Submit manuscript...
Journal of
eISSN: 2373-4426

Pediatrics & Neonatal Care

Perspective Volume 5 Issue 4

Rare Surgical Causes of Recurrent LRTI

Pradnya S Bendre, Flavia Henry D'souza, Ramdas Nagargoje, Parag Karkera

Department of Paediatric Surgery, Bai Jerbai Wadia Hospital for Children, India

Correspondence: Flavia Henry D’souza, 1Professor, 2Mch Student, Department of Paediatric Surgery, Bai Jerbai Wadia Hospital for Children, India

Received: October 14, 2016 | Published: October 18, 2016

Citation: Bendre PS, D’souza FH, Nagargoje R, Karkera P (2016) Rare Surgical Causes of Recurrent LRTI. J Pediatr Neonatal Care 5(4): 00188. DOI: 10.15406/jpnc.2016.05.00188

Download PDF

Introduction

Lower respiratory tract infection (LRTI) is one of the most common causes of morbidity and sometimes mortality in the pediatric population. Besides medical causes there are a few other causes of LRTI where surgically correctable structural malformation is the culprit. It is very important to identify these cases, as rectifying these would mean prevention of catastrophic complications and recurrence of LRTI in these cases. We here by present our experience of surgically curable causes along with few extremely rare conditions which manifested as recurrent LRTI.

Keywords: lower respiratory tract infection, surgical causes

Case report

 

Age and Brief History

 

Clinical Diagnosis

 

Photograph

 

 

Surgery

 

50 days, recurrent LRTI
one episode of SIDS

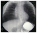
Intrathoracic stomach

Fundoplication and repair of hiatus

 

7 month, failure to thrive
recurrent abdominal distension

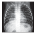
H-type of tarcheo oesophageal fistula

Repair of H-shape fistula

2 year, recurrent non projectile vomiting

Microgastria with megalo-esophagus

Gastric exclusion with Roux en Y end to end esophago jejunostomy

 


7 months, three episodes of LRTI
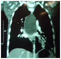
Diagnosed as Right congenital diaphragmatic hernia

Hepato pulmonary fusion.

 

Right thoracotomy with definite repair

2 Year old male child,
recurrent LRTI

 

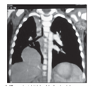
Bronchogenic cyst

 

Thoracotomy with excision of cyst

Discussion

Lower respiratory tract infections are quiet common in pediatric age group. After retrospectively analysing these cases which we had to intervene we noticed few significant facts

  1. By the time surgeon is involved patient had undergone numerous investigations and lost significant weight.
  2. Simple measures like putting Ryles tube before taking x-ray chest as well as taking lateral plate would have given clue to anomalies like bronchogenic and neuroenteric cyst.
  3. More liberal use of ultrasonography chest to locate any space occupying lesion may be a good screening tool.
  4. Barium swallow is better than milk scan as it can diagnose GER as well as rule out Structural anomalies of esophagus like H-shape tracheo-esophageal fistula, adding gastric plates can rule out malrotation and other gastric anomalies.
  5. Adding surgeons eye early in evalution can accelerate pick up of surgical causes.
  6. CT has detected almost every surgical cause from common like foreign body to rare like Megaesophagus.
  7. While managing severely malnourished feeding jejunostomy and postpone definitive repair at later date was good make shift.

We suggest following protocol for screening surgical causes.1-4

1. Recurrent Vomiting With Aspirations

Ger ,Megaloesophagus, Esophageal webs Achalasia, Gastric outlet obstruction, Microgastria, Hiatus Hernia

Barium Swallow with Sos Meal Performed by Surgeon

2. Recurrent Aspiration Without Vomiting

H-Fistula, Esophageal Dysmotility, Ger

Barium, Bronchoscopy

3. Space Occupying Compromising Chest Volume And Obstructing Airways

Cdh, Cysts-Bronchogenic, Neuroenteric, Intrathoracic Stomach

X-Ray Chest

AP and LAT,

USG Chest

CT Chest

The most common surgical cause for recurrent LRTI

  1. GERD
  2. Foreign bodies5

Less Common Causes

  1. CCAM6
  2. CLE7,8
  3. Bronchogenic cyst
  4. Neuroenteric cyst,
  5. Congenital diaphragmatic hernia

Rare Causes

  1. Microgastria megaloesophagus syndrome
  2. Hepato pulmonary fusion.
  3. H-Shape tracheo-esophageal fistula9
  4. Malrotation of gut and
  5. Hiatus hernia with Intrathoracic stomach,
  6. Short esophagus with Intrathoracic stomach.

Conclusion

In all these cases series of investigations were done before referral for surgical intervention early involvement of surgeons would have hastened detection of surgical causes. Malnutrition was a major limiting factor in tolerating major surgery and feeding jejunostomy was an excellent way to improve nutrition and keeping patient symptom free. Aspirations were better manageable than loss of effective volume of thorax. Planned surgery with ventilatory support postoperative will maximise results.10

Acknowledgments

None.

Conflicts of interest

Authors declare that there is no conflict of interest.

References

Creative Commons Attribution License

©2016 Bendre, et al. This is an open access article distributed under the terms of the, which permits unrestricted use, distribution, and build upon your work non-commercially.