflation of contralateral lung; LLL, Lt. Lower Lobe.

With a suspicion of Lt lung agenesis, a high resolution contrast enhanced CT scan was ordered. This showed agenesis of the Lt upper lobe, a rudimentary Lt lower lobe and an aberrant artery from the aortic arch supplying the left lower lobe. This was consistent with a Type 3 of lobar agenesis, and hypoplastic, ipsilateral pulmonary artery with normal bronchus of the lower lobe. An aberrant systemic arterial supply to lower lobe was an additional finding.

The child underwent a primary, single stage repair of the esophageal atresia and ligation of the TEF fistula, uneventfully.

At 4 months of age, the child underwent a left thoracotomy and the aberrant artery from aorta was re implanted into the pulmonary artery, thus restoring the pulmonary blood supply to the left lower lobe. Should this procedure was not possible, the child would have had removal of the left lower lobe.

6 months after the left thoracotomy, the chest X Ray show well expanded, but smaller left lung. As the infant was showing signs of symptomatic gastro esophageal reflux disease, we performed a Nissen type fundoplication as an open procedure, successfully. Child was followed up regularly and is seen gaining weight normally and without any respiratory symptoms at 6 years of age. 

Case 3

This was a term male baby, born with 2.9 KG weight. Ante natal scan at 36 week had shown evidence of polyhydramnios. Soon after birth, an NGT passed failed to pass into the stomach, confirming the diagnosis of esophageal atresia and the baby was shifted to NICU. A chest Xray was ordered on arrival in NICU and this showed hyperinflated Left lung with absent lung markings on the right side. The heart and mediastinum were grossly shifted to the right with a diagnosis of right lung agenesis, a contrast enhanced CT scan was done. This confirmed a Type 1 pulmonary agenesis with complete agenesis of Rt lung and Rt pulmonary artery and bronchus.  

The baby underwent a primary single stage repair of esophageal atresia through a Rt thoracotomy, successfully. Oral feeds were commenced on day 7, after a contrast study confirmed an intact anastomosis. The child is alive and well at 4 years of age. 

Discussion

Esophageal atresia, with or without a fistula is a common disease affecting 1: 3500-4500 live births in most countries of the world.1 The department of pediatric surgery in Royal Hospital , Muscat is a tertiary referral center for the Sultanate of Oman where most infants with congenital anomalies are referred to. In the period between 1985 and 2019, a total of 289 patients were seen and operated on for esophageal atresia. 3 patients were not offered surgery due to chromosome abnormality not consistent with survival; thus 292 patients were initially admitted to NICU.

Of this 292 patients, only 3 were diagnosed with pulmonary agenesis as well and this forms the basis of this report, which we believe is the largest number of similar cases from any one center.  A brief review of world literature from 1983 to 2019 showed only 26 cases from various centers in the world.2-8

Morgagni in 1762 first described congenital underdevelopment of the lungs. Since then several cases have been reported in literature.2-15 This entity is believed to be caused by failure of the developmental balance between the two lung buds at approximately 4th week of gestation due to unknown etiology until recently.

Attention has been brought, more recently, to molecular development of esophagus and lung. The process that directs the positioning and establishment of the respiratory primordium in the ventral foregut is less well understood than the subsequent processes of branching morphogenesis and cytodifferentiation of the pulmonary epithelium. A number of studies have identified the homeodomain transcription factor Nkx2.1 as an early respiratory marker expressed in the ventral, prospective-respiratory epithelium of the foregut. The events that control the timing, and the anteroposterior and dorso-ventral positioning, of the Nkx2.1- positive domain are not well understood. A recent study of lung bud formation in the chicken embryo has identified specific mesodermal factors that may play role in respiratory specification. Expression of Tbx4, a member of the T-box transcription factor gene family, correlates closely, both temporally and spatially, with the anteroposterior localisation of the respiratory primordium within the foregut.16 Gene expression studies demonstrate that the posterior boundaries of Tbx4 and Nkx2.1 are identical. Furthermore, ectopic expression of Tbx4 was shown to induce ectopic Nkx2.1 expression, albeit only in the ventral foregut endoderm. The action of Tbx4 could be mediated by Fgf10, as Tbx4 defines an Fgf10 mesodermal expression domain during early respiratory development. Interestingly, Fgf10 null mutants develop a trachea but lack any subsequent pulmonary branching morphogenesis.17 Other factors potentially involved in the specification of the lung primordium include the mesodermally expressed Gli family of transcription factors. Double homozygous Gli2−/−Gli3 −/− embryos completely fail to develop respiratory structures and show a reduction in expression of the endodermal marker Hnf3β.18

Molecular control of trachea esophageal separation

Evidence from mouse studies suggests that boundaries between Shh expressing and non-expressing domains may play a role in respiratory system development. Shh expression is tightly regulated so that it shifts from the ventral, prospective-tracheal, epithelium (at E10.5) to the dorsal, esophageal epithelium as tracheo-esophageal separation proceeds in a caudal to cranial direction (at E11.5).19 These changes in Shh expression are restricted to the foregut caudal to the pharynx and cranial to the lung buds. Strong ventral expression with a definite dorso-ventral boundary starts at the level of the laryngo-tracheal groove. At the caudal end of the tracheal epithelium, the strong Shh expression in the lung buds is not down-regulated even after tracheo-esophageal separation is completed. These observations suggest that Shh is specifically upregulated in the ventral, prospective-tracheal epithelium and downregulated in the epithelium of the definitive trachea. Conversely, Shh expression appears to be downregulated in the dorsal, prospective-esophageal epithelium and upregulated in the epithelium of the definitive esophagus. This complete and specific ventral-to-dorsal switch in Shh expression, which immediately precedes tracheo-esophageal separation, suggests that Shh may have a role in the separation process itself. Factors other than those involved in Shh signaling, but which are expressed in a dorso-ventral pattern in the anterior foregut, could also play a role in tracheo-esophageal separation. The transcription factor Nkx2.1 is likely to be an important player, as demonstrated by the failure of separation in Nkx2.1 null mutant embryos.20 Evidence from a chick study shows that misexpression of the mesodermal factor Tbx4 induces ectopic Nkx2.1 expression and disrupts the process of tracheo-oesophageal separation.  Conversely, factors such as Sox2 which is expressed in the dorsal, oesophageal-prospective, foregut could also play a role as evidenced by the failure of separation in embryos with reduced Sox2 function.21 Members of the Bmp (bone morphogenetic protein) pathway are also expressed in well defined dorso-ventral domains both in the endoderm and mesoderm and disruption of that pathway has resulted in failed tracheo-oesophageal separation (Table 1).22,23

Gene

Function

Foregut phenotype

Shh

Secreted glycoprotein with multiple patterning roles

OA/TOF and fused/ hypoplastic lungs

Nog

Secreted BMP antagonist

OA/TOF and defects in lung branching

Sox2

Transcription factor

OA/TOF

Nkx2.1

Homeodomain transcription factor

Undivided esophago-trachea and hypoplastic lungs

Gli2/Gli3

Zinc-finger transcription factors

Undivided esophago-trachea and hypoplastic lungs

Foxf1

Forkhead transcription factor

OA/TOF and hypoplastic lungs

Hoxc4

Homeobox transcription factor

Partial or complete blockage of esophageal lumen

RAR α/β2

Retinoic acid receptors

Undivided esophago-trachea

Table 1

Congenital underdevelopment of the lungs was classified by Schneider as (Type 1) Agenesis: the complete absence of the carina and the main bronchus, the lung, and the pulmonary vasculature; (Type 2) Aplasia: the carina and the rudimentary bronchus are present, the pulmonary vessels and the alveolar tissue are absent; and (Type 3) Hypoplasia: an ill-defined bronchus is capped by underdeveloped alveolar tissue. The incidence of unilateral pulmonary agenesis is one in every 10,000 to 15,000 autopsies. Almost 50% of the patients have associated anomalies of the other systems which include cardiac, diaphragm, lip and palate, genitourinary tract, vertebral and the radial.

The combination of TEF with severe pulmonary malformations had been universally fatal until 1985 when first documented case of long term survival was reported.2 Since then, fifteen patients with survival beyond newborn period have been reported until 2012.24

 In the long term survival group, two patients underwent cervical esophagostomy and gastrostomy. Primary esophago-esophageal anastomosis could be done in other patients. Associated anomalies included IHPS, duodenal atresia, imperforate anus, right sided aortic arch, tracheal stenosis, rib and vertebral anomalies. Hoffman et al described two neonates who underwent primary repair shortly after birth.7 According to them, early protection and preservation of respiratory units should be the prime goal in management of these patients and is best feasible by primary repair of the tracheoesophageal lesion. Steadland et al.10 suggested that the gestational age, size, and the associated medical problems need to be considered when planning therapy in babies with associated tracheobronchial anomalies. During surgery, retraction of the heart is required for exposure, resulting in frequent episodes of hypotension and bradycardia. Death in these patients is due to progressive respiratory failure. Hence, preservation of the respiratory function should be the goal, even if esophageal continuity needs to be sacrificed.

Based on clinical signs and chest skiagram, associated severe pulmonary malformations may be suspected in patients of EA and TEF preoperatively. Bronchoscopy can be performed to know presence of bronchus and its site of origin, and if performed preoperatively, can also locate the fistulous opening. A contrast enhanced high resolution CT scan may be the most non invasive way to establish the diagnosis, delineate the pathological anatomy, exclude associated anomalies and plan surgical management. Esophageal atresia with pulmonary agenesis is consistent with long term survival as indicated by our first patient.

Conclusion

Three cases of esophageal atresia associated with lung agenesis are reported, with survival beyond 18 years; the longest one reported. Apart from routine radiological studies, we performed a contrast enhanced CT scan in these patients, which revealed an aberrant systemic arterial supply to the hypoplastic lobe in one patient. This could be corrected by a novel procedure of re routing the blood supply from systemic to pulmonary circulation. Previous studies of EA with Lung Agenesis have tried to explain the pathological anatomy based on foregut being a "tube within a tube" and difference in rates of growth of trachea and esophagus  to explain the occurrence of esophageal atresia. However, advances in molecular and genetic sciences have shown distinct variation in expression of specific genes, Shh, Nkx2.1 and Foxfl  on sections of ventral wall of primitive foregut, around 4th week of intra uterine life that could explain both esophageal atresia and pulmonary agenesis. The presence of aberrant systemic arterial supply to a part of the lung is further proof of a very early developmental defect in the fetus: when the primitive lung bud has extra pulmonary blood supply. The three cases also demonstrate the feasibility of successful surgery and the probability of long-term survival.

References

  1. Ashcraft KW, Holder TM. Pediatric Esophageal Surgery. Orlando, FL: Grune and Stratton; 1996.
  2. Brereton R J, Rickwood A M K. Esophageal atresia with pulmonary agenesis. J Pediatr Surg. 1983;18:618–620.
  3. Benson J E, Olen M M, Fletcher B D. A spectrum of bronchopulmonary anomalies associated with tracheoesophageal malformation. Pediatr Radiol. 1985;15:377–380.
  4. Dennis W W. Lung agenesis, esophageal atresia and tracheoesophageal fistula. J Pediatr Surg. 1988;23:389.
  5. Black P R, Welch K J. Pulmonary agenesis (aplasia) with esophageal atresia and tracheoesoghageal fistula: A different treatment strategy. J Pediatr Surg. 1986;21(11):936–938.
  6. Takayanagi K, Grochwska E, Nas S A. Pulmonary agenesis with esophageal atresia and tracheoesophageal fistula. J Pediatr Surg. 1987;22:125–126.
  7. Sarin Y K. Esophageal atresia and tracheo-esophageal fistula with right pulmonary agenesis. Indian Pediatr. 1996;33:595.
  8. Surendran N. Agenesis of right lung with esophageal atresia and distal tracheoesophageal fistula. Saudi Med J. 2000;21:302–303.
  9. Hoffman M A, Superina R, Wesson D E. Unilateral pulmonary agenesis with esophageal atresia and distal tracheoesoghageal fistula: Report of two cases. J Pediatr Surg. 1989;24(10):1084–1085.
  10. Steadland K M, Langham M R, Greene M A, et al. Unilateral pulmonary agenesis, Esophageal atresia and diatal tracheo-esoghageal fistula. Ann Thorac Surg. 1995;59(2):511–513.
  11. Kitagawa H, Nakada K, Fujioka T, et al. Unilateral Pulmonary Agenesis With Tracheoesophageal Fistula: A Case Report. J Pediatr Surg. 1995;30:1523–1535.
  12. Chen C Y, Tsao P N, Chou H C, et al. Esophageal atresia associated with tracheal stenosis and right lung agenesis: report of one case. Acta Paediatr Taiwan. 2002;439(6):348–350.
  13. Downard C D, Kim H B, Laningham F, et al. Esophageal Atresia, Duodenal Atresia, and Unilateral Lung Agenesis: A Case Report. J Pediatr Surg. 2004;39(8):1283–1285.
  14. Stark Z, Patel N, Clarnette T, et al. Triad of tracheoesophageal fistula-esophageal atresia, pulmonary hypoplasia, and duodenal atresia. J Pediatr Surg. 2007;42(6):1146–1148.
  15. Yadav P S, Pant N, Chadha R, et al. Oesophageal atresia and tracheoesophageal fistula with right pulmonary agenesis and duplication of the azygos vein. Arch Dis Child. 2012;97:513.
  16. Sakiyama J, Yamagishi A, Kuroiwa A. Tbx4-Fgf10 system controls lung bud formation during chicken embryonic development. Development. 2003;130(7):1225–1234.
  17. Sekine K, Ohuchi H, Fujiwara M, et al. Fgf10 is essential for limb and lung formation. Nature Genet. 1999;21(1):138–141.
  18. Motoyama J, Liu J, Mo R, et al. Essential function of Gli2 and Gli3 in the formation of lung, trachea and oesophagus. Nature Genet. 1998;20(1):54–57.
  19. Ioannides AS, Henderson DJ, Spitz L, et al. Role of Sonic hedgehog in the development of the trachea and oesophagus. J Pediatr Surg. 2003;38(1):29–36.
  20. Minoo P, Su G, Drum H, et al. Defects in tracheoesophageal and lung morphogenesis in Nkx2.1(−/− ) mouse embryos. Dev Biol. 1999;209(1):60–71.
  21. Que J, Okubo T, Goldenring JR, et al. Multiple dose-dependent roles for Sox2 in the patterning and differentiation of anterior foregut endoderm. Development. 2007;134(13):2521–2531.
  22. Que J, Choi M, Ziel JW, et al. Morphogenesis of the trachea and esophagus: current players and new roles for noggin and Bmps. Diff. 2006;74(7):422–437.
  23. Li Y, Litingtung Y, Ten DP, et al. Aberrant Bmp signaling and notochord delamination in the pathogenesis of esophageal atresia. Dev Dyn. 2007;236(3):746–754.
  24. Shraddha Verma,  Jai Kumar Mahajan, Katragadda Laxmi Narsimha Rao, et al. Esophageal Atresia and Tracheoesophageal Fistula with Unilateral Pulmonary Agenesis – Hypoplasia. J Neonatal Surg. 2013;2(2): 21.   
Creative Commons Attribution License

©2020 Elmetwally, et al. This is an open access article distributed under the terms of the, which permits unrestricted use, distribution, and build upon your work non-commercially.